Очаговый пародонтит этиология патогенез клиника

Под термином «хронический генерализованный пародонтит» понимается заболевание дегенеративно-дистрофического характера. Во время течения патологического процесса происходит разрушение альвеолярного отростка — костной структуры. Одновременно с этим поражаются ткани пародонта. В настоящее время заболевание является серьезной стоматологической проблемой. Это обусловлено тем, что хронический генерализованный пародонтит трудно поддается лечению. При этом недуг нередко становится причиной развития других патологий в организме.

Механизм развития

Околозубные ткани, находящиеся в ротовой полости, обозначаются термином «пародонт». Они имеют общее кровоснабжение и иннервацию. Ткани также связаны между собой как функционально, так и морфологически.

Пародонтальный комплекс включает десну, альвеолярные отростки, периодонт, цемент корней зубов. В норме он выполняет рефлекторную, опорно-удерживающую и защитную функции.

Под воздействием различных неблагоприятных факторов в пародонтальном комплексе запускается процесс развития дистрофических изменений воспалительного характера. В результате как мягкие, так и костные структуры начинают разрушаться. Если в патологический процесс вовлечены все ткани комплекса, принято говорить о генерализованном пародонтите.

При отсутствии своевременного лечения недуг прогрессирует и переходит в хроническую форму. Последняя характеризуется постоянным чередованием периодов ремиссии и обострения.

Согласно Международной классификации болезней (МКБ-10), хроническому генерализованному пародонтиту присвоен код К05.3.

Прогноз и профилактические мероприятия

Если лечение начато на ранних стадиях патологии, это приводит к ремиссии и возможности ее продления. В восстановительных мероприятиях и в процессе сохранения функций тканей немаловажную роль играет соблюдение рекомендаций, связанных с выполнением профилактических мер. Если болезнь запущена, прогноз неблагоприятен. Это может быть связано не только с утратой почти всех зубов, но и с тем, что начнут развиваться тяжелые системные осложнения, особенно в сердечно-сосудистой системе.

Профилактический комплекс предполагает соблюдение ряда мероприятий по уходу и гигиене:

  • своевременная чистка зубов;
  • грамотный выбор чистящих средств и инструментов – зубных паст, порошков, щеток, нитей;
  • регулярное осуществление профессиональной гигиены;
  • своевременное лечение образовавшихся заболеваний;
  • удаление отложений в области зубов;
  • проведение терапии сопутствующих патологий.

С помощью этих простейших мер вы сможете предотвратить недуг и чувствовать себя замечательно.

Таким образом, генерализованный пародонтит – серьезное заболевание, имеющее склонность к постоянному развитию и прогрессированию. В связи с этим необходимо своевременно его диагностировать и принять меры терапии. Такой подход позволит предотвратить осложнения и сохранить все зубы в норме, убрав неприятные симптомы и улучшив самочувствие пациента.

Гингивотомия лазером — хирургическое лечение сложных форм пародонтита

Открытый и закрытый кюретаж пародонтальных карманов

Катаральный и гипертрофический гингивит симптомы и лечение у взрослых

Оголяются корни зубов — что делать и как лечить

Гингивэктомия лазером в области одного зуба

Шинирование зубов при пародонтите стековолокном, лентой

Причины

Запуск развития заболевания может произойти под воздействием как местных, так и системных провоцирующих факторов. К первым относятся следующие причины возникновения хронического генерализованного пародонтита:

  • Неправильное или недостаточное соблюдение правил гигиены. Некачественное очищение способствует размножению патогенных микроорганизмов в ротовой полости. Кроме того, к травмированию тканей пародонта приводит использование слишком жесткой щетки и зубочисток. Немаловажное значение имеют и неумелые агрессивные движения при очищении ротовой полости. Чрезмерная гигиена также нередко становится причиной развития генерализованного пародонтита. На фоне частого очищения возникает нарушение баланса микрофлоры.
  • Неправильный прикус.
  • Нарушение врачом алгоритма действий в процессе протезирования зубов.
  • Слишком интенсивная работа жевательной мускулатуры.
  • Тесно и скученно расположенные зубы.
  • Кариес.
  • Табакокурение.
  • Системные причины развития хронического генерализованного пародонтита:

  • Авитаминоз.
  • Интоксикация организма солями тяжелых металлов.
  • Лейкоз.
  • Нарушение работы защитной системы организма.
  • Патологии органов пищеварительной системы.
  • Сосудистые дисфункции.
  • Нарушение гормонального баланса.
  • На фоне развития вышеперечисленных патологий питательные вещества практически перестают поступать в ткани пародонтального комплекса. В результате зубы становятся подвижными, начинают формироваться придесневые карманы. Последние с течением времени постепенно заполняются гнойным содержимым.

    Врачи отдельно выделяют такую причину, как остеопороз. Ученые заметили, что у больных хроническим генерализованным пародонтитом разрушается не только альвеолярный отросток. Во всем организме происходит уменьшение костной массы. На основании результатов многочисленных исследований российскими учеными был сделан вывод о том, что степень тяжести генерализованного пародонтита прямо пропорциональна уменьшению показателя плотности костных структур. Подобные заключения позволили скорректировать схему терапии заболевания. Таким образом, в лечении хронического генерализованного пародонтита особое значение имеет этап, на котором все действия направлены на укрепление костной ткани во всем организме.

Причины генерализованного пародонтита

Одна из основных причин развития деструктивно-воспалительного процесса – инфекция, вызванная специфическими патогенными микроорганизмами. Поддесневой налёт – оптимальная среда для их размножения. Его появлению способствует табакокурение, короткая уздечка языка, неправильный прикус, затрудняющие качественную чистку зубов.

Другие причины генерализации воспаления:

  • невылеченные механические травмы зубов;
  • преобладание твёрдой или мягкой пищи;
  • деминерализация эмали;
  • проживание или работа в неблагоприятных условиях;
  • генетическая предрасположенность;
  • нарушение работы слюнных желез;
  • нерегулярная профессиональная чистка;
  • преобразование зубного налёта в бляшки и камень;
  • внешние инфекции, занесённые во время некачественного лечения.

Симптомы

Выраженность клинических проявлений напрямую зависит от характера течения недуга. На начальном этапе развития патологии больных беспокоит наличие следующих состояний:

  • Кровоточивости десен. Как правило, она незначительная.
  • Зуда и жжения в области десен.
  • Болезненных ощущений в процессе приема пищи.
  • Крайне неприятного запаха из ротовой полости.
  • В это же время происходит формирование неглубоких карманов. В большинстве случаев самочувствие человека не ухудшается. Как правило, на данном этапе больные редко обращаются к врачу. В результате патология прогрессирует.

    Постепенно к вышеперечисленным добавляются следующие признаки:

  • Высокая степень чувствительности зубов и десен к очень горячей или слишком холодной пище. Употребление напитков также провоцирует возникновение дискомфортных ощущений.
  • В процессе жевания пищи появляется выраженная боль.
  • Зубы становятся подвижными, происходит их смещение.
  • При отсутствии лечения хронический генерализованный пародонтит переходит в запущенную форму. Данный этап характеризуется значительным ухудшением качества жизни. У больного появляются следующие симптомы:

  • Болезненные ощущения в деснах. Их характер острый, они не отступают даже на короткий промежуток времени.
  • Увеличение лимфатических узлов. При их пальпации появляется интенсивная боль.
  • В ротовой полости запускается процесс развития гингивита.
  • На зубах начинают откладываться камни.
  • Происходит образование патологических карманов. Они могут отличаться друг от друга по глубине и форме. Постепенно они заполняются гнойными массами.
  • Повышается температура тела.
  • Начинают выпадать зубы.
  • Когда заболевание переходит в стадию ремиссии, общее состояние человека несколько улучшается. Десны приобретают бледно-розовый оттенок, костная ткань временно перестает разрушаться. Но при этом корни зубов остаются обнаженными, а из карманов продолжает вытекать гнойное содержимое.

    Причины хронического пародонтита

    Как показывает статистика, на сегодняшний день различные формы пародонтита регистрируются у 90-95% населения, в зоне риска находятся люди в возрасте 33-45-ти лет (от 60 до 95%) и 16-20-ти лет (от 55 до 90%). Потеря зубов при данном стоматологическом заболевании фиксируется в пять раз чаще, чем, например, при кариесе.

    Пародонт — это ткани, удерживающие зуб (кость, слизистая оболочка, связки и десна). При пародонтите инфекция попадает в пространство между зубом и десной, разрушая связку корня зуба с костью.

    На течение пародонтита неблагоприятно влияют некачественный уход за полостью рта и отложения зубного камня. На начальных стадиях развития заболевания симптомы слабо выражены, в основном это кровоточивость десен и слабость зубной связки, иногда регистрируются налет на зубах и вязкая слюна. При активном течении вследствие быстрого разрушения альвеолярных отростков наблюдается выпадение зубов.

    Степени тяжести

    Процесс развития заболевания проходит несколько стадий. В зависимости от тяжести имеющихся нарушений выделяют следующие степени недуга:

  • I. Патология находится на ранней стадии. Другими словами, это хронический генерализованный пародонтит легкой степени тяжести. На данном этапе глубина патологических карманов составляет не более 3,5 мм. Оголение кости при этом не превышает трети длины корня зуба.
  • II. Это хронический генерализованный пародонтит средней степени тяжести. Костная ткань оголяется наполовину. Глубина патологических карманов на данной стадии составляет от 3,5 до 5 мм.
  • III. Это хронический генерализованный пародонтит тяжелой степени. Глубина карманов составляет более 5 мм. При этом кость оголяется больше чем наполовину.
  • Заболевание также классифицируют по частоте возникновения обострений. Они могут возникать до 2 раз в год. В подобных случаях принято говорить о частых обострениях. Эпизоды ухудшения самочувствия могут возникать 1 раз в 3 года. В этом случае речь идет о хроническом генерализованном пародонтите с редкими эпизодами обострения. У некоторых пациентов смены периодов не наблюдается. Это говорит о наличии хронического недуга без обострений.

    Диагностика хронического пародонтита

    Диагноз «хронический пародонтит» ставится стоматологом-пародонтологом. К диагностике сопутствующих заболеваний при необходимости могут быть подключены другие специалисты: кардиолог, гастроэнтеролог, гематолог, эндокринолог, ревматолог, аллерголог и др.

    Наиболее важным диагностическим мероприятием во время осмотра пациента, помогающим распознать и оценить болезнь, является измерение глубины десневой борозды — зазора между зубом и десной. Посредством пародонтальной пробы, помещаемой между зубом и десной, стоматолог измеряет глубину промежутка. Если глубина не превышает 2-3 мм, десна здоровая. Глубина более 5 мм говорит о патологическом процессе.

    Также важным этапом в диагностике является оценка гигиенического состояния полости рта, а целостность костной ткани челюсти помогает оценить рентгеновский снимок. При начальной стадии локализованного пародонтита регистрируется остеопороз в верхней и средней трети межальвеолярной перегородки, разрушением ее кортикальной пластинки. Компактная пластинка челюсти сохранена. Если процесс прогрессирует, то происходит резорбция межальвеолярных перегородок, способствующая образованию костных карманов.

    На основании данных биопсии десны локализованный пародонтит дифференцируют с пародонтозом и гингивитом.

    Диагностика

    При возникновении первых тревожных признаков необходимо обратиться к стоматологу. Специалист проведет первичную диагностику, на основании результатов которой он может дополнительно направить пациента к хирургу, ортопеду, пародонтологу.

    В процессе приема врач проводит следующие мероприятия:

  • Изучает историю болезни. Это необходимо для того, чтобы выявить провоцирующий фактор.
  • Осуществляет сбор анамнеза.
  • Проводит стоматологический осмотр с использованием специальных инструментов.
  • Опрашивает пациента относительно выраженности имеющихся клинических проявлений.
  • На основании результатов первичной диагностики врач оформляет направление на комплексное обследование. Оно включает:

    1. ПЦР-анализ.
    2. Бакпосев патологического содержимого карманов.
    3. Исследование слюны.
    4. Биохимический анализ крови.
    5. Пародонтограмму.
    6. Ортопантомографию.
    7. Рентгенографию.
    8. Биопсию десен.

    Получив результаты исследований, врач ставит точный диагноз, отображает данную информацию в карточке пациента, отмечает код болезни по МКБ (хронический генерализованный пародонтит — К05.3) и составляет максимально эффективную схему терапии.

    Лечение

    Подход к недугу напрямую зависит от степени его тяжести. На начальном этапе применяются консервативные методы терапии. Кроме того, проводимые мероприятия способствуют увеличению длительности периода ремиссии.

    Схема лечения хронического генерализованного пародонтита легкой степени включает следующие пункты:

  • Устранение налета и камней с зубов.
  • Обработку патологических карманов антисептическими средствами.
  • Наложение пародонтологических аппликаций на очаги воспаления.
  • В большинстве случаев после проведения вышеперечисленных мероприятий у больного наступает период ремиссии.

    Обострение хронического генерализованного пародонтита средней степени тяжести требует выполнения следующих процедур:

  • Избирательного пришлифовывания. Это ортопедический метод лечения, суть которого заключается в уменьшении показателя окклюзионных нагрузок. Одновременно с этим создается функциональное напряжение в опорных тканях. Данные мероприятия проводятся с целью профилактики такого смыкания зубных рядов, при котором происходят патологические изменения в пародонтальном комплексе.
  • Кюретажа патологических карманов. Данная процедура неэффективна при наличии большого количества гнойного отделяемого. Кюретаж — это хирургическое вмешательство, в процессе которого удаляется поддесневой налет и всевозможные грануляции. Завершающим этапом является введение в карманы лекарственных средств и наложение повязок. Данные манипуляции возможно провести без нарушения целостности мягких тканей. В подобных случаях принято говорить о закрытом кюретаже.
  • Наложения повязок, смоченных в лекарственном средстве. Они необходимы для увеличения времени действия медикаментов, введенных в пародонтальные карманы.
  • Шинирования. Суть метода заключается в создании прочной связи между зубами. Для этого они стягиваются тонкой плотной нитью, изготовленной из арамида — долговечного материала, который не разбухает, не стирается, не оказывает негативного воздействия на эмаль и не вступает в химические реакции со слюной.
  • Лечение хронического генерализованного пародонтита тяжелой степени подразумевает выполнение всех вышеперечисленных действий. Дополнительно показаны следующие методы терапии:

  • Удаление зубов, подвижность которых стала патологической. Операция проводится в том случае, если сохранение стоматологических единиц не представляется возможным.
  • Гингивэктомия или гингивотомия. В первом случае проводится иссечение воспаленной части десны с целью удаления пародонтальных карманов. Противопоказанием к операции является наличие уздечек в зоне предполагаемого вмешательства. Гингивотомия — это рассечение кармана с целью его выскабливания или вскрытия абсцессов.
  • Лоскутная операция. Это метод хирургического лечения, в процессе которого врач разрезает десну и формирует из тканей лоскут. Затем последний отслаивается. После этого врач очищает пародонтальные карманы и возвращает на место лоскут ткани. Завершающим этапом является наложение швов.
  • Вскрытие абсцессов.
  • Прием антибиотиков, поливитаминных комплексов, иммуностимулирующих средств и противовоспалительных препаратов.
  • При наличии показаний осуществляется пластическая операция языка, преддверия ротовой полости или уздечки губ. В некоторых случаях проводится хирургическое вмешательство, после которого изменяется прикус.

    При наличии хронического генерализованного пародонтита в стадии обострения дополнительно показано физиотерапевтическое лечение (электро-, ультра- и магнитофорез). Улучшить состояние больного и ускорить наступление ремиссии можно с помощью озонотерапии, гирудотерапии и фитотерапии.

    Пародонтит

    Введение

    В нашей стране используется терминология и классификация болезней пародонта, утвержденные на XVI Пленуме Всесоюзного общества стоматологов.

    Пародонтит — воспаление тканей пародонта, характеризующееся прогрессирующей деструкцией пародонта и кости альвеолярного отростка челюстей.

    Тяжесть:

    легкий, средний, тяжелый.

    Течение:

    острый, хронический, обострение, абсцесс, ремиссия.

    Распространённость:

    локализованный, генерализованный.

    Пародонтит — воспаление тканей пародонта, характеризующееся деструкцией связочного аппарата периодонта и альвеолярной кости.

    Течение:

    хроническое, агрессивное.

    Фазы процесса:

    обострение, ремиссия.

    Тяжесть определяется

    по клинико-рентгенологической картине. Основным её критерием является степень деструкции костной ткани альвеолярного отростка (на практике она определяется по глубине пародонтальных карманов/ПК/в мм).

    Степени тяжести:

    легкая (ПК не более 4 мм), средняя (ПК 4-6 мм), тяжелая (ПК более 6 мм).

    Распространенность процесса:

    локализованный, генерализованный.

    Комиссия посчитала необходимым, выделить самостоятельную группу заболеваний пародонта — агрессивные формы пародонтита (препубертатный, юношеский, быстро прогрессирующий. Последний развивается у лиц в возрасте от 17 до 35 лет).

    Пародонтит хронический генерализованный

    легкой степени тяжести

    Развивается как осложнение неизлеченного хронического катарального гингивита и характеризуется прогрессирующей деструкцией тканей пародонта и кости альвеолярных отростков челюстей.

    Клиника:

    Характеризуется практически полным отсутствием неприятных субъективных ощущений у пациента, отсюда — низкая обращаемость за медицинской помощью на данной стадии развития заболевания. Больные, как правило, отмечают незначительный зуд в дёснах и кровоточивость их при механическом раздражении (при чистке зубов, приеме жесткой пищи). Общее состояние не нарушено, хотя при углубленном, целенаправленном обследовании, как правило выявляются изменения в иммунной системе, отклонения со стороны других органов и систем, патогенетически связанные с патологией пародонта. Из анамнеза следует выяснить, что заболевание начиналось постепенно, длительно протекало практически бессимптомно.

    При объективном обследовании отмечается хронически слабовыраженное воспаление дёсен (отёк, кровоточивость, гиперемия). Выявляются над- и поддесневые назубные отложения (минерализованные и неминерализованные). Зубы неподвижны и не смещены.

    Диагностическими критериями

    являются: наличие пародонтальных карманов глубиной до 3,5 мм, преимущественно в области межзубных промежутков, и начальная степень деструкции костной ткани альвеолярного отростка (рентгенологическая картина: отсутствие компактной пластинки на вершинах межальвеолярных перегородок, очаги остеопороза, расширение периодонтальной щели в пришеечной области).

    Для постановки диагноза

    в данном случае достаточно провести расспрос пациента, осмотр полости рта, зондирование клинических карманов, оценить подвижность зубов, провести пробу Шиллера-Писарева, а также индикацию и количественную оценку «зубного» налёта. Для уточнения диагноза осуществляют рентгенологическое исследование, лучше ортопантомографию. Целесообразно сделать клинический анализ крови, а пациентам старше 40 лет — анализ крови на содержание глюкозы. Перечисленных методов, как правило бывает достаточно для диагностики хронического генерализаванного пародонита легкой степени, если он не сопровождается патологией внутренних органов, выраженными окклюзионными нарушениями и т.д.

    Лечение:

    Проводят в 3-4 посещения. Сначала после антисептической обработки дёсен производят тщательное удаление зубных отложений. Целесообразны аппликации на дёсны антимикробных и противовоспалительных препаратов. Из антимикробных средств в данном случае эффективны 0,06% раствор хлоргексидина, метронидазол (трихопол). Из противовоспалительных средств предпочтение отдают нестероидным противовоспалительным препаратам (НПВП)- ацетилсалициловой кислоте, индометацину, ортофену.

    Пациента обучают правилам гигиены полости рта, помогают выбрать зубную щетку и зубную пасту, дать рекомендации по пользованию флоссами. На данном этапе следует рекомендовать зубные пасты, обладающие противовоспалительным и антимикробным действием, а также ротовые ванночки с растворами антисептиков, отварами ромашки, шалфея, календулы.

    Хорошие результаты даёт физиолечение: КУФ на область дёсен (антибактериальный эффект), анод-гальванизация, электрофорез лекарственных веществ с анода (хлорида кальция витамина В1), ЭП УВЧ в олиготермической дозе, местная гипотермия, излучение гелий-неонового лазера, плазменный поток аргона (противовоспалительный эффект).

    Пародонтит, как правило, сопровождается функциональной перегрузкой зубов, поэтому пациента необходимо направить на консультацию к врачу ортопеду для проведения избирательного пришлифовывания и других видов ортопедического лечения.

    Во второе, третье и четвертое посещения (с интервалом в 1-2 дня) проверяют уровень гигиены полости рта, продолжают снятие назубных отложений, аппликации паст на основе метронидазола и НПВП. После купирования воспалительных явлений производится выскабливание грануляций — кюретаж. Эта процедура позволяет улучшить отдалённые результаты лечения.

    После проведения описанного курса лечебных манипуляций, как правило, заболевание переходит в стадию ремиссии.

    Контрольный осмотр назначают через 3-6 месяцев.

    Пародонтит хронический генерализованный

    средней степени тяжести

    Представляет собой результат дальнейшего прогрессирования воспалительно-дистрофического процесса в пародонте. Эта стадия болезни характеризуется более выраженной клинической симптоматикой и ощутимыми нарушениями функции зубочелюстной системы, что заставляет пациента обратиться за медицинской помощью.

    Клиника:

    Характеризуется жалобами на кровоточивость дёсен, иногда — болезненность, неприятный запах изо рта, подвижность и смещение зубов. Общее состояние, как правило, не нарушено, хотя при углубленном обследовании выявляются изменения в иммунной системе, признаки эндогенной интоксикации, отклонения со стороны других органов и систем.

    При осмотре полости рта выявляются признаки хронического воспаления дёсен: гиперемия, кровоточивость, может быть гнойное отделяемое из клинических карманов. Имеются над- и поддесневые отложения. Как правило, наблюдается подвижность зубов I-II степени, возможно смещение их.

    Диагностическими критериями,

    позволяющими поставить диагноз “пародонтит хронический генерализованный средней степени тяжести», являются: наличие пародонтальных карманов глубиной до 5 мм и резорбция костной ткани альвеолярного отростка по рентгенограмме на 1/3-1/2 высоты межзубной перегородки.

    Для

    обследования пациента и
    постановки диагноза
    в данном случае мы рекомендуем выполнить следующий объем диагностических манипуляций: расспрос, осмотр, зондирование клинических карманов, оценка подвижности зубов, проба Шиллера-Писарева, индикация и оценка «зубного» налета. Обязательно нужно провести рентгенологическое исследование (ортопантомографию). Кроме того, нужно сделать клинический анализ крови и анализ крови на содержание глюкозы. Пациента необходимо проконсультировать у стоматолога ортопеда, а по показаниям — у врача-терапевта-интерниста.

    Курс лечения

    хронического генерализованного пародонтита средней степени тяжести состоит из 6-10 посещений в течение 20-30 дней.

    Терапия направлена в первую очередь на устранение пародонтопатогенных факторов (снятие назубных отложений, избирательное пришлифовывания зубов, пластика преддверия и уздечек и т.д.), а также на купирование воспалительных явлений в дёснах, ликвидацию пародонтальных карманов, стабилизацию защитных рядов, нормализацию трофики, микроциркуляции и защитных реакций в тканях пародонта.

    В первое посещение после обследования и составления плана комплексной терапии проводят антисептическую обработку десен 0,06% раствором хлоргексидина, 1% раствором перекиси водорода, 0,2% раствором фурацилина. Затем удаляют наддесневые и доступные поддесневые назубные отложения. Обычно снятие назубных отложений производят в 2-3-4 посещения, хотя допускается проведение этой процедуры в одно посещение.

    Пациента обучают правилам гигиены полости рта, помогают выбрать зубную щетку и зубную пасту, дать рекомендации по пользованию флоссами. На данном этапе следует рекомендовать зубные пасты, обладающие противовоспалительным и антимикробным действием. В домашних условиях пациенту также рекомендуют делать ротовые ванночки с раствором фурацилина (1:5000), хлоргексидина 0,06%, отварами ромашки, шалфея, календулы 3-4 раза в день по 20 минут после еды.

    Контроль гигиены полости рта должен осуществляться на протяжении всего курса лечения.

    В это же посещение решают вопрос об удалении разрушенных зубов, зубов с подвижностью III степени, замене неполноценных пломб, неправильно изготовленных протезов, избирательном пришлифовывании зубов.

    Заканчивается первое посещение аппликацией на десну и введением в клинические карманы пасты, состоящей из антимикробного препарата (метронидазола) и нестероидного противовоспалительного препарата (аспирина, ортофена и т.д.). При выраженном гноетечении целесообразно также местное применение протеолитических ферментов (трипсина, стоматозима, имозимазы), сорбентов (гелевина, дигиспона).

    Внутрь назначают метронидазол: в первый день — по 0,5 г2 раза (с интервалом в 12 часов), во второй день — по 0,25 г 2 раза (через 8 часов). Препарат принимается во время или после еды.

    Проводимое лечение целесообразно сочетать с физиотерапевтическими процедурами, обладающими антимикробным и противовоспалительным действием: КУФ, гидромассаж дёсен, анодгальванизация или электрофорез лекарственных веществ с анода, местная гипотермия и т.д.; на курс — 3-7 процедур. Во второе посещение (через 2-3 дня) оценивают выполнение пациентом рекомендаций по гигиене полости рта, для этого проводят окрашивание налета йод-йодо-калиевым раствором. Продолжают удаление доступных назубных отложений, промывание карманов растворами антисептиков из шприца с затупленной иглой, аппликации на десны и введение в карманы смеси метронидазола и одного из НПВП.

    После купирования воспалительных явлений в деснах приступают к ликвидации пародонтальных карманов. При пародонтите средней тяжести с этой целью производят «открытый» кюретаж. В условиях поликлиники эту операцию целесообразно делать на одном сегменте челюсти, т.е. в области шести зубов, в условиях стационара — в области всех зубов одной челюсти. Завершается «открытый» кюретаж наложением десневой защитной повязки на 1-2 суток.

    «Домашние» рекомендации: на область послеоперационной раны — холод, антисептические ротовые ванночки, тщательный гигиенический уход за полостью рта, ограничение употребления грубой, острой и раздражающей пищи.

    В последующие посещения осуществляется контроль качества произведенных раннее операций и «открытый» кюретаж пародонтальных карманов в области других зубов, желательно на фоне антибактериальной терапии.

    После снятия назубных отложений, устранения других пародонтопатогенных факторов, купирование воспалительного процесса в десне и ликвидации пародонтальных карманов пародонтит переходит в стадию ремиссии.

    На данном этапе лечебные мероприятия должны быть направлены на нормализацию микроциркуляции, нервной трофики и гомеостаза тканей пародонта. Хотя в значительной степени эти процессы нормализуются самостоятельно после ликвидации микробной атаки и воспалительного процесса в тканях пародонта.

    Обычно для решения перечисленных выше задач назначают физиолечение (5-10 процедур на курс): катод-гальванизацию или электрофорез с катода никотиновой кислоты, экстракта алоэ, гепарина и т.д., дарсонвализацию дёсен, ИНГЛ, ЭП УВЧ в олиготермической дозе, местную гипо-гипертермию. Допустимо также инъекционное введение витаминов, стимулирующих и других лекарственных препаратов по переходной складке (на курс 10-12 инъекций).

    После окончания курса лечения пациента берут на диспансерное наблюдение и назначают контрольный осмотр через 2-3 месяца.

    Все последующие лечебно-профилактические мероприятия должны быть направлены на поддержание защитных сил пародонта и предупреждения образования назубных отложений. С этой целью проводят периодические контрольные осмотры и курсы «поддерживающей» терапии с интервалов 2-3, а затем 5-6 месяцев. Их основная цель — контроль гигиены полости рта, своевременное удаление назубных отложений, стимуляция трофики, микроциркуляции и защитных сил тканей пародонта с целью профилактики обострения и дальнейшего прогрессирования заболевания.

    Пародонтит хронический генерализованный тяжёлой степени.

    Является запущенной, часто «терминальной» стадией воспалительно-дистрофического процесса в пародонте. Лечение в данном случае, к сожалению, обычно малоэффективно, приводит лишь к кратковременному улучшению и требует от врача и пациента значительных усилий, чтобы на какое-то время сохранить относительную полноценность зубочелюстной системы и отсрочить потерю зубов.

    Клиника:

    Характеризуется жалобами на кровоточивость и болезненность десен, неприятный запах изо рта, подвижность и смещение зубов, затруднённое пережёвывание пищи. Как правило, нарушается общее состояние пациента. При углубленном обследовании выявляются эндогенная интоксикация, изменения в иммунной системе, отклонения со стороны внутренних органов, патогенетически связанные с воспалительно-дистрофическим процессом в пародонте.

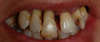
    При объективном обследовании определяется выраженное хроническое воспаление дёсен с гноетечением из пародонтальных карманов, периодическими обострениями и абсцедированием. Имеются над- и поддесневые назубные отложения. Отмечается выраженная травматическая артикуляция, патологическая подвижность зубов II-III степени, их смещение.

    Диагностическими критериями

    , позволяющими поставить диагноз «пародонтит хронический генерализованный тяжелой степени», являются: наличие пародонтальных карманов глубиной более 5 мм и резорбция костной ткани альвеолярного отростка по рентгенограмме более, чем на Ѕ длинны корня, возможно полное отсутствие костной ткани.

    При обследовании таких больных для постановки диагноза

    и составления плана лечения выполняют следующий объем диагностических манипуляций: расспрос, осмотр, зондирование пародонтальных карманов, определение подвижности зубов, индикация и количественная оценка «зубного» налёта. Проводится проба Шиллера-Писарёва. Как и при других формах пародонтита, следует произвести рентгенологическое исследование (ортопантомографию). Делается клинический анализ крови и анализ крови на содержание глюкозы. Пациента консультируют у стоматолога-ортопеда и у терапевта-интерниста.

    Курс лечения

    состоит из 8-12 посещений и продолжается 20-40 дней в зависимости от состояния зубочелюстной системы и выбранной тактики лечения.

    В первое посещение, после обследования пациента и постановки диагноза, намечают план санации полости рта и лечения патологии пародонта, определяют какие зубы подлежат удалению (как правило, при глубине кармана свыше 8мм). Совместно со стоматологом ортопедом планируют ортопедическое лечение (избирательное пришлифовывание, временное шинирование, непосредственное протезирование, изготовление постоянных протезов с шинирующими элементами и т.д.)

    В первые 3-4 посещения снимают назубные отложения, обрабатывают пародонтальные карманы растворами антисептиков, делают аппликации на дёсны или вводят в карманы пасты содержащие антисептики, метронидазол, НПВП, протеолитические ферменты (при составлении паст следует учитывать совместимость препаратов).

    В данном случае показано назначение антибактериальной терапии:

    Метронидазол — по схеме: в первый день — по 0,5 г 2 раза (с интервалом в 12 часов), во второй день — по 0,25 г 3 раза (через 8 часов), в последующие 4 дня — 0,25 г 2 раза (через 12 часов). Препарат принимают во время или после еды.

    При упорном гноетечении из пародонтальных карманов, а также при наличии сопутствующей общесимптоматической патологии назначают антибиотики, лучше линкомицин — по 0,5 г 4 раза в день (с интервалом 6 часов) за 1-2 часа до еды (в капсулах) в течение 5-7-10 дней.

    Параллельно с медикаментозной терапией назначают физиолечение (на курс 5-7 процедур): КУФ, ИГНЛ, анодгальванизация, гидротерапия.

    Пациента обучают правилам гигиены полости рта, дают рекомендации по чистке зубов, помогают выбрать зубную щётку и зубную пасту, учат пользоваться флоссами. На данном этапе следует отдать предпочтение зубным пастам, обладающим противовоспалительным и антимикробным действием. В домашних условиях пациенту также рекомендуют делать ротовые ванночки с 0,06% раствором хлоргексидина, 0,2% раствором фурацилина, 1% раствором перекиси водорода, отварами ромашки, шалфея, календулы 3-4 раза в день по 20 минут после еды.

    Контроль гигиены полости рта должен осуществляться на протяжении всего курса лечения.

    После купирования воспалительных явлений делают лоскутные операции (одномоментно в области 6-8 зубов) с коррекцией края десны и применением средств, стимулирующих репаративный остеогенез. Главная цель оперативного вмешательства — устранение пародонтальных карманов.

    По окончании описанного выше лечения проводят мероприятия, нормализующие микроциркуляцию и гомеостаз в тканях пародонта: физиолечение, инъекции лекарственных веществ в переходную складку, препараты общего воздействия. Обязательным является ортопедическое лечение, которое планируют с учётом функционального состояния тканей пародонта и зубочелюстной системы в целом.

    Следует признать, что, несмотря на применение всего арсенала средств и методов пародонтальной терапии, лечение пародонтита тяжелой степени редко бывает успешным и к длительной ремиссии не приводит. Поэтому усилия стоматологов и сан-просвет работа должны быть направлены в первую очередь на выявление и лечение ранних стадий воспалительной патологии пародонта — хронического катарального гингивита и пародонтита легкой степени.

    Пародонтит в стадии ремиссии

    После адекватного комплексного лечения хронического генерелизованного пародонтита наступает стадия ремиссии. Это состояние расценивается не как выздоровление, а как остановка или замедление развития патологического процесса (в первую очередь атрофии альвеолярного отростка) на том уровне, на котором было начато лечение.

    Клинически

    пародонтит в стадии ремиссии проявляется отсутствием жалоб; десна бледно-розового цвета, плотно прилегает к зубам, воспалительные явления отсутствуют, шейки зубов обнажены, клинические карманы не определяются

    Диагностическими критериями пародонтита хронического генерализованного, стадия ремиссии являются : имевший место, по данным анамнеза, пародонтит с проведённым комплексным лечением (включая хирургические и ортопедические методы); отсутствие клинических карманов и воспалительных явлений в дёснах; на рентгенограмме альвеолярного отростка — признаки стабилизации процесса: уплотнение костной ткани межзубных перегородок, исчезновение явлений остеопороза, восстановление вертикальных пластинок.

    Прогноз хронического генерализованного пародонтита

    Несмотря на применение широкого арсенала средств и методов лечения, комплексная терапия хронического генерализованного пародонтита бывает эффективной далеко не всегда.

    Ухудшают прогноз следующие факторы:

    невыполнение пациентом рекомендаций врача, в первую очередь неудовлетворительная гигиена полости рта;

    наличие тяжелой сопутствующей патологии, резко снижающей защитные силы пародонта и организма в целом.

    При решении о сохранении или удалении того или иного зуба неблагоприятными в прогностическом отношении считают следующие клинические ситуации:

    потеря более 50% костной ткани, неравномерная вертикальная резорбция кости, наличие костного кармана;

    глубина пародонтального кармана более 8 мм;

    локализация очага поражения в области бифуркации;

    подвижность зуба III степени;

    окклюзионная травма.

    Заключение

    В написанном мною реферате я стремилась осветить актуальные вопросы терапевтической стоматологии. Главной задачей была практическая направленность информации, желание ознакомится с методиками лечения одного из распространённых стоматологических заболеваний — пародонтита. Стремилась обобщить данные о новых разработках и технологиях, информация о которых до практических врачей-стоматологов зачастую доходит с опозданием и, к сожалению, не всегда достоверна.

    Возможные осложнения

    Хронический генерализованный пародонтит — это крайне опасное заболевание. При отсутствии лечения создается угроза не только для здоровья, но и для жизни пациента.

    Наиболее вероятные последствия недуга:

  • Адентия. Как правило, она полная. Другими словами, больной теряет все зубы.
  • Свищи.
  • Абсцессы.
  • Ревматоидный артрит.
  • Инфекционный эндокардит.
  • Атеросклероз.
  • Наиболее опасными последствиями являются инсульт и инфаркт миокарда.

    Профилактика

    Для того, чтобы свести риск возникновения обострения к минимуму, необходимо соблюдать следующие правила:

  • Отказаться от табакокурения.
  • Дважды в год посещать стоматолога. Врач оценивает состояние пародонтального комплекса и проводит профессиональную чистку зубов.
  • Ответственно относиться к соблюдению правил гигиены. При этом она также не должна быть чрезмерной.
  • Следовать принципам правильного питания.
  • Постоянного контролировать массу тела.
  • Своевременно лечить все выявленные патологии и не только стоматологического характера. Поражение внутренних органов также нередко приводит к обострению заболевания.
  • При соблюдении данных рекомендаций в большинстве случаев удается добиться стойкой ремиссии.

    Профилактические меры

    Для предупреждения развития локализованного пародонтита рекомендуются следующие меры:

    1. подберите правильную зубную щетку, пасту и ополаскиватели, следите за гигиеной полости рта и используйте зубную нить после приемов пищи;
    2. составьте правильное и сбалансированное меню, принимайте витамины;
    3. занимайтесь спортом для укрепления иммунитета;
    4. проходите профилактический осмотр у стоматолога каждые полгода, а при возникновении симптомов заболевания своевременно обращайтесь к врачу. Не запускайте любые патологии и нарушения в организме;
    5. постарайтесь снизить уровень стресса — отвлекайтесь на прогулки, массаж и другой приятный и полезный отдых.

    Приведенные меры помогут не допустить развитие не только стоматологических, но и других заболеваний, влияющих на состояние полости рта.

    Стоимость лечения

    Хронический генерализованный пародонтит — это патология, требующая комплексного подхода. Общая стоимость лечения складывается из цен каждой манипуляции.

    Средние данные по Москве:

  • Кюретаж одного патологического кармана — 1300 руб.
  • Вскрытие абсцесса — 1700 руб.
  • Шинирование одного зуба — 2900 руб.
  • Наложение лечебной повязки — 450 руб.
  • Гингивэктомия — 1400 руб.
  • Лоскутная операция — 5800 руб.
  • Введение лекарственных средств в пародонтальные карманы — 300 руб.
  • Пришлифовывание — 500 руб.
  • Удаление зуба с патологической подвижностью — 1300 руб.
  • Гингивопластика — 4500 руб.
  • Такие же цены зафиксированы во Владивостоке и Краснодаре. От хронического генерализованного пародонтита средней степени тяжести, таким образом, можно избавиться примерно за 5000 рублей за 1 зуб. В других регионах эта цифра ниже — около 3000 рублей. Лечение же тяжелой степени недуга в несколько раз дороже.

    Лечение локализованного пародонтита

    Для начала пациенту удаляют зубной налет для устранения болезнетворных бактерий в полости рта. Основная терапия ориентирована на заживление тканей пародонта, десен и лечение причины заболевания: прописываются витамины, антисептические препараты, противовоспалительные лекарства и средства для повышения иммунитета. Пациент направляется для обследования к иммунологу, эндокринологу и гастроэнтерологу для назначения сопутствующей терапии.

    При легкой и средней стадии патологии выполняются кюретаж — обработка десневых карманов антисептическими средствами и удаление отложений. Зубы шлифуются и стягиваются специальной стоматологической шиной — расшатывание останавливается, а после лечения тканей пародонта зубы снова надежно удерживаются в десне.

    Хирургическое вмешательство требуется только при тяжелой форме заболевания, когда глубина пародонтальных карманов больше 5 мм: лишняя ткань иссекается и ушивается. Сильная подвижность зубов с оголением корней не поддается лечению, зубы приходится удалять.

    Народные методы без общей медикаментозной терапии и контроля стоматолога — табу. Они могут облегчить состояние пациента, но при лечении даже легкой стадии пародонтита только народными способами заболевание очень скоро перетечет в тяжелую форму.

    Однако как дополнение к стоматологическому лечению можно использовать:

    • отвары коры дуба и крапивы — от кровоточивости десен;
    • пихтовое и облепиховое масло — при сильных жжениях и отеках десневой ткани;
    • отвар мяты, календулы, фиалки — от запаха изо рта.

    Рейтинг
    ( 2 оценки, среднее 4.5 из 5 )
    Понравилась статья? Поделиться с друзьями:
    Для любых предложений по сайту: sto247@cp9.ru