Строение и особенности слизистой оболочки полости рта элементы поражения и профилактика заболеваний


Острый герпетический стоматит

Это инфекционное вирусное заболевание, которое возникает в ответ на первичный контакт с вирусом простого герпеса.

Заражение происходит

  • воздушно-капельным путем;
  • контактно-бытовым путем (через игрушки, посуду и т.д.);
  • от лиц, страдающих рецидивирующим герпесом.

Чаще болеют дети в возрасте от 6 месяцев до 3 лет.

Основные признаки заболевания:

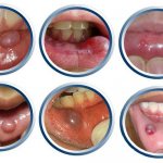
появляется покраснение слизистой оболочки полости рта и пузырьки, которые быстро вскрываются и образуются множественные болезненные округлые язвочки (эрозии), кровоточивость десен; повышение температуры тела, общая слабость, интоксикация; ребенок плохо ест и спит.

С целью предотвращения распространения инфекции

ребенку с острым герпетическим стоматитом не разрешается посещение детского учреждения, даже если заболевание протекает у него в очень легкой форме.

Профилактика заражения вирусом простого герпеса при контакте с заболевшими заключается в смазывании слизистой оболочки носа и рта 0,25% оксолиновой мазью в течение 5 дней.

При признаках заболевания необходима консультация детского врача-стоматолога!

Заболевания слизистой оболочки полости рта у детей

Заболевания слизистой оболочки полости рта в детском возрасте.

  1. Поражения слизистой оболочки полости рта травматического происхождения.
  2. Поражения слизистой оболочки полости рта при инфекционных заболеваниях.
  3. Поражения слизистой оболочки полости рта, вызванные специфической инфекцией.
  4. Поражения слизистой оболочки полости рта, обусловленные аллергией и приемом лекарственных средств.
  5. Поражения слизистой оболочки полости рта при заболеваниях различных органов и систем.
  6. Заболевания языка.
  7. Заболевания губ.

I.Поражения слизистой оболочки полости рта травматического происхождения.

Этиопатогенетические факторы развития травматических поражений слизистой оболочки полости рта:

  • Термическая травма при несчастных случаях в быту
  • Химическая травма при лечении зубов (фенол, резорцин-формалиновая смесь и др.), при случайном проглатывании употребляемых в домашних условиях растворов кислот и щелочей
  • Лучевая травма при проведении лучевой терапии при злокачественных новообразованиях

Особенности клинического течения травматических поражений:

  • При остром травматическом повреждении возможны отек, гиперемия, болезненность, реакция окружающих тканей (лимфаденит регионарных лимфоузлов)
  • Возможно развитие катарального воспаления, внутритканевого кровоизлияния, эрозивных поверхностей, декубитальных язв
  • При ожогах кислотами развивается коагуляционный некроз, при ожогах щелочами – колликвационный некроз

Диагностика заболеваний слизистой оболочки полости рта травматического происхождения

Стоматологическое обледование:

Основные методы

  • Опрос
  • Сбор анамнеза
  • Общее самочувствие
  • Осмотр
  • Пальпация

Дифференциальная диагностика

  • Хронический рецидивирующий афтозный стоматит

Эрозии четких очертаний округлой или овальной формы с ободком гиперемии, прием пищи резко болезнен. Локализация разная, в том числе в участках слизистотй недоступных прикусыванию. В анамнезе хронические заболевания, обусловливающие аллергизацию организма.

  • Некротические поражения слизистой полости рта при лейкозе, декомпенсированных нарушениях кровообращения, уремии.

Факт травмы установить не удается. Изменения периферической крови характерные для лейкоза. Наличие тяжелых заболеваний кровообращения, выделительной системы.

Лечение травматических поражений слизистой оболочки полости рта

  • Устранение травмирующих факторов и вредных привычек
  • Аппликации обезболивающих средств (топик анестетики, 5-10% взвесь анестезина в персиковом масле)
  • Аппликации протеолитических ферментов (трипсин, химотрипсин, лизоцим и т.д.)
  • Обработка слабым раствором антисептического средства
  1. Поражения слизистой оболочки полости рта при инфекционных заболеваниях.

Этиопатогенетические факторы развития инфекционных поражений слизистой оболочки полости рта

  • Первичное инфицирование вирусом простого герпеса, палочкой Лефлера, фильтрующимся вирусом, гемолитическим стрептококком, вирусом Коксаки или ЕСНО
  • Воздушно-капельный, контактно – бытовой пути заражения
  • Специфические и неспецифические факторы иммунитета

Особенности клинического течения инфекционных поражений

  • Развитие болезни проходит 4 периода:
  • Продромальный
  • Период развития болезни
  • Угасания
  • Клинического выздоровления
  • Наличие инкубационного периода
  • Лимфаденит разной степени выраженности

ОСТРЫЙ ГЕРПЕТИЧЕСКИЙ СТОМАТИТ — инкубационный период 2-17 дней

ФОРМЫ::

  • Легкая
  • Среднетяжелая
  • Тяжелая

ПЕРИОДЫ:

  • Продромальный
  • Период развития болезни
  • Угасания
  • Клинического выздоровления

ФАЗЫ:

  • Катаральная
  • Высыпания элементов поражения

Легкая форма ОГС

  • Продромальный период отсутствует
  • Повышение температуры тела до 37,5оС
  • Катаральный гингивит в области всех зубов
  • Элементов высыпания — до 6 (афты)

Среднетяжелая форма ОГС

  • Выражены симптомы интоксикации организма

(слабость, ухудшение аппетита, головная боль, тошнота)

  • Повышение температуры тела до 38-39оС
  • Ярко выраженное воспаление десен
  • Элементов высыпания — от 10 до 20-25

Тяжелая форма ОГС

  • Резко выраженные симптомы интоксикации
  • Повышение температуры тела до 39-40оС
  • Язвенно-некротический гингивит в области

всех зубов

  • Элементов высыпания — до 100, которые

сливаются, образуя участки некроза

Диагностика острого герпетического стоматита

  • Анамнестические данные
  • Эпидемиологические данные
  • Клинические симптомы
  • Цитоморфологические исследования
  • Иммунологические исследования
  • Гематологические показатели

Дифференциальная диагностика

  • Хронический рецидивирующий афтозный стоматит

При ХРАС афты одиночные, округлой формы, покрытые фибринозным налетом, окружены гиперемированным узким венчиком, тогда как остальная слизистая полости рта бледно-розового цвета, без патологических изменений Общее состояние пациента не страдает.

  • Многоформная экссудативная эритема

МЭЭ дает о себе знать в основном в весенне-осеннее время. Заболевание возникает остро, протекает крайне тяжело. Клинически выявляется генерализованное поражение слизистой полости рта, тотальная гиперемия, отек, истинный полиморфизм элементов поражения: пузыри, эрозии и язвы крупные, эритема, массивные геморрагические корки на красной кайме губ, трещины. Страдает общее состояние, высокая температура – до 40С, множественные синюшные пятна на коже кистей рук, голени, предплечий, часто с пузырьком в центре.

  • Медикаментозный аллергический стоматит

Тотальная гиперемия и отек слизистой оболочки полости рта, множественные резко болезненные эрозии, пузыри, боль при открывании рта и разговоре. Из анамнеза выявляется прием лекарственных средств накануне.

Лечение

Требования к свойствам препаратов, применяемых при лечении ОГС у детей:

  • Обезболивающее
  • Противовоспалительное
  • Противомикробное
  • Противовирусное
  • Кератопластическое

Схема оказания лечебной помощи детям с острым герпетическим стоматитом

1. В продромальном периоде применяют 3-4 капли в нос и под язык каждые 4 часа

  • интерферон,
  • циклоферон

2. Обезболивающие средства, перед приемом пищи и перед обработкой слизистой оболочки полости рта.

  • 5-10 % р-р анестезина на персиковом масле.
  • Лидохлор гель.
  • Топик анестетики.
  • Холисал гель.

3. Растворы ферментов для удаления некротизированных тканей и очистки слизистой оболочки от налета фибрина.

  • трипсин,
  • химотрипсин.

4. Антисептическая обработка.

  • Р-р гексорала.
  • Р-р мирамистина.
  • Р-р корсодила.

5. В период высыпаний противовирусные мази и растворы 3-4 раза в день.

  • Ацикловир.
  • Алпизорин.
  • Циклоферон.

6. В период угасания болезни противовоспалительные и кератопластические средства.

  • Холисал гель.
  • Солкосерил дентальная адгезивная паста
  • Масло Витаон

Общее лечение

1.Нераздражающая пища, обильное питьё.

2.Антигистаминные препараты

  • Диазолин,
  • Фенкарол,
  • Кларитин,
  • Тавегил.

3. Жаропонижающие, болеутоляющие препараты

  • Эффералган,
  • Панадол,
  • Калпол,
  • Тайленол и другие.

4.Противовирусные препараты

  • Ацикловир,
  • Алпизорин,
  • Циклоферон
  • Арбидол

5. Иммуномодулирующие препараты

  • Имудон
  • Ликопид
  • Лизобакт

СТРЕПТОСТАФИЛОКОККОВАЯ ИНФЕКЦИЯ

Клиническая картина

  1. Повышение температуры тела.
  2. Интоксикация.
  3. Лимфаденит регионарных узлов.
  4. На красной кайме и коже губ гнойные

пустулы, соломенно-желтые корки.

Схема лечения стрептостафилококковых поражений

  1. Обезболивание слизистой оболочки полости рта
  • аппликационные анестетики,
  • Холисал гель

2. Аппликации р-ров протеолитических ферментов с целью удаления гнойных корочек

  • трипсин,
  • химотрипсин,
  • химопсин.

3. Нанесение на чистые раневые поверхности антибактериальных и глюкокортикоидных мазей

  • Оксикорт,

Флуцинар-N, Польша

  • Банеоцин

Общее лечение

1.Антибактериальные синтетические препараты

  • Бактрим,

Ориприм,

  • Метронидазол.

2.Антигистаминные препараты

  • Фенкарол,
  • Кларитин,
  • Тавегил и другие.

3. Поливитаминные препараты

  • Супрадин,
  • Центрум и другие.

4.Иммуномодуляторы

  • Имудон,
  • Ликопид.
  1. Поражения слизистой оболочки полости рта, обусловленные аллергией и приемом лекарственных средств.

Классификация заболеваний слизистой оболочки полости рта, вызванных специфической инфекцией

  • Кандидоз (кандидамикоз, молочница)
  • Туберкулезные поражения
  • Проявления сифилиса в полости рта

Этиопатогенетические факторы развития поражений слизистой оболочки полости рта, обусловленных специфической инфекцией

  • Возбудитель грибковой инфекции – дрожжеподобный гриб Candida albians
  • Возбудитель сифилиса – бледная трепонема
  • Возбудитель туберкулеза – микобактерии туберкулеза
  • Контактный, гематогенный, воздушно — капельный пути передачи
  • Ослабленные дети, тяжело и длительно болеющие, леченые антибиотиками, глюкокортикоидами и цитостатиками

Хронический рецедивирующий афтозный стоматит

Это хроническое воспалительное заболевание слизистой оболочки полости рта неинфекционной природы, характеризующееся периодическими обострениями и ремиссиями.

Причины возникновения заболевания:

  • аллергические реакции у ребенка;
  • заболевания желудочно-кишечного тракта;
  • респираторные инфекции;
  • функциональные расстройства центральной и вегетативной нервной системы;
  • хронические воспалительные заболевания носоглотки (отиты, синуситы и др.)

Чаще болеют дети школьного возраста и подростки.

Основные признаки заболевания:

на слизистой оболочке полости рта (чаще губ, щек, переходных складок верхней и нижней челюстей, боковой поверхности и спинке языка) появляются один или несколько участков покраснения с округлыми болезненными афтами, покрытыми желтоватым налетом; общее состояние ребенка может ухудшаться, ребенок отказывается принимать пищу; заживление происходит при адекватном лечении через 5-7дней без рубца.

С целью предотвращения обострений заболевания необходимо:

  • регулярное посещение врача-стоматолога (не реже 2 раз в год);
  • устранение очагов хронической инфекции в полости рта (лечение кариозных зубов и заболеваний пародонта);
  • систематический гигиенический уход за полостью рта.

При признаках заболевания необходима консультация детского врача-стоматолога!

Требования к исходному уровню знаний

Для усвоения материала, предлагаемого в изучении семестра, студенту необходимо повторить:

  1. Из нормальной анатомии – строение СОПР и тканей периодонта.
  2. Из гистологии и эмбриологии – гистологическое строение СОПР и тканей периодонта, их функции.
  3. Из патологической физиологии – воспалении (признаки, стадии, химические реакции).
  4. Из микробиологии – состав микрофлоры полости рта и зубной бляшки.
  5. Из педиатрии – клинические проявления ЖКТ, почек, ССС, крови.
  6. Из терапевтической стоматологии – клинические проявления и патогенез воспаления десны.
  7. Из профилактики стоматологических заболеваний – стоматологическое обследование пациента, состояние гигиены полости рта, методы и средства индивидуальной профилактики.
  8. Из детской терапевтической стоматологии – кариес временных и постоянных зубов с незаконченным формированием корней, некариозные поражения твердых тканей зуба, пульпит и апикальный периодонтит временных и постоянных зубов с незаконченным формированием корней.

Предлагаем ознакомиться: Как укрепить десна в домашних условиях, если шатаются зубы: народные средства

Кандидоз (молочница)

Это грибковое заболевание, которое возникает в результате размножения грибов рода Candida на слизистой оболочке полости рта.

Передача грибковой инфекции ребенку возможна:

  • во время прохождения через родовые пути матери, страдающей кандидомикозом;
  • контактно-бытовым путем (через соски, белье и другие предметы ухода за новорожденным).

Чаще болеют ослабленные дети первых недель жизни.

Основные признаки заболевания:

заболевание начинается бессимптомно, а затем ребенок становится беспокойным, плохо ест и спит. Могут быть увеличены регионарные лимфатические узлы, температура тела нормальная, но может быть и повышена, в полости рта на слизистой оболочке щек по линии смыкания зубов, на нёбе, губах, языке появляется налет, имеющий вид белых точек; по мере размножения гриба налет увеличивается в размерах, образуя пленку, напоминающую створоженное молоко.

С целью предотвращения возникновения заболевания необходимо своевременно лечить молочницу у женщин во время беременности и поддерживать здоровое состояние желудочно-кишечного тракта у молодой мамы; соблюдать санитарно-гигиенические мероприятия в родильных домах и дома, стерилизовать пустышки и соски от бутылочек.

Профилактика

у детей заключается в своевременном выявлении и лечении дисбактериоза, при длительном назначении антибиотиков — своевременный прием пробиотических средств.

При признаках заболевания необходима консультация детского врача-стоматолога!

Молочница

Кандидоз ротовой полости, или молочница, особенно распространен среди детей грудного возраста и первого года жизни. Вызывают недуг дрожжевые грибы рода Кандида. В человеческом организме они имеются в ограниченном количестве. Неустойчивость иммунитета, прием антибиотиков и дисбактериоз выступают толчком к более активному их размножению. Это, в свою очередь, вызывает воспалительный процесс на слизистой ротовой полости. Выражается заболевание в белых пятнах на языке, слизистой рта и глотки.


Фото: Кандидоз ротовой полости

Заражение ребенка молочницей происходит при родах (если мать является носительницей болезни), при недостаточном уходе за ним после рождения и нарушении микрофлоры организма.

Чтобы заболевание не оказало крайне негативного воздействия на организм крохи, при первых же его проявлениях следует посетить педиатра. Врач оценит степень распространения инфекции и назначит эффективное лечение. Главным образом таковое заключается в обработке пораженных участков слизистой рта раствором обычной пищевой соды.

Афта Беднара

Это воспалительное заболевание слизистой оболочки полости рта неинфекционной природы, возникающее у грудных ослабленных детей на искусственном вскармливании в первые месяцы жизни.

Причины возникновения заболевания:

  • постоянная механическая травма слизистой оболочки неба слишком длинной и жесткой соской;
  • возможно появление у детей на грудном вскармливании, если сосок груди матери очень грубый.

Основные признаки заболевания:

округлые или овальные эрозии, покрытые рыхлым налетом и располагающиеся симметрично на границе твердого и мягкого неба, покраснение окружающей слизистой оболочки. Ребенок становится беспокойным, плохо ест и спит.

С целью предотвращения возникновения заболевания необходимо

своевременно заменить соску или пустышку при появлении раздражения на слизистой оболочке полости рта.

При признаках заболевания необходима консультация детского врача-стоматолога!

При появлении любых изменений на слизистой оболочке полости рта следует посетить детского врача-стоматолога, чтобы избежать осложнений и провести комплексное обследование и лечение!!!

Прогноз после проведения лечения

Дальнейший прогноз после сопора зависит от причины, его вызвавшей, степени поражения нервной ткани и терапевтических мероприятий. Чем раньше обнаружена первопричина расстройства и проведены все необходимые врачебные вмешательства, тем выше шанс на скорейшее выздоровление и нормализацию привычной для человека деятельности.

Сочетание инсульта и сопора очень плохо сказывается на состоянии организма человека. При втором расстройстве обычно наблюдается геморрагический инсульт. Всё это чревато комой.

Сопор, как и любая другая патология, требует своевременной диагностики и лечения. Если этого не сделать, то здоровью человека угрожает большая опасность, вплоть до летального исхода.

Рейтинг
( 2 оценки, среднее 4.5 из 5 )
Понравилась статья? Поделиться с друзьями:
Русский | English
Для любых предложений по сайту: sto247@cp9.ru