Why can gums recede from teeth?
The gum is the soft tissue that surrounds the tooth. Healthy tissue securely holds the teeth and does not allow the tooth to become loose. If its function weakens, the development of periodontitis is immediately assumed.
The causes of gums receding from the teeth are divided into local and general.
Local ones include:
- Over time, inflammation of the tissues surrounding the teeth develops into periodontitis and other dental pathologies of soft tissues
Insufficient and improper oral care. Poor oral hygiene leads to the accumulation of pathogenic microorganisms that cause the development of gingivitis. Over time, inflammation of the tissues surrounding the teeth develops into periodontitis and other dental pathologies of soft tissues.
- Mechanical injury to the gums. An example of this would be: Using a toothbrush with very stiff bristles.
- Presence of a high filling.
- Inaccurately selected prosthesis.
All these factors lead to irritation and injury to the gums with the subsequent development of periodontitis.
Diseases in which the gums recede from the teeth
In addition to the main reasons that provoke the gums to recede from the teeth, there are a number of pathologies that also affect the development of this condition.
Such reasons include:
- Signs of recession directly depend on the etiology and prevalence of the provoking disease
Diseases of the endocrine glands. It is especially evident in cases of hormonal imbalance of the gonads in women and dysfunction of the entire endocrine system.
- Immunodeficiency pathologies. I contribute to the development of capillary dysfunction, which leads to insufficient enrichment of the gums with blood.
- Diabetes mellitus of any type.
- Circulatory dysfunction in soft tissues. They are provoked by pathologies of the kidneys and liver or spinal cord. With such diseases, a disorder occurs in the hematopoietic system, and the amount of oxygen and nutrients entering the body decreases. The elasticity of the mucous membranes of blood vessels also decreases.
- Dental pathologies: gingivitis, periodontal disease, periodontitis, large localized tartar, as well as neoplasms of any etiology on the gums.
- Genetic predisposition.
- Long-term use of diuretics.
Important! Correctly identifying the cause that causes the gums to recede from the teeth will significantly reduce the time of treatment for this pathology.
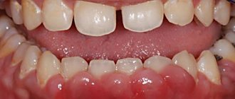
Symptoms
Signs of recession directly depend on the etiology and prevalence of the provoking disease. The disease can manifest itself locally or in a generalized course.
Most often, this pathology is accompanied by the following external signs:
- At first, bleeding gums appear only when eating or brushing teeth.
Soft periodontal tissues bleed.
- The gum lags behind the tooth, is inflamed and hurts.
- A gap has formed between the tooth and the gum (it does not fit tightly).
- The presence of an unpleasant odor from the oral cavity.
- Suppuration of gum pockets.
- The gum mucosa swells and becomes a deeper red color.
- The gums expose the necks of the teeth.
- The teeth become exposed and begin to loosen.
At the initial stage of recession, a person feels minor discomfort associated with the gums moving away from the teeth.
At first, bleeding gums appear only when eating or brushing teeth. Then tooth and gum sensitivity appears. If treatment is not timely, the symptoms increase and a purulent taste appears in the mouth.
Important! If you experience the slightest symptoms, you should immediately seek qualified help from a dentist.
Surgical method of therapy
To successfully treat prolapse, you must first find out what is causing the disease. The gums need to be raised not only for aesthetic reasons, but also to prevent the risk of caries on the roots of the teeth. As their sensitivity increases, problems with eating and drinking appear. Acute pain can occur even when inhaling air through the mouth.
Treatment is predominantly surgical, as it brings the most effective results. The operation is performed under local anesthesia (if the case is complex, then general anesthesia can be used) and includes the following types of manipulations:
- in the place of the gum where there is pathology, a pair of parallel incisions are made, as a result of which a flap of soft tissue is formed;
- treatment of the exposed root with preparations that help cleanse bacterial plaque;
- the flap of tissue is fixed with sutures so that the gums can rise;
- if the case is severe and there is not enough gum to lift, then a piece of tissue is taken from the roof of the mouth and then sewn into place.
We suggest you read: Is it necessary to depulp a tooth under a crown?
Diagnostics
Only a dentist can determine the exact cause of periodontal tissue recession and prescribe appropriate treatment.
At the appointment with this specialist, a visual examination of the oral cavity will be carried out and a modern diagnostic examination will be prescribed.
For these purposes, patients are prescribed:
- Radiography.
- Orthopantomogram.
- Measuring the depth of the periodontal pocket.
Important! To accurately determine the etiology of the disease, the dentist may prescribe additional examination to exclude provoking systemic pathologies. This will make it possible to carry out complex therapy and achieve rapid recovery dynamics, eliminating the development of relapse.
First aid at home - what to do?
Important! Experts warn that self-treatment of gum recession at home is unacceptable. Such therapy will not bring positive results, but will only worsen the condition of the soft periodontal tissues and can lead to partial or complete loss of teeth.
But, as a last resort, such manipulations can and should be carried out at home as first aid for this pathology.
What to do:
- Irrigation of the oral cavity with anti-inflammatory and antiseptic dental rinses or herbal decoctions.
- Applying applications of aloe leaves, sea buckthorn oil or soda slurry to the affected areas of periodontal tissue.
- Taking antibacterial pharmacological drugs.
- When brushing your teeth, use floss and soft toothbrushes.
- Rinse your mouth with an anesthetic solution made from a decoction of chamomile and sage with the addition of propolis.
Collagen membrane
In parallel with the surgical intervention, doctors also prescribe a course of medications. The advantages of this method include the fact that the effect of treatment is visible immediately and the return of the disease (subject to prevention, of course) is unlikely. It is possible to use a collagen membrane. It is installed on the cortical plate of the alveolar process for tissue regeneration. After the membrane has completed its work, it is removed.
Let’s look at how to improve receding gums using folk remedies below.
Today, there are membranes made from absorbable material, but they are significantly more expensive. As a result of the membrane's work, up to 80% of the gum tissue will be restored, the rest remains untreated. The most common option is, of course, drug therapy. This type of treatment allows you to activate the regeneration process with the help of injections of enzymes that provoke the growth of amelogenin (a protein in tooth enamel).
Nowadays, most manufacturers produce a series of toothpastes and brushes specifically for the prevention of gum recession and other problems of this kind. The brushes are made in a round shape, which ensures penetration close to the tooth roots, and new generation toothpastes contain extracts of medicinal herbs that help restore damaged gums. In order to enhance the effect of traditional methods, doctors recommend using folk remedies for receding gums.
How is dental treatment performed?
When the gums recede from the teeth, treatment should be extremely comprehensive and consistent.
At a dentist’s appointment for periodontal tissue recession, a therapeutic complex is performed, consisting of the following manipulations:
- Treatment must be exclusively comprehensive and consistent
Professional teeth cleaning. Removing supragingival and subgingival deposits and dental plaque eliminates pathogenic microflora in the oral cavity. Depending on the condition of the teeth, the following methods can be used:
- Ultrasonic cleaning.
Instrumental technique.
- Sandblasting method.
- Anti-inflammatory treatment. It consists of treating soft periodontal tissues and gum pockets with antiseptics, taking broad-spectrum antibacterial drugs, and local treatment of the mucous membrane with anti-inflammatory gels.
- Advice on proper oral care after therapy. Hygiene products are determined and a schedule for a preventive examination with the attending physician is assigned.
Important! This type of therapy is used in the early stages of periodontal tissue recession. At an advanced stage, this technique will not reveal any dynamics of recovery.
Other treatments
There are several methods for treating gum separation from a tooth:
- Surgical treatment methods include open and closed curettage. They are carried out when the gums recede strongly from the tooth or in the presence of severely damaged bone tissue. The principle of such manipulations is to dissect the gums and then cleanse it of purulent exudate, granulation, and the like. After cleaning, stitches are placed and pain medications are prescribed. In addition to curettage, as a last resort, if indicated, flap surgery or transplantation is performed.
- Therapeutic treatment is carried out with the aim of influencing the source of the inflammatory process. For this purpose, antibacterial, antiseptic, immunostimulating, and hormonal medications may be prescribed. Their selection is carried out taking into account the etiology of the pathological condition. A course of physiotherapeutic procedures is also prescribed, which, in combination with medications, significantly influence the dynamics of recovery.
- Traditional methods are mainly based on irrigating the oral cavity with anti-inflammatory, antimicrobial and strengthening herbal decoctions . For their preparation, chamomile, St. John's wort, sage, oak bark, tea tree and eucalyptus essential oils are most often used. Applications of fir or sea buckthorn oil, as well as wiping the gums with propolis, are effective.
- Diet plays a major role in the gum treatment process. The diet must include a large amount of food products containing ascorbic acid: kiwi, rose hips, black currants, dill, Brussels sprouts. At the initial stage of pathology, it is recommended to eat solid food.
Important! Periodontal tissue therapy must be comprehensive and must be prescribed by a doctor. Self-medication increases the risk of worsening gum health.
Other provoking factors
In addition, the defect also appears due to other factors:
- Improper use of dental floss.
- Improper brushing of teeth, which causes damage to soft tissues.
- Using hygiene products that are not suitable for a person, for example, toothpaste containing a lot of abrasive particles, or an old brush.
- Abnormal oral structure.
- Prolapse of the alveolar process due to tooth loss. Since there is no load on this area, a disruption of metabolism and blood supply occurs, leading to prolapse.
- Anomalies of teeth.
- Incorrect closing of the jaws, for example, a deep bite, when the lower dental arch is covered by the upper one and the gums are touched;
- Designs incorrectly fitted by the dentist.
- Caries in the area of the tooth root or neck.
- Predisposition due to age, for example, in those over 60 years of age.
- Due to uncontrollable teeth grinding (bruxism), mainly during sleep.
- Due to hormonal imbalances that occur in women.
- Ascorbic acid deficiency.
- Various bad habits, for example, smoking, biting nails.
Once the cause of the prolapse has been eliminated, the next stage of therapy can begin, during which it is necessary to lift the soft tissue, thus covering the roots of the teeth. Treating receding gums is not an easy process.
If a prolapse is detected, you should immediately go to a doctor who will advise how best to treat the pathology. It all depends on the results of the inspection. The following methods may be used.
- Lateral flap. This method can be used to lift your gums. However, it is used quite rarely, since it is necessary to shift healthy tissue to damaged areas. If the defect affects almost the entire jaw, this method is very difficult to apply. But still, this type of treatment also has significant advantages. So, you don’t need to wait for its result for a long time - it will appear immediately. If you follow all preventive standards, then the chances of the problem returning are minimized. What other remedy for receding gums exists?
- Collagen membrane. It is placed on the cortical plate of the alveolar process for the purpose of tissue restoration. Once its functions are completed, it must be removed. There are also absorbable materials that dissolve themselves over a certain period of time, but they are much more expensive. Thanks to the membrane, about 80% of tissues are regenerated. Are there medications to treat receding gums?
- Therapy with medications. This method is suitable for those patients who are very afraid of surgical intervention. Treatment in this case is aimed at activating the restoration process through injections of enzymes that affect the growth of amelogenin, that is, the protein of tooth enamel. Thanks to this, the restoration of tooth roots and connective tissue begins. At the same time, soft tissues are treated with an enamel matrix, which slows down the development of pathology. However, you will have to wait a long time for the result. Although it is worth it and the fabrics will look neat after restoration.
If the gums have receded, experts believe that these methods will solve the problem. In addition, the effect of therapy can be enhanced by combining traditional and folk treatment.
So, if gum recession is noted. How to lift? A gel with an anti-inflammatory effect can help (Asepta, Metrogyl). It is necessary to regularly massage the gums with your fingers using these products.
We invite you to familiarize yourself with: Dental gel first teeth
Special cases
There are other cases in which the gums move away from the teeth:
- If you experience the slightest signs of recession, you should immediately seek qualified dental help.
Exposure of teeth during pregnancy is a fairly common problem, especially if a woman has previously had gingivitis or periodontitis. Physiological changes in the body characteristic of this period contribute to the deterioration of gum health. Therefore, if the slightest signs of recession appear, you should immediately seek qualified dental help and prevent the development of complications of this pathology.
- The gum has receded from the wisdom tooth. Exposure of wisdom teeth occurs immediately during their eruption. This phenomenon is considered normal, and the use of alternative methods of therapy is allowed to alleviate the condition. If the cause of the recession in this case is an infection, urgent medical attention and antibacterial therapy are required.
- Gum receding in a child is extremely rare. It can be caused by injury to the gums, improper care, or hormonal imbalances in the body. Vitamin deficiency due to poor nutrition or a hereditary factor may also be the cause. It requires immediate treatment as it provokes the rapid development of inflammatory periodontal tissues. This leads to destruction of dental tissue or tooth loss.
- Receding gums between the front teeth can occur if there is a short frenulum on the upper lip. Also, this condition indicates the development of periodontal disease, periodontitis or gum recession. Depending on the etiology of the pathology, the method of therapy is selected.
- Gum rupture due to apical displacement of the gingival margin can be caused by mechanical trauma or consumption of hard foods. Also, this condition can be a negative consequence of poor-quality dental services. In this case, it is possible to restore the condition of periodontal tissue through surgery or the use of medications with an antiseptic effect.
Traditional methods of treatment
It is impossible to lift the gums using traditional methods. But they can eliminate inflammation and speed up the healing process of wounds. The most popular are the following recipes.
Tincture of calamus root and propolis. It is necessary to pour 10 g of propolis into 0.5 liters of alcohol, and then leave the mixture for 2 weeks in a dark place. Then you need to crush the calamus root and perform the same procedure with it. After both mixtures have infused, they are combined in a ratio of 1 to 1. You should rinse your mouth with this tincture no more than three times a day.
Decoctions of various herbs. Chamomile, yarrow, mint, lemon balm and other plants that have an anti-inflammatory effect are used. Take a glass of water for one tablespoon of crushed dry ingredient. Then the broth is boiled for 15-20 minutes, and after it has cooled, you need to rinse your mouth after all meals. Medicine for receding gums must be used regularly.
The use of herbal infusions will have a beneficial effect on the condition of tissues. However, you must follow the instructions exactly to avoid receding gums. And, of course, you need to undergo a dental examination 2 times a year for preventive purposes in order to immediately prevent such pathologies.
Of course, decoctions and infusions will not bring gums back, but they can reduce inflammation and speed up the healing of damage. The first place, of course, belongs to herbal decoctions for mouth rinsing. Rinses are brewed from mint, chamomile, lemon balm, yarrow and other plants that have an anti-inflammatory effect, in the ratio of one tablespoon of crushed dry raw materials per glass of water. Then you need to boil for 15-20 minutes and cool the broth. Rinse after every meal.
In addition, doctors often recommend a tincture of propolis and calamus roots. They prepare it separately and in advance, since the composition must be infused. Take 10 g of propolis and fill it with half a liter of alcohol, leaving it in a dark place for two weeks. Crush calamus roots and infuse in alcohol in the same way as propolis.
Forecast
With apical displacement of the gingival margin, in most cases the prognosis is positive.
Timely and adequate therapy allows you to restore the structure and integrity of periodontal tissues. This helps prevent the destruction of periodontal tissues and tooth decay.
Gum recession requires mandatory treatment. It is strictly not recommended to ignore it. Advanced stages of pathology contribute to the rapid development of complications and partial or complete loss of teeth.
Possible complications
There is a misconception that the separation of periodontal tissue from the gums is not a significant pathology.
But, experts argue and warn that with untimely or incorrect treatment, this condition contributes to the development of numerous complications in the form of:
- Lymfodenitis.
- Infectious lesions of the bone tissue of the jaw apparatus.
- Periostitis.
- Periodontitis.
- Pathologies of the heart muscle.
- Development of endocrine diseases.
- Respiratory diseases of infectious etiology.
Important! If the pathology in which the gums move away from the teeth is not addressed in a timely manner, the likelihood of both partial and complete tooth loss increases.
Preventive measures
Recession prevention consists of the following manipulations:
- Strict adherence to oral care rules.
- Correction of the daily diet, which should be balanced.
- Strengthening the immune system.
- Elimination of bad habits.
- Preventing gum injury.
- Carrying out self-monitoring of oral health.
- Systematic medical examinations with dentists.
- If any dental pathologies are present, provide immediate treatment.
Important! Compliance with preventive measures will prevent the development of gum recession, thereby preserving not only the health, but also the beauty of the dentition.
The receding of the gums from the teeth can be caused by a number of factors, the correct determination of which can be carried out by a doctor.
Therefore, if the slightest signs of periodontal soft tissue recession appear, you should immediately visit a doctor.
Anomalous structure
In addition, there are cases of abnormal structure of the mouth or teeth, as well as malocclusion. Cervical or basal caries, the presence of bad habits (smoking, habit of biting nails). Also, hormonal imbalances in women, age-related changes in older people, lack of vitamin C and poorly fitted dental structures can act as a provocative factor.
The causes and treatment of receding gums are often interrelated.
The disease mainly affects the front incisors and canines, but in some cases the premolars are also affected. The depth of receding gums can be up to seven millimeters. After eliminating the cause that caused the receding gums, they move on to the next stage of therapy, the result of which should be the lifting of soft tissues to cover the roots of the teeth.