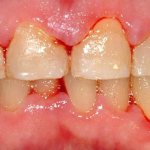
У ребенка кончики коренных зубов прозрачные

Внешнюю оболочку зуба защищает самая твердая в человеческом организме ткань — эмаль. В ее составе 97 % неорганических веществ и лишь 3 % воды. Максимальная толщина эмали составляет 2 мм на коронковых частях зуба. В состав ее твердой части входят кристаллы гидроксиапатита, магния, фтора, углерода и некоторые другие элементы. Именно эмаль принимает на себя наибольшую нагрузку, когда человек пережевывает пищу. В том случае, если зубы становятся прозрачными, их прочность существенно снижается.

Изменение зубной структуры

Подавляющее большинство заболеваний зубов начинаются с повреждения эмали. Этот процесс происходит постепенно. В том случае, если обратить на него внимание на начальной стадии, разрушение зубов можно будет предупредить.

Различные структурные изменения могут происходить с эмалью по разным причинам. На начальном этапе кажется, что ничего страшного не происходит. Зубы стали прозрачными на концах, но дискомфорта это все еще не вызывает. Многие люди воспринимают это как косметический дефект и не спешат на консультацию к стоматологу.

Основные методы лечения

Проблема любой сложности, которая связана с зубами, должна решаться исключительно в стоматологическом кабинете, или после квалифицированной консультации дантиста. В данном случае, проблема с прозрачностью эмали не является исключением. Благодаря своевременному обращению за квалифицированной помощью к специалисту, можно избежать целого ряда осложнений, а также необходимости удаления зубов, которые с легкостью можно было «спасти».

Паста с минералами для восстановления эмали

В большинстве случаев, для решения подобных проблем назначаются процедуры фторирования, реминерализации, имплантации эмали.

Фторирование – это покрытие поверхности зуба лаком или фосфорсодержащим раствором. Благодаря этому зубы надежно защищаются от агрессивного влияния со стороны кислой среды, и становятся менее чувствительными. Такая процедура позволяет значительно снизить вероятность скопления на поверхности различных болезнетворных бактерий.

Каппы для лечения прозрачности

Основным преимуществом процедуры является абсолютная безболезненность, благодаря которой её проведение часто назначается детям. В зависимости от развития проблемы, процедура фторирования может быть простой и глубокой.

Простое фторирование

Оно предполагает использование специальной ложки, которая наполняется препаратом, который содержит фтор. При помощи инструмента смесь накладывается на поверхность зуба длительностью до двадцати минут с последующим её удалением. Следует учесть, что согласно рекомендациям, частота проведения такой процедуры не должна превышать пятнадцати раз.

Фторирование эмали

Процедура глубокого фторирования

Этот процесс является более эффективным и действенным методом, который подает фтор и кальций на поверхность зубов, делая их прочнее и крепче. Однако, данный способ требует особого подхода, и состоит из целого ряда обязательных этапов и процедур. Первый этап предварительной подготовки заключается в тщательном очищении зубов, а также промежутков между зубами. В дальнейшем поверхность зуба высушивается при помощи теплых воздушных потоков, с последующим нанесением на сухие поверхности специальной эмали. Финальным этапом является обработка поверхностей зубов при помощи ватного тампона, который смочен в молочке, содержащем высокую концентрацию гидроокиси меди и кальция.

Проведение подобного рода манипуляций является гарантией надежной и длительной защиты зубов от целого ряда заболеваний полости рта. Зубы после такого фторирования становятся прочнее, поскольку процессы вымывания из эмали кальция полностью прекращаются или существенно замедляются. Процедура не может повторяться чаще, чем раз в год.

Процедура фторирования также может быть проведена в домашних условиях с применением специальных средств, одним из которых является фторолак, который насыщает эмаль зуба необходимым количеством фтора. Для проведения такой манипуляции достаточно нанести лак на поверхности зубов, после чего открыть рот на десять минут для того, чтобы он высох. Простота и доступность способа не должна вводить в заблуждение, поскольку предварительная консультация с дантистом является обязательной.

Фторлак для фторирования

Реминерализация, как альтернатива

Если зубы стали терять прочность и становятся прозрачными, можно провести процедуру реминерализации, которая пользуется популярностью у стоматологических клиник и их клиентов по всему миру. Процедура во многом схожа с фторированием, однако лак, который наносится на поверхность зуба, содержит в себе эффективный витаминный комплекс, а также большое количество минералов. Благодаря проведению такой процедуры, можно повысить сопротивляемость поверхности зуба к кариесу, а также увеличить показатели прочности зубов.

На сегодняшний день существует два способа проведения реминерализации, первый из которых предполагает нанесений концентрированного состава на эмаль, а второй использование специальных капп, которые предварительно заполнены специальным раствором. Для пациента более удобным является первый способ, однако возможность снимать и одевать капу при необходимости на место делают второй более эффективным.

Реминерализация эмали комплексными препаратами

Для проведения реминерализации используются:

  • специальная зубная паста;
  • защитные лаки;
  • диски, содержащие фтор;
  • рокс гели;
  • а также специализированные порошки.

Рокс гели содержат большое количество необходимых зубам микроэлементов, магния, кальция, а также фосфора. Процедура реминерализации является абсолютно безвредной, поэтому может быть назначена даже во время беременности.

Причины прозрачности

Первая стадия осветления эмали наблюдается у большинства взрослых людей. Возможно, поэтому многие дантисты не считают серьезной патологией ситуацию, когда зубы становятся прозрачными. Причины, которые это вызывают, могут быть следующими:

  1. Генетическая предрасположенность.
  2. Нерегулярная гигиена полости рта.
  3. Стоматологические болезни. Например: кариес или периодонтит.
  4. Злоупотребление сладкой или кислой пищей.
  5. Прием антибиотиков, особенно тетрациклинового ряда.
  6. Обилие мягкого налета.
  7. Курение.
  8. Травмы зубов.
  9. Недостаток минералов.
  10. Излишняя гигиена. Частое использование абразивных, отбеливающих паст. Слишком жесткая щетка. Злоупотребление отбеливающими процедурами.
  11. Изжога или гастрит.
  12. Сухость во рту.
  13. Неблагоприятная экологическая обстановка.

В детском возрасте также возникают ситуации, когда зубы становятся прозрачными. Стоматологи объясняют это гипоплазией или слабым развитием тканей. Проблема может возникать по причине того, что во время беременности организм будущей матери испытывал нехватку различных минералов и витаминов. Особенно фосфора и кальция.

Иногда проблема усугубляется, и зубы становятся прозрачными с белыми пятнами. Это признак патологии, которая может иметь кариозную природу возникновения. Участок эмали светлеет, теряет блеск и становится матовым. Многие уверены в том, что признак кариеса — это темные пятна. Но это не всегда верно. Сначала на светлых зубах возникают белые меловые пятна, и лишь потом они начинают темнеть.

В том случае, если длительное время принимать антибиотики тетрациклинового ряда, зубы становятся прозрачными с темными полосами или пятнами. Такая же ситуация может наблюдаться после приема препаратов железа. У детей эти пятна могут исчезнуть через несколько месяцев самостоятельно. А взрослым придется заняться лечением у стоматолога.

Причины истончения эмали

Причиной истончения защитного слоя является недостаток кальция.

Что является показателем истончения эмали:

  • зубы превращаются в непрочные и будут крошиться,
  • очень быстро повреждаются от любой твердой пищи,
  • происходит появление маленьких трещин,
  • частые расколы на большое количество частей.

Зубы, имеющие истончившуюся эмаль , становятся чувствительнее к горячему или холодному, чрезмерно кислой и сладкой пище или напиткам.

Самыми распространенными причинами истончения могут быть:

  • болезни полости рта, а это кариес, пародонтит и другие,
  • наследственность,
  • гигиена полости рта. Слишком частая чистка, использование жестких щеток, частое отбеливание или, наоборот, отсутствие гигиены.

Сильно вредит здоровью неправильное питание, когда употребляется очень мало пищи, которая содержит фтор и кальций, столь необходимые для роста и правильного образования защитного слоя. А также присутствие в больших количествах кисло-сладких продуктов питания. Усиленное потребление газированных напитков, таких как Coca-Cola, Sprite, различные лимонады, также фруктов семейства цитрусовых – апельсины, мандарины, лимоны – что тоже может привести к раннему истончению защитной пленки.

Лекарственные препараты также могут отрицательно воздействовать на защитный слой, так как они содержат очень большое количество кислот. Пациенты, которые имеют заболевания желудка, кишечника , тоже являются людьми, которые попадают в группу предрасположенных к болезням с прозрачностью зубов.

Эмаль становится прозрачной, когда наблюдается один или несколько из нижеперечисленных факторов:

  • Плохие жилищные условия,
  • Сильное осушение ротовой полости, а также, когда возникают проблемы с выделением слюны,
  • Образование налета, из-за чего поступление кислорода к эмали – затруднена,
  • Когда человек употребляет пищу – бедную на витамины и минералы,
  • Когда пациент слишком много курит и употребляет большое количество спиртных напитков – это тоже может служить благоприятной средой для развития такого недуга,
  • Травмирование, либо стачивание.

В чем опасность явления

Полностью зубы становятся прозрачными довольно редко. Процесс начинается всегда с режущей части. Там дентин отсутствует полностью, а эмаль тоньше. Поэтому иногда режущая часть зуба выглядит как стеклянная.

Стоматологи говорят о том, что чаще всего от прозрачности эмали страдают люди среднего возраста. Зубы могут постепенно светлеть в течение 15 лет. В том случае, если не принять меры для прекращения процесса, может случиться следующее:

  1. Появится сильная боль во время употребления холодной или горячей пищи.
  2. Износ эмали будет ускоряться, и в конце концов она разрушится.
  3. Открытый дентин спровоцирует сильное потемнение зуба.

Процесс прозрачности необходимо обязательно останавливать. В противном случае твердая основа зуба будет разрушена. Патология приобретет хронический характер. Постепенно будут разрушаться здоровые зубы.

Прозрачная эмаль подвержена сколам. Она неспособна выдерживать сильное механическое воздействие. В том случае, если пациент не хочет потерять зубы, ему следует немедленно заняться их лечением.

Область поражения

Зуб весьма редко становится прозрачным насквозь. Если зубы прозрачные на концах или на режущей части, то это не является серьезной проблемой. У каждого человека в этом месте эмаль тоньше, а дентин полностью отсутствует. Поэтому создается впечатление, что режущая кромка зуба как будто стеклянная. Так же прочтите: Бюгельный протез: что такое, как выглядит
Гораздо больше проблем создает флюороз в части шейки и экватора. Несмотря на то, что в зоне шейки эмаль имеет тонкую основу, под ее слоем находится дентин.

Поэтому при утончении защитного покрытия зуб стекленеет и проявляется желто – коричневый цвет дентина. Это создает впечатление, что появился кариес, а эмаль покрылась налетом. За счет этого человек находится в не комфортном состоянии, так как старается контролировать улыбку.

Фторирование

Квалифицированный специалист без труда сможет помочь пациенту. После изучения конкретной ситуации и определения причин возникновения патологии доктор будет точно знать, что делать. Зубы становятся прозрачными не просто так. В том случае, если врач определит, что причина в недостатке фтора, он назначит процедуру по насыщению эмали этим микроэлементом.

В первую очередь, врач должен очистить поверхность зуба от налета или камня. Затем с помощью специального лака наносится фторсодержащий состав. Процедура рекомендуется не только для лечения, но также и для профилактики прозрачности эмали.

Существует и другой способ. Для этого необходимо изготовить слепки зубов. Затем их наполняют специальным фторсодержащим составом. Слепки накладывают на зубы почти так же, как виниры. Эффект от процедуры сохраняется до двух лет.

Как исправить проблему – что предлагает стоматология

Отвечая на вопросы о том, что делать, если зубы стали прозрачными, и как исправить дефект, нужно заметить, что современная стоматология обладает всеми необходимыми возможностями для решения проблемы на любой стадии ее развития. Тем не менее, чем раньше вы обратитесь к врачу, тем меньше средств, времени и нервов придется потратить, чтобы вернуть все как было. Ниже описаны основные методы, которые применяются для исправления подобных дефектов.

Процедура фторирования

Деминерализация является одной из основных причин истончения верхнего зубного слоя. Чтобы исправить ситуацию, ткани нужно насытить полезными веществам и микроэлементами. Для этого проводится процедура фторирования – эмаль покрывают специальными препаратами на основе фтора. Согласно отзывам пациентов и экспертов, такие составы укрепляют твердые ткани, восстанавливают их защитные функции, а также замедляют процесс вымывания кальция.


Укрепить зубы поможет процедура фторирования

«Я как-то хотела купить фторированный гель, думала укрепить зубы, потому что в то время заметила, что появилась чувствительность. Хорошо что в последний момент додумалась заглянуть к стоматологу, посоветоваться. Врач сразу сказал, что то средство, которое выбрала я, мне не подойдет. Назначил совершенно другой препарат, и перед этим еще процедуру удаления налета и камня. А так бы не то что никакого эффекта не было, могла и зубы испортить. Так что лучше ничего не делайте без консультации специалиста».

Лилия В., из переписки на форуме www.32top.ru

Курс реминерализации

Другой похожей процедурой является реминерализация. Основное их различие с фторированием заключается в использовании разных препаратов, но суть так же. В составе реминерализующих гелей содержится не только фтор, но и полезные минералы, витамины, кальций, фосфор и магний. Средство подбирает стоматолог, основываясь на особенностях каждой конкретной клинической картины.

Чаще всего врачи назначают реминерализацию курсами – 7-14 процедур. В рамках каждой из них специалист выполняет аппликации гелем, насыщенным полезными компонентами2. Другой вариант – самостоятельное проведение процедур с использованием специальных капп, но их применение обязательно должно быть согласовано с лечащим врачом.


Помочь в решении проблемы поможет процедура реминерализации

Имплантация эмали

Многие знакомы с таким понятием, как «имплантация зубов», но немногие знаю, что имплантировать можно в том числе эмаль. Процедура проводится при явных признаках деминерализации, при обнажении дентина и гиперчувствительности твердых тканей. На поверхность зубов наносят специализированные средства с синтетическим составом, например, InnoDent. Кстати, данный препарат из серии Junior применяется в детской стоматологии.


На поверхность зубов наносят специализированные средства с синтетическим составом

После нанесения состава происходит запуск процессов естественной регенерации живых тканей, то есть эмалевый слой и дентин восстанавливаются на молекулярном уровне. Курс длится в среднем месяц, и за это время зубы возвращаются к своему исходному состоянию.

Реставрация световыми композитами

При выраженном ухудшении внешнего вида улыбки и других серьезных проблемах, вызванных истончением, врач может предложить более радикальное решение. В таких случаях, например, проводится наращивание световыми композитами. С помощью этой процедуры можно полностью скрыть деминерализованные участки, а также микротрещины и сколы, скорректировать оттенок.


Световые композиты помогут решить проблему

Установка виниров или люминиров – микропротезирование

Другой возможный вариант решения проблемы – установка виниров или люминиров. Речь идет о тонких накладках, которые фиксируются на зубах с помощью специального адгезива. С их помощью можно скрыть многие внешние дефекты, в том числе сколы, трещины, следы некариозных поражений. Они также позволяют исправить размер и форму коронок, скрыть межзубные промежутки, сделать улыбку безукоризненно белоснежной.


При лечении могут использоваться виниры

Замена разрушенных зубов коронками

В запущенных случаях, когда эмаль слишком сильно стерлась и зубы буквально разрушаются, единственным выходом из ситуации становится протезирование искусственными коронками. Такие одиночные протезы могут быть выполнены из разных материалов: от цельного металла до металлокерамики, керамики и диоксида циркония. Изделия создают по слепкам в зуботехнической лаборатории. Готовый протез полностью соответствует по форме и оттенку живой коронке.


Решить вопрос также можно с помощью коронок

Реминерализация

Фторирование далеко не единственный способ восстановить эмаль, когда зубы становятся прозрачными. Как исправить ситуацию и можно ли сделать это быстро? Процедура реминерализации способна помочь за короткий срок только в том случае, если процесс не запущен. В противном случае потребуется более длительное лечение.

Для реминерализации зубов используются специальные составы. Они содержат высокие концентрации фтора и кальция. Кроме этого, добавляются специальные витамины и минералы.

Врач может наносить состав при помощи кисти. Иногда по слепку изготавливают каппы. Внутрь наносят состав, и пациент надевает их на зубы. Количество процедур зависит от конкретной ситуации.

Лечение

Любая стоматологическая проблема — повод зайти к врачу. Прозрачность зубов – не исключение. Специалист поможет избежать осложнений и предложит одну из нижеописанных процедур.

Фторирование

Фторирование – покрытие зубов лаками или фторсодержащими растворами. Зубы, покрытые таким средством, будут надежно защищены от воздействия кислой среды, станут менее чувствительны, на них будут реже скапливаться разные бактерии.

Эта процедура безболезненна, ее делают и детям. Обычно выполняют простое и глубокое фторирование. При простом фторировании используют специальную ложку. Ее наполняют препаратами с высоким содержанием фтора, средство накладывают на зубы на 20 минут. Процедуру можно выполнять не более 15 раз.

Глубокое фторирование – более эффективный метод. Поверхность зуба обеспечивается необходимым питанием фтора и кальция, зубы становятся более прочными и крепкими. Необходимые этапы:

  1. Нужна предварительная подготовка, сначала очищаются зубы и межзубные промежутки;
  2. Зубная поверхность сушится потоком теплого воздуха, затем врач наносит специальную эмаль;
  3. Зубы обрабатываются ватным тампоном, смоченным в молочке с гидроокисью меди и кальцием.

После глубокого фторирования надежная и длительная защита зубам будет обеспечена. Образовавшийся после процедуры слой повысит прочность зубов, и из них не будет вымываться кальций. Процедуру нельзя проводить чаще раза в год.

Фторирование можно сделать дома. Зубы покрываются специальными средствами. Например, Фторлаком, который насыщает зубную эмаль фтором. Сначала лаком покрываются зубы на нижней челюсти, затем на верхней. 5-7 минут рот держат открытым, чтобы средство высохло. Предварительная консультация стоматолога обязательна.

Важно: фтор является важнейшим минералом. При его недостатке страдают эмаль и зубы. Для устойчивости и прочности запас фтора в организме должен всегда пополняться.

Реминерализация

Зубную поверхность также покрывают лаками с высоким содержанием витаминов и минералов. Процедура сохраняет устойчивость эмали к кариесу, насыщает ее необходимыми веществами, повышает прочность зуба. Если зубы становятся прозрачными, эта процедура отлично защитит поврежденную эмаль.

Процедуру проводят двумя способами:

  1. На зубы наносится концентрированный состав;
  2. С помощью капп (ремотерапия), которые легко заполняются специальным составом (каппы надеваются и снимаются).

Используемые средства: реминерализующие зубные пасты, защитный лак, диски с фтором, rocs гель, ремодент (порошок). В rocs геле содержатся микроэлементы, магний, кальций, фосфор. Реминерализация безопасна, можно проводить при беременности.

Имплантация эмали

Это восстановление поврежденных или отсутствующих участков зубной эмали. Метод применяется, если восстановить необходимо крупные участки повреждения. На зубную поверхность наносят состав, сходный с составом природной эмали. Затем выполняется воссоединение эмалевого имплантата с тканью зуба на молекулярном уровне.

Процедура оказывает следующие эффекты:

  1. Восстанавливает зубную эмаль;
  2. Изменяет цвет и форму зубов;
  3. Защищает чувствительные зубы.

Интересно: действие имплантации постоянное, сохраняется на всю жизнь.

Имплантация эмали

Зубам, на которых повреждены крупные участки, требуется имплантация эмали. Стоматолог наносит непосредственно на место поражения специальную смесь. В ее состав входят вещества, по химическому составу схожие с эмалью зуба.

Материал наносится непосредственно на поврежденную часть. Затем стоматолог должен будет провести манипуляции, целью которых является воссоединение импланта с натуральной тканью на молекулярном уровне. Процедура помогает восстановить форму, защитить чувствительные зоны, изменить цвет и даже подправить прикус. Полученный результат поддерживать не потребуется. Он является постоянным.

Методы восстановления

При возникновении любых стоматологических проблем не стоит заниматься самолечением. В таких случаях обязательно нужно посетить кабинет стоматолога. Это касается и прозрачности зубов. Что лучше сделать в таком случае – скажет специалист. Как правило, врачи предлагают пациентам такие процедуры, как фторирование, реминерализацию и имплантацию эмали. Рассмотрим каждую из них отдельно.

Фторирование

Данная процедура проводится при помощи специальной ложки, в которую добавляется фторосодержащее вещество. Используя этот инструмент, врач обрабатывает поверхность зуба специальной смесью, а после чего удаляет ее. Длительность процедуры – не более 20 минут. Стоит отметить, что данную процедуру не рекомендуется повторять чаще, чем 15 раз подряд. В противном случае можно навредить зубам, а не вылечить их, как это планировалось ранее.

Фторирование зубов

Реминерализация

Эта процедура применяется в стоматологической практике в тех случаях, когда зубы становятся прозрачными или теряют свою прочность. Она довольно популярна во многих странах мира, что связано с высокой эффективностью процедуры. По своей технологии реминерализация немного напоминает фторирование, но используемое средство содержит в себе не фтор, а богатый витаминный комплекс и минералы. С помощью реминерализации можно не только повысить прочность зубов пациента, но также защитить их от кариеса.

Реминализация эмали

Современная стоматология предусматривает два метода выполнения процедуры реминерализации. Один из них заключается в обработке поверхности восстанавливаемого зуба специальным стоматологическим составом, а другой – в ношении каппы, которая заранее наполняется специальным средством. Первый метод считается более комфортным для пациента, но при использовании капы он может снимать ее при необходимости. Это, безусловно, тоже большой плюс.

Капы для реминерализации

Что используют стоматологи для выполнения реминерализации зубов:

Error, group does not exist! Check your syntax! (ID: 12)

  • стоматологический порошок;
  • рокс гель;
  • фторосодержащие диски;
  • специальный лак;
  • зубная паста.

На заметку! Рокс гели – это специальные вещества, в состав которых входит фосфор, кальций, магний и разные микроэлементы, которые так необходимы для восстановления зубов. Поскольку реминерализация безвредна для организма пациента, ее часто назначают также и беременным женщинам.

R.O.C.S. Medical Minerals гель

Имплантация эмали

Способ заключается в восстановлении целого зуба или его части, которая была разрушена. Врачи рекомендуют прибегать к имплантации эмали только в тех случаях, когда нужно возобновить защитный слой эмали на больших участках. Выполнение процедуры предполагает обработку зубов специальным средством, что по химическому составу очень похож на настоящую зубную эмаль.

Результат восстановления зубной эмали

Правильное выполнение имплантации позволяет восстановить зубную эмаль, изменить ее форму и цвет. Если пациент страдает от повышенной чувствительности зубов, эта имплантация подходит лучше всего, так как с ее помощью можно защитить зубы. Ниже представлена пошаговая инструкция выполнения имплантации эмали в условиях стоматологической клиники.

Таблица. Имплантация зубной эмали в клинике.

Шаг первыйПоначалу врач тщательно очищает поверхность восстанавливаемого зуба или зубов. Делается это в несколько этапов. Первый этап заключается в использовании специального инструмента, а второй – в очистке зубов зубной нитью.
Шаг второйЗатем после очисти на зубную эмаль наносится хлоргексидин или перекись водорода. Через 20 секунд врач наносит протравочный гель. Через 15-20 секунд зубы промываются и высушиваются. Теперь они готовы к следующему этапу.
Шаг третийНа каждый зуб наносится по одной капле специального вещества, содержащего большое количество витаминов и минералов. Чтобы было удобнее, врач может воспользоваться канюлей. Если есть необходимость, то нанесенную каплю нужно равномерно распределить по поверхности зуба пациента.
Шаг четвертыйТеперь на каждый зуб наносится специальное средство – Наногап. Также по 1 капле на каждый зуб. Нужно подождать 4-5 минут, чтобы средство смогло хорошо впитаться в зубную эмаль. Смывать его не нужно.
Шаг пятыйВсе работы должен проводить квалифицированный специалист, ведь многие используемые препараты необходимо смешивать в определенных пропорциях. Даже незначительные нарушения могут привести к неприятным последствиям. После нанесенного последнего слоя пациент сможет покинуть кабинет стоматолога с новой восстановленной улыбкой.

Виниры

Некоторые стоматологи предпочитают бороться с прозрачностью зубов с помощью виниров. Пораженный участок эмали стачивается, а затем крепится специальная пластинка. Она безупречно имитирует натуральный зуб. Этот способ позволяет не только бороться с прозрачностью, но также усовершенствовать улыбку. Виниры позволяют сделать зубы светлее, маскируют сколы и неправильную форму.

Несмотря на универсальность подобной облицовки, многие специалисты выступают против ее использования в тех случаях, когда зубы становятся прозрачными. Почему так происходит? Все дело в том, что виниры эмаль не восстанавливают. Наоборот, для их установки ее необходимо сточить. Виниры выполняют не лечебную, а скорее маскирующую функцию.

Срок службы подобных накладок не превышает 10 лет. После чего их необходимо снимать и менять на новые. Оставить зуб в первозданном виде не получится, так как внушительный слой эмали был снят. Пациент окажется перед выбором: ставить новые виниры или коронки.

Почему возникает прозрачность

Основная причина заключается в серьезном уменьшении толщины эмали, что возникает в результате нехватки кальция в организме человека. Прозрачность, скорее всего, можно отнести к разряду косметических дефектов, чем стоматологических, но от этого проблема не становится более безопасной для организма. Утончение зубной эмали приводит к тому, что зубы у пациента становятся чрезвычайно хрупкими. Как результат, они могут треснуть или расколоться даже при незначительных механических воздействиях. Также прозрачные зубы более склонны к появлению кариеса.

Прозрачность зубной эмали

Если зуб стал прозрачным, это может говорить о еще одной неприятности, а именно о высокой чувствительности к горячей и холодной пищи, к кислому и сладкому. При лечении пациентов с повышенной чувствительностью могут возникать определенные проблемы, ведь даже элементарная стоматологическая процедура сопровождается сильными болевыми ощущениями. Так по каким же причинам зубы могут стать более прозрачными?

Зубы становятся прозрачными

К основным факторам, способным привести к уменьшению толщины зубной эмали и, как результат, спровоцировать возникновение прозрачности зуба, стоит отнести:

  • наличие вредных привычек, в частности, курение;
  • наличие зубного налета на поверхности зубов, что препятствует насыщению кислородом;
  • проблемы со слюноотделением, сухость во рту;
  • негативное влияние экологии;
  • наличие заболеваний желудка, например, гастрит;
  • чрезмерное применение сильнодействующих антибиотиков. То же касается и медицинских препаратов, в состав которых входит кислота;
    Существует немало причин призрачности зубов
  • несбалансированное питание. Частое употребление газированных напитков, конфет и сладкого сока негативно воздействует на зубную эмаль, которая постоянно подвергается атаке сильных кислот;
  • применение народных отбеливающих средств. Если вы вдруг решили отбелить зубы в домашних условиях, в таком случае обязательно нужно соблюдать инструкцию. Регулярное использование абразивных веществ способствует уменьшению толщины зубной эмали, в результате чего она становится очень хрупкой;
  • несоблюдение правил гигиены ротовой полости. Пренебрежение зубной пастой и щеткой непременно приведет к разрушению эмали. Также она может повредиться при использовании зубной щетки со слишком жесткой щетиной;
  • наследственный фактор;
  • развитие стоматологических заболеваний, таких как периодонтит, пародонтит, кариес и другие.

Типы прозрачности эмали

Зубная эмаль достаточно прочная, но при воздействии определенных факторов ее состояние может значительно ухудшиться. Чтобы предотвратить это, необходимо постоянно следить за здоровьем зубов.

Тесты для определения прозрачности зубов

Восстановление в домашних условиях

В том случае, если человек заметил, что его зубы становятся прозрачными, можно попытаться решить проблему в домашних условиях. Восстановить эмаль реально самостоятельно только в том случае, если патологический процесс только начался.

Если нет флюороза, рекомендуется выбирать пасты с фтором или другими полезными минералами. После чистки зубов делать специальный массаж десен. Он усиливает кровоснабжение зуба и насыщает важными питательными веществами. Массаж можно делать с помощью мягкой зубной щетки. А также аккуратно подушечками пальцев. Для этого вымыть руки и массировать десну с внешней и внутренней стороны.

Необходимый для зубов кальций можно получить из следующих продуктов:

  • кунжут;
  • миндальный орех;
  • шпинат;
  • семена мака;
  • тофу;
  • творог;
  • брокколи, пекинская капуста;
  • натуральный апельсиновый сок;
  • семена чиа;
  • белая фасоль;
  • простокваша.
  • Насытить зубную эмаль полезными микроэлементами можно с помощью специальных реминерализирующих гелей. Их несложно использовать. После чистки зубов нанести гель на щетку. Распределить его равномерно по всему ряду. После этого не пить и не принимать пищу в течение получаса. То же самое необходимо делать перед сном. Кроме этого, можно заказать у стоматолога изготовление индивидуальной каппы. Наполнять ее гелем и надевать на ночь.

Патологическая стираемость зубов — видео

.

Со временем, зубная эмаль претерпевает структурных изменений, приводящих к тому, что становится прозрачной. На начальных этапах подобные явления происходят на кончике зуба, с последующим переходом на всю его поверхность. Подобные изменения могут коснуться не только пораженных недугом зубов, но и вполне здоровых. Чтобы понять, как предотвращать появление подобных проблем, эффективно с ними бороться, нужно точно знать, в чем причина их появлений.

Прозрачные кончики зубов — проблемы с эмалью

Причины возникновения проблемы

Прозрачная эмаль является следствием серьезного истончения эмалевого слоя, который получает из организма недостаточное количество кальция и других полезных веществ. Для зубов, которые подвергаются подобным изменениям характерно:

  • появление хрупкости;
  • постоянные повреждения;
  • раскалывания;
  • появление трещин.

Помимо перечисленных изменений, зубы с прозрачными краями серьезно подвержены возникновению кариеса, а также появлению высокой чувствительности к сладким, горячим, холодным и кислым продуктам, которые вызывают дискомфорт и болевые ощущения. Перечень негативных реакций основывается на том, что для зубов с подобными проблемами характерным является развитие кариеса, пародонтита, периодонтита, а также развития различных новообразований.

Среди наиболее распространенных причин развития прозрачного края на зубах стоматологи выделяют: наследственную предрасположенность, отсутствие необходимых регулярных гигиенических процедур в ротовой полости.

Начальная стадия разрушения эмали

Последняя причина может быть связана с нерегулярной чисткой зубов, использованием жестких зубных щеток, абразивных паст, агрессивных отбеливателей, а также нарушение основных рекомендаций по домашнему отбеливанию зубов и удалению зубного камня. Появление прозрачности на зубной поверхности также может быть спровоцировано чрезмерно активными чистящими движениями, которые выполняются в процессе гигиенической процедуры.

Что еще может навредить?

Существенный вред поверхности зуба может нанести отсутствие правильного питания с недостаточным количеством продуктов, содержащих фтор и кальций, и одновременным изобилием сладких и кислых продуктов, а также газировки и других напитков, которые содержат кислоту. К аналогичным причинам можно отнести большое количество в рационе питания цитрусов.

Антибиотики и другие медикаментозные препараты могут оказывать негативное воздействие на поверхность эмали, поскольку в большинстве из них содержится большое количество кислот. Люди, страдающие от гастрита, проблем с желудочно-кишечным трактом и частой изжоги автоматически попадают в своеобразную группу риска.

Прозрачные кончики у курильщика

Согласно официальным данным, прозрачность края зубной эмали могут также вызывать:

  • неблагоприятные экологические условия;
  • наличие сухости в ротовой полости, нарушение процессов выделения слюны; большое количество мягкого налета на зубах, который блокирует попадание необходимого кислорода к зубам;
  • отсутствие необходимого количества витаминов и других полезных веществ в пище; наличие вредных привычек (курение табака, злоупотребление алкогольными напитками);
  • травма или стачивание зуба.

Основные методы лечения

Проблема любой сложности, которая связана с зубами, должна решаться исключительно в стоматологическом кабинете, или после квалифицированной консультации дантиста. В данном случае, проблема с прозрачностью эмали не является исключением. Благодаря своевременному обращению за квалифицированной помощью к специалисту, можно избежать целого ряда осложнений, а также необходимости удаления зубов, которые с легкостью можно было «спасти».

Паста с минералами для восстановления эмали

В большинстве случаев, для решения подобных проблем назначаются процедуры фторирования, реминерализации, имплантации эмали.

Фторирование – это покрытие поверхности зуба лаком или фосфорсодержащим раствором. Благодаря этому зубы надежно защищаются от агрессивного влияния со стороны кислой среды, и становятся менее чувствительными. Такая процедура позволяет значительно снизить вероятность скопления на поверхности различных болезнетворных бактерий.

Каппы для лечения прозрачности

Основным преимуществом процедуры является абсолютная безболезненность, благодаря которой её проведение часто назначается детям. В зависимости от развития проблемы, процедура фторирования может быть простой и глубокой.

Простое фторирование

Оно предполагает использование специальной ложки, которая наполняется препаратом, который содержит фтор. При помощи инструмента смесь накладывается на поверхность зуба длительностью до двадцати минут с последующим её удалением. Следует учесть, что согласно рекомендациям, частота проведения такой процедуры не должна превышать пятнадцати раз.

Фторирование эмали

Процедура глубокого фторирования

Этот процесс является более эффективным и действенным методом, который подает фтор и кальций на поверхность зубов, делая их прочнее и крепче. Однако, данный способ требует особого подхода, и состоит из целого ряда обязательных этапов и процедур. Первый этап предварительной подготовки заключается в тщательном очищении зубов, а также промежутков между зубами. В дальнейшем поверхность зуба высушивается при помощи теплых воздушных потоков, с последующим нанесением на сухие поверхности специальной эмали. Финальным этапом является обработка поверхностей зубов при помощи ватного тампона, который смочен в молочке, содержащем высокую концентрацию гидроокиси меди и кальция.

Проведение подобного рода манипуляций является гарантией надежной и длительной защиты зубов от целого ряда заболеваний полости рта. Зубы после такого фторирования становятся прочнее, поскольку процессы вымывания из эмали кальция полностью прекращаются или существенно замедляются. Процедура не может повторяться чаще, чем раз в год.

Процедура фторирования также может быть проведена в домашних условиях с применением специальных средств, одним из которых является фторолак, который насыщает эмаль зуба необходимым количеством фтора. Для проведения такой манипуляции достаточно нанести лак на поверхности зубов, после чего открыть рот на десять минут для того, чтобы он высох. Простота и доступность способа не должна вводить в заблуждение, поскольку предварительная консультация с дантистом является обязательной.

Фторлак для фторирования

Реминерализация, как альтернатива

Если зубы стали терять прочность и становятся прозрачными, можно провести процедуру реминерализации, которая пользуется популярностью у стоматологических клиник и их клиентов по всему миру. Процедура во многом схожа с фторированием, однако лак, который наносится на поверхность зуба, содержит в себе эффективный витаминный комплекс, а также большое количество минералов. Благодаря проведению такой процедуры, можно повысить сопротивляемость поверхности зуба к кариесу, а также увеличить показатели прочности зубов.

На сегодняшний день существует два способа проведения реминерализации, первый из которых предполагает нанесений концентрированного состава на эмаль, а второй использование специальных капп, которые предварительно заполнены специальным раствором. Для пациента более удобным является первый способ, однако возможность снимать и одевать капу при необходимости на место делают второй более эффективным.

Реминерализация эмали комплексными препаратами

Для проведения реминерализации используются:

  • специальная зубная паста;
  • защитные лаки;
  • диски, содержащие фтор;
  • рокс гели;
  • а также специализированные порошки.

Рокс гели содержат большое количество необходимых зубам микроэлементов, магния, кальция, а также фосфора. Процедура реминерализации является абсолютно безвредной, поэтому может быть назначена даже во время беременности.

Имплантация эмалевого слоя

Этот метод заключается в восстановлении участка, который полностью разрушен или отсутствует. Применима подобная операция в тех случаях, когда есть острая необходимость в восстановлении крупных участках защитного слоя. Проведение подобных манипуляций предполагает нанесение специальных составов на поверхность зубов, которые по своему составу схожи с природным эмалевым слоем. После такого воздействия необходимо проведение манипуляций по воссоединению имплантатов с тканями зубов на молекулярных уровнях.

Благодаря такой процедуре можно восстановить эмаль зубов, изменить их цвет, а также форму, эффективно защитить зуб, который обладает повышенной чувствительностью.

Главным достоинством подобного метода является тот факт, что установление эмалевого имплантата улучшает состояние зуба на всю жизнь.

Способы домашнего устранения проблемы

Транспарентные поверхности зуба могут быть приведены в порядок при помощи специальных зубных паст, которые содержат фтор и другие минеральные добавки. Определенную эффективность демонстрируют специальные массажи, улучшающие снабжение кровью и веществами, питающими зуб и отвечающими за его здоровье.

Полезные вещества, необходимые для поддержания оптимального состояния зубов, можно получить из:

  • молока, творога;
  • йогурта и сыров;
  • пекинской и белокочанной капусты, брокколи;
  • натуральных некислых соков;
  • а также других продуктов, которые содержат витаминные комплексы.

Существенная польза зубам может быть получена из мюсли и хлебцев, а также твердых продуктов, благодаря которым осуществляется естественная очистка поверхности зубов, необходимая для их сохранения.

Восстановление эмали домашними средствами

В качестве профилактических мер, которые помогут обезопасить себя от возникновения вопроса: что делать, если зубы прозрачные на концах, может стать полный отказ от вредных привычек, регулярное проведение гигиенических процедур ротовой полости с использованием средств, рекомендованных стоматологом. Не стоит забывать о том, что своевременное посещение стоматологического кабинета в профилактических целях и при возникновении малейшего дискомфорта в полости рта способно на долгие годы сохранить зубы от многочисленных недугов.

Подписаться Будьте в курсе новинок нашего сайта

Структура зубной эмали может со временем преобразовываться, из-за чего цвет ее меняется на прозрачный. Изменению структуры подвергаются кончики, но по мере развития процесса единицы полностью начинают просвечиваться. Данное явление вполне успешно устраняется при правильном подходе к лечению, а также его можно избежать, если проводить несложные профилактические меры. Почему на концах просвечивается эмаль и вредно ли это для организма?

Почему эмаль зуба у взрослого стала прозрачна по краям?

Явление, когда зубная эмаль становится прозрачной, в стоматологии не считается какой-либо патологией, а скорее нормой, если учесть качество продуктов питания и образ жизни современного человека. Несбалансированный рацион, отсутствие полезных витаминов и микроэлементов приводит к тем или иным изменениям в организме. На дефицит кальция указывает много факторов, одним из которых является прозрачные края эмали у взрослого человека. При этом никакого дискомфорта и неприятных ощущений данное явление не вызывает.

Эмаль зубов может быть прозрачной и при наличии следующих факторов:

  • стоматологические заболевания (кариес, периодонтит, пародонтит и другие);
  • плохая наследственность;
  • отсутствие тщательного ухода за ротовой полостью;
  • использование зубной пасты с агрессивными компонентами и высокой абразивностью;
  • неправильная чистка зубов;
  • эрозийный процесс на эмали вследствие пагубного воздействия кислоты, содержащейся в пищевых продуктах;
  • прием антибиотиков тетрациклиновой группы;
  • хроническая сухость во рту, ослабление функций слюнных желез;
  • заболевания ЖКТ;
  • большое количество зубного налета;
  • наличие дурных привычек.

Просвечиваются зубы в детском возрасте

Наиболее распространенной причиной прозрачности зубов у детей стоматологи считают гипоплазию — состояние, при котором ткани зуба недостаточно развиты. Такие зубы быстро портятся и подвержены кариесу. Причиной гипоплазии у ребенка является дефицит кальция, который возник не в данный момент, а еще в утробе.

Специалисты советуют после обнаружения изменения цвета кончиков зубов у ребенка или таких пятен обратиться к профессиональному опытному детскому стоматологу, поскольку в большинстве случаев только он может разглядеть гипоплазию и назначить лечение, направленное на укрепление зубов.

Методы лечения проблемы

Процесс, при котором края зубной эмали стали прозрачные, не является необратимым и подлежит терапии. Что делать в такой ситуации и как вылечить прозрачные больные зубы? Разумеется, что самостоятельно в домашних условиях данную проблему не решить, поэтому без консультации у квалифицированного стоматолога не обойтись. Чем раньше человек обратиться за помощью, тем легче и эффективнее будет лечение.

Существует несколько методов терапии прозрачности зубов, среди которых врач, исходя из общей клинической картины, выбирает наиболее подходящий. К таковым относятся реминерализация, фторирование и имплантация зубной эмали.

Процедура фторирования

Под фторированием понимают покрытие эмали специальными фторсодержащими лаками и растворами, благодаря которым процесс разрушения эмали останавливается и зубы полностью защищены от негативного воздействия кислот, снижается чувствительность и риск развития других зубных заболеваний. Данная процедура безболезненна, благодаря чему ее широко применяют в лечении детей. Фторирование может быть как простым, так и глубоким:

  • При простой форме процедуры препарат с помощью специальной ложечки наносится на поверхность зуба на двадцать минут.
  • При глубоком фторировании стоматолог предварительно готовит рабочую поверхность (очищает зубы, просушивает их потоком воздуха), после чего обрабатывает ее специальной эмалью и раствором (подробнее в статье: фторирование зубов у детей с фото до и после).

Процедуру фторирования также можно проводить и в домашних условиях. Для этого понадобится особое средство в виде лака, которое может посоветовать доктор после осмотра и консультации. Для профилактики следует заменить обычную зубную пасту на такую, в составе которой содержится фтор.

Реминерализация

Прозрачность эмали свидетельствует о том, что зубы подвержены негативному воздействию внешней среды. Чтобы их защитить от этого и укрепить, стоматолог может принять решение о реминерализации. Суть данной процедуры состоит в том, что поверхность зубов покрывается специальными витаминно-минеральными лаками, которые обеспечивают надежную защиту от внешних факторов, питают эмаль всеми необходимыми микроэлементами и укрепляют ее.

Процедура происходит следующим образом: на эмаль наносится специальный минеральный состав, которым также наполняются каппы и затем надеваются на зубы. Через некоторое время их снимают. Процедура абсолютно безопасна, поэтому применяется для детей и беременных женщин.

Имплантация зубной эмали

Данный метод актуален лишь тогда, когда восстановлению подлежат большие участки поврежденной эмали. Поверхность зубов покрывается составом, который практически идентичен структуре натуральной эмали. Данный метод лечения прозрачности зубов позволяет восстановить поврежденные участки, изменить форму и цвет зубов, а также на всю оставшуюся жизнь защитить их от негативного воздействия кислот.

Как восстановить эмаль в домашних условиях?

В домашних условиях можно откорректировать рацион питания и насытить его минералами и витаминами, то есть устранить саму причину прозрачности зубов. Регулярный и правильный уход за зубами и ротовой полостью с применением правильно подобранных средств поможет защитить зубы от воздействия кислот, а также снизить их чувствительность, насытить необходимыми микроэлементами.

Зубная щетка должна быть мягкой, паста – не слишком абразивной. В ежедневном меню обязаны присутствовать продукты, богатые фтором и кальцием. Нельзя забывать чистить зубы, а если не получается, полоскать их после каждого приема пищи.

Профилактические меры

К профилактическим мерам следует отнести соблюдение всех правил гигиены ротовой полости и зубов, сбалансированное питание, отказ от вредных привычек, здоровый образ жизни, а также регулярное посещение стоматолога с периодичностью не реже двух раз в год. Своевременное обнаружение проблемы поможет не только быстро ее устранить, но и предотвратить патологические процессы, связанные с разрушением зубной эмали.

С таким явлением, как прозрачные зубы, приходится сталкиваться многим людям, особенно в более зрелом возрасте. Большая часть из них, заметив необычную прозрачность, сразу же впадают в панику, хотя стоматологи не относят к патологиям подобные отклонения. К тому же незначительная прозрачность считается нормой. Прозрачными могут становиться не только больные, но и абсолютно здоровые зубы, не подвергавшиеся лечению до этого. Так почему зубы становятся прозрачными и как бороться с таким нарушением?

Почему зубы становятся прозрачными

Профилактика

Строго выполняя профилактические мероприятия, можно существенно притормозить развитие прозрачности зубов. Или вовсе избежать этой неприятной ситуации. Чтобы сохранить зубы здоровыми, необходимо выполнять следующие рекомендации:

  1. Регулярно чистить зубы. Использовать только качественные средства.
  2. Менять зубную щетку.
  3. Регулярно посещать дантиста.
  4. Не злоупотреблять отбеливанием.
  5. Исключить употребление сладостей. Это будет полезно не только для зубов.
  6. Полоскать рот после каждого приема пищи. Для этого можно использовать обычную воду.
  7. Включить в меню продукты, богатые кальцием и другими полезными минералами.
  8. Исключить жевательную резинку.
  9. Отказаться от курения.

Профилактические меры

В домашних условиях для торможения развития прозрачности требуется:

  • чистить зубы в утреннее и вечернее время и после каждого приема пищи проводить полоскание ротовой полости;
  • включить в рацион продукты богатые на минералы и витамины;
  • употреблять меньше сахара и бросить привычку употреблять жевательную резинку;
  • регулярно менять щетку;
  • не пользоваться пастой, содержащей отбеливающие элементы.

Так же прочтите: Временная коронка: что это, для чего ее ставят и цена

Перечисленные методы помогают не усугубить проблему и остановить ее развитие.

Щетку необходимо выбирать средней жесткости. В некоторых случаях она должна быть с мягкой очищающей основой. Это поможет избежать стирания слоя эмали в процессе чистки.

При склонности к природной прозрачности зубной эмали необходимо избегать применения электрической щетки. Это объясняется высокой вероятностью получения травм, так как увеличивается степень механического воздействия на защитный слой зубов.Для восстановления здоровья необходима помощь специалистов. Защитный слой эмали достаточно сложно эффективно восстановить в домашних условиях, пользуясь только народными рецептами. Поэтому очень важно соблюдать рекомендации лечащего врача и строго выполнять назначенные процедуры. Только так можно остановить разрушение зубов и всегда иметь красивую улыбку.

Домашняя профилактика против прозрачной эмали

Увлекаться домашним лечением нельзя и все манипуляции проводить нужно под контролем лечащего врача. Если повреждения не слишком серьезные и зубы только начинают становиться прозрачными, применять можно гели и пасты.

  • «Диплен» — специальная стоматологическая пленочка, состоящая из лекарственных препаратов с гидрофильным слоем;
  • «Тифенфлюорид» — гель с высоким содержанием фтора, герметизирующий эмаль;
  • «Флюокаль» — жидкость, которую нужно наносить на проблемные участки зубов. Вещества активно влияют на зубную микрофлору и повышают устойчивость эмали к внешним воздействиям.
  • Подходят для регулярного использования и лечебные пасты – «Лакалют», «Силка», «Сенсодин» и «Мексидол».

При любых проблемах с эмалью использовать лучше щетки с мягкой щетиной, а пасты обязательно должны содержать фтор и кальций. От применения отбеливающих средств лучше отказаться. Подобрать можно и хороший ополаскиватель для ротовой полости: профессиональные и полупрофессиональные средства содержат особые микроэлементы, укрепляющие поверхность.

Обратить внимание нужно и на привычный рацион. Исключить из меню придется сладкое и кислое, а употреблять регулярно нужно молочные продукты, рыбу, яйца, сыры, капусту, черную смородину, картофель.

Рейтинг
( 1 оценка, среднее 4 из 5 )
Понравилась статья? Поделиться с друзьями:
Для любых предложений по сайту: sto247@cp9.ru