Острый локализованный катаральный гингивит


Что такое гингивит?

Гингивитом называется воспаление десны, при котором происходит покраснение ее слизистой оболочки, кровоточивость во время чистки зубов. Отличием этого заболевания является то, что связочный аппарат зуба не разрушается, симптомы являются обратимыми. Это отличает гингивит от других заболеваний десен (пародонтит, пародонтоз), которые неумолимо прогрессируют и неизбежно приводят к потере зубов. По сути, гингивит является начальной стадией воспаления, поэтому так важно начать его лечение как можно раньше.

Патогенез катарального гингивита

Механизм патологических изменений в десне можно кратко представить следующим образом. Для стадии раннего воспаления характерно проникновение в ткани десны большого количества (до 70% от общего количества клеток) лимфоцитов мелкого и среднего размера, а также полиморфноядерных лейкоцитом, макрофагов, плазматических и тучных клеток. Поэтому морфологическая особенность ранней стадии воспаления — именно плотные мелкоклеточные инфильтраты с преобладанием лимфоцитов на препаратах.

В здоровой десне Т-лимфоциты численно преобладают над В-лимфоцитами но всех её зонах.

При хроническом пародонтите в десне обнаруживают многочисленные В-лимфоциты и плазматические клетки. Чем тяжелее течение заболевания, тем выше содержание В-лимфоцитов и плазматических клеток, продуцирующих IgG, IgA, IgM.

Морфологически фаза установившегося воспаления характеризуется преобладанием в клеточном инфильтрате плазматических клеток, которые отражают иммунный ответ на повреждение.

В стадию установившегося воспаления наблюдают картину смешанного инфильтрата, состоящего из полиморфноядерных лейкоцитов, мелких и средних лимфоцитов, крупных плазматических клеток. Это свидетельствует о том, что в тканях одновременно наблюдается картина хронического и острого воспаления.

Главное отличие фазы прогрессирующего воспаления состоит в том. что плазматические клетки составляют до 80% всех клеток экссудата. Это свидетельствует о хронизации воспаления и активном вовлечении иммунных механизмов воспаления. Плазматические клетки — это конечный этап развития В-лимфоцитов, они обеспечивают гуморальный иммунитет путём активной выработки иммуноглобулинов. В очагах поражения пародонта количество плазматических клеток нарастает пропорционально тяжести процесса и степени разрушения тканей.

Причины и симптомы гингивита

Десна воспаляется из-за травмирующего фактора, которым в большинстве случаев являются твердые и мягкие зубные отложения. Врачи отвечают, что 80% жителей России несвоевременно посещают стоматолога, не выполняя профессиональную чистку полости рта. Поэтому подавляющее большинство пациентов имеют начальные проблемы с деснами, выраженные в той или иной степени.

Следующей по частоте причиной является наличие во рту дефектных пломб, имеющих сколы, зазоры. Острым краем такой реставрации можно не только повредить слизистую оболочку, но и вызвать воспаление прилегающего к ней десневого участка. Посещать стоматолога необходимо раз в полгода, чтобы вовремя подкорректировать пломбу. На сайте можно врачу, является ли конкретная реставрация провоцирующим фактором для гингивита, и нужно ли ее менять. Для этого необходимо прислать четкое фото зуба с пломбой и окружающей ее десной.

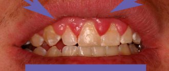
Главным симптомом гингивита является покраснение слизистой оболочки, окружающей шейки зубов. При чистке полости рта десны могут кровоточить, также нередко возникает боль, зуд и жжение в них. Характерным признаком является их отечность, увеличение объема, они кажутся как бы наплывающими на зубы.

Гингивит – симптомы и лечение у взрослых

Распространенными симптомами воспаления являются неприятные ощущения и кровоточивость десен, изменение вкуса, запах изо рта. При осмотре отмечается отек, утолщение десны и локальные очаги эрозии.

Лечение состоит из нескольких этапов. В первую очередь должны быть устранены очаги инфекции и твердые отложения. В период лечения следует пользоваться мягкими зубными щетками и пастами с противовоспалительным эффектом.

Противовоспалительная терапия проводится с применением растворов и мазей, но в некоторых более сложных случаях врачом может быть рекомендовано хирургическое лечение. Применение народных средств также приветствуется, но исключительно как дополнительная вспомогательная терапия.

Как отличить гингивит от других болезней десен?

Точно поставить диагноз гингивит может только врач-стоматолог после осмотра всех зубов, исследования специальным инструментом – пародонтологическим зондом, и выполнения рентгеновского снимка всей полости рта – ортопантомограммы. Однако некоторые особенности позволяют отличить гингивит от других болезней десен.

Пародонтит

При пародонтите происходит разрушение зубодесневых волокон, вследствие чего зуб начинает шататься. Это является главным отличием этих двух стадий. Однако нужно отметить, что в начальной стадии пародонтита пациент не всегда сможет увидеть небольшую подвижность зуба. Поэтому точно определить диагноз можно только на консультации пародонтолога.

Пародонтоз

Пародонтоз наступает вследствие нарушения трофики (питания) десны, из-за чего возникает ее истончение, она принимает бледный цвет. Шейки зубов начинают оголяться, вызывая повышенную чувствительность на холодные воздух, еду, питье. В отличие от гингивита, при пародонтозе отсутствуют симптомы воспаления слизистой оболочки – покраснение и отечность.

Гингивит

В большинстве случаев гингивит протекает без нарушения зубодесневого соединения. Если воспалена вся десна челюсти или обеих челюстей, то гингивит принял распространенный характер. Но чаще диагностируют локализованный гингивит, когда поражен незначительный отрезок десны. При ограниченном гингивите также имеются поражение близлежащих зубов. Если гингивитом поражены только десневые сосочки, то диагностируют папиллит, при поражениях всего десневого края говорят о маргинальном течении гингивита.

При остром гингивите имеются классические проявления воспалительного процесса — отечность, гиперемия, местное увеличение температуры тканей, болезненность и гиперсаливация. Отмечается кровоточивость десен, точечные кровоизлияния, иногда при гингивите могут быть изъязвления десен.

Хронический гингивит возникает вследствие длительного воздействия неблагоприятных факторов. И чаще всего его клиническая картина смазана. Основным проявлением хронического гингивита является гиперплазия десен, иногда десневой тканью покрыта вся коронка зуба, чего в норме не должно быть.

Для катарального гингивита характерна ярко-выраженная воспалительная реакция, присутствует покраснение и отечность десен. Воспаленная поверхность становится чувствительной к переменам температур. Некоторые пациенты при катаральном гингивите отмечают зуд и болезненность во время приема пищи.

При язвенно-некротическом гингивите на слизистой оболочке десен появляются изъязвленные участки и участки некроза. Десны резко болезненны. Из-за размножения гнилостной микрофлоры появляется галитоз – зловонное дыхание. Страдает общее состояние пациента: поднимается температура, иногда до фебрильных значений, увеличиваются регионарные лимфатические узлы. Из-за болезненности нарушается прием пищи, иногда при гингивите наблюдается стойкий отказ от питания (анорексия), нарастает общая слабость и симптомы истощения.

Гипертрофический гингивит клинически проявляется увеличением десневых сосочков, которые со временем покрывают большую часть зуба. На начальных этапах гипертрофический гингивит практически не проявляется, неприятные ощущения тоже отсутствуют. Гиперплазию тканей обычно замечают во время профилактического осмотра стоматолога. Но со временем, при отсутствии терапии, нарастает болезненность десен во время приема пищи и во время прикосновений. Чистка зубов для пациентов с гипертрофическим гингивитом становится тяжелопереносимой и болезненной процедурой, в результате они отказываются от ухода за полостью рта, в связи с чем присоединяется множественный кариес.

Помимо явлений гингивита и кариеса, присутствует неприятный запах изо рта, скопление зубного налета и зубного камня. Прием пищи становится резко болезненным. Особенно острая реакция наблюдается при приеме кислой, горячей и острой пищи. При атрофическом гингивите возникает атрофия десен. Уровень десны постепенно снижается, обнажается шейка зуба, а потом и его корень. Субъективно проявляется только болезненностью во время принятия холодной или горячей пищи.

Во время менопаузы у женщин часто развивается гингивит десквамативного характера. Образование кератинсодержащих клеток эпителия уменьшается, что проявляется увеличением проницаемости слизистой. Десны легко повреждаются, кровоточат и болезненны даже при незначительном прикосновении. Иногда явлениям гингивита предшествует образование пузырьков.

Гингивит не является самостоятельным заболеванием. В основном это одно из клинических проявлений пародонтита и пародонтоза, поэтому важно своевременно выявлять признаки гингивита и проводить терапию.

Лечение и профилактика гингивита

Лечение гингивита начинается с устранения его причин. В первую очередь пародонтолог проводит комплексную чистку полости рта – снятие твердого зубного камня ультразвуковым прибором, удаление зубного налета пескоструйным аппаратом, полировка эмали электрической щеткой с абразивной пастой. При необходимости врач научит пациента правильно чистить зубы, подберет индивидуальные средства личной гигиены (щетки, флоссы, ополаскиватели). Назначается сопутствующая терапия (ротовые ванночки хлоргексидином, мирамистином). Если причина воспаления кроется в некачественных пломбах, их шлифуют или переделывают. После выполнения этих мер симптомы гингивита исчезают за 2-3 недели.

Лечение гингивита

Важную роль в лечении заболевания играет правильная диагностика гингивита, поскольку патология имеет схожие симптомы с пародонтитом, стоматитом и пародонтозом. При проведении обследования в клинике Telo’s Beauty базовым диагностическим методом является вычисление индекса гигиены, которое осуществляется посредством специальных красящих препаратов. Их наносят на зубную бляшку и на основе визуализации устанавливают участки повреждения зуба и десны.

В качестве дополнительных диагностических мероприятий при гингивите используются:

  • определение кровоточивости десневой бороздки – проводится посредством пародонтальных зондов, позволяющих установить скрытые участки кровотечения;
  • рентгенограмма, с помощью которой врач может понять – выступает ли заболевание гингивитом или оно уже перешло в пародонтит;
  • ортопантомограмма – рентгенологическое исследование, направленное на изучение состояния корней и их зачатков.

После постановки диагноза назначается лечение гингивита, методы которого могут различаться в зависимости от формы заболевания.

Лечение острого гингивита

Важное место в терапии острого гингивита занимает противовоспалительное и антибактериальное лечение. Купирование воспаления осуществляется посредством ирригаций, полосканий и аппликаций с использованием лечебных мазей и гелей. Если положительная динамика отсутствует, назначают нестероидные противовоспалительные средства, которые позволяют снять воспаление и избавиться от симптоматики.

Чтобы устранить источник инфицирования, проводят удаление мягких и твердых отложений на зубах. Для этого применяют ультразвуковые скейлеры или ручные кюреты. Для предотвращения повторного образования налета, способного вызвать гингивит, выполняется полировка зубов, которую осуществляют посредством специальных вращающихся инструментов с последующим использованием полировочных паст.

Поскольку при неправильной гигиене ротовой полости высока вероятность повторного развития гингивита, пациента обучают уходу за зубами и подбирают индивидуальные чистящие средства.

Лечение хронического гингивита

Комплексные лечебные мероприятия при хроническом гингивите предусматривают устранение причин развития болезни и воздействие на патологические очаги. Для этого пациенту назначают:

  • местные противовоспалительные гели и мази;
  • витамины и средства для улучшения кровообращения в ротовой полости;
  • чистку зубов и удаление отложений;
  • лечение кариеса и удаление разрушенных зубов;
  • исправление прикуса и других аномалий, провоцирующих развитие гингивита;
  • электрофорез, УФО, лазеротерапию.

Лечение язвенно-некротического гингивита

Принимая решение, как вылечить гингивит в язвенно-некротической форме, врачи ориентируются на сочетание местных и общих терапевтических мероприятий. Пациенту назначают антибиотики, иммуномодуляторы, противоаллергические и общеукрепляющие препараты, а также проводят очищение язв и их обработку ранозаживляющими средствами. Обязательным пунктом в терапии гингивита является борьба с зубным налетом, предусматривающая чистку зубов и удаление отложений. После исчезновения язв выполняют лечение больных зубов.

Лечение гипертрофического гингивита

Гипертрофический гингивит лечится по аналогии с катаральным. При фиброзной форме используют те же методы, что и при хроническом катаральном гингивите, а при отечной применяют способы лечения острой катаральной формы. Поскольку во многих случаях консервативная терапия не дает должного эффекта, пациенту нередко проводят криодеструкцию гипертрофированных сосочков или их диатермокоагуляцию. Иногда показанием к лечению служит гингивэктомия – хирургическое вмешательство, в ходе которого иссекают разросшийся участок десны.

Лечение народными средствами гингивита

Лечение воспаления десен в домашних условиях возможно только совместно с профессиональными способами. Без последствий полностью избавиться от болезни невозможно, она будет периодически возвращаться. Пародонтолог на консультации может порекомендовать полоскание рта растворами трав. Плюсом этого метода является то, что его можно использовать неограниченное время, в отличие от хлоргексидина настои не нарушают состав нормальной микрофлоры полости рта.

Для приготовления домашнего средства используются сухие травы ромашки, календулы, коры дуба. 2 столовые ложки заготовки заливаются 500 мл кипятка, раствор выдерживается до получения комнатной температуры. После этого им можно пользоваться неограниченное количество, в идеале – 3 раза в день после приема пищи.

Профилактика

  • соблюдение гигиены полости рта
  • отказ от курения
  • использование электрических зубных щёток[16]
  • стоматологические гели с метронидазолом, например метрогил Дента
  • амбазон, 2,4-дихлорбензиновый спирт, амилметакрезол в виде таблеток для рассасывания
  • полоскание полости рта растворами содержащими хлоргексидин, пероксид водорода, этанол, тимол, цинеол, метилсалицилат, ментол, метилпарабен, бензалкония хлорид, фториды и ксилит. Последние научные исследования также показали благотворное воздействие жидкостей для полоскания рта с эфирными маслами[17]
  • применение зубных паст с триклозаном[18]
  • употребление препаратов кальция[19]

Указанные выше профилактические меры также используются и для лечения. Применение зубной нити нецелесообразно.[20]

Особые случаи гингивита

В некоторых случаях при лечении гингивита будут учитываться особые состояния организма, и лечение назначается исходя из этих факторов.

Подростковый период

В возрасте от 10 до 17 лет у детей часто возникает отек десны, ее покраснение. Как правило, это состояние сопровождается большим количеством мягкого зубного налета на эмали зубов. Причиной является гормональная перестройка организма, некачественная чистка полости рта, характер принимаемой пищи (сладкое, мучное). Гингивит подростков самостоятельно проходит к 18 годам и не требует особенного лечения.

Беременность

При беременности также меняется гормональный фон, десна сильно отекает, наплывает на зубы. Вопреки распространенному мнению, женщинам во время вынашивания плода можно и нужно снимать зубной налет ультразвуком, эта процедура никак не влияет на состояние здоровья будущего ребенка. После его рождения отек десны постепенно сходит на нет.

Этиология гингивита

Разберём, что такое гингивит. Как ранее отмечалось, гингивит — это воспаление тканей десны, без нарушения зубной связки, и образование патологических зубо-десневых карманов. Основной причиной этого воспаления является микробный фактор. Как известно, в мягком и плотном зубном налёте находится значительное количество микроорганизмов, в том числе и патогенных, что вызывают гингивит.

Кроме этого, изменение гормонального фона в период полового созревания или во время беременности, а также приём некоторых медикаментов, например, Нифедипина, Циклоспорина, иммуносупрессоров может вызвать изменение десневого края — гипертрофический гингивит. Воздействие внешних повреждающих факторов тоже приводит к повреждению десны: механические травмы, лучевые, химические или термические ожоги.

Диагностика язвенного гингивита

Диагностика не представляет особой трудности ввиду весьма характерного клинического течения заболевания и видимых изменений, которые происходят в ротовой полости пациента. Язвенный гингивит, лечение которого требует комплексного подхода, не требует специальных методов диагностики, но предполагает обследование пациента на предмет выявления общих заболеваний.

Пациенту назначают общие исследования крови и мочи, в которых могут наблюдаться некоторые изменения лейкоцитарной формулы, а также повышение показателя скорости оседания эритроцитов. Стоит заметить, что в дебюте заболевания клинические показатели могут быть в норме или незначительно от нее отличаться.

Требуется дифференциальная диагностика язвенного гингивита с некротическими поражениями и воспалительными процессами, которые возникают в деснах при различных аутоиммунных заболеваниях и ВИЧ-инфекции.

Лечение

Курс терапии состоит из следующих этапов:

  1. очищение. Очистка рта от бактерий – это первый этап лечения. С зубной эмали удаляется налет;
  2. противовоспалительный метод. Благодаря полосканию уничтожаются бактерии и загрязнения. Эта процедура проводится каждый раз после принятия пищи. Для полоскания применяются следующие средства: Фурацилин, Хлоргексидин и Фурамистин. Также применяются и растительные средства: настойка ромашки, календулы, цветы арники и так далее;
  3. повторный осмотр. После уменьшения симптомов, благодаря вышеперечисленной терапии, врач делает повторный осмотр ротовой полости. При необходимости назначает один из курсов лечения;
  4. хирургические вмешательства. Если на деснах присутствуют некротические участки, тогда проводится оперативное хирургическое вмешательство. Также этот метод терапии уместен при гипертрофическом гингивите;
  5. ортодонт. Ели после болезни присутствуют признаки деформации зубных рядов, в таком случае рекомендуется лечение у специализированного врача-ортодонта.

Лечение некротического гингивита предусматривает прием антигистаминных средств и диету, богатую на легкоусвояемый белок. Также врачи назначают прием витаминов и иммунно поддерживающих препаратов.

Рейтинг
( 2 оценки, среднее 4 из 5 )
Понравилась статья? Поделиться с друзьями:
Для любых предложений по сайту: sto247@cp9.ru