Что вставляют в десну после удаления зуба мудрости?

После экстракции зуба в ране скапливается кровяной сгусток, который предохраняет ее от попадания слюны, содержащей вредные микроорганизмы. По ряду причин сгусток может не сформироваться, из-за чего возрастет вероятность осложнений и инфицирования лунки. В таких случаях для прекращения послеоперационного кровотечения врач использует гемостатическую губку, которая имеет высокие гигроскопические и антисептические свойства.
Показания к применению:

  • Низкая свертываемость крови у пациента.
  • Нарушение целостности крупных сосудов во время операции.
  • Грубо или неправильно проведенное удаление, сопровождающееся обильным кровотечением.
  • Нарушение пациентом правил по уходу за поврежденной десной и ротовой полостью после операции.
  • Воспалительный процесс в ране.
  • Высокое артериальное давление.
  • Прием пациентом лекарственных средств, разжижающих кровь.

Гемостатическая губка — плотно спрессованная субстанция желтого цвета со специфическим запахом уксусной кислоты. Внешне она напоминает спонж с сухой пористой структурой. Выпускается в виде пластин размером 5х5 см или 10х10 см, упакованных в герметично закрытые полиэтиленовые пакеты. Стоматолог закладывает средство в образовавшуюся после удаления зуба лунку. Пористый материал активно впитывает жидкость объемом в 35—40 раз больше, чем собственный размер, при этом защищает рану от микробов и не дает распадаться защитному кровяному сгустку.

Что за материал в стоматологии кладут в лунку: его виды

В аптеках можно встретить кровоостанавливающие губки нескольких видов под различными названиями. В зависимости от основного компонента они бывают двух видов:

  • Изготовленные из компонентов плазмы доноров.
  • Произведенные на основе крови, костей, сухожилий крупного рогатого скота.

Лечебные свойства обуславливаются содержащимися в крови активными веществами и солями.

Фото 1. Стоматологическая гемостатическая губка производства ОАО Лужский завод Белкозин. Выпускается в виде пластины размером 50х50 мм.

В зависимости от дополнительного действующего компонента губки бывают:

  • Желатиновые. Производятся только из костей скота.
  • Коллагеновые. Изготавливаются из костей и сухожилий скота.
  • Амбеновые. Содержат элементы плазмы человеческой крови, реализуются через аптеки в темных стеклянных баночках только по рецепту врача.

Кроме основных и дополнительных составляющих, губки могут содержать в себе фурацилин, нитрофурал, борную кислоту и другие антисептические средства.

Гемостатическая губка для остановки кровотечения после удаления зуба

Операция удаления зуба относится к хирургическим операциям, поэтому не удивительно, что процедура сопровождается кровотечением.
Чтобы остановить кровотечение, дантистом используются специальные мази, а также гемостатическая губка после удаления зуба.

Помимо этого, данный материал обладает антисептическими, успокоительными и регенерирующими свойствами. Гемостатическая губка – еще хороший абсорбент.

  • Показания к применению
  • Виды губок
  • Способы использования
  • по теме

Показания к применению

Удаление зуба может сопровождаться незначительным количеством крови, но иногда наблюдается обильное кровотечение.

Причин кровотечения может быть несколько:

  • грубо проведенная операция, сопровождаемая повреждением десны;
  • облом отростка альвеолярного;
  • плохая свертываемость крови.

Гемостатическая губка после удаления зуба хорошо впитывает в себя кровь, способствуя ее быстрой свертываемости.

Параллельно идет при удалении зубов обезболивание травмированного участка. Предохраняет данное медицинское средство и от проникновения в лунку инфекции.

Помимо стоматологии гемостатические губки активно используются и в других сферах медицины, где возникает необходимость в местном воздействии на кровотечения, а также в качестве профилактики.

Популярность это средство получило благодаря своей гигроскопичности – способности впитывать и удерживать в себе жидкости (в данном случае кровь).

Гемостатические губки никак не реагируют на холодную воду, а вот под воздействием горячих температур могут растворяться. Поэтому на время лечения пациенту придется ограничиться приемом только слегка теплой пищи.

Виды губок

Гемостатическая губка – это, своего рода, пористая сухая пластина, получившая свои свойства благодаря сырью, из которого производится.

Гемостатическая губка с фурацилином и борной кислотой

Обычно имеет специфический запах, напоминающий уксусную кислоту.

Разделяют губки на 2 вида, в зависимости от основного компонента:

  1. изготовленная из крови донора;
  2. на основе крови, кожи, сухожилий и костей крупного скота.

В составе крови присутствуют тромбокиназа, тромбин и ряд солей. Они и обуславливают целебные свойства губки.

К основному продукту добавляют действующие компоненты, благодаря чему кровоостанавливающее средство можно квалифицировать и так:

  • коллагеновые (раствор получают из сухожилий и кожи рогатого скота);
  • желатиновые (в качестве сырья берутся кости скота);
  • амбеновые (компонент, присутствующий в плазме крови) — этот вид губки отпускается только по рецепту врача.

Также в структуре губок могут присутствовать борная кислота, фурацилин, нитрофурал и другие подобные компоненты.

В зависимости от составляющих, в аптеке можно увидеть гемостатические губки с различными названиями и в разной расфасовке. Обычно это герметичные блистеры, содержащие одну пластину. Амбеновые тампоны фасуются в темный стеклянный пузырек.

Способы использования

Губку гемостатическую, хирург-стоматолог помещает вглубь лунки сразу же после удаления зуба, как средство профилактики, чтобы, в первую очередь, предотвратить обильное кровотечение.

Пластина впитывает в себя жидкость и способствует быстрому заживлению раны

Набухшую губку из лунки не удаляют, пока травмированное место не заживет. В этом случае зарастающая ткань десны сама вытеснит губку из ямки.

Если этого не произойдет, и ткани поглотят кровоостанавливающее средство, переживать не следует – пластина спокойно рассосется, не причиняя дискомфорта.

В некоторых случаях одного тампона может оказаться недостаточно, и пациенту придется самостоятельно использовать дополнительные губки.

Но, опять же, первоначально уложенную в лунку пластину не извлекают – она там остается до конца, а вот последующие – нужно будет менять.

При этом самостоятельно пациент вторую (и т.д.) губку кладет не в лунку, а поверх нее, слегка прижимая зубами. Как только очередная пластина пропитается кровью, ее меняют на новую.

И так до тех пор, пока кровоточивость десен не прекратится.

Если пришлось использовать самостоятельно несколько пластин геморрагической губки, то пациент должен в обязательном порядке показаться лечащему стоматологу, чтобы тот проверил состояние заживающей лунки и степень образовавшегося кровяного сгустка.

Прежде чем использовать гемостатическую губку, дантист должен уточнить у пациента, не является ли он аллергиком.

Ведь могут возникнуть нестандартные реакции на составы пластин, применяемых для тампонирования зубных лунок.

Чаще всего чувствительность возникает на такие компоненты, как натрофуланы.

по теме

Как ухаживать за десной после удаления зуба и какие методы имплантации и протезирования зубов предпочтительнее остальных – обсуждение важных вопросов в программе “Жить здорово!”:

Самостоятельное использование средства, без назначения врача, не рекомендуется. Если же оно было приписано, то применять следует строго по инструкции. Упаковку, в которой хранятся губки, нельзя открывать заранее, чтобы не нарушить целебные свойства пластин.

Источник: https://zubki2.ru/xirurgiya/udalenie-zubov/gemostaticheskaya-gubka.html

Зачем ставят стоматологическую губку

Средство применяется для закладывания в рану и оказывает следующее воздействие:

  • Останавливает кровотечение.
  • Предохраняет рану от инфицирования и заражения.
  • Уменьшает болезненность.
  • Снимает отечность десны.
  • Ускоряет заживление поврежденных тканей.

Гемостатическую губку используют строго по назначению врача с учетом противопоказаний и возможных побочных действий. При этом важно придерживаться инструкции по применению, чтобы минимизировать риск осложнений.

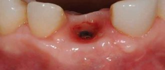
После экстракции зуба врач берет нужное количество средства и помещает его вглубь раны для предотвращения сильного кровотечения. В течение нескольких минут губка впитывает кровь и сильно набухает, оставаясь на месте и закрывая лунку.

Фото 2. Применение саморассасывающегося тампона помогает избежать таких осложнений, как альвеолит — инфицирование лунки.

В случае сильного кровотечения может потребоваться второй или третий слои губки, которые накладываются поверх первого и слегка прикусываются. Их можно периодически менять по мере наполнения кровью. При этом слой, который положили первым, извлекать нельзя, средство рассосется в течение нескольких недель, либо травмированное место при заживлении само вытолкнет его наружу.

После прекращения кровотечения врач может зафиксировать губку швом и дополнительно обработать тромбином для усиления эффекта.

Профилактика и предотвращение осложнений после удаления зуба

Чтобы сократить срок заживления лунки и предотвратить развитие осложнений после удаления зуба, надо учесть несколько обстоятельств:

  • Не ходить на удаление зуба натощак, это может осложнить свертываемость крови и вызвать гипогликемию. Каким бы сильным ни было волнение перед операцией, нужно заставить себя позавтракать за два часа до процедуры. Но если экстракция будет проводиться под общим наркозом, придется обойтись без еды не менее пяти часов.
  • Операцию лучше планировать наутро, чтобы было время для обращения к врачу в непредвиденных ситуациях.
  • Женщине на время критических дней по возможности лучше воздержаться от оперативного вмешательства. В этот период кровотечение из лунки бывает сложно остановить.
  • Нужно обязательно сообщить врачу об аллергии на медицинские препараты, а также о лекарствах, которые были приняты накануне или принимаются систематически. Следует информировать доктора обо всех серьезных патологиях в организме до того, как он выдернет зуб.

Воспалительные процессы, которые возникают у пациентов после того, как им вырывают зубы, развиваются чаще всего как осложнения заболеваний, которые и привели к удалению. Запущенный кариес, пародонтоз, флюс, абсцесс, киста – эти состояния сопровождаются разрушением зубных тканей и образованием гноя, который попадает и в полость, где удалили зуб, что сильно осложняет заживление.

Когда рассосется средство

При сложном удалении зубов мудрости в лунке остается несколько углублений от корней, куда врач помещает тампоны из гемостатической губки. Во избежание инфицирования и появления осложнений средство нельзя убирать самим, оно остается до полного рассасывания или вытесняется естественным путем по мере заживления раны. Максимальное время, за которое губка может раствориться — 6 недель.

Что делать, если поставили тампон, а он выпал

Если губка выпала самостоятельно, лучше прийти на осмотр к врачу, специалист оценит состояние лунки и даст индивидуальную рекомендацию.

Особенно важно обратиться к стоматологу, если это произошло почти сразу после окончания операции по удалению зуба, так как ткани еще не зажили, и сохраняется высокая вероятность заражения болезнетворными микроорганизмами при попадании на пораженные участки остатков пищи и слюны. Врач обработает рану антисептическими средствами и поставит новую губку.

Кровотечение

Удаление зуба, как всякая другая операция, сопровождается кровотечением. Через несколько минут кровь в лунке свертывается, кровотечение прекращается. Однако в некоторых случаях оно самостоятельно не останавливается, продолжается длительное время (первичное кровотечение). Иногда кровотечение прекращается в обычные сроки, но спустя некоторое время появляется вновь (вторичное кровотечение). Продолжительные кровотечения чаще всего обусловлены местными причинами, реже — общими.

Местные причины. В большинстве случаев первичное кровотечение возникает из сосудов мягких тканей и кости вследствие травматично проведенной операции с разрывом или размозжением десны и слизистой оболочки полости рта, отломом части альвеолы, межкорневой или межальвеолярной перегородки. Кровотечение из глубины лунки обычно связано с повреждением сравнительно крупной зубной веточки нижней альвеолярной артерии.

Предлагаем ознакомиться Что делать, если опустилась десна?

Обильным кровотечением может сопровождаться удаление зуба при развившемся в окружающих тканях остром воспалительном процессе, так как сосуды в них расширены и не спадаются. У некоторых больных после удаления зуба под влиянием действия адреналина, применяемого вместе с анестетиком при обезболивании, наступает раннее вторичное кровотечение.

Вначале адреналин вызывает сокращение стенок артериол в ране, но через 1—2 ч наступает вторая фаза его действия — расширение сосудов, вследствие чего и может возникнуть кровотечение. Позднее вторичное кровотечение из лунки происходит через несколько дней после удаления зуба. Оно обусловлено развитием воспалительного процесса в ране и гнойным расплавлением организующихся тромбов в сосудах, поврежденных во время операции.

Общие причины. Длительные кровотечения после удаления зуба бывают при заболеваниях, характеризующихся нарушением процесса свертывания крови или повреждениями сосудистой системы. К ним относятся геморрагические диатезы: гемофилии, тромбоцитопеническая пурпура (болезнь Верльгофа), геморрагический васкулит, геморрагический ангиоматоз (болезнь Рен-дю—Ослера), ангиогемофилия (болезнь Виллебранда)

Процесс свертывания крови нарушается у больных, получающих антикоагулянты непрямого действия, подавляющие функцию образования протромбина печенью (неодикумарин, фенилин, синкумар), а также при передозировке антикоагулянта прямого действия — гепарина. Склонность к кровотечению наблюдают у больных, страдающих гипертонической болезнью.

В результате длительного кровотечения, вызванного местными или общими причинами, и связанной с этим кровопотерей общее состояние больного ухудшается, появляются слабость, головокружение, бледность кожных покровов, акроцианоз. Пульс учащается, может снизиться артериальное давление. Лунка удаленного зуба, альвеолярный отросток и соседние зубы покрыты кровяным сгустком, из-под которого вытекает кровь.

Местные способы остановки кровотечения. Пинцетом и хирургической ложкой удаляют кровяной сгусток, марлевыми тампонами высушивают лунку и окружающие участки альвеолярного отростка. Осмотрев рану, определяют причину кровотечения, его характер и локализацию.

Кровотечение из поврежденной слизистой оболочки чаще всего бывает артериальным, кровь вытекает пульсирующей струей. Такое кровотечение останавливают наложением швов на рану и сближением ее краев, перевязкой сосуда или прошиванием тканей. При наложении швов на разорванную десну иногда приходится произвести мобилизацию краев раны, отслоить от кости слизистую оболочку вместе с надкостницей. Кровотечение из мелких сосудов можно остановить электрокоагуляцией кровоточащего участка тканей.

Кровотечение из стенок лунки, межкорневой или межальвеолярной перегородки останавливают, сдавливая кровоточащий участок кости штыковидными или крампонными щипцами. Для введения щечек щипцов в лунку удаленного зуба в некоторых случаях десну нужно отслоить.

Для остановки кровотечения из глубины лунки производят ее тампонаду различными средствами. Простым и наиболее доступным методом является тугая тампонада йодоформной турундой. После удаления сгустка крови лунку орошают раствором перекиси водорода и высушивают марлевыми тампонами. Затем берут йодоформную турунду шириной 0,5—0,75 см и начинают тампонировать лунку с ее дна.

Для сближения краев раны и удерживания турунды в лунке поверх нее, отступя от края десны на 0,5—0,75 см, накладывают швы. Сверху на лунку помещают сложенную марлевую салфетку или несколько тампонов и просят больного сжать зубы. Через 20—30 мин марлевую салфетку или тампоны убирают и при отсутствии кровотечения отпускают больного.

Помимо йодоформной турунды, лунку можно тампонировать биологическим тампоном, кровоостанавливающей марлей «Оксицелодекс», а также марлей, пропитанной раствором тромбина, гемофобина, эпсилон-аминокапроновой кислоты или препаратом капрофер. Хороший гемостатический эффект дает введение в лунку рассасывающихся биологических гемостатических препаратов, приготовленных из крови человека (гемостатическая губка, фибринная пленка), крови и ткани животных (гемостатическая коллагеновая губка, желатиновая губка «Кровостан», губка анти-септическая с гентамицином или канамицином, гемостатическая губка с амбеном).

При позднем вторичном кровотечении удаляют распавшийся кровяной сгусток из лунки, орошают ее антисептическим раствором, высушивают и заполняют каким-нибудь гемостатическим препаратом. В этих случаях предпочтительно использовать антисептическую губку с канамицином или гентамицином, обладающую гемостатическими и противомикробными свойствами.

Предлагаем ознакомиться Тус Мусс — гель для зубов

Общие способы остановки кровотечения. Одновременно с остановкой кровотечения местными способами применяют средства, повышающие свертывание крови. Их назначают после определения состояния свертывающей и противосвергы-вающей систем крови (развернутая коагулограм-ма). В экстренных случаях, до получения коагу-лограммы, внутривенно вводят 10 мл 10 % раствора кальция хлорида или 10 мл 10 % раствора глю-конага кальция, или 10 мл 1 % раствора амбена.

Одновременно с этими препаратами вводят внутривенно 2—4 мл 5 % раствора аскорбиновой кислоты. В дальнейшем общую гемостатическую терапию проводят целенаправленно, исходя из показателей коагулограммы. При кровотечении, связанном с низким содержанием протромбина в результате нарушения его синтеза печенью (гепатит, цирроз), назначают аналог витамина К — викасол.

Внутримышечно вводят 1 мл 1 % раствора этого препарата 1—2 раза в день, внутрь — по 0,015 г 2 раза в день. При повышенном уровне фибринолитической активности крови назначают эпсилон-аминокапроно-вую кислоту внутрь по 2—3 г 3—5 раз в день или внутривенно капельно по 100 мл 5 % раствора. При повышенной проницаемости сосудистой стенки и кровотечении, обусловленном с передозировкой антикоагулянтов, целесообразно назначать внутрь рутин (содержит витамин Р)

по 0,02— 0,05 г 2—3 раза в день. Быстрым кровоостанавливающим действием отличается дицинон. После внутривенного введения 2 мл 12,5 % раствора препарата гемостатиче-ский эффект наступает через 5—15 мин. В последующие 2—3 дня его вводят по 2 мл внутримышечно или дают внутрь по 0,5 г через 4—6 ч. Пациентам, страдающим гипертонической болезнью, одновременно с остановкой кровотечения местными средствами проводят гипотензивную терапию.

После снижения артериального давления кровотечение у них быстро прекращается. При обильном и длительном кровотечении, не прекращающемся, несмотря на проведенные общие и местные гемостатические лечебные мероприятия, показана срочная госпитализация. В стационаре тщательно осматривают послеоперационную рану и в зависимости от источника кровотечения проводят остановку его описанными ранее местными средствами.

Профилактика кровотечения. Перед удалением зуба необходимо выяснить, не было ли у больного длительных кровотечений после случайного повреждения тканей и произведенных ранее операций. При склонности к кровотечению перед хирургическим вмешательством делают общий анализ крови, определяют количество тромбоцитов, время свертывания крови и продолжительность кровотечения, составляют развернутую коагулограмму.

При отклонении показателей гемостаза от физиологической нормы проводят мероприятия, направленные на повышение функциональной активности свертывающей системы крови (введение раствора кальция хлорида, аминокапроновой и аскорбиновой кислоты, викасола, рутина и других препаратов), консультируют больного у гематолога или терапевта.

Больным с геморрагическими диатезами удаляют в условиях стационара. Подготовку их к операции осуществляют совместно с гематологом. Под контролем коагулограммы назначают средства, нормализующие показатели гемостаза. При гемофилии вливают антигемофильную плазму, криопреципитат или антигемофильный глобулин, свежецитратную кровь; при громбопении — тромбоцитарную взвесь, цельную кровь, витамины К и С. Изготавливают пластмассовую защитную пластинку.

Удаление зуба у таких больных стремятся выполнить с наименьшей травмой кости и окружающих мягких тканей. После удаления зуба лунку тампонируют гемостатической губкой, антисептической гемостатической губкой или сухой плазмой, накладывают защитную пластинку. Прошивать края десны для удержания в лунке гемостатических препаратов не рекомендуется, так как проколы слизистой оболочки являются дополнительным источником кровотечения.

В послеоперационном периоде продолжают общую терапию, направленную на повышение свертываемости крови (трансфузии крови, антигемо-фильной плазмы, криопреципитата, аминокапроновой и аскорбиновой кислот, назначение кальция хлорида, гемофобина, рутина, викасола). Гемостатические препараты в лунке оставляют до полного ее заживления.

Таким больным не следует удалять одновременно несколько зубов. Неотложную хирургическую стоматологическую помощь больным с геморрагическими диатезами оказывают только в условиях стационара. Предоперационная подготовка предусматривает полный объем общих гемостатических мероприятий. После операции кровотечение останавливают общими и местными средствами.

Для чего необходима губка

Все дело в том, что для «здорового» заживления послеоперационная лунка должна «закрыться» кровяным сгустком (тромбом). Если этого не произошло, рана будет заживать значительно медленнее, а вероятность появления осложнений возрастает в несколько раз. Таким образом, сформировавшийся кровяной сгусток – своего рода биологическая повязка, не позволяющая слюне с содержащимися патогенными микроорганизмами «атаковать» пустую лунку.

Но бывают случаи, когда после операции тромб не образуется (рассасывается), а из раны начинает течь кровь. Чаще всего такое аномальное явление связано с повреждением костной ткани во время операции. Но наряду с этим, существуют и другие причины:

  • нарушения свертываемости крови;
  • активные воспалительные процессы в послеоперационной ране (на деснах);
  • травмы крупных сосудов;
  • повреждение самого кровяного сгустка, перекрывающего лунку;
  • прием определенных лекарственных препаратов;
  • несоблюдение рекомендаций стоматолога по уходу за ротовой полостью в целом и раной в частности после экстракции.

Именно для устранения послеоперационного кровотечения из лунки и применяют гемостатическую губку (далее – ГГ).

Гемостатическая губка после удаления зуба

Удаление (экстракция) зубной единицы – полноценное оперативное вмешательство, которое может сопровождаться рядом осложнений.

Чтобы свести риск появления таковых к минимуму, в стоматологии применяется гемостатическая губка после удаления зуба.

Это кровоостанавливающее приспособление, которое позволяет защитить травмированные мягкие ткани от повреждений и предотвратить их вторичное инфицирование.

Для чего необходима губка

Все дело в том, что для «здорового» заживления послеоперационная лунка должна «закрыться» кровяным сгустком (тромбом).

Если этого не произошло, рана будет заживать значительно медленнее, а вероятность появления осложнений возрастает в несколько раз.

Таким образом, сформировавшийся кровяной сгусток – своего рода биологическая повязка, не позволяющая слюне с содержащимися патогенными микроорганизмами «атаковать» пустую лунку.

Но бывают случаи, когда после операции тромб не образуется (рассасывается), а из раны начинает течь кровь. Чаще всего такое аномальное явление связано с повреждением костной ткани во время операции. Но наряду с этим, существуют и другие причины:

  • нарушения свертываемости крови;
  • активные воспалительные процессы в послеоперационной ране (на деснах);
  • травмы крупных сосудов;
  • повреждение самого кровяного сгустка, перекрывающего лунку;
  • прием определенных лекарственных препаратов;
  • несоблюдение рекомендаций стоматолога по уходу за ротовой полостью в целом и раной в частности после экстракции.

В аптеках представлен широкий ассортимент ГГ, в составе которых присутствуют лекарственные препараты

Именно для устранения послеоперационного кровотечения из лунки и применяют гемостатическую губку (далее – ГГ).

ГГ представляет собой мягкую эластичную пористую пластину, обладающую слабым запахом уксусной кислоты. После того как гемостатическую губку вставили в лунку, она впитывает в себя жидкость, набухает, увеличивается в размерах. Как правило, ГГ выпускаются в 2 стандартных размерах – 50 Х 50 мм, 100 Х 100 мм.

Поскольку данное средство имеет характерную пористую структуру, оно может всасывать жидкость объемом в 30–40 раз больше, чем его собственный. При этом коллагеновая губка не позволяет сформировавшемуся защитному сгустку крови рассасываться (благодаря присутствующему в ее составе амбену).

Виды ГГ

Губки бывают двух основных разновидностей – те, что изготавливаются из донорской крови и сделанные из крови, сухожилий, крови, костей крупного рогатого скота. В составе крови присутствуют следующие активные компоненты, как тромбин, тромбокиназа, соли. Именно благодаря этим веществам обеспечиваются целебные свойства ГГ.

Антибиотики при удалении зуба

Исходя из дополнительных составляющих губки подразделяются:

  • на коллагеновые (в их основе – кости и сухожилия КРС);
  • желатиновые (содержат только кости скота);
  • амбеновые (с элементами плазмы крови человека, продаются только по рецепту врача).

В составе ГГ могут присутствовать Фурацилин, Нитрофурал, борная кислота и другие лечебные компоненты. В зависимости от состава ГГ в аптеках можно найти изделия в разных упаковках и с различными названиями. Как правило, это герметичные блистеры с одной пластиной. Амбеновые тампоны фасуются в темные стеклянные пузырьки.

Правила применения

ГГ используют местно для тампонирования раны. Так, для начала необходимо отрезать требуемое количество средства и поместить его в пустую лунку. В течение 5–7 минут губка наполняется кровью, увеличивается в размерах, полностью закрывает рану.

Если одного слоя ГГ не хватило, чтобы остановить кровотечение, сверху можно поставить еще одно средство. «Нижняя» губка остается в лунке до конца, а вот верхние можно менять до тех пор, пока кровотечение из раны не будет окончательно остановлено.

Когда кровь остановилась, ГГ фиксируют с помощью шва и для усиления клинического эффекта обрабатывают раствором тромбина. Примечательно, что помимо стоматологии, гемостатические губки широко используются и в других медицинских сферах для остановки местного кровотечения. Саморассасывающаяся ГГ с лекарством применяется и в профилактических целях.

Помещать ГГ в глубокие слои послеоперационной раны может только врач-стоматолог

Примечательно, что губки не реагируют на холодную воду, а вот под воздействием высоких температур могут рассасываться (попросту растворяться). В связи с этим, после того как после экстракции зуба мудрости или другой единицы пациенту положили ГГ в лунку, на несколько дней ему придется отказаться от горячей пищи (напитков).

Рассасывающаяся ГГ не применяется при обильных кровотечениях, возникших в результате повреждения крупных сосудов.

Противопоказанием к использованию губки является индивидуальная непереносимость пациентом отдельных компонентов средства (например, Фурацилина).

При самостоятельном применении не разрешается закладывать (убирать) ГГ во внутренние слои лунки, допустимо лишь поверхностное аппликационное нанесение. Когда гемостатический эффект достигнут, губку осторожно извлекают из послеоперационной раны.

Источник: https://pcvoice.ru/raznoe/gemostaticheskaya-gubka-posle-udaleniya-zuba

Форма выпуска

ГГ представляет собой мягкую эластичную пористую пластину, обладающую слабым запахом уксусной кислоты. После того как гемостатическую губку вставили в лунку, она впитывает в себя жидкость, набухает, увеличивается в размерах. Как правило, ГГ выпускаются в 2 стандартных размерах – 50 Х 50 мм, 100 Х 100 мм.

Поскольку данное средство имеет характерную пористую структуру, оно может всасывать жидкость объемом в 30–40 раз больше, чем его собственный. При этом коллагеновая губка не позволяет сформировавшемуся защитному сгустку крови рассасываться (благодаря присутствующему в ее составе амбену).

Виды ГГ

Губки бывают двух основных разновидностей – те, что изготавливаются из донорской крови и сделанные из крови, сухожилий, крови, костей крупного рогатого скота. В составе крови присутствуют следующие активные компоненты, как тромбин, тромбокиназа, соли. Именно благодаря этим веществам обеспечиваются целебные свойства ГГ.

Исходя из дополнительных составляющих губки подразделяются:

  • на коллагеновые (в их основе – кости и сухожилия КРС);
  • желатиновые (содержат только кости скота);
  • амбеновые (с элементами плазмы крови человека, продаются только по рецепту врача).

В составе ГГ могут присутствовать Фурацилин, Нитрофурал, борная кислота и другие лечебные компоненты. В зависимости от состава ГГ в аптеках можно найти изделия в разных упаковках и с различными названиями. Как правило, это герметичные блистеры с одной пластиной. Амбеновые тампоны фасуются в темные стеклянные пузырьки.

Правила применения

ГГ используют местно для тампонирования раны. Так, для начала необходимо отрезать требуемое количество средства и поместить его в пустую лунку. В течение 5–7 минут губка наполняется кровью, увеличивается в размерах, полностью закрывает рану. Если одного слоя ГГ не хватило, чтобы остановить кровотечение, сверху можно поставить еще одно средство. «Нижняя» губка остается в лунке до конца, а вот верхние можно менять до тех пор, пока кровотечение из раны не будет окончательно остановлено.

Когда кровь остановилась, ГГ фиксируют с помощью шва и для усиления клинического эффекта обрабатывают раствором тромбина. Примечательно, что помимо стоматологии, гемостатические губки широко используются и в других медицинских сферах для остановки местного кровотечения. Саморассасывающаяся ГГ с лекарством применяется и в профилактических целях.

Меры предосторожности

Рассасывающаяся ГГ не применяется при обильных кровотечениях, возникших в результате повреждения крупных сосудов. Противопоказанием к использованию губки является индивидуальная непереносимость пациентом отдельных компонентов средства (например, Фурацилина). При самостоятельном применении не разрешается закладывать (убирать) ГГ во внутренние слои лунки, допустимо лишь поверхностное аппликационное нанесение. Когда гемостатический эффект достигнут, губку осторожно извлекают из послеоперационной раны.

Источник: pcvoice.ru

Что такое гемостатическая губка?

Гемостатическая губка представляет собой эффективное кровоостанавливающее средство, которое широко используется в различных направлениях медицины, в частности, в стоматологии после экстракции зуба. Она обладает сорбирующими и антисептическими свойствами, одновременно останавливая кровь и защищая ранку от попадания в нее болезнетворных бактерий. Кроме того, средство способствует скорейшему заживлению поврежденных тканей лунки.

Разновидности

После удаления зуба средство применяется не только для остановки крови, но и для предотвращения развития возможных воспалительных осложнений в случае сложного хирургического вмешательства, такого как экстракция зуба мудрости (см. также: сколько обычно дней заживает десна после удаления зуба?). При рядовой процедуре удаления единицы зубного ряда для купирования кровотечения используют коллагеновую кровоостанавливающую губку.

После операции, когда возможно развитие воспалительного процесса в лунке, врачи рекомендуют применение специального альвеолярного компресса «Альвостаз», который также имеет форму спонжа. Он обладает гемостатическими и антисептическими свойствами и используется для профилактики и лечения альвеолитов.

Форма выпуска

Гемостатическая губка представляет собой прессованный порошок темно-желтого оттенка, обладающий слабовыраженным запахом уксусной кислоты. Спонжи выпускаются в виде квадратных пластин размером 50х50 мм или 90х90 мм и имеют сухую пористую эластичную структуру. На производстве их помещают в плотно закрывающиеся полиэтиленовые пакеты, а затем фасуют в картонные упаковки поштучно.

Губки хорошо впитывают жидкость, при этом немного набухая. Они не растворяются в холодной воде и веществах органической природы, однако подвержены частичному растворению в воде, имеющей температуру выше 75 градусов. Изготавливаются прессованные пластинки из коллагенового раствора, получаемого из кожи и сухожилий крупного рогатого скота. В качестве дополнительных компонентов используются такие вещества, как нитрофурал и борная кислота.

Одним из самых эффективных является средство «Альвостаз», которое фасуется в пластмассовые баночки по 30 пропитанных лечебным раствором гемостатических губок размером 1х1 см. Выпускается оно в 3 вариантах и содержит эвгенол, йодоформ, тимол, лидокаин, трикальций фосфат и прополис.

Как она действует?

Гемостатическое средство применяется местно для тампонирования раны и обладает широким спектром действий, среди которых:

  • остановка крови;
  • предохранение ранки от развития бактериального заражения;
  • купирование очагов воспалений;
  • избавление от болезненных ощущений;
  • предотвращение отечности десневых тканей;
  • ускорение заживления лунки.

Действие средства продолжается на протяжении нескольких часов после удаления зуба. По прошествии определенного времени происходит полное рассасывание коллагеновой губки, помещенной на ранку в десне.

Гемостатическая губка после удаления зуба: инструкция по применению этого материала в стоматологии

Процедура удаления зуба всегда сопряжена с кровотечением. Обычно через некоторое время оно останавливается самостоятельно. Однако в ряде случаев кровь может идти долго, и возникает необходимость в ее принудительной остановке.

Существует много способов купирования кровотечения, к примеру, хорошим кровоостанавливающим эффектом обладает гемостатическая губка. При использовании этого средства необходимо учитывать существующие показания и противопоказания.

Что такое гемостатическая губка?

Гемостатическая губка представляет собой эффективное кровоостанавливающее средство, которое широко используется в различных направлениях медицины, в частности, в стоматологии после экстракции зуба.

Она обладает сорбирующими и антисептическими свойствами, одновременно останавливая кровь и защищая ранку от попадания в нее болезнетворных бактерий.

Кроме того, средство способствует скорейшему заживлению поврежденных тканей лунки.

Разновидности

После удаления зуба средство применяется не только для остановки крови, но и для предотвращения развития возможных воспалительных осложнений в случае сложного хирургического вмешательства, такого как экстракция зуба мудрости (см. также: сколько обычно дней заживает десна после удаления зуба?). При рядовой процедуре удаления единицы зубного ряда для купирования кровотечения используют коллагеновую кровоостанавливающую губку.

После операции, когда возможно развитие воспалительного процесса в лунке, врачи рекомендуют применение специального альвеолярного компресса «Альвостаз», который также имеет форму спонжа. Он обладает гемостатическими и антисептическими свойствами и используется для профилактики и лечения альвеолитов.

ЧИТАЕМ ТАКЖЕ: какой должна быть лунка после удаления зуба и уход за ней

Форма выпуска

Гемостатическая губка представляет собой прессованный порошок темно-желтого оттенка, обладающий слабовыраженным запахом уксусной кислоты. Спонжи выпускаются в виде квадратных пластин размером 50х50 мм или 90х90 мм и имеют сухую пористую эластичную структуру. На производстве их помещают в плотно закрывающиеся полиэтиленовые пакеты, а затем фасуют в картонные упаковки поштучно.

Губки хорошо впитывают жидкость, при этом немного набухая. Они не растворяются в холодной воде и веществах органической природы, однако подвержены частичному растворению в воде, имеющей температуру выше 75 градусов.

Изготавливаются прессованные пластинки из коллагенового раствора, получаемого из кожи и сухожилий крупного рогатого скота. В качестве дополнительных компонентов используются такие вещества, как нитрофурал и борная кислота.

Одним из самых эффективных является средство «Альвостаз», которое фасуется в пластмассовые баночки по 30 пропитанных лечебным раствором гемостатических губок размером 1х1 см. Выпускается оно в 3 вариантах и содержит эвгенол, йодоформ, тимол, лидокаин, трикальций фосфат и прополис.

Как она действует?

Гемостатическое средство применяется местно для тампонирования раны и обладает широким спектром действий, среди которых:

  • остановка крови;
  • предохранение ранки от развития бактериального заражения;
  • купирование очагов воспалений;
  • избавление от болезненных ощущений;
  • предотвращение отечности десневых тканей;
  • ускорение заживления лунки.

Действие средства продолжается на протяжении нескольких часов после удаления зуба. По прошествии определенного времени происходит полное рассасывание коллагеновой губки, помещенной на ранку в десне.

Как заживает лунка после удаления зуба?

После наложения коллагенового спонжика на лунку удаленного зуба через несколько минут происходит остановка крови. Средство оставляют в ранке до тех пор, пока оно не рассосется самостоятельно, в среднем этот процесс занимает 2-3 недели. За это время рана начинает затягиваться.

Инструкция по применению губки в стоматологии

Каждая упаковка средства содержит подробную инструкцию по его применению, которой необходимо строго придерживаться во избежание осложнений. Использование гемостатической губки имеет свои нюансы и особенности. Назначать такие средства должен врач, учитывая противопоказания и возможные побочные действия.

Побочные эффекты

Применение после удаления зуба кровоостанавливающей губки, как и любого другого медикаментозного средства, может быть сопряжено с развитием аллергической реакции.

Чтобы этого избежать, врач перед назначением препарата опрашивает пациента об имеющихся у него случаях индивидуальной непереносимости каких-либо лекарственных компонентов.

При использовании кровоостанавливающего спонжа также имеется вероятность повторного инфицирования ранки в десне.

Имеющиеся противопоказания

Средство может вызвать аллергию, поэтому использование гемостатической губки запрещено в случае индивидуальной непереносимости ее компонентов. Также нельзя ее применять при артериальных кровотечениях из крупных сосудов. С большой осторожностью такое средство назначается для остановки крови у детей.

Инструкция по применению губки в стоматологии

Каждая упаковка средства содержит подробную инструкцию по его применению, которой необходимо строго придерживаться во избежание осложнений. Использование гемостатической губки имеет свои нюансы и особенности. Назначать такие средства должен врач, учитывая противопоказания и возможные побочные действия.

Побочные эффекты

Применение после удаления зуба кровоостанавливающей губки, как и любого другого медикаментозного средства, может быть сопряжено с развитием аллергической реакции. Чтобы этого избежать, врач перед назначением препарата опрашивает пациента об имеющихся у него случаях индивидуальной непереносимости каких-либо лекарственных компонентов. При использовании кровоостанавливающего спонжа также имеется вероятность повторного инфицирования ранки в десне.

Имеющиеся противопоказания

Средство может вызвать аллергию, поэтому использование гемостатической губки запрещено в случае индивидуальной непереносимости ее компонентов. Также нельзя ее применять при артериальных кровотечениях из крупных сосудов. С большой осторожностью такое средство назначается для остановки крови у детей.

Порядок применения

После извлечения губки из пакетика она накладывается на лунку удаленного зуба. Через 3-5 минут кровотечение прекращается, спонж пропитывается кровью и плотно прилегает к краям ранки. Если кровяные выделения продолжаются, рекомендуется наложить поверх первой губки еще одну. После полной остановки кровотечения спонжик необходимо зафиксировать при помощи П-образного шва. Для усиления лечебного действия показано смачивание губки раствором тромбина.

Применение альвеолярных компрессов «Альвостаз» имеет свои особенности. Перед их использованием рана очищается при помощи теплого физраствора, после чего врач отсасывает его пипеткой. Содержимое флакона с «Альвостазом» накладывается на ранку в десне, после чего придавливается кусочком стерильной марли в течение нескольких минут. При необходимости марлевый тампон оставляют в лунке, но не дольше, чем на сутки.

Врач в обязательном порядке предупреждает пациента о том, что марлю убирать не следует — через некоторое время произойдет ее самостоятельное отторжение. При сильном повреждении тканей может возникнуть необходимость в неоднократной замене тампона.

Источник: AzbukaZubov.com

Когда требуется помощь врача?

Вы должны обратиться к врачу, если:

  • появилось обильное кровотечение;
  • появились острые боли;
  • не получается остановить кровотечение дольше 1 часа;
  • в крови наблюдаются примеси гноя;
  • вы чувствуете слабость, головокружение, головные боли;
  • повысилась температура тела;
  • при касании десны возникают боли;
  • участок челюсти опух.

Опухоль после удаления зуба

На заметку! Помимо гемостатической губки, кровотечение можно остановить и другими методами. Ознакомимся с ними более детально.

Таблица. Альтернативные способы остановки кровотечения.

Наименование, фотоКраткое описание

ТампонадаНаиболее популярный метод, который применяется не только после удаления зуба, но и чтобы остановить кровь из ушей, носа. Следует наложить стерильный тампон (бинтовой или марлевый) на требуемый участок, сжать края лунки и прикусить, сильно не надавливая. Благодаря этому сосуды, подвергнутые механическому нажатию, слипаются, а кровотечение прекращается. Тампон необходимо удерживать примерно 15-20 минут.
Перекись водородаНужно смочить стерильный тампон в 3% перекиси водорода, после чего наложить на ранку минут на 20. Перекись способствует свертываемости крови.
Холодный компрессХолод может замедлить или даже остановить кровотечение. Приложите что-то холодное к месту, где проводилась операция (можно использовать не только лед, но и замороженные продукты либо какие-то подручные предметы). Во избежание повреждения кожного покрова холод рекомендуется заворачивать в мягкую ткань. Компресс можно прикладывать максимум на 5 минут. Спустя еще 5 минут можно повторить процедуру.
Рейтинг
( 2 оценки, среднее 4.5 из 5 )
Понравилась статья? Поделиться с друзьями:
Для любых предложений по сайту: sto247@cp9.ru