Виниры накладки зубные, что это, зубные протезы виниры, съемные зубные виниры, плюсы и минусы. Ультраниры, виниры ультраниры, виниры люминиры: что это, плюсы и минусы


Для исправления дефектов внешнего вида и жевательной функции зубов используют разнообразные протезы: коронки, мосты, импланты, виниры. Во многих случаях лучше ставить виниры. Они, как и коронки, могут выполняться из разных материалов и закрепляются различными способами фиксации. Но размер этих микропротезов меньший, и они закрывают лишь переднюю поверхность зуба.

Показания для установки виниров

Зубные виниры – это микропротезы, которые при корректной установке выглядят, как естественные зубы. Их применяют, если внешний вид и форму зубного ряда исправить другими методами не удается, чаще всего так реставрируют зубы до пятого по счету сверху и до четвертого снизу.


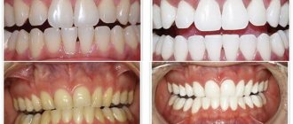
Фото: так выглядят зубы до и после установки виниров

Процесс создания накладок и их установки весьма непродолжителен, и даже для самых качественных моделей не превышает 1 недели.

Служат виниры долго: по статистике, спустя 16 лет ношения, микропротезы остаются неповрежденными более чем у 70% пациентов.

Показаниями для протезирования винирами являются:

  • Чрезмерная желтизна эмали, в том числе «тетрациклиновые зубы», которые пожелтели из-за побочного действия принимаемых антибиотиков.
  • Эмаль с признаками флюороза.
  • Неэстетичный вид эмали после депульпирования.
  • Неправильная анатомическая форма или некорректное положение зуба: оборот вокруг оси, увеличенные межзубные промежутки либо скученность.
  • Пломбы на видимой части зубного ряда, которые отличаются по цвету от естественного оттенка.
  • Совершенствование эстетики зубного ряда, другими словами – создание «голливудской улыбки».
  • Исправление дефектов, не поддающихся другим методам реставрации.
  • Сколы частей зуба.


Фото до и после выравнивания края зуба виниром

На вопрос о том, во сколько лет лучше ставить виниры, большинство стоматологов дадут единый ответ: в любом возрасте после совершеннолетия. На молочные зубы микропротезы не ставят, а после 18 лет происходит естественное выравнивание и формирование прикуса.

Основные сведения о винирах

Процедура установки такого покрытия проста. На первом этапе проводится шлифовка естественной эмали зуба. Снимается совсем небольшой слой ткани, который не превышает толщину 0,3 мм. Благодаря этому процедура малоинвазивна, не портит общее состояние зубов. Такие манипуляции позволяют обеспечить более плотное прилегание винира к поверхности эмали. Это не дает возможности попадать туда пище и другим веществам, которые могут способствовать разрушению.

Основными материалами, которые используются для изготовления виниров, выступают керамика и полимеры. Керамические варианты отличаются повышенной прочностью и долговечностью. Служить они будут более 20 лет, не теряя своих качественных и эстетических характеристик. Их стоимость довольно высокая. Однако после установки можно быть уверенными в том, что никаких дополнительных реставрационных работ на протяжении всего срока эксплуатации не потребуется.

Дешевле будут композитные виды, то есть изготовленные из полимеров. Такие материалы используются при санировании. Имея не столь высокую цену, как предыдущий вариант, они уступают в качестве. Данный вид не будет долговечным, также он не отличается значительной прочностью. Через определенный период времени покрытия могут потерять свой вид, вследствие чего потребуется проведения замены.

Какой метод протезирования выбрать

Если у человека выражены дефекты зубного ряда, стоматолог может предложить ему провести реставрацию, установку брекетов, коронки или винира. Каждый метод обладает своими особенностями:

  • Для плотного прилегания искусственной коронки зубы стачивают со всех сторон и весьма глубоко. Зато коронковые протезы могут исправить дефект с любой стороны поверхности зуба.
  • При установке винира стачивается лишь самый тонкий слой эмали, не более чем на 1 мм.
  • Если нужно выровнять зубной ряд, более эффективным способом будет установка брекетов, тем более что этот метод не требует сильного стачивания поверхности зуба.
  • При выравнивании нижних или верхних зубов брекетами система заметна на зубах, особенно неэстетичными выглядят металлические брекеты старого типа.
  • Виниры при корректной установке абсолютно сливаются с зубным рядом.
  • Реставрация зубов свето-полимерными пломбирующими материалами не обеспечивает достижения естественной полупрозрачности зуба, поэтому запломбированный участок может сильно отличаться от окружающей зубной ткани.
  • Коррекция винирами обеспечивает полупрозрачность поверхности, особенно керамическими, так как у композитных изделий внешний вид со временем меняется.
  • Материалы, используемые для винирования, редко вызывают аллергию, которая иногда развивается при других стоматологических процедурах.

Несмотря на то что такие свойства зубных виниров нередко кажутся оптимальными, микропротезы имеют и недостатки. Бывают ситуации, когда устанавливать их не стоит.

Как правильно проводить гигиенические процедуры с винирами?

Плюсом использования такого метода как виниринг становится простота дальнейшего ухода за полостью рта. После проведения процедуры можно продолжать употребление привычной пищи и напитков. Чистить зубы достаточно два раза в день, используя любую зубную пасту. Нелишним будет дополнительное использование специальной нити, которая обеспечит здоровье десен.

Чтобы поддерживать эстетичный внешний вид, рекомендуется два раза в год проводить профессиональную чистку полости рта. Однако это не совет лишь тем, кто носит конструкции. Такая процедура будет полезна всем.

Использование виниров на кривые зубы или же просто для повышения эстетичности улыбки решает множество дополнительных проблем. Благодаря наличию утолщенной эмали удается навсегда избавиться от повышенной чувствительности. Максимальная плотность прилегания при установке позволяет избежать дальнейшего появления кариеса или других стоматологических заболеваний. Появляется дополнительная уверенность в себе, ведь человек с белоснежной улыбкой спокойно общается с окружающими, не стесняется улыбаться и смеяться. Это способно стать очень эффективной визитной карточкой для каждого.

Калькулятор: рассчитать цены онлайн

Расчет стоимости виниров под ключ

Рассчитайте самостоятельно стоимость установки виниров.
Для точного окончательного расчета к каждому виниру прибавляется стоимость фиксации — 500р. и один раз за всю работу стоимость слепков — 1200р.

Выберите тип виниров

0

Укажите необходимое число виниров

Лучше и точнее — на бесплатной консультации! Все адреса и телефоны на сайте chudostom.ru. Запишитесь по телефону в ближайшее к Вам отделение.

Расчет не является публичной офертой, окончательную стоимость определяется на бесплатной консультации ДО начала и не меняется в процессе лечения.

Итоговая стоимостьруб.

0

Противопоказания и недостатки винирования

Узнав о том, что такое зубные виниры, многие люди стремятся сделать себе такие протезы, чтобы забыть о дефектах зубного ряда. Но не всем подходит винирование, для него есть и противопоказания:

  • Интенсивная стираемость зубных тканей.
  • Предрасположенность к бруксизму – ночному скрежетанию зубами.
  • Неправильный прикус.
  • Повреждения зубов с внутренней стороны или наличие пломбы большого размера со стороны языка.
  • Отсутствие многих зубов.
  • Нецелесообразно ставить любые виды виниров на зубы человеку, имеющему вредные привычки, которые приводят к порче протезов: привычка грызть ногти или вскрывать бутылки с помощью зубов.
  • Не проводят винирование спортсменам с частыми случаями повреждения зубного ряда, к примеру, боксерам.

Основной недостаток, который важен для многих пациентов, – это высокая стоимость процедуры. При попытке выбрать менее дорогую разновидность протеза приходится «жертвовать» качеством. Еще один минус – прочность этих накладок достаточно высока, но не может обеспечить абсолютную надежность.

Немаловажный нюанс – необратимость процедуры: если внешний вид винира не устраивает, или он повредился, его нельзя снять, приходится устанавливать коронку.

Виды виниров: какие лучше

Для изготовления таких микропротезов применяют различные материалы, которые по цвету практически неотличимы от естественных, собственных зубов пациента. Оттенок подбирается в каждом случае индивидуально.

Современная стоматология предлагает:

  • Керамические виниры, изготовленные из медицинского фарфора либо диоксида циркония. Эти микропротезы толщиной до 0,5 мм признаны лучшими по прочности, сроку службы. Они выглядят как настоящие зубы и долго не теряют свои свойства.
  • Фарфоровые люминиры – тончайшие (около 0,2 мм) пластики из фарфора, которые устанавливаются даже без обточки зубов или на искусственные коронки. Микропротезы такого типа применяются для достижения идеального эффекта «голливудской улыбки».
  • Композитные виниры – протезы, изготовленные из композитных материалов, предрасположенных к взаимодействию с некоторыми компонентами пищи и напитками. По свойствам они несравнимы с винированием керамикой, так как недолговечны и со временем теряют эстетичный вид. Зато их установка более проста, нередко выполняется прямо в кабинете стоматолога, а не в зуботехнической лаборатории. По сути, эта разновидность виниров является пломбой, маскирующей переднюю поверхность зуба.

Выбор вида виниров на зубы во многом зависит от финансовых возможностей пациента. Если человек готов заплатить достаточную сумму за протезирование, предпочтение отдается керамическим винирам, реже – фарфоровым люминирам, их стоимость наиболее высока. Бюджетный вариант – винирование композитными протезами.

Срок службы виниров на зубы

Часто у пациентов с проблемными передними зубами стоит выбор между установкой виниров и коронок. С одной стороны, хочется сохранить витальность пульпы и спилить как можно меньше тканей. С другой стороны, не хочется уже через год-два снимать накладки и устанавливать коронки. Попробуем разобраться, от чего зависит срок службы виниров, в каких случаях их стоит ставить, а в каких нет.

Длительность ношения накладок очень индивидуальна. Она зависит от:

  • материала изготовления микропротеза;
  • прикуса пациента;
  • соблюдения всех технических условий и параметров в лаборатории;
  • соблюдения правил обработки зуба и фиксации врачом;
  • тщательности ухода за ротовой полостью и соблюдения плановых посещений врача;
  • наличия вредных привычек у пациента.

Безусловно, самыми стойкими и надежными на сегодня считаются виниры Emax, срок службы которых достигает 10-15 лет. Аналогичный имеют срок службы циркониевые виниры за счет плотного каркаса. Накладки, изготовленные из обычной керамической массы, служат не менее 5 лет. В то же время, срок службы виниров из композита наименьший. Как правило, цена за единицу прямо соответствует продолжительности службы будущей конструкции.

Подготовка к протезированию

Первый этап – посещение стоматолога для осмотра ротовой полости, выявления дефектов, противопоказаний и непосредственных показаний для установки протеза. Если препятствий для протезирования нет, доктор совместно с пациентом выбирает материал для изготовления виниров и оттенок, который должен соответствовать цвету зубов.

Перед установкой микропротезов иногда приходится обтачивать зубы для более плотного контакта между поверхностью коронки и винировой пластинкой. Но при использовании люминиров эта процедура необязательна.

Силиконовые зубные виниры, плюсы и минусы

Виниры установленные на силикон — это искусственные зубы, обладающие высокой эстетикой и функциональностью. Если у вас множество противопоказаний для установления накладок, а улыбка желает лучшего, тогда силиконовые конструкции, это именно то, что вам нужно.

  • Идентичен слизистой ротовой полости.
  • Очень гибкий, податлив в работе.
  • Не создает в процессе эксплуатации неудобств.
  • Повторяет в идеале форму неба, отлично крепятся к десне.
  • Достаточно длительный период эксплуатации до 5 лет.
  • Создают трудности во время пережевывания твердой пищи.
  • Возможны дефекты речи во время привыкания.

Создание и установка керамических виниров

Существует два метода протезирования керамикой:

  • Стоматолог послойно выкладывает керамическую массу слоями, а затем обжигает ее, получается непрессованная керамика.
  • Специалист выполняет литье массы при высоких термических и барических показателях (прессованная керамика), это обеспечивает гораздо большую прочность и срок службы накладки.

Циркониевые накладки вытачивают на специальных фрезеровальных станках, этот процесс автоматический.

Этапы установки керамических микропротезов, изготовленных в лаборатории зуботехника, таковы:

  • Изготовление трехмерного слепка.
  • Компьютерное моделирование.
  • Сколько дней проходит от подготовки зуба до установки постоянной накладки, зависит от частных нюансов, выбранного материала, сложности протезирования. Поэтому на обточенные зубки пациента ставятся пластиковые временные микропротезы, чтобы не было дискомфорта в полости рта.
  • Готовые виниры прикрепляют на пасты, которые бывают разных оттенков. В это время пациент и стоматолог окончательно определяются с оттенком микропротеза, так как он сильно зависит от выбранного типа цемента. Исправить оттенок после этого этапа уже не удастся.
  • Стоматолог устанавливает накладку на постоянный микропротез, после чего он уже не корректируется.
  • Пациент должен проверить, корректно ли стыкуются нижние и верхние зубы с установленными на них винирами, сформировался ли правильный прикус.


Фото до и после установки виниров на нижние зубы

Как ставят виниры

Перед установкой виниров врач обязан досконально просмотреть вашу амбулаторную карту и провести тщательный осмотр полости рта. В некоторых случаях может понадобиться пройти процедуру лечения десен перед тем, как начать установку и изготовление винира.

К выбору материала для пластин подходят со всей ответственностью, этот процесс может повлиять на последующие — их изготовление, установка и цена. Винировые пластины бывают двух типов — композитные терапевтические и фарфоровые ортопедические.

После осмотра врач подбирает необходимую методику установки и процесс их изготовления. При выявлении проблем с деснами потребуется некоторое время для их лечения. При подборе материала обсуждается оттенок цвета винира, а для того чтобы отсутствовали проблемы с прикусом и пластиной, каждый зуб проходит отдельную подготовку.

Перед установкой винира зубы нуждаются в очистке, это происходит путем снятия слоя эмали и твердой части зуба от 0,5 до 0,7 мм. Толщина снятия напрямую зависит от толщины устанавливаемой пластины, и наименьшая она будет при изготовлении винира из люминира и композита. Процедуру очистки проводят не до конца, а во время изготовления винира ставится временная пластмассовая пластинка сроком от 10 до 15 дней. Сама процедура состоит их следующих этапов:

  1. Сначала делают слепок из специального раствора, его наносят на зуб и ждут полного затвердевания. Схватывание раствора происходит 5 минут, затем форму снимают и уносят в лабораторию.
  2. Потом, по снятому слепку, изготавливается гипсовый оттиск с композитными накладками.
  3. Готовая пластина проходит проверку по соответствию формы и цвету. Если нет соответствия или ощущается какой-то дискомфорт, ее снимают и погоняют до тех пор, пока она не подойдет на все 100% и не будет мешать при приеме пищи или улыбке.
  4. После процедуры подгонки полость рта и пластина обрабатываются во избежание попадания микроорганизмов.
  5. Внутреннюю сторону винира оставляют шероховатой, а зуб обрабатывают гелем для придания ему лучшей шероховатости для хорошего сцепления с виниром.
  6. Для скрепления применяется цементная паста, которая быстро твердеет при воздействии на нее прямого света.
  7. И на последнем этапе удаляют все остатки цемента и проверяют прикус.

Создание и установка композитных виниров

Свойства композитных виниров зависят от того, как их делают:

  • Терапевтические композитные накладки изготавливают сами стоматологи в своем кабинете. Предварительно они обтачивают зуб спереди, а затем наносят послойно композитный светоотражающий материал.


Фото: терапевтический винир на передний зуб

  • Второй способ: стоматолог обтачивает зуб, делает слепок под винир, по которому в зуботехнической лаборатории создают оттиск для его моделирования. Это более качественные и дорогие композитные микропротезы.


Фото: композитные накладки (виниры) на зубы

Действия после установки

Доктор должен рассказать пациенту после установки винира, какие бывают особенности ухода за ними. Примерно через две недели стоит посетить своего дантиста для контрольной проверки самого микропротеза и состояния окружающих его тканей.

Некоторые пациенты отмечают, что после исправления внешнего вида зубы становятся более чувствительными. Несмотря на это, их следует регулярно чистить, как и предполагают стандартные правила гигиены. Но на зубы с винирами нельзя оказывать большое давление, чтобы они не испортились.

Особую осторожность следует проявлять с протезированными резцами, которыми откусывают кусочки пищи. Особенно при установленных композитных микропротезах, которые отличаются меньшей прочностью. Если винир испортился, стоматолог может предложить поставить на него коронку. Такое же решение принимают, если зуб под виниром начал разрушаться.

Если появилось желание установить виниры, стоит обратиться в хорошую клинику, в которой работают квалифицированные стоматологи, и используются качественные материалы. Опытный дантист посоветует, какой метод исправления зубного ряда подходит пациенту более всего.

Виниры люминиры что это плюсы и минусы

Одни из самых тоненьких пластинок, которые не требуют спиливания зубной пластины. Их можно снять в любое время, ведь эмаль под ними совершенно не портится. Эксплуатировать их можно до 20 лет. Они намного тоньше, клеятся на поверхность зуба с помощью специального устойчивого клея.

Есть два вида таких пластинок:

  • Изготовленные по индивидуальному слепку.
  • Изготовленные заранее по стандартам. Они идут наборами в специальных коробочках. Подбирает их врач, технология такая же как и с ногтями.
  • Крепление накладок проходит без спиливания здоровой эмали.
  • Быстрые сроки установки.
  • Не требует местной анестезии.
  • Не требует предварительной установки временных накладок.
  • На них не влияют пищевые красители, чайные, кофейные напитки, никотин.
  • Не причиняют вреда здоровью.
  • Имеют медицинские показатели, препятствуют появлению кариеса.

  • Такая роскошь не каждому по карману. Процедура довольна дорогостоящая.
  • После крепления накладки зубная пластина визуально становится толще. Происходит это из-за того, что поверхность зуба не стачивается. Если зубы изначально мелкие, утолщение незаметно.

Рейтинг
( 1 оценка, среднее 5 из 5 )
Понравилась статья? Поделиться с друзьями:
Для любых предложений по сайту: sto247@cp9.ru