Installation of veneers Aesthetic dentistry


From the name it is clear that dental restoration implies correction of appearance, correction of existing deficiencies. Especially often, such manipulation is carried out in case of minor damage to the enamel, for example, if caries is observed at the stain stage. However, improving the appearance of the smile area often requires more serious treatment when the destruction reaches superficial, medium and even deep caries. Dental restoration is a very delicate process that requires the use of high-quality materials and the doctor’s jewelry skills. These are the dentists who work at the VivaDent clinic. Adults and children come to us without fear, knowing that thanks to the use of the latest generation anesthetics and innovative means for prompt, high-quality and inexpensive dental restoration, pain is eliminated. We invite Muscovites and guests of the capital to see this in person at any of our branches!

Navigation

  • Key recovery goals
  • Types of dental restoration
  • Advantages of composites
  • Advantages of veneers
  • Pros of lumineers
  • Features of teeth extensions
  • Materials used
  • Prevention of destruction

Key recovery goals

Patients sometimes themselves do not understand very well what they want from dental restoration. If, in the event of damage or injury, there is a visible chip or crack, then the reason for the appeal is clear. The doctor must restore the unit to its previous shape with maximum color matching with other elements. If you want to create a Hollywood smile, even with a healthy dentition, treatment is often not required; then microprosthetics using veneers or lumineers is used. Recently, more and more people are asking for hygiene procedures, in particular, whitening, which can also be considered as one of the methods of dental restoration. Modification of functional capacity is most often applied to the lateral units that experience the highest loads. Correction of appearance is especially important in the smile area; it is not without reason that not only public figures, but also ordinary people are increasingly seeking restoration of their front teeth. Thus, the main goals of the procedure are:

  • improvement of chewing functions, which contributes to more thorough grinding of food and normalization of the gastrointestinal tract;
  • elimination of interdental gaps by changing the position of the elements of the upper and lower dentition;
  • treatment of caries in the spot stage, as well as superficial, medium and deep caries with composite materials;
  • restoration of lost units or local fragments using plates or gel-like compositions;
  • creating a charming “Hollywood smile” using modern technologies.

REMEMBER! Healthy gums and a beautiful smile are a gift that, unfortunately, not everyone has. But there is no need to despair. If 30 years ago artistic and functional restoration of teeth required a lot of money, now anyone can improve their appearance without extra material costs.

Types of dental restoration

It is clear that the procedure for building up elements due to natural thinning differs from the manipulation of treating caries at the spot stage. Therefore, dental restoration is a broad concept that includes several areas of dental art. First of all, this is the treatment and restoration of the outer layer of enamel due to mechanical, chemical, and thermal damage. The second is aesthetic dentistry, which includes such common procedures as element extensions, microprosthetics using lumineers and veneers. Aesthetic restoration of teeth is a more labor-intensive task, requiring several visits to the doctor. In this case, specialists from a dental laboratory are involved, who make impressions for the installation of removable or non-removable structures. You can get rid of superficial, medium and deep caries in one visit. Depending on the time required, experts distinguish between two main types of dental restoration.

  • A direct method that involves restoring function in one visit to the doctor. It is mainly used to correct a defect in a local area of ​​an element using a composite material. Simply put, this is the same filling used for superficial, medium or deep caries, as well as caries in the spot stage, only with improved performance and aesthetic characteristics. The pros and cons of composites will be discussed in the next section.
  • An indirect method that involves the involvement of third-party specialists. The production and installation of veneers and lumineers is a striking example of this type of restoration of anterior teeth, which, as a rule, pursues artistic and aesthetic goals. However, we should not forget that competently performed veneering not only significantly improves the appearance, but also gives additional strength to the elements, prevents loosening and the formation of interdental gaps.

CURIOUS! Microprosthetics are used not only in the smile area. Many stars of show business, cinema, and sports, in particular Tom Cruise and Nicolas Cage, put veneers or Lumineers on their side elements. It is clear that the chewing load on them is higher, so crowns are used as a base.

Advantages of composites

Modern compounds used for dental restoration are distinguished by high strength, durability, and the ability to choose any shade. In this regard, many patients often go too far, wanting to have unnaturally snow-white units. The focus on media characters is commendable, but it is worth remembering that such elements require careful care, which requires time and money. Our clinic’s specialists are inclined towards the option of restoring teeth using natural-colored composites. Indications for the use of such compositions include many factors. Among them are caries in the spot stage, extensive lesions, pigmentation, and unusability of old fillings. The only disadvantage noted by experts is the gradual “eating” of the layer. Over 10–12 years, the material shrinks, as a result of which a repeat procedure is necessary. But the benefits of dental restoration using composites are much greater.

  • There is no need for deep grinding of the elements to the stump, which prolongs the life of the units and relieves the patient of discomfort.
  • The materials used are completely safe, have no contraindications and are perfectly integrated into the oral cavity.
  • The high strength of gel-like compositions virtually eliminates the possibility of scratches on the applied surface.
  • The latest generation polymers used to prepare composite compositions are able to withstand critical temperatures.
  • The ability to restore the aesthetic and functional role of the anterior and lateral units in one visit to the doctor attracts clients.

IMPORTANT! When restoring teeth using composite compounds, the doctor always has the opportunity to adjust the result. If there is a shortage of material, an additional layer is applied, and if there is an excess, the excess is ground off. The financial aspect is also a significant advantage. The procedure for restoring functionality in one visit to the dentist saves not only time, but also money for the client.

Features of the procedure

Before restoring a tooth, the doctor conducts an examination. It is important to answer all the specialist’s questions truthfully. If a woman is pregnant at the time of visiting the dentist, it is necessary to immediately warn about this. It should be noted that in this case restoration is not done under any circumstances, even if there are severe cracks, diastemas, and the like.

The recovery procedure has the following features:

  • photopolymers are prepared directly on the tooth being restored, on the day of the visit;
  • after the material has been applied, drying is carried out, which usually takes a little more than half an hour;
  • service life – more than 3 years;
  • By violating the doctor’s recommendations, a person can ruin the aesthetics of a tooth after just six months.

How is a tooth restored and given a beautiful, healthy appearance?

This is what the tab looks like.

The restoration process consists of 6 steps:

  1. Cleaning . Teeth, gums, and oral cavity are cleaned of plaque and dirt. A suitable tooth shade is selected for the patient. The patient is given anesthesia, and fillings that are in poor condition are removed.
  2. Installation of pins . This item is necessary when the tooth is more than 50% destroyed. It is important to ensure that the dentist removes the nerve before doing this.
  3. Isolation . The tooth being restored is completely cleared of saliva and prevented from entering until the process is completed.
  4. Enamel processing.
  5. The restoration process itself . At this time, the doctor restores the crooked tooth with photopolymer, applying it in several layers, each of which is thoroughly dried.
  6. Bonding : To complete the process, fluoride varnish is applied to the restored tooth.

Restoring crooked teeth, although expensive, is very important. When the curvature is formed, an incorrect bite and a crooked smile are formed.

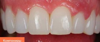
Advantages of veneers

Indirect dental restoration using the installation of the thinnest plates is in demand today not only by public figures, but also by ordinary people who dream of eliminating imperfections of elements. Veneering involves grinding down 0.5–0.7 mm, after which plates of the selected shade made from individual impressions are glued onto the polished surface. Dental restoration using this method involves processing from 4 to 10 units in a row, that is, a plate is not placed on a separate element. There are some contraindications for the installation of such structures: grinding gums (bruxism), pathological inflammation of soft tissues, a high degree of abrasion of hard tissues on which it is impossible to attach elements. In addition, the installation of onlays is not recommended in the presence of dentures made of hard materials. Otherwise, indirect dental restoration has many advantages.

  • The high aesthetic component of the procedure allows you to create a dazzling smile and hide imperfections.
  • Sufficient mechanical strength of the plates, resistance to temperature changes, and the influence of food coloring.
  • The tight fit of the plates protects the enamel from external influences, protects it from destruction, and prevents the penetration of bacteria.
  • The ability to bind together disparate elements, reducing loosening that occurs with age.
  • Elimination of yellowness, fluorosis, chips and microcracks resulting from damage and injury.
  • The possibility of covering not only the front part, which preserves the taste sensitivity of the units, but also “dressing” the tooth on both sides to increase strength.

NEED TO KNOW! Veneers can be ceramic, composite or zirconium. The former are distinguished by a higher aesthetic component and increased whiteness. However, ceramics is a rather fragile material. Polymer-based composites are characterized by a less attractive appearance, but are more practical and quite affordable. Zirconium guarantees the longest life of the plates.

Pros of lumineers

The procedure for restoring teeth using lumineers is more expensive. This is due to the fact that plates 0.2–0.3 mm wide are thinner than veneers, so their production while maintaining the same high performance properties is a more labor-intensive process. Lumineers are often used to hide pigmentation defects after treatment of caries in the spot stage. Indications for this method of dental restoration are other factors: erosion and damage to the enamel, the presence of cracks and chips, visible diastema (wide spaces between units), the presence of old and deteriorated fillings. Often, plates are considered as an alternative to braces, which is not inferior to well-known designs in terms of strength, and in appearance is completely ahead of them, allowing teenagers not to experience psychological discomfort. Among other obvious advantages of dental restoration using lumineers, the following factors are worth noting:

  • minimal turning of elements is required;
  • You can create a dazzling smile in 3 visits;
  • the overlays do not require special care;
  • the adhesive composition contains fluorine, which is beneficial for enamel;
  • there is no need to use anesthesia;
  • the materials do not cause allergies and take root well;
  • the plates serve flawlessly for 15–20 years;
  • the doctor can remove the structure at any time.

ON A NOTE! Making impressions in the laboratory takes from 5 to 10 days, depending on the complexity, configuration and volume. However, technologies are already emerging that make it possible to restore teeth using ultra-thin onlays in one visit to the doctor. Thus, miraculous prosthetics using the CAD/CAM system makes it possible to restore the former attractiveness of a smile in the shortest possible time.

What is restoration?

Before turning to a dentist for help, you should clearly understand what ceramic dental restoration is, what it is, and what it is needed for. Restoration is a procedure to restore the integrity of a tooth and give it an aesthetic appearance in case of defects such as diastema, chips, etc. This type of activity is considered to be artistic or cosmetic. People suffering from the following problems need restoration:

  1. Darkening of the enamel, change in shape, etc.
  2. Presence of cracks, chips.

Important! Restoration is strictly prohibited for young children, since during the procedure the tooth being restored must be completely isolated from saliva, and at this age a child cannot provide this.

With the help of ceramic dental restoration, you can correct the gaps between teeth and give your smile an aesthetic appearance.

In addition, restoration will be denied to those who have just lost their permanent teeth. There are a number of cases when the restoration procedure can cause harm:

  • allergic reactions;
  • lack of oral hygiene;
  • presence of diseased teeth.

It is important to know that canine defects greatly affect the formation of the bite and the ability to chew food thoroughly and painlessly. Therefore, in case of the slightest damage, it is necessary to obtain high-quality help from an orthodontist as quickly as possible.

If the health and condition of the teeth allows a person to undergo restoration, then together with the dentist it is necessary to choose methods of dental restoration.

Features of teeth extensions

One of the most popular types of dental restoration is tooth augmentation. This direct method is used for minor damage, for example in the case of superficial or intermediate caries. It is important that the area of ​​damage is no more than 25–30%. Dental restoration by extension can mean both partial restoration of a local fragment and complete correction of shape and color. The use of filling material is not always possible, so the most common option is to build it onto a pin, around which a composite composition is applied. This method of dental restoration is often used for children who cannot receive veneers and lumineers. Traditional options using inlays make it possible to preserve the nerve and pulp. Each method of dental restoration using extensions has its advantages.

  • Extension with filling has excellent aesthetic characteristics: the new element does not differ from its neighbors. The appearance can always be adjusted. As one of the direct methods of dental restoration, extensions are carried out during one session, which saves effort, time and money. Along with masking visual imperfections (stains, cracks, chips), the procedure strengthens the elements and promotes the healing of soft gum tissue.
  • Pin extensions are most often used in cases of severe damage. There are different options, shapes and materials for the base of a future crown, which allows you to approach the problem individually in each case. After an X-ray examination, 3D modeling is carried out, which allows doctors to assess the reliability of the future design, and the patient to assess the external attractiveness of the new element. After this, the rod is implanted into the root and a filling compound is applied.

ATTENTION!
The price of tooth restoration using extensions depends on many factors: the use of anesthesia, the materials used, the amount of work. In any case, this is one of the most reliable and practical methods of restoring the aesthetic and chewing functions of the dentition. Much depends on the doctor’s experience and the availability of modern equipment. The presence of knowledgeable specialists, the latest generation technology, safe anesthetics, and sterile instruments in any of the branches of the VivaDent allows us to successfully solve the most complex problems.

Restoring teeth using a crown

Crowns can strengthen and restore the shape of damaged teeth.

In particularly advanced cases, crowns are placed. The materials for this may vary. Ceramic dental crowns are most often used because they closely resemble natural teeth.

Moreover, such dentures are very durable and stable, they are not susceptible to scratches, chips and the formation of diastemas. This material can last up to 10 years, and there is no need to spend time and money on bleaching and professional cleaning.

Metal-ceramic prostheses are slightly inferior to ceramics, but due to the presence of steel or titanium in them, they cost an order of magnitude less. Plastic crowns are placed only when the patient needs a temporary solution to the problem. The service life of such material is no more than a year. Moreover, plastic is very susceptible to dyes, so with any exposure to them it will begin to darken and change color.

Crowns are made individually for each person within 1-2 weeks. After this, the prosthesis is measured, and if everything fits, then it is left for a week, secured with temporary cement. This is necessary in order to understand how the crowns fit and whether complications arise after their installation. If all is well, the prosthesis is firmly fixed.

Materials used

The cost of dental restoration directly depends on the materials used. Extension on a pin involves implanting a rod made of titanium, steel or fiberglass into the bone tissue. The first material enjoys well-deserved popularity due to its unique combination of low weight, amazing strength, and environmental safety. The alloy, widespread in various areas of the national economy, integrates perfectly into the oral cavity without causing side effects. Surgical steel is an equally common material for dental restoration, characterized by high resistance to mechanical and thermal stress. As for fiberglass, recently the carbon variety of nanomaterial, which has the ability to adapt to the structure and behavior of the patient’s soft tissues and evenly distribute chewing loads, has become increasingly in demand. When restoring teeth using traditional methods using crowns, various materials are also used.

  • Ceramics are an aesthetically beautiful solution that provides a snow-white smile and an attractive appearance. It requires careful care, is highly fragile and does not have a very long lifespan.
  • Metal is an obsolete material that is currently almost never used. However, in terms of strength characteristics it surpasses its competitors, so products made from alloys are still in demand.
  • Metal-ceramics is an intermediate and most successful option. Combines the attractiveness of the first and the reliability of the second material. The affordable price explains the high demand for metal-ceramic crowns.

FACT! Ceramics and metal ceramics, due to the addition of useful microelements and a tight fit, provide reliable protection of units from pathogenic microbes. Therefore, dentists consider ceramic crowns and veneers not only an effective aesthetic solution, but also a powerful preventive measure. According to doctors, people with such structures in their mouths after dental restoration are less likely to develop superficial, medium and deep caries.

Prevention of destruction

Nobody wants to visit the dental clinic one more time for dental restoration. However, statistics show that destruction of elements, ranging from caries at the spot stage to deep caries, is observed today in 75% of Russian residents. This is due to many factors. Smoking and alcohol, excessive consumption of carbonated drinks, sweets, natural and artificial dyes have a very negative effect. Of no small importance is genetic predisposition, as well as irregular oral care, which leads to the formation of plaque and tartar, which requires immediate dental restoration. But even after it’s done, you shouldn’t think that a charming smile will remain forever without any effort. Any patient can maintain an attractive appearance after dental restoration; you just need to listen to the doctor’s recommendations and regularly carry out simple preventive procedures. Dentists recommend:

  • after restoration, extension, installation of veneers or lumineers, see a doctor at least once every six months;
  • Be sure to brush your teeth twice a day, morning and evening; in the first 3 months after dental restoration, it is better to purchase a soft brush;
  • subsequently it is necessary to use dental floss, or better yet, special brushes that do not cause damage to the gums;
  • After each meal, use rinses without aggressive components; if they are absent, use ordinary, preferably boiled, water.

Simple precautions will help protect the elements restored during the dental restoration process. Crowns, composite materials, veneers and lumineers are effective ways to restore aesthetic and chewing functions, the choice of which remains with the specialist. The VivaDent clinic employs qualified doctors with higher education who spare no time in studying innovative trends. Dentistry is progressing by leaps and bounds, and it is gratifying that our company is a trendsetter in Russia today. Powerful medical equipment, the presence of our own laboratories in each branch, and the use of high-tech materials allow us to solve the most complex problems in the field of dental restoration. We even take on those cases that are refused in other places, because we are confident in our abilities. Our employees generously share their optimism with patients who know: visiting the VivaDent clinic for dental restoration will leave only positive emotions and give you the opportunity to smile dazzlingly!

Veneer and crown: what are the differences?

Crowns are good because they completely restore the ability to chew food. That is, you can eat whenever you want, with any teeth. However, patients who decided to use this method of prosthetics claim that the ability to feel food has sharply decreased.

People say that while eating they no longer feel like they are eating at that moment. Veneer plates are more suitable for those people for whom the beauty of their teeth is important. This type of restoration is practically invisible, and it is possible to understand that a person used the services of a dentist and restored his tooth only after a thorough examination of the oral cavity.

Veneers are thin coverings on the front surface of teeth.

Rating
( 1 rating, average 4 out of 5 )
Did you like the article? Share with friends:
Для любых предложений по сайту: sto247@cp9.ru