Harmful foods for tooth enamel - what to limit and what to exclude from your diet?


27.11.2019

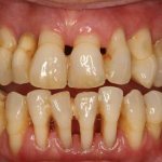
Erosion of tooth enamel is a non-carious disease, which is the gradual abrasion of dental tissue. The disease often appears on the more convex part of the outer tooth surface and has the appearance of a rounded defect.

It all starts with damage to the top layer of enamel. At the same time, it becomes more faded, the bottom of the erosive lesion looks smooth and hard. A person experiences discomfort due to increased sensitivity of the teeth, pain occurs while eating, or exposure to cold air.

It is often considered that dental erosion is a cosmetic problem, but if therapeutic measures are not taken in time, the defect will inevitably progress, erosion will begin to deepen and affect not only the enamel itself, but also the dentin.

Over time, surfaces affected by erosion change color and become brownish-yellow. In most cases, the incisors of the upper jaw, located in the center and on the sides, as well as canines and small molars, are subject to erosion. If there is no timely treatment, the remaining teeth will be involved in the process of damage.

What could be the reason?

The reasons why enamel erosion occurs are not fully understood, however, the main risk factors for the occurrence of the disease can be identified:

  1. Mechanical damage to the tooth surface due to exposure to paste, tooth powder or whitening agents.
  2. Pathologies of the endocrine system - diseases of the thyroid gland. People with endocrine system dysfunction suffer from damage to tooth enamel twice as often.
  3. Chemical exposure due to the consumption of acids contained in certain foods, for example, citrus fruits, carbonated drinks.
  4. Increased stress on the enamel due to an incorrect bite or insufficient number of teeth in the mouth, thus the pressure during chewing is distributed unevenly.
  5. Use of medications containing ascorbic acid.
  6. Work in hazardous industries where workers have to inhale mineral or metal dust.

Prevention of diseases of teeth and gums

The main protection against dental diseases that is available to anyone at home is prevention. The following must be done daily:

  • Set up nutrition. It is through food that a person receives most of his vitamins, so you need to eat vegetables every day, and especially raw ones, for example, carrots, which strengthen your teeth and clean them. You should not abuse acidic foods, too hot and too cold, as all these factors have a destructive effect on the enamel.
  • Get rid of bad habits. Smoking and alcohol impair blood circulation, which damages blood vessels, which leads to oral problems.
  • Properly brush and rinse your teeth. A dentist can give detailed recommendations on how to do this.
  • Once a year, undergo a preventive check of the condition of your teeth and gums. This frequency of observations is optimal and will allow you not to miss the onset of pathology development.

The consequences of erosion are dire

Erosion affects mainly middle-aged people. This process is characterized by a long-term course and can last from 10 to 15 years. The following consequences of damage to tooth enamel can be identified:

  1. Tooth wear accelerates.
  2. As dentin is exposed, the color of the teeth changes and they become darker.
  3. As the enamel wears away, the sensitivity of the teeth on the inner and outer surfaces worsens, that is, touching the tongue and lips brings discomfort. Dentin is a soft tissue, so pain will inevitably occur when air enters, chewing and exposure to food acid contained in food.
  4. The edges of the front teeth may appear more translucent.

Basic rules of oral hygiene

One of the main reasons why teeth deteriorate and decay is people’s ignorance of basic hygiene rules. Even from school, children are told that they need to brush their teeth at least twice a day, but few people specify that they should use high-quality toothpaste. For example, cheap toothpastes, as a rule, are made on the basis of chalk , and it greatly erases tooth enamel .

In addition, it is necessary to alternate pastes: salt with bleaching, anti-inflammatory and anti-caries, etc. Proper cleaning , which should last no more than three minutes. You should start with the top row of teeth, and then move to the bottom, first cleaning the outer and then the inner sides using shaking movements.

To prevent teeth from deteriorating, you should also follow a proper diet.

Stages and phases of destruction development

The disorder is classified not only by stages of development, but also by phases:

  1. The active phase is characterized by a progressive process of loss of tooth tissue, which causes excessive susceptibility of teeth to the action of various irritants. The enamel is destroyed very quickly, the size of the erosion increases every month.
  2. The stabilized phase occurs very slowly. Characterized by less severe pain. This is due to the fact that as the defect forms, the formation of tertiary dentin is observed, which is a product of the vital activity of the pulp and acts as a kind of protective barrier.

It is very important that in some cases the disease may transition from one phase to another.

There are 3 stages of disease development:

  • initial, there is damage to the purely upper layer of enamel;
  • medium, the enamel is affected so deeply that erosion reaches the dentin;
  • deep, the enamel is completely affected, and the upper layer of dentin is also affected.

Heredity is another cause of dental disease

People often speculate about their future dental disease by remembering how their parents or grandparents suffered from it. In fact, why young people’s teeth deteriorate has a direct relationship not with genetics, but with the responsibility of the mother carrying the pregnancy , because the health of the unborn child depends very much on how she eats and how well she observes the rules of hygiene.

A pregnant woman must eat enough foods containing calcium, vitamin D3, beneficial minerals and salts. If the body experiences a deficiency of any elements while carrying a child, this will certainly affect the baby’s health, and not only in the form of bad teeth.

Manifestations of erosion depending on the stage

The process of development of the disease is very rapid and dangerous, since along with erosion, pathological abrasion of the hard tissues of the tooth develops.

The disease is chronic, which progresses more and more over time and affects healthy teeth.

Symptoms as the destruction progresses:

  1. At the primary stage, there is a loss of shine of tooth enamel in the area of ​​a certain area of ​​the tooth surface. At this time, it is almost impossible to identify the process of erosion development. This can only be done by drying the tooth surface with an air stream or by applying iodine to the affected area, in which case the erosive area will turn brown. Initially, the erosive defect will have an oval or round shape with a smooth bottom. The erosion is whitish in color. There is no pain.
  2. At the second stage, discomfort and a change in color of the affected area begin to appear.
  3. At the last stage, noticeable pain appears during eating and brushing teeth. The pigmentation of the affected areas changes. Brown spots on the surface of the tooth become noticeable.

What are gum diseases?

Gum diseases in children and adults are divided into three main types depending on the place where the disease occurred: (more details in the article: gum diseases with photos and names)

  • Gingivitis. An inflammatory process in which the mucous membrane directly next to the tooth is exposed. It is considered a relatively mild disease, since, regardless of the degree of inflammation, it does not affect the tooth and is limited only to the gums. It is important to recognize and localize the diseased area in time.
  • Periodontitis. During this disease, the connection between the tooth root and the jaw bone is destroyed. The gap increases, where food debris accumulates and begins to rot. Externally, the gums are bleeding, swollen, and pus oozes when pressed. Signs of inflammation may be felt: fever, weakness. Without proper treatment, you can lose a tooth.
  • Periodontal disease is often confused with periodontitis. Both diseases destroy the same part of the tooth, in this case the blood supply to the tissue is disrupted. With their dystrophy, the gaps between the necks of the teeth increase, the gums do not swell, do not turn red, but are destroyed.

Three stages of diagnosis

Diagnosis is carried out during a dental examination:

  1. The location of the erosive defect is identified by drying the tooth surface with an air jet and applying iodine.
  2. The process of differentiating erosion from a wedge-shaped defect and primary stage caries. Erosion from caries will be distinguished by the location and shape of the lesion, as well as a smooth surface; with caries, the surface becomes rough. The wedge-shaped defect will also differ in shape and location. It is found in the area of ​​the tooth root.
  3. In order to identify concomitant pathologies of the endocrine system, an examination is carried out by an endocrinologist and gastroenterologist, an ultrasound of the thyroid gland is prescribed, and a hormonal analysis of the thyroid gland is performed.

Soda

Carbonated drinks have a harmful effect on tooth enamel due to the presence of carbon dioxide in them. When combined with water, this chemical element changes and forms carbonic acid.

Such bubbles, refreshing a person on a hot day, dissolve the surface layer of tooth enamel, leading to its thinning and increased sensitivity.

In addition to carbonic acid, sweet carbonated drinks contain large amounts of sugar, dyes and phosphoric acid. Penetrating into the pores of the tooth surface, coloring substances reach the dentin, forming pigmented areas of a dirty yellow or grayish tint on it.

To reduce the risk of carbonated drinks to your teeth, it is advisable to rinse your mouth with clean water after drinking them.

Rehabilitation therapy

Treatment for erosion of tooth enamel involves the appointment of local and general procedures in order to transition the disease from the active phase to the stable one. At the same time, the loss of hard dental tissues will be stopped.

If the enamel has already been worn away, then the following are prescribed:

  1. Local therapy includes remineralization - daily procedures of application of fluoride and calcium-containing products. The course lasts from two to three weeks. The final stage will be coating the surface of the teeth with fluoridated varnish. These procedures eliminate the increased susceptibility of enamel to irritants.
  2. Mineralization is carried out using calcium electrophoresis.
  3. If there is a high level of damage to the hard tissues of the tooth and an obvious erosive defect, a tooth restoration procedure is carried out using a light-curing composite, veneer or artificial crown.
  4. General therapy involves the prescription of medications with calcium and fluoride, as well as a complex of vitamins and minerals.
  5. Treatment of erosion in the stabilized phase involves continued use of the vitamin complex. Also, therapeutic methods at this stage will be aimed at eliminating discoloration of the areas affected by erosion. To do this, methods of polishing teeth with a special paste, moderate whitening and applying fluoride varnish and gel to erosive areas are used.

In case of erosion, filling a tooth will not always be effective, since a violation of the adherence of the filling material may occur, which can lead to the formation of a defect around the filling itself.

Treatment will be considered effective if the erosions smooth out and become invisible, pain when eating and getting air into the mouth disappears.

What foods are harmful to teeth?

1. Sugar

Don’t rush, they say, I know, I know again about sweets... bacteria...

Although this is true.

And, in addition, calcium is needed for the absorption of sugar and tooth enamel will serve as a donor. Without having time to restore the expended reserves, the teeth are destroyed.

However, this, alas, is not the only danger.

What else should you be careful with?

2. Citrus, sour fruits

Again, do not rush to comments and conclusions. We do not encourage you to give up obviously healthy products.

However, do not forget to rinse your mouth with water to remove the citric acid they contain, which can harm dental tissue.

The same applies to sour fruits and berries.

You probably guessed that the folk recipe for whitening with lemon juice should not be used!

3. Products with dyes

Pigments can spoil the whiteness of a dazzling smile.

Don’t forget to also rinse your mouth, or even better, brush your teeth and enjoy eating:

  • Blackberry
  • Coffee
  • Tea
  • Mulberry
  • Fragrant red wine

But avoid products with artificial dyes, because their effect will extend not only to the color of the enamel, but also to the health of the body.

Coffee changes the pH balance in the mouth, making it more acidic. Products consumed after drinking coffee are more likely to harm teeth than on their own.

There is evidence that abuse of this invigorating drink is fraught with calcium leaching.

There is research evidence that if you drink tea with added milk, you can neutralize the danger of pigmented spots.

4. Dry, crunchy foods

Yes, yes, crackers, for example.

They scratch the enamel, injure the gums, and fragments get stuck between the teeth. As a rule, they are used for a snack, somewhere on the go, where there is no opportunity to tidy up the oral cavity

Or chips.

They contain various flavorings, some of them with an acidic composition that damages the enamel, and they themselves can damage the gums.

Give preference to walnuts or some other nuts that are sure to be beneficial.

Although some sources also list them as harmful. But, for sure, between crackers and chips - they will clearly be the lesser evil)

5. Soda

Carbon dioxide increases tooth sensitivity and destroys them. Adding syrup is a double hazard.

Sweet bottled drinks such as soda contain about 40g of sugar, which equates to 10 teaspoons per 350ml, as well as acids and dyes, all of which have an adverse effect.

The same applies to energy drinks and sports drinks.

6. Fast carbohydrates

Without proper and timely care, the development of caries will accelerate, which in turn will cause bad breath.

The remains of such food quickly decompose, disrupting the microflora, creating an environment favorable for the proliferation of pathogenic bacteria, which provokes diseases of the mucous membranes, gums, and destruction of enamel.

7. Juices

Packaged juices, like sweet drinks, contain huge amounts of sugar and acids.

8. Dried fruits

Dentists recommend replacing them with fresh fruits, since they are sweet, sticky, and remain in the dental spaces, creating favorable conditions for caries.

9. Alcoholic drinks

By washing away saliva (the natural protection of teeth), they leave sugars, acids and, again, dyes on them.

It is interesting that white wine, without coloring substances, can damage tooth enamel, since it contains acids that form certain “passages” on the tooth enamel, into which the effects of other products become more pronounced.

Beer contains carbon dioxide, saturated with acids that act destructively.

10. Tomatoes, tomato sauce

Tomatoes, despite the enormous benefits for human health, for example, with varicose veins of the lower extremities, have high acidity. Don't forget to brush your teeth.

11. Bottled drinking water

Yes, yes, don't be surprised. Minerals are often added to it, exceeding the normal (pH 7−7.5) acidity level. Pay attention to the value indicated on the label.

12. Yoghurts with jam

They contain sugar and acids. Give preference to healthy “pure” yogurts without any additives. Add fruit for flavor.

13. Muesli bar, toffee candy

Many of us are familiar with losing fillings while chewing toffees. The chewy base is also present in muesli bars. And also sweetness, the ability to stick between the teeth, remaining there for a long time. This also includes chewing candies with various flavor enhancers, concentrates, and other harmful components. These are active tooth destroyers.

14. Small grains, seeds

Despite all their usefulness, they are dangerous for the oral cavity because they get stuck in the interdental spaces, creating conditions for bacteria. Use dental floss when eating poppy seeds and sesame seeds.

Husking unpeeled seeds also causes damage to the enamel.

The most harmful foods for teeth are those that are sour, overly sweet, sticky, and have sharp edges.

Tooth decay during pregnancy

During pregnancy, teeth bear increased stress and can quickly deteriorate. This is due to the growing fetus.

The body's reserves of calcium, phosphorus and magnesium during pregnancy are spent on fetal development.

For the formation and growth of its skeletal system, a large amount of calcium, phosphorus and magnesium is required. If there is insufficient supply of these elements with food, they are borrowed from the body of the expectant mother. Calcium is contained in teeth in an easily accessible form, so it is primarily deposited from there. This leads to enamel fragility and reduced resistance to external influences. As a result of hormonal changes, the composition of saliva changes to the acidic side, which also negatively affects the teeth.

How to strengthen your teeth

Fluoridation (remineralization) will help strengthen teeth. The doctor applies a special fluorine varnish and then dries them with a stream of warm air. Thus, the enamel is covered with a protective film.

Homemade preparations for remineralization are also useful (gels and pastes Rocs, Elmex, etc.)

To strengthen your teeth, it is recommended to increase your calcium intake (dairy products, fish, green vegetables). Multivitamin and mineral complexes from the pharmacy are also suitable.

Severely damaged teeth are restored in dentistry by:

  • extensions with photopolymer composites; the method is effective if the teeth crumble or a piece of the cutting edge breaks off;
  • installation of pins and intra-root inlays - when most of the crown is destroyed, it should be additionally secured with anchor pins or inlays in the root canals;
  • installation of microprostheses - veneers cover defects in the smile area, inlays replace the lost part of the lateral molars, and crowns are used when the tooth is destroyed by more than 70%.

The sooner you start dental restoration, the easier it will be to fix the problem. If you are looking for a dentist near your home, use the search system.

Tooth decay

Enamel is the armor of a tooth; if it loses its integrity, caries, chips or other defects appear. The dental crown may crack or crumble. Unfortunately, this is irreversible and a dentist is needed to restore the teeth. Further in our article about why teeth fall apart, the symptoms of this process and methods of restoration.

Dentists say that the main cause of tooth decay and caries is insufficient production of saliva or its acidification (decrease in pH level). This is an important biological fluid that neutralizes the action of pathogenic bacteria and prevents calcium leaching.

Medicines and alcohol


Some medications and all alcoholic drinks disrupt the water balance and cause dry mouth. The secretion of saliva decreases, it stops constantly washing the teeth, cleaning them and saturating the enamel with minerals. Dry mouth makes the gums vulnerable to injury and inflammation, which can lead to periodontal disease. Sweet alcoholic drinks are especially harmful: liqueurs, wines. Adding to the dryness when consuming them is the effect of sugar and acids. Red wine additionally stains the enamel.

Eating contrast foods.

The condition of the enamel is negatively affected by food that is too hot or too cold, but what “hits” it the most (weakens it and contributes to the appearance of cracks) is eating contrasting food (for example, coffee with ice cream).
Sometimes even the strictest adherence to the rules does not help maintain the strength of the enamel. Its destruction is often caused by birth defects, pathological processes in the body and the need to take certain medications. Is this treatable? Modern dentistry works wonders. But she still cannot restore the enamel. It is impossible to reverse the destruction that has begun. The only thing doctors can do is to slow down the process that has begun. The most common, proven effective method of strengthening enamel is fluoridation (application of fluoride-containing varnish to the surface of teeth, which essentially replaces tooth enamel). Penetrating into tooth enamel, fluoride accelerates the absorption of calcium and phosphorus, and this strengthens the tooth surface. Fluoridation is usually done after teeth cleaning. However, we must remember that an excess of fluoride is just as harmful as a deficiency, since it leads to fluorosis - a disease that begins with the appearance of whitish spots on the teeth and ends with the destruction of the enamel. Therefore, this procedure is not carried out for people who live in areas where the water contains a high fluoride content. The second method is remineralization (saturation of tooth enamel with mineral components, restoration of mineral balance). This method is especially often used in pediatric dentistry, as it ideally helps at the first signs of thinning enamel. When the process of enamel destruction is far advanced, remineralization is ineffective. Implantation is the application of a composition that is organically close to natural to the teeth. When applied, it reacts with natural tooth enamel and activates restoration processes in it. The procedure is expensive, technically complex, and requires a highly qualified doctor, but the gamble is worth the candle - artificial enamel lasts a long time and is practically no different from natural enamel. Ceramic veneers. The installation of veneers cannot be called a restorative procedure, since it involves even greater tooth decay. It will also not be possible to remove the veneers painlessly, since it will be impossible to restore the enamel after them. However, veneers perfectly mask all imperfections of teeth and enamel.

Cold and hot food and drinks

A sharp transition from hot to cold food has the following effects on enamel:

  • microcracks form in the tooth surface;
  • as a result of food intake, pathogenic microorganisms penetrate into them;
  • under the influence of waste products of microorganisms, consumption of hot or, conversely, cold food and drinks, cracks increase, and pathogenic microflora affects the deeper layers of the tooth.

Sharp changes in the temperature of food intake contribute to the thinning of the enamel and, as a result, to an increase in its susceptibility to external factors.

Rating
( 2 ratings, average 5 out of 5 )
Did you like the article? Share with friends:
Russian | English
Для любых предложений по сайту: sto247@cp9.ru