Acute toothache - possible causes, first aid and treatment

Severe throbbing pain is always associated with a pathological process. Information on what to do to relieve throbbing pain in a tooth will help reduce pain and wait for an appointment with a doctor without discomfort. Even if it subsides over time or under the influence of painkillers, this does not mean that the tooth is healthy, just that the painful sensations are muted until the moment when they recur with renewed vigor, and the problem becomes relevant again.

Mechanism of occurrence

Whatever the cause of throbbing pain, the mechanism of its occurrence is always the same: the effect on the nerve endings located in the tooth or in adjacent tissues. Often, pulsation first appears at night, since during the day the adrenal glands work more actively, producing corticosteroids - natural painkillers. In the morning, the activity of the adrenal glands returns to normal, so the throbbing pain can go away and return again to the moment of sleep.

Also, pulsation may increase after mechanical stress: after eating, biting or chewing solid food. It is also activated by temperature changes: consumption of hot foods or drinks, ice cream, cold milkshake, etc. With advanced pathologies, pulsating sensations can spread to several adjacent teeth or half the jaw, so that it will be difficult to determine the primary source.

Throbbing pain becomes a response to infectious diseases, injuries and lack of tightness in the tooth structure, diseases of the soft gingival tissues and pathological formations in the bone structure of the jaw.

General information about diseases

Causes of pain when pressing on a tooth:

  • Periodontitis is inflammation of periodontal tissue. It occurs after poorly performed dental treatment of deep caries, pulpitis, and sometimes a traumatic form occurs. Pathological organisms are preserved in the roots of the unit. Here, in airless space, they multiply, developing a focus of infection. The primary symptom of periodontitis is pain when biting. To reduce the negative reaction, a person does not load the side with the affected tooth while eating. At rest, there is no symptom, but soon pain appears even when lightly touching the unit with the tongue. It is piercing and unbearable, gradually becoming aching and constant. In addition to the main symptom, the following symptoms appear: decreased general health, cephalgia, increased body temperature. At the appointment, the dentist can easily identify the diseased tooth by tapping it with an instrument, and an additional X-ray is taken;
  • Periostitis (flux) is inflammation of the periosteum. The causes of the development of the disease are: inflammatory gum pathologies, periodontitis, caries, ENT infections. In many patients, the impetus for the development of flux is hypothermia, nervous fatigue, and a cold. The pathology at the initial stages is manifested by: the formation of a small lump on the gum at the roots of the affected unit, unpleasant sensations when biting, and hyperemia of the oral mucosa. At its height, the disease is accompanied by: increased body temperature, swelling of the soft tissues of the face, piercing pain in the areas of the head, neck, and jaw. There is swelling of the cheek and, in critical situations, swelling of the neck. My health is rapidly deteriorating.

Read also: Salt for toothache

The person requires immediate medical attention. Complications of periostitis are very dangerous and can lead to death.

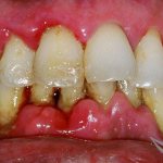
  • Periodontitis is an inflammation of periodontal tissues, leading to disruption of the functionality of the ligamentous apparatus and changes in the structure of the bone tissue of the jaw. The main cause of gum inflammation is poor oral hygiene. Predisposing factors are: smoking, drinking colored drinks, sweets. If you do not clean your mouth within 30 minutes after eating, activation of conditionally pathological microorganisms begins. Leftover food stuck to the units is an ideal breeding ground for them. The waste product of bacteria, lactic acid, makes enamel vulnerable and contributes to the formation of caries. Food particles and microorganisms in the mouth form plaque. Initially it is soft, but under the influence of saliva salts, it calcifies and becomes hard. Stones located near the gums accumulate and periodontal pockets form. An increase in hard formations expands them and helps the gums move back. In the acute phase, periodontitis manifests itself as severe pain. A person often cannot identify the cause of an unpleasant symptom and indicates that all teeth and gums hurt at the same time. The symptom intensifies when eating or hygienic cleaning. The clinical picture of periodontitis is clear: bad breath, accumulation of purulent masses at the base of the units, hyperemia, swelling of the mucous membranes, an abundance of hard deposits, pigmented plaque, mobility of the units. To confirm the diagnosis, the dentist only needs to conduct a visual examination. Periodontitis is the most common gum pathology.

If you do not seek help from a doctor, there is a risk of complications: tooth loss, gumboil, sepsis, phlegmon.

  • Jaw trauma is another common cause of pain when biting. If a person hits his face, after an accident he should go to the clinic. Mandatory are: radiography, examination by a traumatologist, neurologist, dentist. After a strong mechanical impact on the jaw, the following develop: traumatic pulpitis, periodontitis;
  • Pulpitis is inflammation of the nerve fiber inside the roots of the units. The causes of the pathology are: caries, trauma, poor oral hygiene. The pathology is accompanied by pain in the area of ​​the affected unit, which intensifies when biting. Distinctive signs of pulpitis are attacks of pain at night, which intensifies when consuming hot foods or drinks.

As it became clear, toothaches when pressed are accompanied by various pathologies. None of them has a tendency to self-heal, but is dangerous for the development of complications!

Main reasons

Each person’s body’s response to any disease is individual. This also applies to dental problems: for example, for some people, caries does not cause any discomfort, but for others it causes severe pain.

Throbbing pain is only one symptom of a large list of diseases, but it is the one that most often forces patients to see a doctor, who will evaluate other symptoms during the examination.

Among the main reasons for such sensations are:

  • Caries. The cause of pulsation is most often medium and deep caries, while superficial caries often goes away almost asymptomatically. The sensations intensify not only when eating hot or cold, but also when eating sour or sweet.
  • Thinning of tooth enamel . Discomfort accompanies eating and intensifies during and after hygienic cleaning. Particularly severe symptoms are caused by dentin exposure in the neck of the tooth. This is observed due to progressive caries or abrasion of the enamel due to uneven load on different parts of the dentition.
  • Pulpitis. This is the most common cause of throbbing tooth pain. When the pulp is inflamed, the pathological process directly affects the dental nerve, so the disease is accompanied by severe pain. Often in the later stages, loosening of the diseased tooth occurs.
  • Periodontitis . Severe inflammation of the bone tissue surrounding the root of the tooth.
  • Crack or loss of filling . In this case, food can get inside, causing pain.
  • Cyst of the tooth or bone tissue of the jaw . The pathological focus leads to the development of severe pain of a pulsating type.
  • Flux . A cavity filled with pus creates pressure on the surrounding tissues, they become deformed, which leads to pulsation both at night and during the day.
  • Pressure on the periodontal ligaments . This can occur during adaptation to braces, which put a lot of pressure on the dentition, or during the eruption of wisdom teeth, if there is a significant lack of space in the dental arch. Sometimes a similar effect is caused by solid food stuck in the interdental space, which is difficult to detect and remove on your own.
  • Sinusitis . With pathology inside the paranasal sinuses, a pulsating sensation may occur in the upper incisors, canines or molars if the inflammatory process has spread close to their roots.

Also, acute throbbing pain may appear after the removal of one or more teeth. The larger the scale of the surgical treatment, the stronger this symptom will be, which goes away within a day or two in the absence of complications. This can also happen after root canal filling. Any manipulation during which nerves or large areas of tissue near the tooth were affected can provoke pulsation after the local anesthesia begins to wear off.

Causes of pain not related to dental problems

The cause of toothache is not always caries and other dental problems. In some cases, completely healthy teeth begin to hurt. This may be associated with diseases of the gastrointestinal tract. In this case, there is no point in dental treatment. It is necessary to consult a general practitioner. He will make a diagnosis and prescribe treatment or send you to a specialist of another profile. Properly selected treatment will eliminate the underlying disease, and the teeth will stop hurting.


Digestive problems affect dental health. With gastritis, the lower “fours” and wisdom teeth are often affected; with intestinal diseases, the lower “fives”; with cholecystitis and liver problems, the fangs are affected.

How to reduce

The pulsation most often intensifies after touching the tooth or soft tissues near it. In addition to pain, symptoms such as swelling of the gums, headache, fever, and an unpleasant odor or taste in the mouth may appear. It's hard to bear, especially for several hours in a row.

First of all, you need to make an appointment with a dentist, who can identify and diagnose the cause, and, if necessary, prescribe treatment or removal.

The following methods are recommended for pain relief:

  • pharmaceuticals;
  • auxiliary means.

All these methods have only a temporary effect and bring short-term relief. They can be a sufficient measure that does not require treatment only when it is necessary to relieve symptoms after removal or serious treatment by a dentist.

Medicines

Medicines to relieve throbbing pain can be purchased without a prescription at the pharmacy. Since pulsation is a painful sensation of high intensity, it is recommended to combat it with the help of non-steroidal anti-inflammatory drugs. It is permissible to use them both in the form of tablets and in the form of injections. In addition to the analgesic effect, they can slightly slow down the inflammatory process. The effect after injections occurs a little faster than after taking tablets. The effect of the medicine lasts for 5-7 hours.

Effective drugs are considered to be Ketanov, Diclofenac, Nurofen, etc. In the case of children and pregnant women, before taking an analgesic, you should consult with your family doctor, since most of the available effective drugs are prohibited for use by these groups of patients.

Helper Methods

They may not help on their own, but in combination with medications they can reduce inflammation and pain until the dentist solves the problem. These methods have a local effect:

  • Cold compress . This allows you to wait until the medicine begins to act. The duration of such “anesthesia” is very short - about 5 minutes.
  • Rinse with soda solution . Prepare a solution from 200 ml of water and 1 tsp. soda, you can add a drop of iodine. It is forbidden to rinse after removal.
  • Rinsing with a medicinal decoction . A teaspoon of dry sage, chamomile, St. John's wort or oregano is poured with boiling water (200 ml) and left for about 20 minutes. Rinse after the broth has cooled, as hot water will only intensify the throbbing pain.
  • Applications . Moisten a cotton swab with clove oil, tea tree oil, tincture of valerian or eucalyptus and apply to the pulsating area.

These methods will help you wait until your appointment at the dentist. When it comes to the consequences of removal or filling, you should wait a day or two. But if the pulsating sensations persist, you should urgently see a doctor, because this may be evidence that the manipulation was performed incorrectly and the pathological process continues.

Why does the tooth pulsate?

Under seal

The occurrence of this type of discomfort may depend on the type of filling. A temporary filling sometimes causes pain. This happens as a result of using various means to eliminate the nerve. This discomfort has mild symptoms that gradually decrease in intensity.

When using a permanent filling, the appearance of discomfort may indicate the presence of an infection in the dental cavity, as well as poor-quality root canal treatment. If you experience such unpleasant sensations, you should immediately contact your dentist to identify the cause.

Under the crown

The feeling of a pulsating tooth after crowns are installed can occur if the procedure was performed incorrectly.

Other causes may include incomplete removal of the nerve and the proliferation of bacteria in the canals. The appearance of this type of pain under the crown provokes the formation of serious complications, so at the first symptoms you should consult a doctor.

After tooth extraction

Complete tooth extraction requires a certain period of rehabilitation. At the site of the operation, tissues are damaged, which gradually grow together, which provokes the appearance of unpleasant sensations.

Also, the causes of pain may be improper removal and the consequences of the procedure. If unpleasant symptoms last a long time and do not reduce their intensity, you should contact your dentist.

After nerve removal

After removing the nerve from the dental cavity, the canal is widened and washed with special preparations that eliminate bacteria.

However, the nervous system has a large number of branches, so in some cases the nerve is not completely eliminated. In addition, an infection can get into the tubules. In such cases, a person feels pulsation and pain in the tooth without a nerve.

Wisdom tooth

During the period when the molar begins to erupt, unpleasant symptoms very often occur, including tugging pain. The appearance of third molars can provoke an increase in body temperature and general malaise, the pain lasts quite a long time.

Tooth hurts after nerve removal

Inside a tooth without a nerve, a problem is also possible due to incompletely passed or poorly treated canals. As a result, the tooth pulls without pain or with pain.

Why does a tooth hurt and twitch after root canal treatment?

Treatment of the canals is carried out at a subtle level. Visualization is only possible under a microscope, and even then not in all areas. Result: leftover parts of the pulp contents, which then decompose or the sealant is not fully introduced, or vice versa, the instrument exits or the material is introduced higher beyond the canals. Inflammation begins , the tooth twitches after treatment, starting from the second week or after a long time.

Which tooth hurts - a healthy one, under a filling or under a crown?

Toothache is very insidious and can appear not only on the affected chewing surface, but also on healthy teeth. There are situations when a patient cannot eat ice cream or drink hot chocolate without experiencing pain or discomfort, even when the dental tissue is completely healthy. The reason for this is usually the presence of small cracks in the enamel.

In most cases, the cause of pain under a filling is poor treatment of caries. Dentists include a poorly cleaned carious cavity during treatment or a loose filling as the main factors in the development of such pain.

But patients may also complain of pain under the crown. If the tooth remains alive, then pain appears due to caries or the development of inflammatory processes in the gums and roots. If the nerve has been removed, pain occurs due to incomplete filling of the canals or the use of low-quality material, which sags over time and forms voids that initiate inflammation.

Treatment. What to do if there is pain in the gum under the tooth

If you feel pain in your mouth, you should always contact your dentist. Any pathological process in this area requires a quick search and elimination of the cause of the disease. Lack of timely medical care can, depending on the cause of the pain, lead to complications:

  • abscess;
  • breakthrough of pus with the formation of a fistula;
  • progression of the tumor with metastases, destruction of oral tissues;
  • loosening and loss of teeth;
  • sepsis - bacterial blood infection;
  • odontogenic purulent lesions - osteomyelitis of the jaw, meningitis, otitis.

For purulent inflammation, antibiotics and antiseptics , as well as surgical opening of the lesions . , surgical removal of the tumor or excision of the fistula tract is carried out, respectively . For malignant tumors, chemotherapy and radiation therapy . For neuritis physiotherapy and anti-inflammatory drugs are used.

In case of poor quality previous treatment, the canals are refilled, crowns are reinstalled, the prosthesis is replaced, and the tooth is removed.

First aid. Painkillers

Eliminating gum pain is a common case of self-medication. It is justified by the excruciating and acute pain in the oral cavity. Non-steroidal analgesics are used:

1. Paracetamol.

2. Analgin.

3. Ibuprofen.

4. Tempalgin.

5. Nimesil.

Taking antihistamines will also help relieve swelling:

  • Zyrtec;
  • Desal;
  • Suprastin et al.

You should not apply an analgesic tablet to a sore spot - you can introduce a new infection.

Do not heat the affected area. Due to increased blood flow, pus may spread or tumor growth may occur.

Antibiotics for inflammation and pain in the gums

If the gums are swollen and painful, it is most likely a purulent inflammation.

It is treated with antibiotics. Since determining the sensitivity of bacteria to them takes several days, to speed up the therapeutic effect, broad-spectrum antibacterial agents are immediately prescribed:

  • penicillins;
  • cephalosporins;
  • macrolides;
  • sulfonamides.

You should not take antibiotics without medical supervision and violate the prescribed regimen. Is it dangerous. Viral infections should also not be treated with antibiotics.

Dental gels and ointments

Local anti-inflammatory drugs in the form of a gel or ointment provide quick relief from pain: Cholisal, Metrogyl Denta, Kamistad. They are applied at least 2 times a day and only after thoroughly cleansing the mouth and rinsing.

Rinse preparations

It is good to rinse your mouth with antiseptics several times a day - Miramistin, Chlorhexidine, Stomatofit, a solution of regular soda: 1 tsp. for 1 tbsp. warm water. This relieves gum soreness.

In addition to ready-made pharmaceutical products, you can rinse your mouth with a prepared solution of potassium permanganate (potassium permanganate) of a slightly pink color; all crystals must be completely dissolved in water. Suitable for rinsing is a ready-made solution of furacillin, a glass of warm water into which 2-5 drops of iodine have been added.

Prevention

To prevent tooth decay, it is important to practice good hygiene. You need to brush your teeth twice a day. To do this, it is recommended to use a medium-hard toothbrush and anti-inflammatory paste. The duration of brushing your teeth should be at least 3 minutes. Additionally, it is necessary to clean the interdental spaces with floss. You should change your toothbrush every three months to minimize the risk of bacteria growing on it.

You should eat hot and cold foods with caution. Temperature changes contribute to the destruction of tooth enamel and the appearance of cracks in it. The menu must include solid foods. They are natural cleaners and minimize the risks of mechanical damage by training the surface relief of teeth.

It is necessary to reduce the consumption of foods that contain large amounts of sugar. Sweets negatively affect the condition of tooth enamel and can lead to the development of caries. Additionally, you can take medications with calcium and fluoride, which help strengthen the enamel.

If possible, after each meal, even if it was a small snack, it is recommended to rinse the mouth with chamomile decoction or soda solution. If this is not possible, you can use chewing gum instead.

You can strengthen your gums by massaging them with sesame or coconut oil. If you carry out this procedure regularly, you can significantly reduce the sensitivity of the gums to external irritants and increase local immunity. The massage lasts 3-5 minutes.

For preventive purposes, you should visit the dentist at least once every six months. This will allow timely detection of defects and damage, and, therefore, reduce the risk of tooth decay and acute toothache.

On the recommendation of a doctor, you should not refuse professional teeth cleaning. It is absolutely painless and prevents the development of caries and other oral diseases. Today, ultrasonic cleaning is a very popular procedure. This method can restore the natural shade of enamel. For people predisposed to developing caries, fluoridation of the surface of the teeth may be recommended.

It is important to remember that a healthy lifestyle has a beneficial effect on the preservation of teeth. You should quit smoking and minimize your alcohol consumption.

First aid when a tooth hurts very badly

Of course, when a tooth hurts, you need to know how to provide first aid.

If pain occurs, the following actions should be taken:

  • thoroughly brush your teeth with a soft brush, carefully removing all food from the interdental spaces;
  • Rinse your mouth with a warm solution of salt and soda. To a glass of water you need to add a teaspoon of the indicated ingredients;
  • take painkillers;
  • rinse your mouth with herbal decoctions with an antiseptic effect.

An effective folk method is to steam your feet in hot water for 15 minutes. After this, it is recommended to wear warm socks and wrap yourself in a warm blanket.

If an acute toothache occurs suddenly at the most inopportune time, when there are no painkillers at hand, you can try to relieve it with a light massage. This will relieve swelling of the gums, which will reduce pain.

Basic massage techniques for severe toothache:

  • Use your fingertips to press on your cheek in the area of ​​the diseased tooth;
  • carry out gentle stroking of the neck without pressing on the carotid artery in the direction of the jaw;
  • With your index finger you need to press the nasolabial fold 8-10 times, then take a 30-second break and repeat the massage action.

You can also relieve acute toothache using traditional methods:

  • apply a small piece of unsalted lard, peeled, to the sore tooth;
  • put a small ball of propolis into the existing carious hole, drop in tincture of motherwort or valerian;
  • Apply a little “Star” balm to the inflamed gum and massage it.

Even if the pain has been relieved, it should be remembered that the likelihood of its reoccurrence is very high. Therefore, it is necessary to visit the dentist as soon as possible.

Acute throbbing pain can be significantly reduced using psychological methods. Experts recommend trying to distract yourself by watching comedy films and funny TV programs. This is explained by the fact that laughter relaxes the facial muscles, thereby reducing pressure on the diseased tooth. Crying has a similar effect. Onions can be used to induce tears. Strong people can always take their mind off toothache by doing what they love.

For pain relief, children and pregnant women are not recommended to use painkillers. You can relieve toothache by rinsing your mouth with a soda-salt solution every 2 hours. Furacilin solution can be used in a similar way. To prepare it, you need to dilute two tablets in a glass of water. An infusion of chamomile or coltsfoot also has analgesic properties.

Symptoms of acute toothache

Very often, before acute toothache occurs, gum inflammation occurs. According to statistics, pain occurs more often at night than during the day.

Toothache, which is acute in nature, can be paroxysmal, aching, throbbing, etc. As a rule, pain can decrease while taking painkillers, but soon reappears.

With acute toothache, body temperature may rise and an unpleasant odor from the oral cavity may occur. Sometimes pain radiates to the chest area or to the head, shoulder blade or arm. Additionally, coughing and decreased hearing acuity may occur. If a child experiences acute toothache, he becomes lethargic, irritable, whiny and capricious.

Treatment of severe toothache

If severe toothache occurs due to caries, the dentist will carry out treatment that involves preparing the hard tissues of the tooth. For this purpose, hardware treatment of the affected areas is used using local anesthesia. Average caries is treated in one visit.

First, the doctor performs pain relief using modern anesthetics. Next, mechanical and medicinal treatment of the carious cavity is performed. After this, a protective lining is installed, which serves as a replacement for dentin. The tooth is then restored using a filling. At the final stage, processing is carried out to adjust the filling and polish its surface.

Deep caries requires treatment, which is carried out in two visits. After treatment and removal of the nerve, a temporary filling must be installed in order to assess the correctness of the treatment.

Treatment of pulpitis involves the use of modern methods that eliminate inflammation. If you consult a doctor immediately after severe pain occurs, you can save the nerve. In this case, conservative treatment can be carried out.

The procedure involves opening the pulp and treating it with antibacterial drugs. A bandage soaked in calcium hydroxide is applied on top. The hole is closed with a temporary filling. After a few days, an x-ray is taken and the condition of the pulp is assessed. In the absence of inflammation, the doctor places a permanent filling. Unfortunately, this method is not always effective; in addition, it requires a highly qualified dentist.

In severe cases, surgical treatment of pulpitis is used. Various techniques can be used for this. Their choice depends on the patient’s age, individual characteristics of the body and the severity of the case. During surgical treatment, the pulp may be removed in whole or in part.

The vital technique involves the extraction of pulp tissue. To do this, the tissue damaged by caries is first removed, after which it is treated with an antiseptic, and then the nerve is removed and a filling is performed. The procedure is considered universal if the patient is not allergic to anesthetics.

If it is impossible to use this method, a devital technique is used. In this case, the inflamed pulp is exposed to toxic agents; arsenic was previously widely used. A special paste is placed in the tooth for a couple of days. But if the patient does not have the opportunity to visit the dentist in the near future, mild agents are used that can be used for two weeks. During the second appointment, the paste is removed, the nerve is removed and filling is performed.

Cracks in tooth enamel occur quite often. They first manifest themselves as a painful reaction of the tooth to sour, sweet, hot and cold foods. Subsequently, severe pain may occur. It is quite difficult to independently detect the cause of the pain syndrome in such cases.

If cracks are detected at the initial stage of development, treatment will consist of a set of measures, the purpose of which is to restore the natural strength of tooth enamel. For mineralization, special gel compositions saturated with fluorine, calcium and phosphorus are used. After treatment is completed, the tooth enamel is further strengthened with a composite.

Treatment of noticeable cracks that spoil the appearance of the tooth is carried out using veneers. Such plates are made from a special ceramic mass and are used mainly for front teeth. In each specific case, veneers are made individually. Crowns are most often used on lateral teeth.

Treatment of severe toothache in pregnant women can only be carried out in the second trimester. During other periods, this is only allowed if there is a high risk of infection.

Diagnostics

When a tooth hurts, you need to contact a dental clinic to make an accurate diagnosis and treatment. At the first stage, the doctor collects anamnesis and visually examines the oral cavity. Additionally, he uses percussion, which is tapping on the teeth. In this way, the pain of each tooth is determined. If necessary, probing is carried out using special instruments. It allows you to detect the presence of carious cavities and periodontal pockets. The doctor will also evaluate the presence of bleeding gums, which is a symptom of certain diseases.

After the examination, additional instrumental studies will be prescribed, which will allow the condition of the internal tissues to be assessed. Radiography is one of the most informative methods. Using an x-ray, the doctor examines the condition of the dentition and surrounding tissues. X-rays can detect tumors and other pathologies. The study is safe because the radiation dose is minimal.

When the doctor understands that a specific tooth hurts, a study is carried out using a radiovisiograph, which allows a targeted photograph of the tooth to be taken. In this case, the degree of caries is determined, which allows you to control the treatment process. The condition of the implant, if present, is assessed in the same way. The difference between this method is that it allows you to take a high-resolution image.

A modern method for diagnosing tooth pain is a 3D image. This procedure is carried out once, after which a special computer program creates a three-dimensional model. The method allows you to see all the defects and make the correct diagnosis.

The most progressive diagnostic procedure is dental computed tomography. Thanks to it, it is possible to detect hidden caries or injury, pathologies of jaw development and inflammatory processes.

Rating
( 1 rating, average 4 out of 5 )
Did you like the article? Share with friends:
Russian | English
Для любых предложений по сайту: sto247@cp9.ru