Айкью - лучшая доставка суши & пиццы в Ялуторовске! 3800 г. 120 роллов. Филадельфия Лайт, Канада Лайт, Аляска с лососем, Калифорния краб, Мехико ролл, Салмон маки, Бонито, Лава Манго, Калифорния Темпура, Юка ролл запеченный, Хидо ролл запеченный, Торрияки ролл запеченный, Тори темпура, Чикен лава ролл, Чука темпураОкунем.

Шатается молочный зубик, надо ли идти к стоматологу?

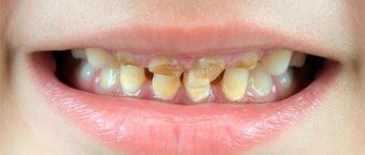
Состояние, когда у ребенка лезет зуб, а молочный еще не выпал, также называют «акульими зубами» — временные и коренные зубы расположены в два ряда, что напоминает прикус у этого морского хищника.

Но всегда ли это — проблема, требующая хирургического удаления «старых» зубов, или можно подождать самостоятельного разрешения ситуации? Поэтому далее рассмотрим, что делать, если постоянный зуб растет за молочным!

Причины

В большинстве случаев, когда постоянный зуб растет за молочным, проблема развивается из-за недостаточной жевательной нагрузки на зубы. Сегодня питание среднестатистического ребенка можно охарактеризовать, как рафинированное!

Основная часть дневного рациона состоит из термически или механически переработанной пищи, которая не требует от ребенка приложения усилий на ее измельчение зубами.

Родители часто полагают, что таким питанием они наоборот заботятся о зубах малыша, и это позволит им как можно дольше оставаться здоровыми. Но именно жевание — естественная и очень важная функция, обеспечивающая здоровье всей зубочелюстной системе.

Во время пережевывания пищи оказывается давление на пародонт — опорно-связочный аппарат зубов, стимулируется в нем кровообращение и поступление питательных веществ. Без этого может нарушиться рост молочных зубов и развиться их аномальная смена на постоянные.

Более редкой причиной того, что у ребенка зубы в два ряда, является рубцевание десен в области молочных зубов. Это может быть последствием механической травмы, термического или химического ожога. В этом случае соединительная ткань, которую представляет собой шрам, начинает играть роль дополнительной «связки», которая прочно удерживает зуб в десне.

Когда начинают шататься и выпадать зубы

Интересно, что задатки зубов формируются еще в утробе на втором-третьем месяце беременности. Первые прорезывающиеся зубки у грудничка можно заметить уже к полугоду. Подробнее, когда и в какой последовательности появляются первые зубы у детей, читайте здесь.

К пяти годам, когда комплект уже полностью сформировался и насчитывает двадцать штук, расстояние между зубами начинает расширяться, и в пустых местах прорезываются первые коренные моляры. Затем начинают расшатываться и выпадать молочные зубки, а на их месте появляются новые постоянные.

Возможные осложнения

Рост зубов, даже когда он протекает нормально — достаточно болезненный и неприятный процесс. Тем более это дискомфортно, когда он нарушен. У ребенка «сдвоенные» зубы негативно отражаются на артикуляции, и если это продолжается в течение длительного времени, неправильная дикция может закрепиться в качестве постоянной.

Кроме того, у детей с нарушенным актом жевания (а именно к этому приводит дискомфорт при аномальном расположении зубов) часто наблюдается аэрофагия — заглатывание большого количества воздуха вместе с едой.

Ребенок, не будучи способным нормально пережевать пищу, просто глотает ее большими кусками, а вместе с нею — воздух. Результатом этого может стать диспепсия, метеоризм и даже дефицит массы тела — воздух в желудке создает иллюзию сытости, и ребенок регулярно недоедает.

Среди стоматологических осложнений наиболее частое — повышенный риск образования кариеса. Когда у ребенка растет зуб рядом с молочным, это сильно усложняет качество чистки зубов, и между временными и постоянными зубами образуется постоянное скопление налета и бактерий.

Потому нередко промедление с обращением к врачу приводит к тому, что, удалив молочный зуб, врач видит на коренном активный и уже выраженный кариозный процесс (молочный кариес).

Типичные причины расшатывания коренных зубов у детей

  1. В процессе естественной замены временных зубов постоянными подвижные, неусидчивые дети нередко травмируют лицо. Сильный удар по челюсти может повредить окружающие мягкие ткани и привести к вывиху, надлому зуба. Поврежденный зубик станет подвижным.
  2. У детей во время смены прикуса в ротовой полости нередко возникают воспалительные процессы — в частности, гингивит, воспаление десны.
  3. Только прорезавшиеся коренные зубки особенно подвержены воздействию кислотообразующих бактерий. Достаточно часто кариозные полости образуются в труднодоступных для осмотра местах и выявляются только тогда, когда коренной зуб у ребенка уже качается.
  4. В последнее время у детей нередко встречаются слабые, рыхлые десны. При недостаточном уровне гигиены они легко поражаются патогенными бактериями и воспаляются. Возникающий у детей пародонтит приводит к расшатыванию зубов.
  5. Причиной проблемы могут стать и заболевания внутренних органов, вызванные патологическим протеканием обменных процессов и нарушенным кровоснабжением.
  6. Определенную роль играет и генетический фактор. Часто встречающиеся в семье случаи преждевременного выпадения здоровых зубов могут свидетельствовать о передаваемой по наследству предрасположенности к недостаточной фиксации зубных корней в костной ткани.

Увеличивают риски и такие факторы, как плохое питание, сниженный иммунитет, патологический прикус, бруксизм, а в периоде полового созревания — изменение гормонального фона.

Когда обратиться к врачу?

Принято считать, что «парное» расположение зубов может быть нормальным, если это продолжается не более 2-3 месяцев. После выпадения молочного зуба коренной постепенно меняет свое положение и спустя несколько месяцев занимает правильную позицию.

Смотрите в видео:

Поэтому, если новый зуб только начал расти, а старый еще прочно сидит в десне, в течение нескольких недель можно просто наблюдать за ситуацией и контролировать качество гигиены полости рта.

Но в ряде случаев медлить с обращением к врачу нельзя. Обязательно запишитесь на прием к детскому стоматологу, если наблюдается один или несколько из перечисленных симптомов:

  1. Ребенок жалуется на боль и сильный дискомфорт во рту, или вы по каким-то признакам видите, что такое расположение зубов сильно мешает ему (он начал плохо есть, «давится» во время еды и пр.).
  2. Молочный зуб с течением времени не начал шататься и очень прочно сидит в десне.
  3. У ребенка изо рта появляется неприятный запах.
  4. У ребенка есть предрасположенность к аномалиям прикуса или деформациям зубного ряда (он уже проходил лечение нарушений временного прикуса, у кого-либо из родителей был нарушен рост зубов или их расположение в зубном ряду).

Перечисленные обстоятельства могут указывать на возникновение стоматологических проблем, которые требует незамедлительного лечения.

Правила, которые обеспечат безопасность

При удалении зуба дома необходимо проявлять максимальную осторожность, поскольку неправильные действия или недостаточная чистота рук и приспособлений для процедуры навредят маленькому пациенту. Рекомендуют придерживаться следующих правил:

  • Манипуляцию проводят только тогда, когда молочный зуб сильно шатается.
  • Перед тем как удалить шатающийся зуб, следует дать ребенку поесть, поскольку после вырывания надо ограничить прием пищи на определенный временной промежуток.
  • При ручном способе удаления рекомендовано положить на зубик небольшой кусочек марли и одеть одноразовые перчатки.
  • Нитку для вырывания молочной единицы следует обработать антисептиком. Для этой цели подойдут спирт и Хлоргексидин. Зуб требуется просушить стерильной ватой или бинтом.
  • Перед началом манипуляции взрослому нужно тщательно обработать руки обеззараживающим средством. Ребенку надо хорошо почистить зубы, чтобы предотвратить попадание остатков пищи в рану.
  • Если зуб не получается легко удалить, необходимо перенеси процедуру на 2–3 дня. Для того чтобы следующая попытка оказалась успешной, малышу следует языком расшатать зубик так, чтобы он свободно отклонялся вперед и назад.
  • Манипуляцию не проводят, когда пациент плачет и вырывается.
  • Кормить и поить ребенка можно через 3–4 часа после удаления. Выдержать промежуток надо, чтобы на месте образовавшегося отверстия появилась корочка, защищающая ранку от проникновения инфекции.
  • Как только зуб будет удален, нужно поместить на рану небольшой кусочек ватки, смоченной спиртом или другим антибактериальным средством (рекомендуем прочитать: сколько времени нужно держать ватку после удаления зуба?). Вату следует держать 15 – 20 минут.

Читать также: Рана после удаления зуба мудрости

Для предотвращения осложнений после домашней операции следует следующие несколько дней оградить ребенка от употребления горячей и очень холодной пищи. Напитки и еда низкой и высокой температуры способны вызвать кровотечение или болевые ощущения. Сокращают употребление сладостей, поскольку сахар – стимулятор развития патогенной микрофлоры.

На протяжении 2 дней нельзя подвергать маленького пациента перегреву. Горячая ванна вызывает расширение сосудов, что приводит к кровотечению.

На 3 сутки следует начать полоскание антисептическими средствами. Полоскают ротовую полость разведенным раствором Хлоргексидина, отваром ромашки, Хлорфиллиптом с водой, раствором соли и воды с добавлением йода. Ополаскивания следует делать ежедневно после приема пищи на протяжении 5 – 7 дней.

Чистить зубы после удаления зуба следует только мягкой щеткой. Ребенку нужно объяснить, что на место повреждения нельзя сильно давить. На видео представлены методы удаления зубика в домашних условиях, описаны меры предосторожности и правила поведения после манипуляции.

Методы лечения

Если коренной зуб растет перед молочным или позади него, врач решает, что предпринять в этой ситуации, только при личном осмотре. Для выбора правильной тактики лечения важен возраст ребенка, насколько прочно молочный зуб закреплен в десен и насколько сильно уже вырос коренной, нет ли у ребенка других стоматологических аномалий или заболеваний, которые могут быть источниками этой проблемы и пр.

На основании результатов осмотра может быть принято решение об удалении молочного зуба или о продолжении наблюдения. Рекомендуем подробнее ознакомиться с удалением молочных зубов тут:

Удаление молочного зуба у ребенка: показания, последствия

В первом случае ребенку проводится местная или масочная анестезия и молочный зуб извлекается. После этого назначается посещение врача с определенной периодичностью — важно отслеживать динамику перемещения постоянного зуба в зубной ряд, и если этого процесса не наблюдается или он слишком медленный, может потребоваться ортодонтическое лечение.

В не запущенных случаях обычно достаточно ношения трейнера, подобранного по индивидуальным параметрам зубочелюстной системы ребенка. Это устройство создает нужное напряжение в зубах, что «заставляет» их перемещаться в нужную позицию.

У ребенка шатаются молочные зубы, что делать

Если у ребенка шатается молочный зуб—это и радость, и горе. Радость для родителей – ребенок взрослеет! И горе для ребенка, которому эта ситуация не приносит приятностей, особенно когда мама с папой начинают бурно обсуждать способы, как вырвать его, особенно напирая на классический метод — с дверью и ниткой. Другие родители в первое же подвернувшееся свободное время ведут дитя к стоматологу, и для большинства ребятишек, такой исход тоже кажется нежелательным. И то, и другое решение на самом деле крайности. Лучше когда они расшатываются самостоятельно, если это конечно не коренные зубы.

Удаленный молочный зуб на ниточке

Профилактика аномального роста зубов

Чтоб предупредить аномалии роста зубов, важно придерживаться нескольких несложных рекомендаций:

  • В рационе ребенка всегда должны быть свежие и жесткие овощи и фрукты, требующие активного и длительного пережевывания.
  • При любых травмах десен важно обратиться к врачу и провести лечение, снижающее вероятность рубцевания и гиперплазии тканей.
  • Важно придерживаться возрастных норм касательно кормления ребенка из бутылки. Уже в возрасте 1 года лет он должен пытаться сам есть из ложки и пить из чашки или делать это с помощью родителей, а количество кормлений из бутылки должно постепенно сводиться к нулю.

При выявлении каких-либо жалоб, симптомов, аномалий и отклонений оперативно обращайтесь к стоматологу для прекращения развития осложнений.

Шатающийся зуб: вырывать или нет

В первую очередь, важно рассказать малышу о процессе смены зубов, чтобы он не боялся и для него это не стало неожиданностью. Расскажите, что на месте выпавшего зубика вырастет новый, более крепкий и красивый. Обязательно объясните, что выпавший зуб нельзя глотать!

Чтобы ускорить аккуратно и слегка расшатывайте пальчиками, но только чистыми руками! Кроме того, малыш может сам расшатывать зубик языком во рту. Кроме того, можно использовать легкие методы вырывания, которым нередко пользуются родители. Обязательно соблюдайте чистоту и стерильность!

Перед процедурой тщательно вымойте руки, а ребенок пусть почистит зубы и прополоскает рот, чтобы удалить остатки пищи. Возьмите стерильный бинт и захватите зубик. Потяните его вверх, а затем повертите вокруг оси, и тогда он легко выйдет сам. Также можно воспользоваться старым методом вырывания ниткой.

После процедуры нужно прополоскать рот отваром из календулы или ромашки, раствором соды или марганцовки либо специальным антисептическим составом. Если ранка кровоточит, приложите в проблемному месту ватку, смоченную в разбавленной марганцовке.

Рейтинг
( 1 оценка, среднее 4 из 5 )
Понравилась статья? Поделиться с друзьями:
Для любых предложений по сайту: sto247@cp9.ru