Each of us has probably heard something about wisdom teeth. But not everyone realizes that behind these teeth there can be hidden not only benefits, but also many problems. Misalignment of the bite, pain and various inflammatory processes - this is what happens when eights begin to look for their way out. So why do most people develop these problem teeth? Why do our bodies need them and how can we get rid of these unexpected guests? We decided to study the whole topic in detail and ask questions to a specialist.
Why are wisdom teeth needed?
Nature thinks everything through to the smallest detail, and people are no exception. In ancient times, people did not have soft food and fast food, so they had to eat hard, rough and fibrous food, which had to be chewed thoroughly. This is where the eighth molars or wisdom teeth, as they are popularly called, came to the rescue. In a conversation with our publication, the chief physician of the Vse Svoi dental clinic chain, Igor Repin , said that these teeth did an excellent job of grinding such food and contributed to proper digestion:
“But time passed, people flew into space, and in theory, nature should have removed the eights from our “basic” configuration, but did not have time. Therefore, the eighth teeth are laid down and formed in the bones later than all. They are located the furthest away, and there are a number of dangerous and vulnerable spaces around them.”
But why, given all the usefulness, are eights still considered one of the most problematic teeth? We have found the answer to this question. As the doctor explained, due to the fact that these teeth are the last to be formed, they simply do not have enough space. And instead of growing in an upright position, they begin to move in the wrong direction inside the jaw. Most often these teeth are located at an angle.
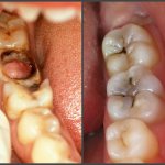
“The main problem is that when the wisdom tooth erupts, it pushes against its “neighbor.” This situation is dangerous for several reasons. Firstly, it hurts, and secondly, the figure eight can harm the neighboring tooth and provoke its resorption. In the event that a wisdom tooth has erupted with several tubercles, then a space is formed between it and the seven, which is quite difficult to clean, and this entails the occurrence of caries. Therefore, it is better to say goodbye to wisdom teeth as soon as possible,” the specialist said.
But there are other situations when the tooth simply does not have enough strength to erupt, because the bone in the jaw is quite dense. Therefore, in these cases, patients experience fever, pain when swallowing, inflammation of the lymph nodes, deterioration of health and weakness.
But these teeth manage to annoy not only patients, but also the doctors themselves. For example, when treating caries, a specialist is not always able to clean the dental canals due to the special structure of the roots. And the treatment procedure itself is complicated by the very distant location of the tooth. Tooth extraction is also complicated due to the strong curvature of the roots, which sometimes resemble the working part of mites. Therefore, we can conclude that wisdom teeth cause more problems than benefits.
Filling material
There are two main types of fillings used in dentistry: temporary and permanent.
Temporary fillings are installed for diagnostic and therapeutic purposes for several days or weeks. They are used to preserve dental pulp, restore dentin, relieve inflammation or eliminate the dental nerve using special chemical compounds.
A permanent filling is placed with the expectation of long-term service and is designed to completely restore the functionality of the tooth and its aesthetics (especially important for the front incisors).
Types of fillings:
- by material composition (cement, metal, composite, photopolymer, compomer, ceramic);
- according to the method of hardening (light, chemical hardening);
- at the place of application (for the coronal part, when filling canals).
The most important thing is the choice of filling material.
Cements are the most affordable materials. They are used less and less often for filling permanent teeth, but the content of fluoride ions in some compositions makes them relevant for protecting against recurrent caries of both milk and permanent teeth.
Metal fillings (amalgams) are alloys based on various metals (silver, copper, mercury). Such materials do not perform an aesthetic function, therefore they are used for filling only molars, but they are quite wear-resistant and affordable.
Composite and photopolymer materials are the optimal choice of modern dentistry. Unlike cement, they allow you to create reliable, long-lasting fillings. Unlike amalgam material, they combine well with natural fabrics.
The top of the range of filling materials are ceramic and compomer fillings - the most expensive, but most durable samples. They do not shrink and are able to completely merge with tooth tissue without changing color over time. Non-toxic, do not destroy tissue and do not require special care.
Indications for wisdom teeth removal
Eights do not always grow incorrectly. There are cases, although rare, that they calmly fit into the general dental arch and do not interfere with the patient. However, the resulting caries can provoke the development of a more dangerous process - pulpitis. In this case, no doctor can guarantee complete treatment of the figure eight, so in case of pulpitis, it is better to remove the tooth immediately.
“There is another type of indication - orthodontic. In this case, doctors involved in the correction and correction of bites advise removing some teeth to make room in the jaw for further manipulation. Most often they get rid of the eights,” added Repin.
Another indication may be a gum pocket that appears after tooth eruption. It accumulates food debris, which can provoke the development of caries and inflammation of the mucous membrane. If its repeated excision does not help correct the situation, then doctors advise getting rid of the tooth.
“And there are other situations, most often found in the upper jaw. The tooth may grow towards the cheek and begin to rub its inner surface. Because of this, patients experience severe discomfort, and painful ulcers often form on the mucous membrane. This state of affairs can also be called one of the indications for removing the figure eight,” the dentist warned.
Filling procedure
Includes several sequential stages:
- Cleaning the damaged surface from unstable areas and carious formations. In the presence of caries, cleaning the surface is of particular importance: if the surface is not completely cleaned, tooth decay will continue even after the filling is installed.
- Drying of saliva in the working area is carried out using a saliva ejector and cotton swabs (or latex pads), which isolate the tooth from the surrounding soft tissue.
- Surface preparation includes mechanical and antimicrobial treatment. The latter is needed to increase the adhesion of the tooth surface to the finished filling composition. To do this, apply to a cloth cleaned with an antiseptic for 30 seconds. apply a special acid-containing solution. After washing off the solution, the cavity under the filling is thoroughly dried.
- Preparation of filling material and installation of the seal. At this stage, preparations are prepared in accordance with the purpose and type of filling. This can be either a therapeutic temporary filling or a durable composition with a 20-year service life. When installing a permanent filling, the paste is carefully compacted to avoid the formation of tiny bubbles, and after hardening, it is ground and polished to the level of the natural bite. As a result, the tooth acquires its natural shape and healthy functionality.
Difficulties of the wisdom teeth removal process
According to Dr. Repin, the complexity of such operations lies in several reasons. For example, if the operation is performed on the upper jaw, then during removal you can get a real hole in the maxillary sinus. Getting food into this area will not lead to anything good. However, this is not the worst thing.
“There is another nuance in the upper jaw - we can get a hole, but one wrong movement of the surgeon’s instrument can push the tooth into the sinus, and this is already a colossal problem,” he said. “In such cases, patients undergo a revision of the sinus and extract the tooth using more complex methods.”
Problems with these teeth can also occur in the lower jaw. The fact is that it is in the growth zone of the eights that there are those places that react extremely acutely to any inflammatory processes. Therefore, quite often after the removal of the last molars, patients experience abscesses and phlegmons. These inflammatory processes are treated in a hospital setting, and patients often have to cut the skin to do this:
“There are still complications. For example, when the figure eight is placed in the lower jaw so awkwardly that the jaw breaks during removal.”
In addition, patients often experience numbness after surgery. It occurs when, during removal, the root of the figure eight catches the nerve passing in the lower jaw. The feeling can be compared to anesthesia, which lasts for six months.
Which dentist treats caries?
In dental practice, 3 specialists can fill teeth at once:
- Dentist;
- therapist;
- pediatric dentist.
The job description of the first professional includes a wide range of responsibilities. He chooses treatment tactics, administers anesthesia, diagnoses, prevents and treats caries. However, this specialization does not require lengthy training in higher education institutions.
Important! Today, the profession of a dentist is considered obsolete. Their main responsibilities are handled by junior medical staff. Therapists are responsible for diagnosis and treatment.
A dentist-therapist is a general specialist.
The pediatrician can also place fillings. However, its focus is the elimination of oral diseases in children.
The dentist-therapist is the first one who receives and examines the patient. This is a generalist. If only conservative intervention is required, it will be handled by a therapist. But when specific therapy is needed, he will refer you to another doctor: an orthodontist, a prosthetist, a surgeon, a periodontist.
Additional Information! A dentist of any specialization is familiar with all manipulations. Therefore, it is not always important which doctor puts the fillings. The procedure may be necessary when performing work of a different nature: prosthetics, orthodontic treatment and other manipulations.
Rapid rehabilitation: myth or reality?
We decided to ask the doctor what rehabilitation actually depends on, and how to make the recovery process after surgery as easy and fast as possible. As it turned out, everything is not so simple here, since a lot depends on the body.
“The ease and painlessness of the recovery process depends 50% on the body itself and 50% on the surgeon’s manipulations,” Repin said. “And if we cannot influence the body, then the rest can be controlled. So, due to the severe traumatic nature of such an operation, severe pain and swelling develop. This is a direct indication for taking non-steroidal anti-inflammatory drugs. Doctors often prescribe antibiotic therapy, which helps avoid the occurrence of suppuration and other processes hazardous to health.”
The doctor also recommended that after the operation, refrain from eating very hot and hard foods, reduce physical activity, stop drinking alcohol and smoking, and visiting saunas and solariums. If the swelling is very severe, then antihistamines and rinsing with antiseptic oral agents will help reduce it. They are prescribed by the doctor individually for each patient.
“In one word - don’t heat it up. If possible, it is better to apply ice to the sore area. In any case, the attending physician will tell the patient about this,” the specialist warned.
It is still unclear why the eights were not renamed from wisdom teeth to teeth of complete problems. But after a conversation with the doctor, one thing became clear - it is better not to delay treatment, take pictures on time and monitor the development of the situation. If the doctor, even at the rudimentary stage of the eighth molars, advises getting rid of them, do not be alarmed. It is better to decide on surgery and remove teeth at the simplest stage.
Why can the service life of a filling be reduced?
Sometimes dental products of this type fall out, crumble, and caries develops underneath them. There are a number of reasons for this:
- Incomplete cleaning of the tooth from carious tissue. The disease is simply closed, and it continues to progress. The tooth gradually deteriorates, the product ceases to perform its functions, and may simply fall out of the cavity.
- Incorrect formation of the cavity for installation of the product.
- Lack of protection from moisture during cavity closure. Some substances are not resistant to moisture. Due to the action of saliva, they cannot harden and consolidate normally. To prevent this, the working tooth is limited from the oral cavity with a rubber dam - a latex scarf.
- Insufficient light penetration when curing the filling with a lamp. The light wavelength for curing the composite must be at least 450 nm. For curing, special battery-powered lamps are used. If there is not enough charge, light will not penetrate well into the layers of the workpiece. The inside of the structure will remain loose. Such a product will quickly fall out of the tooth or gradually shrink, which will then lead to the development of secondary caries.
This is interesting: Features of open and closed sinus lift
These are factors related to the doctor's qualifications. But a lot depends on the patient. If the doctor tells you not to eat food or chew gum for two hours, then you need to strictly follow his instructions.
Dentistry
The phrase dentist appeared in Russia in 1710. Before this, no one had treated the teeth; they were gradually destroyed. If a tooth started to hurt badly, it was simply pulled out. Thanks to Tsar Peter I, dental schools appeared. Only a hundred years later a decree was issued prohibiting practicing medicine without a diploma.
Gradually, dental faculties began to appear at universities. Dentistry began to develop rapidly as a science. There is a need to pay more attention to diseases of the oral cavity. Already at that time, people needed specialists with extensive knowledge in this field of medicine. Over time, the phrase dentist has become less common. It has been replaced by the word dentist. What's the difference?
In a modern college you can get an education and become a dentist after 3 years if you have a diploma. Such a specialist can work and treat teeth, but with some restrictions. For example, he will not be able to treat:
- pulpitis;
- correct bite;
- engage in complex prosthetics;
- do anesthesia.
In fact, many people do this in practice. Mainly in small settlements where there are no necessary specialists, the dentist is forced to provide assistance to people without having the right to do so by law. Essentially, he performs the functions of a dentist.
Abroad, a dentist is called a dentist. They receive education in secondary medical educational institutions. Few specialists abroad have a diploma of higher medical dental education. Mostly such specialists are found in large cities, and not in small towns.
What are the responsibilities of a dentist?
A wide range of dental problems and the emergence of innovative technologies have contributed to the need for more intensive training of doctors in dental practice.
A dentist is a specialist who has a higher education, unlike a dentist. In other words, the name of the doctor who treats teeth is a dentist. The therapist's responsibilities include:
- caries therapy;
- filling;
- treatment of stomatitis, pulp opening, etc.
The main responsibilities of a dentist include caries therapy, filling, treatment of stomatitis, etc.
The work of a dentist is a very responsible job, because it is very important to establish the correct diagnosis and prescribe the correct treatment measures so as not to harm the patient’s health. A dentist must constantly improve his level of qualifications, follow new trends in dental treatment, be able to correctly use special tools and equipment, and understand medications. Due to the emergence of new specialties, many people get confused and ask a completely normal question: what kind of doctor puts fillings on teeth?
The filling procedure is an intervention that requires certain knowledge and skills, so filling can be performed by a specialist with a higher education - a dentist.
What does a dentist surgeon do?
The specialist who performs surgical actions during the treatment process is called a surgeon. What kind of doctor removes teeth when we are in great pain and unbearable? Of course the surgeon. In addition to this common procedure, his responsibilities include other actions:
- implantation;
- treatment of trigeminal nerve diseases;
- therapy of pathological processes in periodontal tissues;
- working with nerve endings in the mouth;
- treatment of formations in the oral cavity;
- cutting gums;
- carrying out plastic and restorative manipulations;
- preparation for the prosthetic procedure;
- therapy of tongue frenulum defects;
- removal of birth defects;
- wound treatment;
- removal of teeth, both partial and complete.
Implantation and tooth extraction are the main responsibilities of a dental surgeon
When performing all of the above manipulations, it is important to provide the patient with reliable pain relief. Most often, local anesthesia is performed, but at the client’s request, operations can also be performed under general anesthesia.
Responsibilities of a dental therapist
A dentist-therapist is a specialist with a higher medical education. He is obliged:
- receive and examine patients;
- diagnose;
- draw up a treatment plan;
- administer anesthesia using modern techniques;
- carry out the prevention and elimination of all types of carious lesions and their complications;
- install seals;
- carry out endodontic intervention;
- take impressions, try on, adjust prostheses and orthodontic structures;
- perform simple physiotherapeutic procedures;
- carry out aesthetic and functional restoration, whitening, professional hygiene.
A dental therapist can also diagnose dental diseases.
Additional Information! In addition to basic services, the therapist is required to monitor the condition of the equipment, take and store medications, and teach hygiene to patients. An important point is constant professional development, improvement of professional skills, and introduction of new treatment methods.
It is worth understanding that a dentist-therapist is a general practitioner. In addition to treating diseases of the oral cavity, he can provide emergency medical care, reduce dislocations and fix jaw fractures, and, based on tests, suggest diseases of other human organs and systems. Therefore, you should not resist if the doctor asks permission to perform a manipulation that does not concern dental problems.
Oral diseases.
05/02/2018 admin Comments No comments
Modern dentistry provides a range of services, so today there are more and more different specializations in this field.
Dental professions:
In this article we will discuss each specialization separately. You will learn: what is the name of the doctor who inserts teeth, and also whether a dentist has the right to remove teeth, which doctor treats stomatitis, and much more.










