Анкилоз. Часть I: Этиология, взгляд на проблему

Анкилоз — это заболевание, при котором происходит сращивание костей. При этом частично или полностью блокируется активность суставов. В стоматологии различают анкилоз ВНЧС (височно-нижнечелюстного сустава) и зубной, когда зуб срастается с костью. Чаще всего ему подвергаются мужчины. Для устранения заболевания стоит обратиться к ортодонту и хирургу: первый занимается приведением прикуса в нормальное состояние, а второй проводит хирургическое лечение анкилоза ВНЧС, удаляя нарушения в суставе и возвращая ему подвижность.

Анкилоз ВНЧС появляется:

  • после травмы сустава;
  • после долгого периода неподвижности, например, пребывания в гипсе;
  • из-за воспаления или гнойного процесса;
  • как следствие артрита.

При сращивании сустава в результате разрушения суставного хряща возле него возникает костный нарост, из-за которого суставы соединяются и становятся неподвижными. Анкилоз сопровождается проблемами с дыханием, западением языка, апноэ сна, храпом, из-за периодического отсутствия гигиены образуется зубной камень. Это приводит к кариесу и другим болезням полости рта. Анкилоз ВНЧС устраняется скальпелем хирурга.

Процесс сращивания суставных поверхностей происходит постепенно – в результате нарушения целостности суставного хряща полость вокруг него обрастает соединительной костной тканью (нарост), что в результате приводит к полному сращиванию и патологическим изменениям суставов, создавая их неподвижность. Лечение анкилоза височно-нижнечелюстного сустава производится хирургически.

Достоинства имплантов Анкилоз

Анкилоз сустава: как распознать и лечить болезнь

Все перечисленные выше особенности имплантов Ankylos можно смело относить к числу достоинств, но отдельно стоит выделить такие их преимущества:

  • адекватность ценообразования, что позволяет выбирать этого производителя пациентам с разным уровнем достатка;
  • универсальность продукции, что даёт возможность проводить фиксацию с минимальным риском заражения организма пациента;
  • установка имплантов выполняется в самые короткие сроки;
  • угроза отторжения имплантов является минимальной;
  • возможность комбинирования конструкций;
  • высокие показатели эстетичности;
  • многолетний срок службы имплантатов.

Костный анкилоз

При костном анкилозе ВНЧС имеет место соединение мыщелкового отростка со скуловой дугой. Получается, что костная ткань наполняет собой полость сустава. Костный анкилоз ВНЧС бывает частичным или полным, это зависит от того, остались ли нетронутые места на поверхности суставов. Если болезнь поражает только один сустав, лицо становится несимметричным. При поражении двух суставов верхняя челюсть сдвигается вперед, происходит ниспадание подбородочного отдела, что приводит к нарушению прикуса и проблемам с зубами, речью и дыханием. Человеку с таким недугом будет трудно принимать твердую пищу. Полная форма характеризуется тем, что на рентгеновском снимке суставная щель не просматривается, а мыщелковый отросток выглядит более широким, чем должен.

Анкилоз зуба что это такое

Анкилоз зубов – это нарушение, при котором зубы срастаются с челюстью. Полость рта – это настоящее чудо природы. С одной стороны, в ней есть зубы, считающиеся самыми твердыми структурами в организме, а с другой – мягкая, но сильная, мышца языка. Зубы фиксируются в челюстной кости. Они не крепятся непосредственно к челюсти, но удерживаются на месте в углублениях, называемых альвеолами, при помощи десневых и пародонтальных волокон. Однако иногда эти десневые и пародонтальные волокна отсутствуют, и поэтому зубы срастаются с костью. Это нарушение известно как анкилоз зубов. Причины этого нарушения неизвестны, хотя есть мнение, что способствующим фактором может быть травма кости во время развития зубов.

Симптомы анкилоза зубов не всегда очевидны. Если развивается анкилоз молочного зуба, наблюдается задержка его роста или неполное прорезывание. Помимо этого сросшийся с челюстью молочный зуб выпадает не так легко как обычные молочные зубы, или не выпадает совсем, и поэтому может препятствовать прорезыванию постоянных зубов. Если постоянный зуб срастается с костью, никаких симптомов может не наблюдаться и анкилоз выявляется случайно при проведении рентгенографического исследования. На снимке обнаруживается отсутствие пространства и видимой границы между корнем зуба и челюстью.

Одна из основных проблем, связанных с анкилозом зубов, заключается в том, что иногда зуб не вырастает полностью, и если он молочный, это может приводить к полному нарушению прикуса. Срастание с костью молочного зуба также препятствует росту находящегося под ним постоянного зуба. Более того, так как зуб при анкилозе прикрепляется непосредственно к кости и не имеет никаких пародонтальных волокон, экстракция такого зуба крайне затруднительна, поскольку в процессе удаления может не выдержать и костная пластинка. Поэтому в подобных случаях возникает необходимость в небольшой хирургической операции, предполагающей отделение зуба от костной пластинки, и делающей возможным его последующее удаление без повреждения костной пластинки. Вдобавок ко всему прочему, существенной проблемой, с которой сталкиваются люди с анкилозом зубов, является невозможность прохождения ортодонтического лечения из-за того, что смещение зубов при данном нарушении неосуществимо.

Если с костью срастается полностью прорезавшийся постоянный зуб, необходимости в лечении нет, так как такой зуб не причиняет никакого вреда и не вызывает никаких нарушений в полости рта пациента. Тем не менее, если анкилозом поражен временный зуб, не прорезавшийся должным образом, требуется хирургическое вмешательство, обеспечивающее возможность прорезывания зуба. Подобным образом, если анкилоз поражает постоянный зуб, вызывая такие проблемы в ротовой полости, как искривление зубов, то необходимо, прежде всего, удаление сросшегося с костью зуба, а затем проведение ортодонтического лечения.

В действительности анкилоз зубов – это не очень серьезная проблема, которая чаще всего остается бессимптомной. Тем не менее, если зуб становится причиной проблем в полости рта или препятствует нормальному прорезыванию и выравниванию зубов, он требует как можно более раннего обследования, диагностики и лечения во избежание дальнейших осложнений.

источник

Зуб человека – весьма сложный орган, который имеет особую систему крепления в лунке. За его прочную фиксацию на месте отвечает периодонтальная связка, соединяющая корневой цемент и костную ткань альвеолы. Однако в ряде случаев это связующее звено отсутствует. В результате корень срастается с костью, и дентальная единица оказывается закрепленной непосредственно в челюсти. Такое отклонение от нормы получило название «анкилоз зуба».

О том, как возникает это нарушение, к чему оно приводит и можно ли его устранить, узнаете из сегодняшней статьи.

Анкилоз характерен главным образом для жевательных зубов. У детей чаще всего проблемным становится второй молочный моляр. Поводом для беспокойства могут быть следующие симптомы:

  1. зуб прорезывается не полностью или растет медленнее остальных,
  2. зуб визуально ниже, чем все остальные в ряду – его даже можно назвать «вклоченным»,
  3. молочный моляр вовсе не выпадает: это становится препятствием для роста постоянного зуба. К примеру, он может вырасти рядом или даже сверху – из-за того, что в кости уже остался зачаток или даже полностью сформированная единица, зубу попросту некуда расти – не остается места.

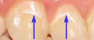
Посмотрите на фото – оно наглядно демонстрирует, что такое анкилоз.

Врач может выявить заболевание и по внешним признакам. Проблемная единица обычно меньше по высоте, чем остальные. Соседние зубы часто бывают наклонены в сторону вросшего сегмента. Вероятно даже выталкивание зуба-антагониста, расположенного на верхней челюсти – это происходит из-за того, что у него не остается опоры. Правда, такое последствие не развивается одномоментно – нужно время для «выкручивания» корневой системы. Перкуссия (простукивание) анкилозированной единицы дает глуховатый звук.

Если же речь идет о постоянном зубе, то анкилоз может никак себя не проявлять. Как правило, его обнаруживают случайно в ходе рентгенографии. На снимке не видно границы и промежутка между корнем и челюстной костью.

Причины нарушения долгое время оставались неизученными. Впрочем, таковыми они остаются и по сей день. Но все же стоматологи выделяют несколько факторов появления патологии:

  • заболевания периодонта: они могут препятствовать нормальному развитию связочного аппарата или вызывать некроз тканей, из-за чего перемычка между корнем и костной тканью отсутствует и зуб срастается с клетками челюстной кости,
  • травмы зубов: приводят к анкилозу в случае, если нарушен процесс репарации – формирования новой костной ткани на месте повреждения,
  • гиподентия постоянных зубов – недостаток единиц в ряду,
  • серьезные патологии развития: синдром Дауна, черепная дисплазия, гипотиреоз у детей, карликовость и другие.

Интересно также то, что к патологии может привести чрезмерное потребление кальция или его плохое усвоение. В частности, матерью во время беременности или малышом в первые годы жизни. Конечно, речь не идет об обычной пищи – переизбыток минерала не может возникнуть, но вот с комплексными витаминами нужно быть осторожнее. Принимать только по назначению и под контролем врача.

Давайте теперь посмотрим: если развился анкилоз зуба, что это может повлечь за собой? Принято выделять несколько вероятных последствий:

  • нарушение прикуса: отмечается при патологии молочных единиц и неправильном росте постоянных,
  • потеря зуба-антагониста на противоположной челюсти: он расшатывается из-за отсутствия полноценной жевательной нагрузки и затем выпадает,
  • сложность удаления корня: при его сращении с челюстью велика опасность травмировать костную пластинку. Поэтому сначала приходится отделять от нее зуб хирургическим путем,
  • трудность исправления прикуса: вытянуть вросшие единицы с помощью брекетов невозможно – они настолько сильно срастаются с костью, что изменить их положение не удастся.

Важно! Часто анкилозированные единицы остаются на месте и нормально функционируют десятки лет. Иногда пациенты вообще не обращают внимание на патологию, пока не хотят ее исправить. После проведения рентгена и выясняется, что зуб не просто так короче остальных – это и есть анкилоз.

Большинство стоматологов не считают анкилоз постоянного зуба серьезной проблемой – разумеется, в том случае, если он не доставляет дискомфорта пациенту. Однако при возникновении трудностей с нормальным прорезыванием следует обратиться к хирургическому вмешательству, чтобы избежать неприятных последствий в дальнейшем.

Прежде чем определить методику лечения, врач назначает обследование. В современных клиниках используется компьютерная томография с функцией 3D. Панорамные и трехмерные снимки помогут выявить проблему и пути ее решения.

Если анкилозированная единица вызывает деформацию всего ряда, целесообразно ее удалить и затем приступить к выравниванию с применением ортодонтических конструкций. Например, можно использовать брекеты, каппы или пластинки.

В случаях, когда проблемный зуб не мешает соседним и пациент жалуется только на эстетику, достаточно установить коронку из металлокерамики, чистой керамики, диоксида циркония. Если опущен он не сильно, то подойдут также и виниры. Это позволяет скорректировать прикус, вернуть эстетику и функциональность всему ряду.

«У меня с детства неровные зубы, один на нижней челюсти справа гораздо ниже остальных, выглядело очень некрасиво. Я решила исправить ситуацию брекетами. Но, когда пришла на прием к стоматологу и мне сделали снимок, оказалось, что именно этот зуб врос в кость челюсти. Поэтому брекеты тут не помогут. Врач предложил поставить коронку. Мне ее сделали из металлокерамики, натурального цвета. Наконец-то я могу свободно улыбаться!»

Светлана, пациентка стоматологической клиники (г. Москва).

Советуем прочитать: Причины первых зубов у малышей

Стоит помнить, что анкилоз проще устранить на начальном этапе его развития. Поэтому посещать стоматолога следует регулярно – особенно это касается детей в период формирования молочного прикуса и последующей смены на постоянный.

источник

Вас что-то беспокоит? Вы хотите узнать более детальную информацию о Анкилоза зубов, ее причинах, симптомах, методах лечения и профилактики, ходе течения болезни и соблюдении диеты после нее? Или же Вам необходим осмотр? Вы можете записаться на прием к доктору – клиника Euro lab всегда к Вашим услугам! Лучшие врачи осмотрят Вас, изучат внешние признаки и помогут определить болезнь по симптомам, проконсультируют Вас и окажут необходимую помощь и поставят диагноз. Вы также можете вызвать врача на дом. Клиника Euro lab открыта для Вас круглосуточно.

Как обратиться в клинику: Телефон нашей клиники в Киеве: (+38 (многоканальный). Секретарь клиники подберет Вам удобный день и час визита к врачу. Наши координаты и схема проезда указаны здесь. Посмотрите детальнее о всех услугах клиники на ее персональной странице.

Если Вами ранее были выполнены какие-либо исследования, обязательно возьмите их результаты на консультацию к врачу. Если исследования выполнены не были, мы сделаем все необходимое в нашей клинике или у наших коллег в других клиниках.

У Вас ? Необходимо очень тщательно подходить к состоянию Вашего здоровья в целом. Люди уделяют недостаточно внимания симптомам заболеваний и не осознают, что эти болезни могут быть жизненно опасными. Есть много болезней, которые по началу никак не проявляют себя в нашем организме, но в итоге оказывается, что, к сожалению, их уже лечить слишком поздно. Каждое заболевание имеет свои определенные признаки, характерные внешние проявления – так называемые симптомы болезни. Определение симптомов – первый шаг в диагностике заболеваний в целом. Для этого просто необходимо по несколько раз в год проходить обследование у врача, чтобы не только предотвратить страшную болезнь, но и поддерживать здоровый дух в теле и организме в целом.

Если Вы хотите врачу – воспользуйтесь разделом онлайн консультации, возможно Вы найдете там ответы на свои вопросы и прочитаете советы по уходу за собой. Если Вас интересуют отзывы о клиниках и врачах – попробуйте найти нужную Вам информацию в разделе Вся медицина. Также зарегистрируйтесь на медицинском портале Euro lab, чтобы быть постоянно в курсе последних новостей и обновлений информации на сайте, которые будут автоматически высылаться Вам на почту.

источник

Анкилоз зуба — заболевание, при котором зубной корень сращивается с альвеолой (углублением в челюстной кости, где расположен зуб). Выделяют также анкилоз височно-нижнечелюстного сустава (ВНЧС) — сращение его костей и снижение двигательной возможности.

Обычно проблема характерна для моляров — жевательных зубов. Должен насторожить тот факт, что у ребенка не выпадает молочный зуб. Из-за его сращения с костью он попросту не может легко отделиться от альвеолы, как это бывает в норме, и остается в ней.

В дальнейшем челюсть ребенка начинает развиваться неправильно. Зуб располагается заметно ниже остальных в ряду, а соседние зубы развернуты под углом по отношению к нему. Это приводит к значительным проблемам прикуса, невозможности нормально сомкнуть зубы. Зуб-антагонист на противоположной челюсти из-за отсутствия нормальной жевательной нагрузки постепенно расшатывается и выпадает.

Анкилоз зуба имеет и другие варианты развития. Молочный зуб может не до конца прорезаться, как бы затормозив в своем развитии. Также рост молочного зуба может иметь сильную задержку, из-за чего на его месте не может нормально развиваться постоянный зуб. В итоге временный зуб выпадает, а постоянный оказывается сращенным с челюстью.

Данная проблема возникает не только у детей, но и у взрослых. Сращивание височно-нижнечелюстного сустава происходит постепенно. Анкилоз челюсти выражается в ее ограниченной подвижности: пациент не может до конца раскрыть рот, чувствует, что в суставе что-то мешает, жалуется на боль в нем. Становится тяжелее следить за гигиеной рта, на последних жевательных зубах образуется кариес. Часто возникают нарушения дыхания, храп во сне, проблемы с дикцией.

Анкилоз может передаваться генетически. Причиной могут стать заболевания периодонта, препятствующие его нормальному развитию. Нередко проблема возникает при гиподентии — недостатке зубов в зубном ряду.

Анкилоз сустава может возникнуть в результате травмы, в том числе длительной неподвижности челюсти из-за пребывания в гипсе. Также причиной может стать артрит, воспалительный процесс в ротовой полости, осложненный нагноением.

Лечить анкилоз традиционными ортодонтическими методами (брекетами) невозможно, так как зуб крепко врастает в кость и его нельзя поставить в правильное положение. Однако вернуть функциональность зубам или суставу вполне реально. В каждом конкретном случае опытные ортодонты «СМ-Стоматология» подберут индивидуальное решение, результатом которого станет правильный, эстетичный зубной ряд.

Пациент проходит рентген-диагностику — дентальную компьютерную томографию с 3D-функцией на современных аппаратах Galileos и Vatech. Детальные панорамные снимки дают возможность врачу грамотно спланировать лечение.

Если неправильно растущий зуб не мешает соседним, скорректировать прикус можно с помощью искусственных коронок из металлокерамики, керамики или диоксида циркония. Их надевают на предварительно обточенный зуб и надежно закрепляют стоматологическим цементом. Изготавливают коронки по индивидуальным слепкам в сертифицированных лабораториях, с которыми напрямую сотрудничает «СМ-Стоматология». Проблему не до конца прорезавшегося зуба решает хирург-стоматолог.

Челюстной анкилоз лечат чаще всего хирургически: врач удалит лишнюю фиброзную ткань и восстановит подвижность сустава. Для закрепления результата понадобятся лекарственная терапия и физпроцедуры.

Навсегда избавиться от анкилоза проще всего на начальном этапе развития заболевания. Поэтому при первых симптомах следует обратиться за квалифицированной помощью в «СМ-Стоматология»: через онлайн-форму на сайте или по телефону +7 (495) 777-48-06.

источник

При анкилозе кости сращиваются между собой, что приводит к блокированию подвижности суставов. С точки зрения стоматологии может наблюдаться анкилоз ВНЧС (височно-нижнечелюстного сустава) и зубной, при котором срастаются зубы с костью. Чаще всего это заболевание наблюдается у мужчин. Его лечением занимаются врачи-ортодонты и хирурги: первые обеспечивают прикус, приводя его в правильное состояние, а вторые оперативным путем устраняют анкилоз ВНЧС, убирая развившиеся в суставе нарушения и обеспечивающие его подвижность.

  • если сустав был травмирован;
  • если имела место длительная неподвижность, к примеру, после наложения гипса;
  • в результате воспаления или начала гнойного процесса;
  • как последствие артрита.

Если сустав сросся после разрушения находящегося в суставе хряща, рядом с ним появляется нарост на кости. Он соединяет кости сустава, что проводит к его неподвижности. При анкилозе появляются проблемы с дыханием, западает язык, начинается апноэ, храп, вследствие снижения уровня гигиены развивается зубной камень, что может привести к развитию кариеса и иных заболеваний в полости рта. Устраняется анкилоз ВНЧС исключительно хирургическим путем.

Суставные поверхности сращиваются постепенно – если суставной хрящ получает повреждения и разрушается, вокруг него начинает развиваться соединительная ткань, формируя нарост. В конце концов, сустав приобретает патологические изменения, кости срастаются между собой, и наступает неподвижность. И без вмешательства скальпеля хирурга дело уже не обойдется.

Советуем прочитать: Признаки при резанье зубов у грудничка

С анкилозом зубов зачастую приходится встретиться, если их количество неполное. Этот врожденный дефект может привести к срастанию зубов и костей. Возможны и иные причины возникновения заболевания. Например, если своевременно не выпадает молочный зуб или коренной не начинает формироваться. Корень зуба при этом может срастись с альвеолярным отростком, и зуб имеет уменьшенную высоту. В таких случаях лучше всего помогает установка искусственной коронки, позволяющая откорректировать зубы и исправить прикус.

Пациент, у которого развилась такая форма анкилоза, не способен полностью открыть рот, причем ему все труднее это делать. Рентгеновский снимок показывает, что сформировавшаяся фиброзная ткань оставляет нечетко видимую суставную щель, которая смотрится прерывистой.

При костном анкилозе ВНЧС мыщелковый отросток соединяется со скуловой дугой. При этом полость сустава заполняется костной тканью. Этот тип анкилоза бывает полным либо частичным, при котором на суставных поверхностях остаются нетронутые места. При поражении только одного из двух суставов лицо приобретает несимметричный вид. Если же поражены оба сустава, верхняя челюсть перемещается вперед, подбородочный отдел ниспадает, в результате чего нарушается прикус, и проблемы возникают не только с зубами, но и с речью и дыханием. Твердую пищу такой человек ест с большим трудом. При полной форме заболевания щель сустава при рентгеноскопии не просматривается, мыщелковый отросток кажется более широким, чем в нормальном состоянии.

Причиной развития анкилоза ВНЧС в детском возрасте может оказаться проникновение инфекции в кровь новорожденного, из-за чего появляются гнойники в костях и суставах. Может анкилоз стать и следствием травмирования, перелома мыщелкового отростка и вывиха нижней челюсти. Полость сустава при этом заполняется кровью, и начинается гемартроз. В подобном случае ребенку затруднительно принимать пищу, и возможно появление общей задержки развития организма.

Устранением данного заболевания занимаются врачи-ортодонты и специалисты челюстно-лицевой хирургии. В результате анкилоза может остаться недостаточно развитой нижняя челюсть, нарушается прикус, который приходится исправлять докторам.

Врачи при этом удлиняют поврежденную нижнюю челюсть и возвращают ей подвижность. Параллельно производится корректировка прикуса. После принятия данных мер лицевой скелет получит условия для нормально развития и роста, будет восстановлено полноценное дыхание, вернется нормальная речь и способность жевать пищу.

Когда заболевание только начинает развиваться, возможно применение терапевтических средств — воздействие ультразвуком и внутрисуставные инъекции гидрокортизона. Под наркозом выполняется редрессация, в суставе устраняются фиброзные сращения, и с помощью прилагаемого усилия раздвигаются челюсти.

Если анкилоз ВНЧС приобретает стойкий характер, проводится хирургическое вмешательство, после которого осуществляются процедуры ортодонтического характера. Вмешательство хирурга устраняет у пациента косметические недостатки, и нижняя челюсть начинает нормально функционировать. Анестезия при подобной операции требует повышенного внимания, поскольку не исключены трудности с интубацией. В некоторых случаях для ее проведения приходится применять трахеотомию.

Во избежание вторичного возникновения анкилоза, после проведения операции нижняя челюсть фиксируется специальными шинами, организуются косметические процедуры, жевательные мышцы массируются. Когда все придет в норму, пациентом занимается врач-ортодонтолог, исправляющий прикус окончательно.

источник

Вас что-то беспокоит? Вы хотите узнать более детальную информацию о Анкилоза зубов, ее причинах, симптомах, методах лечения и профилактики, ходе течения болезни и соблюдении диеты после нее? Или же Вам необходим осмотр? Вы можете записаться на прием к доктору – клиника Euro lab всегда к Вашим услугам! Лучшие врачи осмотрят Вас, изучат внешние признаки и помогут определить болезнь по симптомам, проконсультируют Вас и окажут необходимую помощь и поставят диагноз. Вы также можете вызвать врача на дом. Клиника Euro lab открыта для Вас круглосуточно.

Как обратиться в клинику: Телефон нашей клиники в Киеве: (+38 (многоканальный). Секретарь клиники подберет Вам удобный день и час визита к врачу. Наши координаты и схема проезда указаны здесь. Посмотрите детальнее о всех услугах клиники на ее персональной странице.

Если Вами ранее были выполнены какие-либо исследования, обязательно возьмите их результаты на консультацию к врачу. Если исследования выполнены не были, мы сделаем все необходимое в нашей клинике или у наших коллег в других клиниках.

У Вас ? Необходимо очень тщательно подходить к состоянию Вашего здоровья в целом. Люди уделяют недостаточно внимания симптомам заболеваний и не осознают, что эти болезни могут быть жизненно опасными. Есть много болезней, которые по началу никак не проявляют себя в нашем организме, но в итоге оказывается, что, к сожалению, их уже лечить слишком поздно. Каждое заболевание имеет свои определенные признаки, характерные внешние проявления – так называемые симптомы болезни. Определение симптомов – первый шаг в диагностике заболеваний в целом. Для этого просто необходимо по несколько раз в год проходить обследование у врача, чтобы не только предотвратить страшную болезнь, но и поддерживать здоровый дух в теле и организме в целом.

Если Вы хотите врачу – воспользуйтесь разделом онлайн консультации, возможно Вы найдете там ответы на свои вопросы и прочитаете советы по уходу за собой. Если Вас интересуют отзывы о клиниках и врачах – попробуйте найти нужную Вам информацию в разделе Вся медицина. Также зарегистрируйтесь на медицинском портале Euro lab, чтобы быть постоянно в курсе последних новостей и обновлений информации на сайте, которые будут автоматически высылаться Вам на почту.

источник

Нарушение регенерации периодонтальной мембраны после различных патологических процессов (периодонтиты, пародонтиты, травматические перегрузки) может приводить к существенным нарушениям опорной функции периодонта зубов, а в ряде случаев к анкилозу зуба — костному сращению корня зуба с альвеолой [2, 3, 6].

При этом происходит гибель периодонта и включение цемента корня в остеобластические и остеокластические процессы в альвеолярной кости [7]. Причины анкилоза молочных зубов полимодальны, и существует несколько теорий его возникновения:

  1. Генетическая обусловленность (семейное заболевание). Анкилоз чаще встречается среди братьев и сестер.
  2. Гиподентия постоянных зубов.
  3. Нарушение физиологического равновесия между резорбцией и репарацией костной ткани возле корней зубов.
  4. Травма зуба.
  5. Токсическое воздействие на периодонт (неправильное применение резорцинформалинового метода).
  6. Идеопатический анкилоз (причину патологии выявить не удается).

Проблема нормализации окклюзии при анкилозе молочных зубов заслуживает пристального внимания стоматологов [2]. Анкилозированные молочные зубы после прорезывания оказываются в состоянии ретенции, в то время как по мере прорезывания соседних зубов рост альвеолярного отростка продолжается. В таких случаях эти зубы выглядят как «вколоченные» и располагаются ниже (на нижней челюсти) и выше (на верхней челюсти) окклюзионной плоскости [1, 5]. Также костные анкилозы молочных зубов препятствуют нормальному их выпадению, а следовательно, и прорезыванию постоянных зубов (рис. 1).

Рис. 1. Ортопантомограмма пациентки, 32 лет (анкилоз 53, 65 и ретенция 13, 25 зубов).

Чаще всего подвергаются анкилозу молочные моляры, особенно нижние [2, 4, 6].

Цель исследования: нормализация окклюзии при анкилозе молочных зубов с помощью ортопедического лечения.

В связи с поставленной целью в период с 2008 года по 2012 год на ортопедическое лечение было взято 23 ребенка в возрасте от 4 до 8 лет с анкилозом 28 молочных моляров. Преимущественно это были анкилозированные молочные моляры на нижней челюсти — 60,7 % (17 зубов). Для нормализации окклюзии 6 детям было изготовлено и зафиксировано на стеклоиономерный цемент 9 индивидуальных штампованных тонкостенных коронок из металлических гильз толщиной 0,14 мм.

У 15 детей для ортопедического лечения было применено 17 стандартных стальных коронок для молочных зубов производства 3M ESPE. Двоим детям были изготовлены 2 штифтово-культевые вкладки с последующим их покрытием двумя цельнолитыми коронками (рис. 2, 3).

Советуем прочитать: Болел зуб выдернули а боль не проходит

Рис. 3. Рентгенограмма 85 анкилозированного зуба с гиподентией 45 зуба у пациента 4 лет после проведенного эндодонтического и ортопедического лечения с использованием штифтово-культевой вкладки и искусственной коронки.

Все дети были взяты на диспансерное наблюдение и регулярно (2 раза в год) приглашались на профилактический осмотр состояния полости рта.

У всех детей независимо от того, какая ортопедическая конструкция применялась, в первые дни на окклюзиограммах наблюдались суперконтакты зубов, покрытых искусственными коронками. Через 4—6 дней в связи с функциональной перестройкой периодонта молочных неанкилозированных зубов-антагонистов наблюдался ровный окклюзионный контакт между всеми зубами.

У 3 детей на этапах диспансерного наблюдения произошла расцементировка искусственных коронок, что не представило никаких сложностей в том, чтобы зафиксировать их обратно. По мере приближения физиологической смены все молочные анкилозированные зубы удалялись, чтобы не препятствовать нормальному прорезыванию постоянных зубов. Лишь у 4 детей по ортодонтическим показаниям, в связи с гиподентией постоянных зубов, анкилозированные молочные моляры были оставлены на более продолжительный срок.

Своевременное ортопедическое лечение анкилоза молочных зубов с применением искусственных коронок позволяет нормализовать окклюзию у детей, а также способствует профилактике возникновения деформаций и зубочелюстных аномалий в период роста зубочелюстной системы ребенка.

источник

Проблема: пациентка проходит ортодонтическое лечение у Барановой О.А. Один зуб короткий, но он сросшийся с костью (анкилоз зуба), и сдвинуть его брекетами невозможно. Необходимо решить вопрос эстетики на период ортодонтического лечения.

Решение: на период ортодонтического лечения выполнена прямая художественная реставрация материалом светового отверждения Spectrum.

Пациентка обратилась в Семейный стоматологический к ортодонту Барановой О.А. Жалобы пациентки – неровные зубы, передний короткий зуб, который особенно портил внешний вид. После проведения комплексной диагностики выяснилось, что короткий зуб – это анкилозированный зуб. Помимо анкилозированного зуба у пациентки диагностирована скученность зубов, а также нарушение прикуса (глубокий прикус).

Анкилоз зубов – это сращение цемента зуба с костью челюсти. Зуб накрепко сидит в челюсти, его невозможно сдвинуть и трудно удалить не повредив кость. При анкилозе зуб обычно выглядит короче и нарушает эстетику передних зубов. Зуб, противоположный анкилозированному, выталкивается вверх, а остальные зубы меняют наклон в сторону проблемного зуба. При анкилозе зуба изменить длину с помощью брекетов нельзя, так как отсутствует периодонтальная связка, которая участвует при передвижении зубов брекетами (об этом подробно рассказано в статье О.А.Барановой « Как происходит перемещение зубов »). Для изменения эстетики проводится коррекция коронками.

В разработке плана лечения принимали участие врач-ортодонт Баранова О.А. и стоматолог-ортопед Цукор С.В. Ортодонтические проблемы решено исправить с помощью брекетов (пациентка выбрала лингвальные брекеты Инкогнито) и аппарата Гербста. Короткий зуб на период ортодонтического лечения предложено удлинить с помощью художественной реставрации, а после выравнивания всех зубов и исправления прикуса будет решаться вопрос комплексной эстетической реставрации. Стоит отметить, что после ортодонтического лечения достаточно часто требуется эстетическая коррекция, так как на зубах, занимавших неправильное положение, после лечения становятся заметнее неравномерно стертые края, несимметричные углы и т.п. У рассматриваемой пациентки уже заметны проблемы неровного края нижних зубов, неодинаковая форма вторых резцов, дефекты эмали. Все это можно будет устранить при помощи эстетической коррекции после ортодонтического лечения.

Перед началом ортодонтического лечения проведена гигиеническая подготовка зубов – снятие зубного налета и зубного камня. Профессиональная чистка зубов от налета немного изменяет цвет зубов, делая их светлее, и реставрация зубов проводится после чистки, что обеспечивает более точный подбор цвета. Чистку зубов провела гигиенист Смирнова Е.П.

Ортодонт Баранова О.А. зафиксировала индивидуально изготовленные по слепкам с зубов пациентки брекеты Инкогнито и несъемный аппарат Гербста. На время эстетической коррекции аппарат установлен не полностью, чтобы удобнее было проводить коррекцию.

Стоматолог-ортопед Цукор С.В. нарастил зуб за 1 час, используя материал для прямой художественной реставрации зубов Спектрум (Spectrum). Такой способ восстановить эстетику зубного ряда, удлинив короткий зуб материалом светового отверждения, является достаточно надежным, быстрым и недорогим. Нарастить зуб методом прямой художественной реставрации стоит 5400 рублей. Материал Спектрум имеет отличные эстетические свойства и обладает необходимой прочностью.

Ортодонт Баранова О.А. окончательно установила всю необходимую ортодонтическую аппаратуру.

Работа ортодонта и стоматолога-ортопеда в одном здании значительно упрощает для пациентов решение сложных ситуаций. В данном случае установка аппаратуры и художественная реставрация зуба проводились согласованно по времени, в один день.

Другие примеры художественной реставрации зубов, выполненной специалистами «Диал-Дент» смотрите тут.

источник

  • Врачи+
  • 1 410 сообщений
  • Пол: Мужской
  • Город: Екатеринбург

Вопрос к клубу знатоков. Как его теперь достать и чем? Кто что посоветует из инструментария? Ибо длины боров уже тупо не хватает тут. Апекс дистального корня вплотную с каналом, что тоже может добавить ощущений)) Пациентке 15 лет.

  • Врачи+
  • 241 сообщений
    • Пол: Мужской
    • Город: Dp

    Сообщение отредактировал Romanson: 17 июня 2020 — 09:38

  • Врачи+
  • 1 861 сообщений
    • Пол: Мужской
    • Город: Москва
  • Врачи+
  • 1 410 сообщений
    • Пол: Мужской
    • Город: Екатеринбург

    А можно подробнее что произошло? Апекс каналу вреда причинить не должен тк не кривой, обламаться не должен, форма защищает от проталкивания в канал, тк есть расширение к коронковой части. Попробуйте отпустить пациентку, встретиться через 3 дня — должно пойти проще. Из инструментов мне кажется самое то будут пьезохирургические решения.

    Направлена на удаление 3.6. По ходу выяснил, что анкилоз. Пьезы нет(((

  • Врачи+
  • 1 410 сообщений
    • Пол: Мужской
    • Город: Екатеринбург

    Тупо, но аккурвтно берешь фрезу линдеман из имплантационного набора и высверливаешь.

    На этом жизнь фрезы, видимо, закончится))

  • Врачи+
  • 1 861 сообщений
    • Пол: Мужской
    • Город: Москва
  • Врачи+
  • 1 861 сообщений
    • Пол: Мужской
    • Город: Москва
  • Врачи+
  • 241 сообщений
    • Пол: Мужской
    • Город: Dp
  • Врачи+
  • 1 410 сообщений
    • Пол: Мужской
    • Город: Екатеринбург
  • Врачи+
  • 298 сообщений
    • Пол: Мужской
    • Город: Украина
  • Врачи+
  • 991 сообщений
    • Пол: Мужской
    • Город: Москва

    Сообщение отредактировал колесников: 17 июня 2020 — 11:56

  • Врачи
  • 30 сообщений
    • Пол: Мужской
    • Город: Moscow
  • Врачи+
  • 491 сообщений
  • Врачи+
  • 6 563 сообщений
    • Пол: Мужской
    • Город: Тольятти/Спб
  • Врачи+
  • 1 342 сообщений
    • Пол: Мужской
    • Город: СПб

    Вестибулярно обпилить, там только кость. Корневой/двусторонний элеватор. Под контролем увеличения. Медиально и дистально ослабить как Колесников советует.

  • Врачи+
  • 1 342 сообщений
    • Пол: Мужской
    • Город: СПб

    Взять бор длинее (у nti есть длинные хирургические для турбины/повышайки 31мм длина)

  • Врачи+
  • 61 сообщений
    • Пол: Мужской
    • Город: Kiev

    Что б не плодить темы. Был недавно случай, фрактура зуба 3.6 (корни длинные), распилил сразу по бифуркации, хотел аккуратно убрать по отдельности. При удалении медиальных и дистального корня просто обламывал по кусочкам глубже и глубже, удалил таки, но достаточно травматично.Никак не мог заклинить элеватор между костью и зубом. Вопрос: как поступаете в таких случаях, убираете бифуркацию, пилите пикой корень вокруг, что б поддеть или убираете часть кортикалки апроксимально?

    P.s такие ситуации возникают в многокорневых зубах с фрактурой, когда корни »стабильные», просто скалываются фрагменты глубже и возникает еще больше проблем. Как поступаете при удалении таких зубов?

    Сообщение отредактировал Fatal: 17 июня 2020 — 22:46

  • Врачи+
  • 241 сообщений
    • Пол: Мужской
    • Город: Dp

    источник

    Анкилоз ВНЧС у детей: причины и лечение

    Возникновение анкилоза ВНЧС у детей может быть спровоцировано попаданием инфекции в кровь новорожденных, в результате в суставах и костях возникают гнойники. Также анкилоз может проявиться как последствие травмы, при которой ломается мыщелковый отросток и происходит вывих нижней челюсти, в полости сустава собирается кровь и происходит гемартроз. Поскольку получать нормальную пищу в такой ситуации невозможно, велика вероятность возникновения у ребенка общей задержки развития.

    Устранение данного заболевания — задача ортодонтов и челюстно-лицевых хирургов. Анкилоз приводит к тому, что нижняя челюсть остается недоразвитой, и докторам приходится иметь дело с нарушением прикуса. Врачи должны удлинить травмированную челюсть и вернуть ей подвижность. Одновременно с этим необходимо провести коррекцию прикуса. Эти меры станут базой для дальнейшего нормального роста и развития лицевого скелета, восстановления полноценного дыхания и возвращения нормальной речи и жевания.

    Анкилоз зубной

    С анкилозом зубов зачастую приходится встретиться, если их количество неполное. Этот врожденный дефект может привести к срастанию зубов и костей. Возможны и иные причины возникновения заболевания. Например, если своевременно не выпадает молочный зуб или коренной не начинает формироваться. Корень зуба при этом может срастись с альвеолярным отростком, и зуб имеет уменьшенную высоту. В таких случаях лучше всего помогает установка искусственной коронки, позволяющая откорректировать зубы и исправить прикус.

    Анкилоз ВНЧС: лечение

    На первых этапах развития анкилоза ВНЧС используются терапевтические процедуры, такие как ультразвук и инъекции гидрокортизона, которые делаются в суставы. Также под наркозом выполняют редрессацию, устранение фиброзных сращений в суставе с раздвижением челюстей под воздействием внешней силы.

    Стойкий анкилоз ВНЧС устраняют только в ходе хирургической операции. Затем проводятся ортодонтические процедуры. Хирургическое вмешательство позволяет избавить пациента от косметических недостатков и вернуть нижней челюсти полную функциональность. При операции особое внимание уделяется анестезии, так как при данном заболевании могут возникнуть трудности с интубацией вплоть до необходимости провести ее посредством трахеотомии.

    Чтобы не допустить повторного возникновения анкилоза, нижняя челюсть после операции фиксируется шинами и специальными средствами, проводятся косметические процедуры, массаж жевательных мышц. После пациенту необходимо посетить ортодонта, чтобы окончательно исправить прикус.

    Методы лечения

    На начальной стадии развития анкилоза возможно применение консервативных методов лечения: электрофорез и инъекции гиалуронидазы и гидрокортизона; механотерапия; ультрафонофорез. После нескольких курсов физиотерапии может быть предпринята попытка редрессации — принудительное раздвижение челюстей (проводится под наркозом).

    Хирургическое лечение анкилоза ВНЧС показано при стойкой фиброзной или костной формах. Цель операции заключается в восстановлении нормального функционирования нижней челюсти и коррекции лицевой деформации. Существует несколько вариантов операций при неподвижности ВНЧС:

    1. Остеотомия с атропластикой.
    2. Остеотомия нижней челюсти с последующим скелетным вытяжением.
    3. Костная пластика ветвей нижней челюсти ауто- или аллотрансплантатом.

    Объем и характер вмешательства определяется степенью деформации челюсти и лицевого скелета.

    В послеоперационном периоде нижнюю челюсть фиксируют внутриротовыми шинами или ортодонтическими конструкциями, задача которых состоит в предупреждении рецидива. В период реабилитации используются механотерапия, физиотерапия, массаж мышц челюсти.

    Этапы удаления

    Если зуб мудрости уже прорезался, никаких подготовительных процедур стоматолог может не проводить. Если же предстоит удаление непрорезавшейся или частично прорезавшейся «восьмерки», врач обязательно направляет пациента на рентген. И уже по результатам снимка составляет план операции. Ее продолжительность зависит от сложности процедуры. Просто удаление займет 5 – 10 минут, сложное продлится в течение 20 – 160 минут.

    Простое удаление

    • 1 этап. Подбор анестетика.
      Врач интересуется наличием аллергии у пациента, опрашивает его о хронических и перенесенных заболеваниях.
    • 2 этап. Проведение анестезии.
      При удалении верхнего зуба мудрости, обезболивание подействует уже через 3-4 минуты. Если предстоит удаление нижней «восьмерки», придется подождать 8-10 минут.
    • 3 этап. Собственно, удаление или экстракция «восьмерки».
      Врач захватывает зуб щипцами или элеваторами, и извлекает его из лунки.

    Если удаление проводилось на фоне воспаления, стоматолог промоет рану антисептическим раствором, и заложит в лунку противовоспалительный препарат. В большинстве случаев операция заканчивается ушиванием раны. Так она заживет быстрее, а риск кровотечения заметно снизится.

    Простое удаление зуба мудрости занимает от 1 до 10 минут. При этом десна не надрезается, а зуб не высверливается, а просто извлекается из костной ткани.

    Отзывы пациентов

    Отзыв 1

    Перед описанием процедуры я хочу сказать о своём болевом пороге. Я НЕ переношу боль. Вообще! ЛЮБУЮ!!! Например, перед лечением кариеса прошу сделать мне 2 обезболивающих укола. И вот однажды стал болеть зуб мудрости. Я стойко терпела! Но терпению пришёл конец! Пришлось идти в клинику.

    Сев в кресло, я, как обычно, попросила сделать 2 укола и морально приготовилась к истязаниям:) Вместо того, чтобы меня хоть как-то поддержать и приободрить, врач сказала: — Ндааа… а зуб-то в недоступном месте! К нему и не подлезешь!!!

    Затем она попросила меня открыть пошире, потом ещё шире, затем ещё и ещё… Мне казалось, что уголки рта у меня уже порвались, а врач всё просила сделать «рот пошире»! При этом приговаривала «Что же тут делать-то…» и пыталась подцепить зуб клещами.. Эти попытки продолжались минут 5. Особой боли не было, было просто неприятно от того, что врач никак не могла подцепить зуб и страшно от ожидания развязки. В конце концов, я попросила: — Может быть я уже пойду?!!! Если уж она подцепить зуб не может, то ЧТО будет дальше?! К моему глубокому удивлению, врач даже не стала меня уговаривать остаться и завершить процедуру. Она просто сказала: — Идите!

    Ну ни фига себе:) Раньше со мной такого ещё не было. Обычно врачи уговаривают: — Ну потерпите… Если пришли, то нужно потерпеть. А тут на тебе — идите… Я спрашиваю: — И что теперь делать? Мне в ответ: — А ничего! Полощите! И не ешьте ничего 2 часа. И весь день не употребляйте горячего. — Почему??? — А потому что ранка должна затянуться. — Так вы мне зуб УДАЛИЛИ??? — Да!

    Вот так вот! Пока я готовилась к «средневековым пыткам» и многочасовым мучениям, специалист сделала своё дело! БРАВО!!! Я была в восторге! Через пару часов заморозка стала отходить и боль вернулась. Она была терпима, полоскания помогали. Через несколько дней боль прошла, а вот ранка затягивалась, наверное, целый месяц! Боль была слабая и тупая… Немного ныла десна и как будто что-то тянуло. Но всё закончилось благополучно! Заросло всё ровно.

    Отзыв 2

    Один из четырех зубов врос в десну и там начал гнить. Поэтому когда я пришла к своему любимому стоматологу диагноз был один — зуб мудрости нужно удалить. Я честно даже испугаться не смогла, как мне уже поставили анестезию и хрупкий стоматолог начал дергать мне зуб.

    По ощущениям я не могу сказать, что это больно, нет анестезия хорошо действовала, но вот ощущение было, я чувствовала как зуб берут щипцами, как его тянут и даже удивилась, как мой хрупкий врач вытащил этот коренастый зуб. Вырывался он тяжело с боем, но для профессионалов нет проблем.

    Десна после этого конечно немного кровоточила, мне были назначены средства для полоскания полости рта, что бы все быстрее заросло. Десна у меня зажила уже через день. Никакого дискомфорта по поводу отсутствие зуба мудрости я не почувствовала.

    Поэтому могу точно сказать, что не так страшен черт, как его малюют. Да было неприятно, но не больно и это можно было потерпеть. И если придется удалять остальные зубы мудрости, я ни капли не расстроюсь и не испугаюсь. Так как в этой процедуре нет ничего страшного.

    Виды заболеваний височно-нижнечелюстного сустава

    Самыми распространенными заболеваниями височно-нижнечелюстного сустава являются:

    • Вывих сустава. Является результатом нарушения взаимного расположения челюстей при мышечных нарушениях. Сопровождается щелчками, болью при открывании рта, смещение составляющих сустава (головки и диска). Различают несколько типов смещения суставной головки: гипермобильность, функциональные нарушения (растяжение связок), подвывих головки. Смещением суставного диска называют: вывих диска (проявляется щелчком), подвывих диска (незначительное смещение, незаметное для пациента), выпадение суставного диска
    • Артрит. Острый артрит характеризуется болью в височно-нижнечелюстном суставе, ограничение движений нижней челюсти, припухлость сустава, повышение температуры тела

    Височно-нижнечелюстной сустав

    • Артроз. Характеризуется нарушением в движении челюсти (при открывании рта зигзагообразное движение нижней челюсти), болью в суставе, ушах, жевательных мышцах. При движении появляются щелчки, хруст. Артроз связан с травмами, воспалительным процессом, обменными нарушениями
    • Анкилоз. Вызывается травмами и инфекционными заболеваниями. Основной симптом – ограничение движения нижней челюсти. В случае гнойного анкилоза в детском возрасте, появляется асимметрия лица, неправильный прикус, многочисленный кариес. При стойких изменениях в суставе может произойти полная потеря движения
    • Мышечно-суставная дисфункция. Для нее характерны боль в височной области и ухе, возрастающая во время жевания, блокирование нижней челюсти, щелчки во время движения челюстью, асимметрия лица. Может быть объяснена эндокринными и психоэмоциональными факторами. Приводит к развитию артроза

    Большое значение для постановки диагноза заболевания височно-нижнечелюстного сустава имеет рентгенография, с помощью которой определяется строение сустава и его нарушения.

    Больно ли удалять зуб мудрости снизу

    Отзывы об удалении нижних зубов мудрости очень противоречивы. Одни рассказывают о совершенной безболезненности операции, другие вспоминают минуты, проведенные в кресле, с содроганием. Дело в том, что при удалении зуба мудрости снизу ощущения пациента напрямую зависят от профессионализма врача.

    Так, инфильтрационная анестезия на верхней челюсти проводится в десну в районе корня зуба мудрости. А в случае с нижней «восьмеркой» стоматологу приходится делать укол с внутренней стороны челюсти. Проведение такой анестезии технически сложнее, и, увы, не все дантисты владеют ею в совершенстве.

    Если используются современные анестетики, а врач – профессионал своего дела, боль во время удаления нижнего зуба мудрости полностью исключена.

    Немного больно может быть при введении анестетика. Не купируются неприятные ощущения, если в районе зуба мудрости уже образовался гнойник. Но в особо сложных случаях стоматологом может быть принято решение об использовании общего наркоза.

    Симптомы

    При этом заболевании пациенты жалуются на невозможность открыть рот на достаточную ширину, что затрудняет прием пищи и вызывает нарушение четкости речи. Такие больные вынуждены питаться жидкой либо полужидкой пищей, которая проходит сквозь щель между зубными рядами либо имеющимися дефекты зубных рядов. Банальная рвота у таких пациентов может стать причиной гибели вследствие асфиксии.

    В том случае, если заболевание развивается в детском возрасте, оно может сопровождаться деформацией лицевого скелета, аномалиями зубов, неправильным прикусом, нарушением прорезывания зубов. Односторонний анкилоз ВНЧС может сопровождаться смещением средней линии лица в сторону поражения и развитии перекрестного прикуса. При двустороннем поражении отмечается смещение подбородока кзади, формирование микрогении и недоразвития нижней трети лица.

    У пациентов с этим недугом может отмечаться нарушение дыхания, затруднения или невозможность проведения полноценной гигиены полости рта.

    Какие средства применяют для обезболивания

    Еще несколько десятилетий назад единственным обезболивающим препаратом дантистов был новокаин. Несмотря на свою малотоксичность, он очень часто вызывал у пациентов серьезные осложнения: начиная от аллергической реакции и заканчивая анафилактическим шоком.

    Следующим шагом стало применение лидокаина. Он по сей день используют в бюджетных стоматологических кабинетах, и имеет неоспоримый плюс: аллергия на препарат возникает крайне редко. Проблема в другом: чтобы продлить действие лидокаина стоматологу приходится добавлять к нему каплю адреналина. Причем делается это «на глаз». И стоит только руке врача чуть дрогнуть, и пациенту гарантированы такие неприятные симптомы, как учащенное сердцебиение и головокружение.

    Гораздо комфортнее и врачу, и пациенту стоматологической клиники иметь дело с анестетиками артикаинового ряда. К ним относят:

    • убистезин
      ;
    • ультракаин;
    • септанест
      .

    Во-первых, такие препараты вводятся карпульным шприцом, что гарантирует малую болезненность самого укола. Во-вторых, соотношение адреналина и анестетика в препаратах выверено до миллилитра. А значит, и удаление зуба мудрости пройдет безболезненно, и пациент не испытает никаких побочных эффектов.

    Важно! Если пациент относится к группе риска, рекомендовано применять анестетик, в составе которого нет адреналина.

    Причины возникновения

    В большей части случаев причины формирования анкилоза ВНЧС кроются в остром или гнойном воспалении сустава, а также вирусном или бактериальном поражении близлежащих тканей. Иногда болезнь развивается на фоне предрасположенности пациента или в связи с воспалением артрита или артроза.

    К другим часто встречаемым причинам развития болезни относят:

    • вирусное или бактериальное воспаление ЛОР-органов;
    • артрит ВНЧС;
    • остеомиелит нижней челюсти;
    • остеомиелит околочелюстных флегмон;
    • гнойный или острый отит среднего уха;
    • мастоидит.

    В отдельных случаях болезнь развивается в связи с сепсисом новорожденных, который протекает с формированием гнойного воспаления в суставах или костных тканях.

    Помимо этого, костный анкилоз ВНЧС может сформироваться из-за родовой травмы или удара. Провоцирующими факторами признаны:

    • падение с большой высоты;
    • огнестрельные ранения;
    • ДТП;
    • бытовая травма.

    В таких ситуациях возможно развитие недуга на фоне перелома мыщелковой части или из-за вывиха данной сфере.

    Любая травматизация нижней области лица рано или поздно провоцирует деформацию хрящевой ткани. На стадии диагностики можно заметить разрастание соединительной ткани, которое в последствии сильно уплотняется. Затем в данной области образуется рубцовая ткань плотного сложения. Сращение и становится причиной костного анкилоза ВНЧС.

    Причины анкилоза височно-нижнечелюстного сустава

    Этиология болезни может быть первичной и вторичной. В последнем случае на возникновение анкилозирующих изменений влияют иные первичные состояния, развивающиеся в данной области: гнойное воспаление сустава, некротические процессы в костном аппарате, болезни внутреннего уха гнойного характера.

    В истории болезни у детей и у подростков чаще всего говорится об инфекционном происхождении анкилоза ВНЧС. Виной тому – попадание в кровоток инфекционных патогенов, ставших источником начала гнойных процессов в органах и суставном аппарате.

    Инфекция в крови у взрослых людей возникает на фоне сопутствующего инфекционного процесса, например, скарлатины, дифтерии, гонореи. Среди источников патологии у взрослых людей – развитие первичной патологии в рядом лежащих костях или суставах (шейного, грудного отделов).

    Реже анкилоз возникает после травмирующего фактора, который повлек за собой сращение его поверхностей. Например, при прямом ударе в ВНЧС происходит перелом кости, кровотечение, развитие гемартроза.

    Заболевание у новорожденных может возникать после тяжелой родовой деятельности, в процессе которой использовали медицинские щипцы. Нередко на развитие болезни влияют иные хронические заболевания, протекающие в данном отделе или в рядом расположенных областях.

    Рейтинг
    ( 2 оценки, среднее 4 из 5 )
    Понравилась статья? Поделиться с друзьями:
    Для любых предложений по сайту: sto247@cp9.ru