ANOMALIES OF DEVELOPMENT OF TEETH AND DENTAL BITE

4677

Teeth filing technology has been used in dental practice since the beginning of the 19th century. At that time, this procedure was used as a preservative during the treatment of caries.

With the improvement of therapy methods and the expansion of the list of instruments used, this treatment technology was abandoned, however, in some situations, filing is still used.

Indications

There are opposing opinions among dentists regarding the procedure, but there are situations in which filing is necessary:

  1. When installing crowns. For reliable fixation of the crown, it must fit tightly to the tooth surface.
    Since the anatomical shape of each molar or incisor is not ideal, grinding down of the upper layers of their hard tissue is required. This allows you to give your own bone organ the correct geometric shape, thanks to which the manufactured product is firmly fixed and does not stand out among other elements of the jaw row.
  2. For fixing veneers. Ceramic plates fixed to the surface of your own teeth have a certain thickness.
    Therefore, in order for the installed microprostheses to fit firmly and not protrude beyond the boundaries of the native units, a small amount of hard tissue is ground off from the vestibular side of the elements of the jaw row.
  3. Preparation for inlays. If it is necessary to mask the cavity formed as a result of carious lesions, ceramic or metal inlays can be used.
    Their fixation requires the creation of side walls and the formation of the required depth near the cavity.
  4. In case of installation of an orthodontic structure. Cutting down a small thickness of the top layer of the tooth allows you to make room for correcting the position of the remaining elements of the row without the need to remove them.
    In addition, this option is often used in cases of increased crowding of teeth, since it facilitates the placement of fastening elements of the bracket system on them.
  5. If there is damage to the enamel. Chips on the surface of the front incisors can be made less noticeable by slightly filing down the enamel.
    This improves the aesthetics of the appearance of the jaw row and eliminates the need for composite restoration.
  6. In case of elongated incisors. If the front teeth are longer than the rest of the row, this can not only cause psychological discomfort, but also interfere with correct diction or complete chewing of food.
    To solve the problem, in some cases, filing the length of organs protruding from the common line is used.
  7. At sharp angles. The anatomical structure of the anterior incisors is not always ideal. If there are sharp corners, dentists may recommend filing them down, which will increase the aesthetic appearance of the entire jaw row.

Indications for the use of orthoimplants and tactics for their installation.

Let's discuss here how the braces system works.

At this address https://orto-info.ru/ortodonticheskoe-lechenie/podgotovitelnyiy-period/separatsiya-zubov.html we will talk about abrasive teeth separation.

Reviews

When should teeth be filed?

We suggest you read: How to treat oral leukoplakia

To make your teeth look attractive, your dentist will conduct a thorough examination of your mouth, after which he may recommend filing your teeth. If earlier it was used in the fight against caries, now this event is carried out for cosmetic purposes.

In what cases is this necessary:

  • different heights of teeth;
  • malocclusion;
  • pathological abrasion of teeth;
  • contact of the lower and upper jaws in multiple areas;
  • early injuries;
  • worn down teeth, which not only cause discomfort, but also cause serious oral diseases;
  • high sensitivity to temperature, chemical or mechanical influences;
  • chips and cracks.

If the above factors are present, filing problem teeth can be an independent procedure. If there is a need to wear braces, it will be a preparatory stage.

For wearing braces

To straighten the teeth, braces are prescribed. The process is quite long, they generally need to be worn for at least two years.

Before putting on the appliance, the doctor will perform a filing to remove a small amount of enamel from the sides of the incisor. This makes it possible to free up space for the teeth to move into the correct position. The technique is an excellent alternative to complete removal of incisors and separation.

Braces have been used in orthodontics for decades, and regardless of the type and material chosen, their action will be equally effective. They are manufactured separately for each patient, taking into account the individual characteristics of his physiology.

The design consists of small “locks” that evenly affect the teeth, gradually placing them in the oral cavity in the correct position.

Why do children have their fangs ground down?

From early childhood, teeth can erupt with various anomalies. Therefore, to avoid the development of defects, some areas should be filed. Basically, several factors contribute to the appearance of flaws:

  • adenoids;
  • congenital abnormalities;
  • prolonged pacifier sucking;
  • rickets;
  • inflammatory processes in the oral cavity;
  • bad habits (biting lips, cheeks, etc.);
  • failure to maintain proper hygiene.

In order to promptly detect the formation of dental anomalies, parents should visit the dentist with their child several times a year. This will allow you to begin treatment immediately and avoid complications (caries, periodontal disease).

Grinding of fangs is carried out for high-quality treatment of anomalies of the dentition or individual areas. In orthodontics, this procedure is also used to organize a correct bite in children. There are no special age limits; the doctor first of all pays attention to the patient’s perseverance.

Grinding of front teeth

Before carrying out the manipulation, the specialist assesses the general condition of the teeth. This is done in several ways: using wax plates, liquid aerosol, carbon paper. All existing irregularities, problem areas and enamel structure are examined.

The front teeth are ground down with a diamond bur if they protrude significantly. In more severe circumstances, a diagnostic model of the dentition is first created, and after a thorough examination they are filed down.

The procedure allows you to obtain an exact relationship between the lower and upper jaws and restore the bite. You can see the difference in the photo. During the rehabilitation period, you should limit the consumption of hot or too cold food. Trimming of incisors and chewing teeth is performed using other methods.

Is it possible to file teeth at home?

Under no circumstances is it recommended to attempt filing on your own, especially for children. At home, there is a risk of compromising the integrity of the enamel, causing cracks and injuries, or grinding the tooth down to an unacceptable limit. The sharpening must be carried out by a qualified specialist.

Alternative ways to straighten teeth

There are several alternative methods for correcting dentition in modern medicine. The most common ones are:

  1. Orthopedic mouthguards. Made from plastic or silicone. They are convenient because they can be quickly removed at any time. This makes it easier to perform hygienic actions and eat food. They look aesthetically pleasing and are almost invisible in the mouth (they are mostly transparent).
  2. Aligners. Such devices are suitable even in advanced situations (severe crowding, curvature). It is noteworthy that when worn, the patient practically does not feel them and does not experience irritation.
  3. Trainers. They are used to treat children under 12 years of age; for minor curvatures, they must be worn for about 2 years. They are also used to consolidate the result after using braces and caps. Grinded incisors can be straightened by filling and using cosmetic procedures.

Filing (preparation) of teeth has been used in dentistry since the 19th century. Previously, the procedure was used to treat caries, but today it is needed exclusively for the restoration of front teeth, before prosthetics or when installing braces and other structures to correct the bite. In what cases will a sharpening be a necessary stage of treatment, the specialist determines.

Contraindications

The necessity and admissibility of filing teeth is determined by the dentist individually in each case, since the procedure is quite labor-intensive and can be traumatic in some situations.

For this reason, sewing hard fabric is contraindicated in the following situations:

  • increased abrasion of enamel;
  • hyperesthesia;
  • bruxism;
  • presence of bad habits - frequent chewing of seeds and nuts, opening bottles with teeth;
  • high risk of injury to the incisors, for example, boxing and other types of wrestling.

Technique


The procedure for filing teeth is carried out in several stages:

  1. Preparation. At the first meeting, the dentist assesses the condition of the patient’s jawbone elements, determines whether there is a need for cutting down hard tissue and whether there are contraindications to the procedure.
  2. Identifying problem areas. Using carbon paper, a liquid aerosol or a wax plate, the dentist determines the overestimated areas of the tooth. Areas that require sanding will be colored more intensely.
  3. Sawing. The filing procedure may vary slightly depending on the goal to be achieved and the shape of the tooth being processed.
    So, when treating chewing molars, the dentist carefully grinds off the top layer of enamel from the surface of the tubercles. When cutting down the front incisors, multidirectional movements are carried out.

In some cases, it may be necessary to preliminary make a diagnostic model based on casts of the patient’s jaw rows.

The resulting gypsum sample is subjected to careful inspection and evaluation filing. Carborundum cutters or diamond burs are used as instruments for the operation

The procedure often ends with polishing and remineralization of the treated units. The dentist applies a certain composition containing a complex of useful substances to the enamel to increase the strength of the outer layer of the tooth and reduce permeability .

Grinding of teeth for various types of crowns

  • For solid metal crowns, the tooth begins to be ground from the side surfaces in order to prevent injury to neighboring teeth. 0.3 mm of hard tissue is uniformly removed from the tooth surface.
  • When installing metal-ceramics, the nerve is first removed, then 2 mm of dental tissue is ground off from all sides of the tooth. Finally, a ledge is formed, the width of which depends on the selected crown model. To ensure reliable fixation of the structure, the walls of the tooth stump must have a clearly defined roughness.
  • If the tooth is prepared for a porcelain structure, the stump should have a cylindrical or conical shape. Then a rounded ledge is formed, which should be immersed in the gum to a depth of 1 mm. On the palatal surface, a ledge can form at the border with the gum.
  • When grinding a tooth under a zirconium crown, a rounded or shoulder ledge is formed. The thickness of the grinding of tooth tissue on the frontal teeth should be no more than 0.3 mm, on the teeth of the chewing group - no more than 0.6 mm.

Increased sensitivity after the procedure


Many patients who have had their teeth filed complain of increased sensitivity, especially when eating hot and cold dishes and hard foods.

Dentists explain this phenomenon as follows. Dentin, located under the enamel, is penetrated by many tubules, inside of which nerve endings are located. As the thickness of the enamel decreases, pressure changes occur, which can cause pain when taking certain foods.

To reduce tooth sensitivity after the procedure, dentists recommend temporarily avoiding too hard foods, dishes with high and low temperatures, and acidic drinks.

During oral hygiene, you should use a brush with soft bristles and therapeutic and prophylactic toothpaste, rinses for sensitive teeth.

If sensitivity does not disappear a week after filing, you should contact your dentist.

Indications and contraindications for orthognathic surgery, recovery time.

In this article we will tell you how to install braces on crowns.

Follow the link https://orto-info.ru/ortodonticheskoe-lechenie/podgotovitelnyiy-period/informativnost-telerentgenogrammyi.html if you are interested in the importance of a teleroentgenogram in orthodontics.

Filing before prosthetics

Before installing crowns or veneers, the enamel must be ground down. This procedure is significantly different from cosmetic filing and is called tooth preparation. If, in order to restore aesthetics, a small layer of enamel is removed, then before installing veneers, the treatment area is much larger.

Veneers and crowns are volumetric products. If you leave your teeth untouched, excess volume will appear. In addition, the design will not be able to fit harmoniously into the dentition. The natural shape of teeth is not ideal, so it is almost impossible to make crowns that fit them with maximum precision. That is why, with the help of grinding, excess volume is removed, bulges are eliminated, and the correct shape is given.

Veneers are installed with minor grinding, as they are thin. In the case of crowns, complete grinding is necessary on all sides. Dissection can be painful, so it is usually performed under anesthesia. When grinding, all tissue affected by caries is removed to eliminate the risk of secondary infection.

How much enamel will be removed during grinding? Don't worry about this. If you visit a really good specialist, only an acceptable layer of tissue will be removed. The first time after filing, increased sensitivity of the teeth may occur. Soon this phenomenon will disappear.

Now you can imagine how many indications there are for filing teeth. In the photo you have already seen what a cosmetic technique is. Grinding teeth for veneers looks completely different. The final video will introduce you to the veneer preparation procedure.

At home

Fear of doctors and thoughts about the pain of professional manipulations often lead to patients trying to cope with the existing problem on their own. Teeth filing is also no exception.

Dentists share their experience that people often come to appointments whose enamel has been severely damaged by attempts to cut off part of it with various improvised tools in the desire to improve the aesthetic appearance of the jaw row with prominent front teeth or the presence of chips.

In addition to the problem of high sensitivity, these patients experience cracks in the hard tissue, as well as dentin damage, which develops as a result of bacteria entering the dentinal tubules through open pores.

The consequence of such independent actions can be the development of caries, pulpitis and numerous complications that can lead to partial or complete tooth destruction.

Dentists categorically prohibit performing teeth filing procedures at home. Only a specialist can determine the need for an operation to remove a section of enamel and carry it out efficiently, without the risk of complications.

Grinding teeth for ceramic crowns

https://www.youtube.com/watch?v=LMXI8zO1acs

Let’s say right away that ceramics are not suitable for all restorations. It is ideal to use it to restore the frontal zone. Ceramic crowns are highly aesthetic. They are able to convey the natural color of the tooth, and even its ability to show through gradiently. This solution is not used for the lateral and chewing areas due to insufficient strength.

In crowns made of pressed ceramics or solid cast, it does not contain metal inclusions. On the one hand, this negatively affects the degree of its strength, on the other hand, it makes it possible to qualitatively restore teeth to patients who are allergic to metals. The thickness of a ceramic crown is less than that of a metal-ceramic prosthesis, so teeth are ground for ceramic crowns to a lesser extent. In some cases, it is even possible to avoid removing the nerve - but not always.

We invite you to familiarize yourself with Balls under the tongue, what is it?

Price

The cost of filing teeth depends on the reasons for which it is carried out and what result is needed to achieve:

  • preparation for caries - from 200 to 350 rubles per row element;
  • treatment of enamel after removing braces – 550-650 rubles;
  • identification of traumatic occlusion and grinding of one tooth – 200-300 rubles;
  • cutting down a tooth for a crown – 130-200 rubles;
  • filing a molar under an orthodontic structure – 150-200 rubles.

Find out how teeth are prepared in the video.

Who is indicated and contraindicated

Teeth grinding is a dental procedure that is aimed at correcting visible defects: uneven edges, enamel damage, and malocclusion.
In addition, it is used during operations, using it as a preparatory stage. The procedure is performed under anesthesia and is therefore not painful.

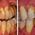
Photos before and after teeth filing:

Before going for dental filing, consultation with a specialist is required. Whether it is possible to file the front teeth depends on the presence of contraindications, which include:

  • bruxism (teeth grinding during sleep, occurs regularly at night);
  • increased sensitivity of enamel;
  • accelerated destruction of tooth enamel;
  • the patient's exposure to bad habits (gnawing nuts with his mouth, nibbling the ends of pens and pencils);
  • increased risk of injury to incisors or canines (especially in boxers and wrestlers).

If the specialist did everything correctly, the teeth will be filed without difficulty. There can be only one nuance - the enhanced sensuality of the enamel. But it lasts for a few days and then goes away. The existing correction options are calculated by the doctor you contacted. Dental grinding is necessary when other correction options, in the opinion of a specialist, will not help.

Rating
( 2 ratings, average 5 out of 5 )
Did you like the article? Share with friends:
Russian | English
Для любых предложений по сайту: sto247@cp9.ru