Temporary crown on an implant - improved aesthetics or necessary protection?


What is a crown on an implant and in what cases is it installed?

A crown on an implant is a single prosthesis mounted on a single titanium rod. After implantation, it is possible to use three types of prostheses - bridges for a segment of 3-5 teeth in a row, complete ones - to replace a full row, and single crowns to replace one tooth, respectively.

Why are crowns used? They are installed on implants, which replace single included defects and give the restored tooth a complete shape. These may be 1-2 adjacent elements or defects in several places in a row. It is also possible to replace an area of ​​4–5 teeth with implants, followed by the installation of crowns on each rod.

Zirconium dioxide crown on an implant for all 50,000 rubles.

Alpha Bio or MIS implant (Israel), individual zirconium abutment, gum former, impression taking.
Creation of a Prettau zirconium crown using 3D modeling technology. Consultation with 2 doctors: an orthopedist and an implantologist for free! Call now or request a call

Opening hours: 24 hours a day - seven days a week

When replacing the entire dentition, a complete fixed prosthesis is created, which can be fixed on 4–12 implants. In addition to a number of crowns, it also contains a soft base - artificial gum, into which a metal reinforcing beam is built-in. Some designs do not have artificial gum.

Two crowns are not installed on one implant. If two units are lost in a row, then they are replaced not with a double crown, but with two implants, on each of which a prosthesis is later installed. An option in this case could also be a bridge, supported by two living teeth on one side and the other, but this is not always possible. Living teeth and implants are also not combined.

How much does an abutment cost?

Design of installing a crown on an implant

In most cases, implant manufacturers produce entire sets of abutment systems for each model.

The more expensive the implant, the greater the choice of abutments to which it is attached and the possibilities of combining them.

Average cost of one piece for:

  • A standard titanium abutment costs around 3,600 rubles.
  • Anatomical titanium abutment from RUB 5,000.
  • Abutment made of plastic no more than 3200 rubles.
  • Titanium individual abutment from RUB 4,800.
  • Zirconium abutment from RUB 17,000.

Important! The cost for this type of dental structure is determined taking into account the material used, the type and subtype of the abutment, the angle of inclination and the method of its manufacture.

Abutment installation diagram

What materials are single prostheses for implants made from?

Modern dental crowns are made from various materials, but not all can be used in conjunction with implants. For example, ceramic dentures on artificial metal roots are not fixed1. Ceramics is a too fragile material that can simply crack due to excessive pressure from the metal abutment. Uncoated metal ones are also not recommended, since they are not aesthetically pleasing enough and wear down the enamel of adjacent living teeth. But the combination of metal and ceramics is already possible. What such products look like can be judged from the photo.

What materials can crowns be placed on implants:

  • metal ceramics are the best option in terms of price and quality ratio. The metal-ceramic construction looks aesthetically pleasing and has a fairly long service life. The base of such crowns is made of metal, and the outer covering is made of ceramic, which gives the product an excellent appearance,
  • metal composite and ceramic composite: dentures from the first are a metal base with an applied lining made of a composite material - photopolymer. The latter are created from a material that includes both ceramic and composite particles. Ceramic composite structures are strong and quite durable, at the same time maintainable and aesthetically pleasing,
  • plastic and metal-plastic: metal-free products are often used as a temporary option that will last no more than 2-3 years. Plastic products are more flexible than prostheses made from other materials, therefore they allow optimizing the load on the implant. In addition, they are quite easy to adjust directly in the oral cavity. This option is considered temporary due to the fragility of the plastic coating: the plastic absorbs all the dyes, can wear off and deform, and also break off from the metal. Moreover, this is the most inexpensive type of prosthetics on implants,
  • zirconium dioxide: the most durable structures, will last at least 15–20 years. In 10 years you won’t have to think about changing dentures. They are the highest quality, natural and natural. The most aesthetic design can be obtained by using zirconium dioxide abutment. Due to complex production and material processing features, this solution is one of the most expensive.

If there are already metal elements in the oral cavity, for example other dentures, it is recommended to choose a similar metal for installing crowns on implants in order to avoid unpleasant galvanic syndrome (the exception is inert titanium and gold alloys).

Characteristics of crowns

A crown is a structure that covers the affected tooth, replacing the missing, affected part. It provides a cosmetic effect and partially restores function. Dental crowns are a kind of covering; they are installed singly or as a bridge structure.

Varieties

Crowns differ depending on the materials from which they are made. In modern dentistry, dental structures made of the following materials are used for prosthetics: precious metals, metal-ceramics, ceramics, plastic, metal, metal-plastic, zirconium.

Its operational and aesthetic qualities, durability and cost depend on the type of material.

Advantages

Installation of crowns is the most popular and affordable type of prosthetics today, as it has a number of undeniable advantages. Let's look at what is better than a crown and what are its advantages:

  • Installation does not require tooth extraction and is performed directly on it, after preparatory measures. In this regard, an implant is not always better than a crown.
  • A properly placed crown can restore the affected tooth and its function, which is better than removal.

  • The cost of even the most expensive crown is several times lower than the cost of an implant. The choice of material allows you to choose the appropriate option based on your financial capabilities.
  • Crowns look aesthetically pleasing.
  • Installation of the structure is carried out quickly, in 1-3 sessions.
  • Prosthetics with crowns does not require serious surgical intervention and long-term rehabilitation.
  • Crowns are easy to care for and do not require additional medical procedures during operation.

Based on these advantages, you can evaluate the features of different types of dentures and make a final decision - an implant or a crown.

Flaws

A crown cannot be compared to a dental implant and is inferior to it in many respects. Disadvantages of crowns:

  • A dental crown has a limited lifespan, which varies depending on the material.
  • Crowns are less durable than implants.
  • Installing a crown often requires grinding and depulping adjacent teeth, and this, in turn, will one day lead to the need to remove them.
  • Food debris can accumulate under the crowns and pathogenic microorganisms can develop that cause caries.
  • Crowns are less comfortable to use and not as durable as implantable structures.

When choosing an implant or crown, you need to familiarize yourself with the full list of disadvantages, study the rules for caring for the prosthesis in order to avoid possible side effects, complications and extend the life of the structure.

Contraindications for installation

Installation of crowns is not possible if there are contraindications, the full list of which must be familiarized to the attending physician.

Crowns cannot be installed if there is:

  • Allergies, individual intolerance to crown components.
  • Mobility of the dentition.
  • Periodontal damage.
  • Bite pathologies.

Permanent and temporary structures - what problems do they solve?

Products can be either temporary or permanent. Many patients, faced with prosthetics for the first time, are perplexed whether temporary crowns on implants are needed at all. They serve as an “intermediate link” until a durable structure is installed.

Immediate denture (temporary) up to 3 teeth - 7500 rub.

The price includes all manipulations and impressions.
Various prosthetic options are possible. Suitable even for children. Call now or request a call

Opening hours: 24 hours a day - seven days a week

This may be necessary in different situations, for example, if a delayed-load implantation protocol is used. In this case, it is impossible to immediately place a prosthesis: in order for the implant to be subjected to chewing load, it is necessary to wait for its complete osseointegration. This takes a lot of time - about 4-6 months, during which the aesthetic functions will be performed by a lightweight temporary crown removed from the bite.

Read more about this in the material “Why do we need temporary crowns on teeth - what they are and how long they are worn.”

Less time will be required when using the early loading implantation method. Then the permanent crown will be installed in 2–4 weeks. Temporary dentures are especially important during the healing period of implants in the smile area in order to hide the gaps that have formed in the dentition. Temporary structures are not designed for long-term use - a maximum of a year, because they are created from cheaper and less durable materials than the main structure.

Installation of a temporary or permanent prosthesis on the 3rd day after implantation, which is relevant for methods with immediate loading, is not carried out on single implants.

What is a crown?

This is a strong outer shell that is attached to dilapidated and supporting teeth. It is made from a variety of materials: plastic, metal, gold, ceramics, and metal-ceramics.


Crown on a tooth

It is installed in several cases:

  1. Complete destruction of the integrity and loss of the functional and aesthetic purpose of the tooth.
  2. Visible defects on the surface that have arisen as a result of complex dental diseases.
  3. High level of tooth abrasion.


Crown installation

It is attached to a dead tooth in which the nerve has previously been removed. It disappears over time, so it is advisable to install it in order to hide this defect in the oral cavity.

Among the advantages of the installation:

  • Low cost.
  • Fast production times.
  • Short period of time for installation.

Minuses:

  • It is inconvenient to eat.
  • Fragility.
  • To install, you need to grind down the tooth and remove the nerve.
  • There is a possibility of damage to neighboring teeth.
  • After consolidation, it is forbidden to chew hard foods in the future.
  • Unpleasant odor due to food residues getting under the product.
  • The presence of an outline along the edge of the gum.

Two methods of fixing crowns to implants

To secure a prosthesis made of any material to a metal rod, two methods of fixation are used:

  • cement, when the prosthesis and abutment are connected using a cement composition. The attachment of the structure to the implant is final, and if replacement is required, it will be difficult to remove without damaging it. It will not be possible to reuse the previous design,
  • screw, when the crowns are fixed on screws that are simply screwed into the abutment. The screw shafts are sealed and are not noticeable when finished. This is a more modern and more expensive method of fastening, which, if necessary, allows you to remove the structure and change or adjust it.

Both types of fixation are used today; their strength characteristics are approximately the same2. The choice of one or the other is determined by the initial situation and anatomical requirements. Which anchoring method is best depends on individual clinical conditions. At the same time, more and more specialists prefer the screw fastening method due to convenience and practicality.

Temporary plastic crown

A temporary crown for a tooth is made of special plastic - an inexpensive but reliable material.

Advantages of a temporary crown made of plastic:

  • The color of the material resembles the natural color of the tooth and looks aesthetically pleasing;
  • Low cost;
  • Speed ​​of production.

The disadvantages of plastic crowns include:

  • Susceptibility to discoloration due to smoking and consumption of coloring products;
  • The porous structure eventually begins to let pathogens through;
  • They quickly deform when placed on chewing teeth.

Important! This type of crown is intended for short-term use only and is absolutely safe when worn from several weeks to 2 months. The “older” the plastic crown, the more intense its negative properties appear.

Temporary acrylic crown

Despite the widespread use of plastic crowns, temporary structures made on the basis of acrylic have recently become increasingly popular.

Advantages of acrylic crowns:

  1. Higher wear resistance;
  2. Aesthetics, possibility of polishing and color correction;
  3. Speed ​​of production.

The disadvantages of acrylic crowns include their higher price compared to plastic ones and the ability to cause allergies.

Temporary crown on a tooth: manufacturing time

A temporary crown is made individually, taking into account the anatomy and degree of damage to the tooth. At the Levoberezhnaya Dental Clinic you can install temporary crowns made of high-quality material in the shortest possible time. The speed of production depends on the method, but in any case it will not take much time.

Manufacturing is carried out using one of two methods:

1. Direct method. It is advisable to resort to it for minor injuries, when the risk of complications is absent or minimal. Typically performed to install a temporary crown on a ground tooth.

It is carried out directly in the office with the help of a dentist, who applies a silicone impression to the damaged tooth. Based on the data from the finished impression, a crown from the selected material is formed, polished and brought into proper shape. Fastening is done using dental cement.

Thanks to the modern equipment of the clinic, a crown made using the direct method will be ready for installation in 1-2 hours and you will not have to walk around with a ground tooth for a day. However, although the temporary crown is a natural color, it may differ slightly from the color of your teeth.

2. Indirect method. As in the direct method, the size and shape of the future crown is determined by an impression, but the process itself is carried out by a technologist in a laboratory using precision instruments. Although the manufacture of a temporary crown using the indirect method takes more time - up to 2 - 3 days, the finished product completely replicates the structure of the jaw and is highly reliable, which is especially important for a temporary crown on an implant: during the manufacture of the structure, soft tissues damaged by implantation will have time to heal, and the accuracy of the proportions will ensure safe wearing of the crown for a long time.

Both methods are equally effective and absolutely painless.

How to care for temporary crowns


You will only wear temporary crowns for a short time. However, this period is extremely important for the correct implantation. By following the rules of care, you can avoid premature crown loss and infection.

Rules of care:

  1. Try to evenly distribute the chewing load between the teeth, avoiding food getting under the crown;
  2. Avoid hard and sticky foods for a while;
  3. Don't overdo it when brushing your teeth;
  4. When using dental floss, do not remove it with a sharp movement, but gently lower it, holding both ends.

Proper care of temporary crowns is an additional way to ensure the reliability and longevity of permanent crowns.

What to do if a temporary crown falls out

If the temporary crown has slipped out of place, the first thing you should do is call your doctor. Professional consultation will confirm or, conversely, refute the need to take urgent measures. Make an appointment to re-cement the temporary prosthesis. Disinfect the crown and try to carefully return it to its original position to limit the negative impact of the environment on the tooth and gums. Remove the loose crown when sleeping and eating to avoid accidental swallowing.

Stages of creation and installation of single prostheses on implants

The fabrication of the structure takes place in a dental laboratory. But before it is done, a lot of preparatory work is carried out. Even at the stage of planning implantation and before surgery, all the necessary information is collected to create a prosthesis. To do this, the patient goes through a series of procedures, namely:

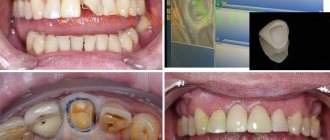
  • impressions are taken from the oral cavity (using impression material), or the oral cavity is scanned with an intraoral scanner to obtain accurate computer models of the jaw,
  • The resulting casts and photographs are used to model the future prosthesis, taking into account future implants. Advanced technologies, such as digital smile modeling, allow the patient to see and evaluate the future result on a computer in advance. At the same time, the color of future crowns is selected,
  • Then the dentures are made in a dental laboratory. High-precision equipment allows you to create ideal structures tailored to the patient’s bite parameters.

Read more about creating dentures using high technology in the articles “CAD/CAM technology for creating dentures” and “CEREC technology in dental prosthetics.”

The finished crown is placed on the implant using one of two fixation methods. If necessary, it can be adjusted to the bite immediately after installation or after a few days, when the patient gets used to the new prosthesis.

Principles of implantation

The installed product consists of three components - an implant, an abutment and a crown. Standard dentures are implanted in two stages. In this case, the crown itself is placed 2-3 weeks after the placement of the artificial root. It is worth remembering that the production of an abutment takes up to 14 days. Creating a crown also takes a lot of time.


Classic scheme

In addition to conventional dentures, basal implants are popular. They are used for one-step installation and already contain an abutment. A few days after the implant is implanted, a crown is put on.

In order to carry out such a procedure, strong bone tissue is required into which the root will be installed. This factor is very important, since with simultaneous implantation, a high load on the bone occurs on the first day.


One-stage implantation

Advantages of crowns on implants compared to relying on your teeth

Installing crowns on an implant, both on the chewing teeth and in the frontal area, has a number of advantages:

  • excellent fixation and comfort: implants are securely attached to the bone, completely merging with it, and prostheses are installed on them using a permanent method. Such dentures are absolutely motionless in the oral cavity and feel like natural teeth,
  • excellent aesthetics: dentures look much more natural than partial removable structures or dental bridges attached to adjacent teeth,
  • protection against bone tissue atrophy: implants allow you to load bone tissue in a similar way to natural roots, while the load from bridges is transferred only to the supporting teeth, and the bone under the dental bridge gradually decreases in size,
  • protection of living teeth in the oral cavity from damage during prosthetics: when fixing implants and installing dentures on them, natural teeth are not injured,
  • long service life: the service life of the implants themselves is practically unlimited and with hygiene and careful handling, as well as the absence of serious diseases of the body, implants can last until the end of life. The dentures themselves have a long service life (not counting metal-plastic), and even after their service life has expired, they can be replaced without damaging the tops of the implants,
  • Easy care: Hygienic care is the same as for natural teeth, that is, brushing, rinsing and using an irrigator to clean the spaces between the teeth. However, it is not recommended to overuse dental floss, so as not to disrupt the integrity of the soft tissues surrounding the top of the implant. Hygiene is the main factor influencing the service life of structures.

Among the disadvantages of this method of prosthetics, we can only note its rather high cost, which is due to the use of expensive materials and the use of high technologies in production.

What is a crown?

A dental crown is a dental microprosthesis that imitates the upper part of a tooth. Typically installed:

  • in order to eliminate defects that cannot be corrected with a filling or inlay;
  • to adjust the shape, position, color of teeth.

Dentists generally recommend placing crowns if:

  • the tooth is damaged by more than 60%;
  • it is necessary to supplement prosthetics carried out using bridge elements;
  • periodontal treatment is carried out through splinting;
  • installation of a crown is required for aesthetic reasons.

There are 2 stages of crown manufacturing:

  • clinical;
  • laboratory.

At the first stage, the doctor examines the patient’s teeth and takes impressions to make crown models. Pre-treatment of teeth is also carried out using the method that is optimal for installing a specific type of crown. At the second stage - in the laboratory - the impression is examined and a crown is made based on it.


Crown

The finished prosthetic element is then transferred to the dentist and installed on the patient’s tooth. In this case, the crown can be preliminarily examined for compliance with the patient’s wishes and the dentist’s recommendations regarding color and shape.

As a rule, after the doctor has selected the optimal parameters of the crown, it is returned to the laboratory for revision and glazing, and only after that it is placed on the patient’s tooth.

How much does it cost to put a crown on an implant?

The cost of implant prosthetics consists of many elements. Today there are clinics that offer patients dental restoration on an all-inclusive basis. The cost of implantation and prosthetics is taken into account, materials, the work of doctors and much more are taken into account. There are also dentists that share the cost of the implantation stages and the prosthetic stages. Therefore, depending on the pricing policy, the cost may vary significantly. On average, implant prosthetics for one unit will cost about 50 thousand rubles.

Installation of crowns or implants?

Many patients are interested in what is better: a crown or an implant, when there is a choice? Implantation involves inserting a titanium root into the place of a lost tooth, and classical prosthetics involves installing a crown on a natural tooth. Let's look at the advantages and disadvantages of these techniques.

From a functional point of view, implants are considered more reliable and durable. On the other hand, any dentist will tell you that you need to use every opportunity to preserve a natural tooth, or at least part of it. Each element of our dental system was created by nature for a reason, so such a volumetric intervention as implantation is a necessary measure. A correctly installed crown made of high-quality materials will last for many years and will look no less aesthetically pleasing than a similar product on an implant.

Implants

  • The most modern and reliable way to restore teeth.
  • The implant lasts from 15 years to life.
  • Bone tissue does not atrophy.
  • Functionally, it completely replaces a natural tooth.
  • High aesthetics (the final result depends on the professionalism of the doctor, the material of the crown, abutment and implant).
  • Very high cost. One implant and crown will cost from 35,000 to 70,000 rubles, depending on the manufacturer of the implant and the material used to make the prosthesis.
  • The presence of contraindications to implantation (diseases of the blood, central nervous system, immune system, malignant tumors, diabetes mellitus, etc.).
  • Long rehabilitation period. With classic two-stage implantation, treatment takes from 2 to 6 months.

Dental crowns

  • Preservation of the natural tooth (the crown covers the damaged part).
  • Bone tissue does not atrophy.
  • Reasonable price.
  • Fast recovery time (compared to implantation).
  • Good functionality and aesthetics (depending on the material of the prosthesis).
  • Shorter service life compared to a crown on an implant (on average 5 - 7 years for a classic metal-ceramic crown). Products made from solid ceramics and zirconium dioxide last longer.
  • Risk of tooth decay and dental diseases under the crown.
  • Difficulties may arise during re-prosthetics.

Taking impressions to make a crown –

There are 2 methods of taking impressions that are used when it is necessary to make artificial crowns for implants -

  • closed spoon method
  • open spoon method.

We will not explain their differences in detail, because... The article is written for patients, and the explanation will contain a lot of complex technical details. The “closed tray” method is simpler and more convenient for the doctor, but in essence it is only suitable for single implants or two implants that are installed as parallel as possible to each other. If you want to reduce the risk of poor-quality prosthetics, insist on the following method of taking impressions.

The “open spoon” method is much more difficult for a doctor, but it is also much more accurate. It should be used when there are several implants and/or they are located even at a slight angle relative to each other (and this always happens). This method cannot be used in only one case - when a crown must be made on an implant installed at the very end of the dentition, and the patient’s mouth opening is not wide.

Crown production time – installation of a crown on an implant takes on average 2-4 weeks. As a rule, it takes 1-2 weeks to order and wait with suppliers for the required types of abutments (if they are not in stock). And it will take about 1-2 more weeks to make the crown in a dental laboratory.

Terms of prosthetics –

The crown on the implant can be fixed at completely different times after the surgical stage of implantation, which will depend on the implantation technique. In implantology, there is even a special term “load on the implant,” which refers to the fixation of the crown on the implant. After all, it is after the crown is fixed to the implant that the chewing load begins to be transferred. The following permissible types of load (terms of prosthetics) are distinguished:

  • immediate loading (immediately after surgery or in the first 72 hours),
  • early exercise (interval 2-6 weeks),
  • late load (between 3-6 months).

The timing of prosthetics is planned by the doctor at the stage of planning the implant installation operation. First of all, these terms will depend on the density of bone tissue at the implantation site and the concomitant somatic status of the patient. Late loading is the safest, and it still shows the highest rates of implant survival (especially in patients at risk, for example, smokers).

Implantation methods and timing of prosthetics

  • A full immediate load on the implant is given when using the basal implantation technique, as well as when using the All-on-4 or Al-on-6 implantation techniques (they are used when there is a complete absence of teeth on the jaw).
    All these methods involve the installation of a temporary fixed bridge prosthesis made of metal-plastic already in the first 2-3 days after surgery. Another indication for immediate loading is single missing anterior teeth. In this case, a temporary plastic crown is installed on the implant immediately after surgery and is partially removed from the bite so that it does not experience significant chewing load.
  • One- and two-stage implantation techniques - with these implantation techniques, late loading on the implant is predominantly used, i.e.
    Prosthetics are carried out within a period of 3 to 6 months. The final duration of the period of osseointegration (engraftment of the implant) will depend on the density of the bone tissue, whether bone grafting was performed to increase bone volume, and on the patient’s health status. With a one-stage implantation technique, not only late, but also early loading on the implant can be used (within 2-6 weeks). This requires good bone density, no need for bone grafting or sinus lift, and no complicated somatic status. When planning early loading, it is advisable to use implant models with an ultra-hydrophilic surface, which allows for faster healing.

How to choose between implants from different manufacturers -

To learn about the characteristics of implants from different manufacturers, which implants have ultra-hydrophilic surfaces, and whether there are high-quality inexpensive implants, read the article:

→ How to choose the right type of dental implant

Rating
( 1 rating, average 5 out of 5 )
Did you like the article? Share with friends:
Для любых предложений по сайту: sto247@cp9.ru