Plastic surgery of the frenulum of the lip and tongue in adults


How does tongue frenuloplasty help children?

  1. normalization of sucking function in infants and, as a result, proper growth and development of the child;
  2. prevention of the development of dental anomalies;
  3. correction of malocclusion;
  4. correction of breathing and swallowing;
  5. prevention of speech therapy problems associated with sound pronunciation.

Plastic surgery of the frenulum of the tongue, upper and lower lips in children

For most parents, the abnormal condition of the child's tongue frenulum, upper and lower lips does not cause the same concern as, say, obvious jaw disorders or the formation of caries. However, deviations from the norm of these anatomical features of the structure of the oral cavity, if not given due attention, can become an obvious problem over time.

To figure it out and understand what the so-called frenulum is, just ask the child to open his mouth wider and look inside. Frenums are folds of the mucous membrane in the oral cavity, which are normally located along the midline, and provide additional attachment of the lips and tongue to the jaws.

So, in the oral cavity you will find 3 frenulums: the tongue, the upper lip and the lower lip.

The frenulum of the tongue is a vertical fold of the mucous membrane that runs from the lower surface of the tongue to the lower gum.

The frenulum of the upper lip is a vertical fold of the mucous membrane that connects the middle of the upper lip to the gum.

The frenulum of the lower lip is a vertical fold of the mucous membrane that connects the middle of the lower lip to the gum.

Experts consider shortening or thickening of the folds of the mucous membrane to be deviations from the normal state of the frenulum, for which surgical intervention is indicated.

Possible complications when shortening the frenulum of the tongue, upper lip and lower lip in a child:

  • When breastfeeding, the baby's sucking function is limited;
  • subsequently the process of chewing food deteriorates;
  • breathing and the formation of speech skills become more difficult;
  • a short frenulum of the tongue inhibits the development of the lower jaw, which leads to disruption of the position of the lower front teeth and the formation of malocclusion;
  • the risk of gap formation (diastema) between the central teeth increases;
  • a shortened frenulum of the upper lip forms an outwardly unaesthetic upper lip, exposing the front teeth;
  • leads to the development of gum disease (periodontitis);
  • wide and massive frenulums lead to the accumulation of food debris and the accumulation of plaque on the enamel.

You can prevent the development of possible complications and diseases in a child by performing dental frenuloplasty.

Indications and age for lingual frenuloplasty,

upper and lower lips

Indications for plastic surgery of the frenulum of the tongue and lips are determined by an orthodontist or speech therapist. The frenulum of an infant is a very thin avascular fold that can be easily trimmed with a sterile instrument. If sucking function is impaired in a newborn due to a shortened frenulum of the tongue, plastic surgery should be performed already in the first months of the child’s life. In this case, it can be performed by a neonatologist or pediatrician.

Plastic surgery of the frenulum of the tongue and lips is carried out, as a rule, after the appearance of permanent front teeth (4 incisors), that is, in children of preschool and primary school age. Indications for surgery are possible in both adolescents and adults in connection with the appointment of orthodontic treatment or the threat of developing periodontitis.

Plastic surgery of the frenulum of the tongue and lips: how is it done?

In modern surgical dentistry, 2 methods of frenuloplasty are used: instrumental and laser.

Advantages of using a surgical laser:

  • reduction of pain;
  • absence of postoperative bleeding;
  • no need for stitches and fast wound healing;
  • maximum sterility.

At the Martinka dental clinic, plastic surgery of the oral frenulum is performed by a pediatric orthodontist. This surgical operation is performed under local anesthesia for 20-30 minutes.

Our specialists provide comfort and the most effective results. This is especially important when it comes to children's health.

Signs of a short frenulum of the tongue may appear in the first weeks of a child’s life:

  • the child cannot grasp the mother’s nipple with his mouth or repeatedly “loses” it during feeding;
  • characteristic sounds of clicking, “clicking” of the tongue, restless behavior, and rapid fatigue may appear;
  • the child sucks out a volume of milk that is insufficient for saturation, which can cause poor weight gain and also lead to lactation problems, since such sucking does not stimulate milk production;
  • During feeding, the child tries to compensate for the tongue position that is insufficient to suck out milk, using only his lips, biting and chewing the breast with his gums, which can manifest itself as painful sensations and injuries to the nipple.

All these reasons can lead to the transfer of a child to artificial feeding, which for a baby is akin to a serious environmental disaster.

If the cause is identified immediately (optimally in the maternity hospital), it is necessary to urgently consult a dentist (in the first weeks of the newborn’s life) to perform an operation to cut the frenulum of the tongue (frenulotomy). The operation is completely painless and is carried out easily and quickly; even anesthesia is not required, since the child will not feel anything. The baby is immediately placed on the mother's breast.

Plastic surgery of the frenulum in newborns

A short frenulum is a common phenomenon. According to statistics, every 12th baby is born with one or another pathology of the frenulum. An experienced doctor can easily diagnose the problem and just as easily fix it. The operation takes only a few seconds: the doctor makes a small incision, and then, to calm the baby, he is put to the breast or given a bottle. The procedure is practically painless for the child and is performed both under local anesthesia and without it. Tissue restoration occurs quickly; after healing, the baby will not experience any discomfort in the oral cavity, and tongue mobility will return to normal.

The reception is being conducted


Akkuzhin Mark Ildarovich
Dental surgeon


Matveeva Elena Alexandrovna

Pediatric dentist, surgeon


Nenko Alexander Vladimirovich

Children's dentist, dental surgeon

At an older age, when the frenulum becomes denser, plastic surgery of the lingual frenulum (frenuloplasty) may be required. A speech therapist or orthodontist can refer you for this operation. The most modern method is to perform surgery using a laser. And even more modern is its correction using the methods of myogymnastics and elimination of impaired swallowing and breathing functions (in preschool children) using trainers.

But if surgical plastic surgery of the frenulum is still performed, then in our clinic it is only laser surgery.

This method has a number of advantages:

  • smaller volume of anesthetic;
  • the manipulation lasts only 10 – 15 minutes;
  • the edges of the wound are instantly “sealed” (due to gluing the end sections of the vessels under the influence of the laser), which prevents bleeding;
  • no need for stitches;
  • 100% sterility of the surgical field, which eliminates the risk of complications;
  • faster healing, facilitating the postoperative period.

Frenum plastic surgery

The operation of plastic surgery of the frenulum of the upper lip is carried out only after the child has completely erupted four incisors of the upper jaw (at 7-8 years old). The operation of plastic surgery of the oral vestibule is carried out after the complete eruption of four incisors of the lower jaw (at 8-9 years). These operations are also performed on older people (for example, adolescents or young adults) in connection with orthodontic treatment or the threat of developing periodontal disease.

The operation to lengthen the shortened frenulum of the lip is outpatient, performed under local anesthesia, and takes 15-20 minutes. At the site of the frenulum, sutures (applied with catgut) remain, which dissolve on their own over time.

It is important to note that the indications for plastic surgery of the frenulum of the tongue and lips are determined not by a dental surgeon, but by an orthodontist or speech therapist.

With a narrow frenulum, which, when the lip is retracted, is visible in the form of a transparent film and is not attached to the edge of the alveolar process, it is dissected in the transverse direction, applying sutures in the longitudinal direction. If the frenulum is wide, an incision is made along the crest of the tense frenulum with excision of the interdental papilla and tissues located in the bone space between the roots of the spread central incisors.

To prepare for surgery you must:

  1. cure all teeth from caries;
  2. take a course of prevention and improve hygiene;
  3. buy a special soft toothbrush, which will be needed only in the postoperative period;
  4. have your teeth professionally cleaned immediately before surgery;
  5. be sure to visit a myotherapist (preferably a week before the intervention) and learn how to do exercises for the tongue (this is exactly what a week is for), which will need to be done after the operation so that the tongue becomes mobile;
  6. treat the surgical area with ozone immediately before surgery;
  7. take a general blood test with hemosyndrome (clotting time) - the day before surgery.

It is very important that the child eats before the operation, because food can only be consumed after 2 hours.

After the operation, food should be soft (soups, cereals), not irritating (exclude sour, salty, spicy). Daily oral hygiene, as well as rinsing after meals with herbal decoctions (chamomile, calendula, sage) or ready-made antiseptic solutions, will allow you to go through the rehabilitation period faster and lead to speedy healing. After surgery, pain may occur, most often when the anesthesia wears off, and very often the next day after waking up. Therefore, it is possible to take painkillers (nurofen or any other analgesic familiar to the child, in an age-appropriate dosage).

The wound surface itself must be lubricated with Solcoseryl dental paste or use rosehip or sea buckthorn oil.

It is important to understand that plastic surgery itself cannot automatically lead to normalization of speech and increased tongue mobility. After surgical correction of the frenulum, classes with a speech therapist or myotherapist are necessary to overcome stereotypical habits and develop correct speech skills, and prevent scar formation.

If the child met a myotherapist a week before the operation and has already learned to perform the necessary exercises, the rehabilitation period will be successful and the result will be excellent!

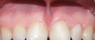
Short frenulum of the upper lip

Normally, the frenulum of the upper lip should be located at a distance of 5–8 mm from the neck of the upper incisors and extend beyond the lip. In case of deviations from the norm (if the frenulum is lower or attached behind the teeth), the frenulum must be trimmed, since a short frenulum of the upper lip can lead to many negative consequences, such as:

  • difficulties with breastfeeding;
  • bite deformation;
  • formation of a gap between the front incisors;
  • speech defects.

A short frenulum can cause the development of inflammatory processes in the oral cavity, since its excessive tension can injure tissues and provoke the development of gingivitis and periodontitis. The frenulum can change its attachment location as the child’s jaws develop, therefore, before permanent teeth appear, trimming the short frenulum of the upper lip is not a mandatory procedure.

Rating
( 1 rating, average 5 out of 5 )
Did you like the article? Share with friends:
Для любых предложений по сайту: sto247@cp9.ru