Кривые зубы — огромный комплекс для многих людей. Не каждый может похвастаться красивыми зубами. Чаще всего проблемы с зубами начинаются в детстве, когда молочные зубы выпадают слишком рано, а постоянные зубы начнут расти «странно» и неравномерно. Зубы, расположенные неправильно, могут искажать черты лица и усугублять дефекты речи. Узнайте, откуда взялись дефекты приуса и почему зубы иногда изогнуты.
Кривые зубы и неправильный прикус могут иметь много причин. Обычно это сочетание экологических и генетических факторов.
Зубы оказывают огромное влияние на здоровье и внешний вид лица. Зубы, разбитые, неровные, создают огромные проблемы. Они могут вызывать боль, чувство давления и изменять черты лица. Важно то, что их сложно правильно чистить. Это приводит к тому, что с течением времени в этих местах начинают развиваться кариес, и болезни десен.
Дефекты прикуса четко меняют внешний вид. Отступающая или выступающая челюсть заставляет человека выглядеть неестественно (например, чрезмерно расширенный подбородок или два подбородка). Это может вызвать дефекты речи, мешать есть, пить и дышать. Это также является причиной огромных комплексов и низкой самооценки.
Когда в челюсти нет места для зубов, они растут в неправильных местах и под неправильным углом — «они втискиваются», где могут.
Откуда берутся кривые зубы?
Зубы могут искажаться по многим причинам. В принципе выделяются первичная скученность и вторичная скученность. Первый вариант происходит в детстве, второй — у взрослых.
Первичные коронки встречаются в детском возрасте при постоянной замене молочных зубов. Частой причиной является слишком ранняя потеря, из-за которой постоянные зубы не могут развиваться в правильном анатомическом месте, потому что соседние зубы обычно перемещаются в свободный промежуток после удаляемого зуба.
Еще одна причина первичной скученности — молочные зубы не выпадают, когда пришло время. Когда молочный зуб шатается и должен быть удален, но по какой-то причине этого не происходит, постоянный зуб пытается вырасти в другом свободном пространстве. Это приводит к появлению нового зуба рядом с молочным.
Вторичная скученность возникают у взрослых, у которых есть постоянные зубы. Основная, наиболее часто встречающаяся проблема — восьмерки, которые нажимают на оставшиеся зубы в арке и толкают друг друга, вызывают скученность, потому что они заставляют другие зубы двигаться. Устранение восьмерок может также вызвать воспаление костей, эрозивные дефекты и кисты.
Еще одна причина вторичной скученности — потеря зуба. Когда нет одного из зубов, противоположный зуб — от челюсти, в отсутствие антагониста начинает выходить из плоскости прикуса и мигрировать к пустому промежутку (симптом Годона). Чтобы предотвратить это, сразу же после потери зуба, сделайте мост или имплантат и «накройте» пустое пространство.
Стоит отметить, что вторичное распространение также появляется у людей, которые не носили удерживающие устройства после ортодонтического лечения. Отсутствие непрерывности лечения приводит к тому, что зубы будут стремиться вернуться к предыдущим местам.
Малокклюзия зависит от многих факторов. Многие из них могут быть устранены в детстве, чтобы предотвратить развитие дефекта. Регулярные визиты к дантисту гарантируют, что некоторые нарушения будут диагностированы быстрее. Раннее и более эффективное лечение также возможно на ранней стадии. Взрослые, которые борются с неправильным прикусом, обычно должны лечиться в течение длительного времени, и не всегда с большими результатами.
Как исправить кривые зубы у взрослых и детей
Решение о том, какой метод исправления кривых зубов подойдет конкретному пациенту, принимается стоматологом с учетом:
- Возраста пациента – чем младше человек, тем легче зубной ряд поддается исправлению.
- Количества кривых единиц.
- Степени искривления зубов.
Наиболее распространены такие методики исправления кривых зубов:
| Возраст пациента | Оптимальные методики выпрямления |
| Дети от семи до двенадцати лет | Трейнеры, пластинки с регулируемыми дугами, аппаратные методики коррекции жевательных мышц. |
| Подростки от тринадцати до четырнадцати лет | Брекет-системы, ортодонтические каппы. |
| Взрослые | Брекет-системы, ортодонтические каппы, коронки, виниры, методы художественной реставрации. |
Трейнеры и пластинки с регулируемыми дугами
С помощью этих конструкций легко исправить кривые зубы у детей младшего возраста, когда еще имеются широкие возможности корректирующего воздействия на зубочелюстной аппарат. Такие приспособления могут:
- Исправить нижние и верхние кривые зубы.
- Устранить дефекты формы челюсти.
- Правильно натренировать жевательные мышцы.
- Снять повышенную нагрузку с зубного ряда.
После окончательного формирования прикуса, которое происходит примерно в 12 лет, возможности коррекции снижаются, поэтому используются другие методики выпрямления зубного ряда.
Трейнеры – это конструкции из металла, надевающиеся на зубы при незначительных дефектах. Дети должны надевать их ночью и ненадолго днем. Пластины изготавливаются из пластика или металла и крепятся на зубной ряд с помощью крючков.
Брекет-системы
Брекеты – это системы, состоящие из маленьких пластинок, последовательно соединенных между собой дугами. Между пластинкой и зубом напротив нее формируется прочная связь посредством специального клея. Брекеты могут делать из:
- Металла.
- Керамики.
- Сапфира.
Брекет-системы весьма эффективны по сравнению с другими методами устранения кривизны. Такие конструкции могут применяться для лечения очень кривых зубов.
Ортодонтические капы
Эти съемные конструкции делают из прочного пластика, который давит на кривые зубы в нужном направлении. Исправлять зубной ряд с помощью кап можно только у детей, взрослые могут воспользоваться ими для закрепления результата, полученного при коррекции другими методами.
Капы могут изготавливаться индивидуально на основе слепка зубного ряда. Пациенты отмечают, что их удобно носить, привыкание к индивидуальным конструкциям происходит быстрее. Можно приобрести и универсальные термопластические капы, они менее удобны, но стоят дешевле.
Протезирование и микропротезирование
Взрослые люди могут исправить кривые зубы с помощью протезов и микропротезов. В первом случае на кривые зубы ставят коронки, сделанные из металлокерамики, керамики или металла. Во втором случае зуб покрывается накладкой – виниром. Применение обеих методик требует частичного обтачивания эмали.
В отличие от многих других приспособлений для коррекции, которые снимаются после достижения нужного эффекта, виниры и коронки остаются в ротовой полости навсегда, а при поломке могут только заменяться другими видами протезов.
Художественная реставрация подобна пломбе, с помощью которой исправляется дефектная поверхность зуба. Этим методом нельзя откорректировать положение резца, клыка или моляра, а материал, применяемый для реставрации, может разрушаться от агрессивных компонентов пищи, изменять цвет и становиться заметным.
Если у ребенка искривился хотя бы один зуб, родители должны вовремя оказать ему помощь, ведь после этого могут начать искривляться и соседние зубы. В современных стоматологиях исправление кривых зубов осуществляется разными методиками. Если дефекты зубочелюстного аппарата очень обширные и затрагивают много структур, проблема может быть решена хирургическим путем.
Что влияет на неправильный прикус?
- Дыхание через рот обычно возникает у детей, у которых почему-то заблокированы дыхательные пути (аллергия, синусит, заросшие носовые впадины, согнутая носовая перегородка). Проблема может привести к неправильному прикусу — сужению челюсти.
- Неправильное положение и работа языка — важный фактор, влияющий на формирование неправильного прикуса. Язык должен оказывать давление на небе, потому что тогда у него есть способность активировать все связанные мышцы. Правильное положение языка затруднено сокращенной сублингвальной уздечкой и суженной зубной дугой челюсти.
- Положение губ и, в принципе, ситуация, когда губы не касаются друг друга в покое, влияет на формирование неправильного прикуса. Это происходит из-за слабой силы и напряжения мышц, окружающих рот (или круговой мышцы).
- Дисфункция глотания — физиологическое расстройство, которое проявляется в том, что во время глотания язык между зубами, а не с небом. Акт глотания дополнительно включает в себя мышцы щеки и подбородок, которые в настоящее время оказывают давление на лицевые кости, что видно после характерной гримасы. Эта аномалия также способствует формированию неправильного прикуса.
- Вредные привычки, такие как сосание большого пальца или слишком длительное и слишком частое использование соски-пустышки, могут помешать развитию укуса.
- Кариес у детей часто приводит к преждевременной потере молочных зубов и, следовательно, является одним из наиболее распространенных причин развития прикуса. Потеря зуба приводит к миграции зубов рядом с созданным промежутком. Это может привести к тому, что не будет места для высоколежащего постоянного зуба, и застрянет в кости или появится вне арки.
Если на начальном этапе развития ребенка некоторые аномалии не признаются или игнорируются, может развиться неправильный прикус.
Почему у детей и взрослых появляются кривые зубы
Стоматологи утверждают, что в той или иной степени искривление зубов имеется у большинства населения. У одних дефект незаметен для окружающих и не мешает самому человеку, у других он сразу бросается в глаза и осложняет речь. Неправильное строение зубочелюстного аппарата подразделяется на несколько разновидностей:
- Есть отдельный кривой зуб, который имеет нетипичное расположение и форму.
- Зубной ряд формируется неправильно из-за аномального расположения нескольких зубов.
- Аномальное строение имеет сама челюсть, поэтому зубы смыкаются неправильно, и прикус искажается.
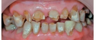
Фото: сильное искривление зубов
Причины искривления молочных зубов
Важно понимать, почему зубы растут кривыми, ведь действия многих провоцирующих факторов можно избежать, если родители будут правильно заботиться о здоровье своих детей. Предпосылкой для развития патологии может стать:
Фото: кривые зубы у ребенкаГенетическая предрасположенность, унаследованная от близких родственников.
- Болезни матери при беременности.
- Неполноценное питание женщины во время беременности и лактации.
- Однообразное питание малыша, позднее введение прикорма.
- Позднее привыкание малыша к твердой пище.
- Авитаминоз, который приводит к рахиту.
- Болезни нервной системы.
- Использование сосок для бутылочек, в которых отверстие располагается по центру (а должно быть сдвинуто книзу).
- Использование пустышек с толстым основанием (анатомически правильными являются зауженные к основанию пустышки).
- Длительное использование пустышек – более 1 года.
- Разрушение молочного зубного ряда кариесом.
- Переход ребенка на ротовое дыхание при частых болезнях ЛОР-органов, когда заложен нос.
- Вредные привычки – обгрызание ногтей, ручек, карандашей.
- Склонность к частому закусыванию губ или щек, привычка упираться языком в передние резцы.
- Травмы челюсти.
Причины искривления зубов у взрослых
Если молочные резцы, клыки и моляры выросли ровными, это не гарантирует отсутствие проблемы в будущем. Зубы могут искривиться у взрослого человека под действием вышеописанных факторов и дополнительных причин:
Фото: кривые зубы у взрослого человекаХроническое несоблюдение гигиены ротовой полости.
- Короткая уздечка языка.
- Дисплазия.
- Бруксизм.
- Отсутствие одного или нескольких зубов в ряду, куда впоследствии смещаются соседние зубные единицы.
- Коренные зубы растут скученно и наползают друг на друга, если формирование зубного ряда у подростка опережает рост самой челюсти.
- Неправильное глотание, при котором язык оказывает сильное давление на передние зубы.
- Истончение эмали нижних зубов и расхождение их под давлением верхнего зубного ряда.
Зубной ряд могут искривить прорезавшиеся зубы мудрости, особенно если они сами прорезываются кривыми, а челюсть у человека небольшая.
Кто должен носить ортодонтическое устройство?
Ортодонтическое лечение предназначено как для детей, так и для взрослых. Любой, кто замечает одно из вышеупомянутых неправильных функций или страдает от кривых зубов, может выбрать лечение ортодонтическим прибором. Врач решает, как именно должно выглядеть лечение и как долго оно будет продолжаться.
В настоящее время ортодонтические приборы предлагают возможность более «интимного» лечения. В дополнение к классическим металлическим брекетам пациенты могут выбирать прозрачные и даже имплантаты изнутри зубов.