How to care for removable dentures

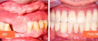
Removal one or more teeth causes a person moral and physical discomfort.
A smile is not only beauty, but also health: the functioning of the dental system is directly related to the functioning of the gastric tract.

To solve such problems, dental clinics manufacture removable, fixed or partially removable dentures.

They fill in the missing elements and restore the ability to smile broadly.

How to properly care for them and how to clean dentures - learn about this from the article.

Why do dentures need special care?

You should know! Failure to properly care for structures leads to the following consequences:

  • darkening and dullness. Drinking bright drinks, tea or coffee, or smoking leads to a gradual accumulation of colored pigment on the surface of the prosthesis;
  • the appearance of carious cavities in healthy teeth . A consequence of the accumulation of a large number of bacteria;
  • inflammation of the gums, which, in the absence of proper care and treatment, leads to periodontitis and gingivitis;
  • constant unpleasant taste sensations ;
  • formation of erosions of the oral mucosa, ulcers . Most often, the phenomenon occurs during the period of adaptation to the prosthesis, when a constant load begins to be placed on the gums;
  • halitosis Bad breath occurs as a result of the decomposition of food debris accumulated on the teeth.

Remember! Care must be strictly mandatory, even if dentures replace one or more teeth.

Rating of the best tablets for cleaning dentures

Corega Tabs Dental White ("Corega")

GlaxoSmithKline specialists have developed a series of products for the delicate care of dentures and the oral cavity. In addition, the well-known brand offers several types of creams that can be used to securely fix removable systems in the oral cavity. Corega Tabs Dental White, judging by patient reviews, does an excellent job of preserving the original color of dentures. If they become dirty or a stain appears on the artificial tooth, then the tablets will help return it to a snow-white shade. This product ideally eliminates bacterial plaque. Corega is available in two types of packaging: small, 30 tablets, and large, 72 tablets.

The approximate cost of one package is from 250 rubles.

Corega Tabs Dental White tablets

Advantages:

  • copes with the task of preserving the original color of the dentures;
  • eliminates bacterial plaque.

Flaws:

  • not detected.

Protefix

On the Internet you can find many positive reviews about this product. Users believe that the main advantage is that Protefix eliminates contaminants even in the most secluded places that may be in the oral cavity. The tablets also help eliminate bad breath due to additional components in the composition - peppermint and mint.

Protefix tablets have proven their effectiveness in such matters as cleaning the denture from the remains of food stuck between the teeth, microbial plaque and stone that is dangerous for the enamel. If artificial teeth have become darkened by nicotine, strong black tea or coffee, wonderful pills will help restore the original color. In addition to the fresh smell from your mouth, which will appear thanks to the tablets, the denture will be covered with a protective film and saved from damage that may occur during cleaning.

Dentists recommend using these pills at least twice a day. You can purchase the product packaged in 32 or 66 tablets. They are carefully protected with a foil blister. A small package with 32 pills will cost the patient 200 rubles, while purchasing boxes of 66 pills is much more profitable, their price is 350 rubles.

Protefix tablets

Advantages:

  • eliminate impurities even in the most secluded places of the mouth;
  • help eliminate unpleasant odors.

Flaws:

  • not detected.

Lacalut Dent

The drug has proven itself positively due to its property of restoring the whiteness of artificial teeth. Two more advantages of the tablets are the high-quality removal of pigment and accumulated plaque. The tablets serve as a disinfectant, impart a pleasant oral odor, and eliminate organic residues. The elements present in the composition are mint, citric acid and sodium perborate. The latter has bleaching properties and gives the water a pleasant blue tint.

The product is available in the form of effervescent pills, the main purpose of which is to eliminate unwanted plaque and food debris. When dissolved in water, effective substances appear that delicately clean the surface of the removable structure, while simultaneously disinfecting it. A standard box of Lakalut contains 32 tablets.

On average, the cost of one package is 400 rubles.

Lacalut Dent tablets

Advantages:

  • delicate cleansing;
  • whitening properties;
  • disinfection.

Flaws:

  • not detected.

Fittydent

The manufacturer considers its product unique for the reason that the tablets are able to remove all excess from dentures, including fixing glue, which is usually insoluble in water and is not subject to other oral care products. Customers who choose Fittident are usually very pleased with the whitening properties, as well as the freshness of their breath. The main advantage of the drug is the ability to completely eliminate all remnants of the fixing agents used to secure the dentures. Its whitening components effectively combat stains from coffee and cigarettes.

If the buyer wants to purchase the product, the price for a package containing 32 pills will be approximately 300 rubles.

Fittydent tablets

Advantages:

  • remove all remnants of fixing agents;
  • components effectively fight stains from coffee and cigarettes.

Flaws:

  • not detected.

Dentipur ("Dentipur")

For indecisive clients who find it difficult to decide on the treatment of dentures at home, it is recommended to use German tablets, which have a fairly reasonable price - 140 rubles for 30 pieces. Having antiseptic properties, a whitening effect, instant dissolving and softening plaque.

Dentipur tablets

Advantages:

  • antiseptic properties;
  • whitening effect;
  • Contains quickly soluble and plaque-softening molecules.

Flaws:

  • not detected.

Y-Kelin

Chinese denture cleaner "Yakelin". The solution copes with full or partial structures without any problems. Effectively kill harmful microorganisms from surfaces, while eliminating unpleasant odors. There is no abrasive material in the composition, it perfectly removes plaque, formed stones and existing plaques. The end result is cleaned dentures with a pleasant aroma. The tablet is supposed to be used no more than once a day.

The cost of a pack of 30 tablets will be 350 rubles.

Y – Kelin tablets

Advantages:

  • there is no abrasive material;
  • They remove plaque very well.

Flaws:

  • use no more than once a day.

President denture

This product is presented in the form of effervescent capsules. A highly effective product eliminates microbial plaque on dentures and organic residues. After dissolution in water, active oxidizing agents with antimicrobial properties are released. Don't worry about the color you get. Thanks to their greenish color, they perform their functions perfectly. They are able to remove stones from hard-to-reach areas of the oral cavity without leaving colored marks on the surface. Gives a light refreshing mint aroma, leaving the material in its original form.

The package contains 32 pills, the cost is 350 rubles.

President denture tablets

Advantages:

  • eliminates microbial plaque that appears on dentures;
  • capable of removing stones from hard-to-reach areas.

Flaws:

  • not detected.

Dontodent Intensive

pharmacists presented tablets whose components can have an antimicrobial effect and remove stubborn plaque and old stains. The mint extract contained in the composition freshens breath.

The active oxygen molecules contained in the composition have the ability to destroy the formed solid plaque, as well as similar deposits with food residues. Effectively cope with any coloring pigments, returning the previous whiteness. Their regular use helps protect the oral cavity from inflammatory processes and eliminate excess odors, which will increase their service life.

Despite numerous positive reviews, the use of pills has contraindications with adverse consequences. To avoid unpleasant situations, you need to carefully study the attached annotation before use. Poor cleaning of the prosthesis will lead to symptoms of overdose.

Dontodent Intensive tablets

Advantages:

  • destroy the formed hard plaque;
  • cope with any coloring pigments;
  • helps protect the oral cavity from inflammatory processes.

Flaws:

  • change in sense of taste;
  • the presence of irritation and itching in the area of ​​​​contact between the gums and the prosthesis;
  • redness of the mucous membrane;
  • restlessness and burning in the mouth.

General cleaning features (plastic and nylon)

Ensuring the cleanliness of removable or partially removable structures is achieved by following the rules:

  • every time after eating, it is necessary to remove the denture and wash it with boiled or purified water , which allows you to remove food residues;
  • twice a day, clean artificial teeth with running water using a brush with a special paste applied to it. It should not contain abrasive substances that can cause damage to the prosthesis. To process the plates, use a brush with two types of bristles: the harder one is used to clean the outer part of the arch, and the softer one is used to clean the inner part;
  • disinfect the prosthesis by soaking it in a special solution (overnight or for a certain time);
  • periodically carry out professional teeth cleaning in a dental clinic.

It is worth noting! When choosing a toothpaste, pay attention to the labeling.

The abrasiveness level should be in the range from 0 to 25, the brush is marked “sensitive” or “soft” (soft bristles).

How to care for removable items?

The initial stage of care consists of performing the following actions:

  • remove the structure, rinse to remove any remaining food;
  • clean your teeth from the inside and outside of small particles of food with a brush and paste (using hand soap for these purposes is acceptable) and rinse again;
  • treat the oral cavity: use a scraper or a special brush to clean the tongue, gums and palate. Place the brush in the liquid with added disinfectant solution. Do this at least once a week, rinse with water before use.

To avoid breaking the prosthesis, perform procedures over a sink, not a bathtub - if the structure slips out of your hands, the fall will not have critical consequences.

Keep in mind! Mechanical teeth cleaning is mandatory after every meal.

Cleaning with vinegar

If the material darkens or plaque appears, you can clean the denture with vinegar:

  • Prepare a deep container (bowl, glass). The dishes must be made of material that is resistant to oxidation: glass, enamel;
  • Use white distilled vinegar as a cleaning composition . The use of other types (wine, apple, balsamic) may lead to a taste in the mouth or staining of the teeth;
  • pour water and vinegar , taken in equal parts , mix the ingredients;
  • completely immerse the dental structure in the solution and leave for 8-10 hours (overnight);
  • After the specified time has passed, remove the dentures from the liquid and clean the problem areas with a brush . Treat the entire surface of the structure;
  • vinegar may not dissolve tartar on the first try, in this case, soak overnight 2-3 more times ;
  • rinse the dentures with water to get rid of acid residues and a specific odor;
  • At the end of the procedure, pour out the solution ; it used once .

A partial denture can be placed in a vinegar solution for 15 minutes every day .

This will remove deposits and prevent prolonged acid exposure of metal parts.

Before using the vinegar cleaning method, be sure to consult your doctor.

Proper storage

A special container is designed to contain removable dentures. Using a regular glass for this purpose does not allow the structure to be completely immersed in liquid.

If there is no aseptic solution, the container is closed with a lid to prevent dust or dirt from getting on the plastic. Dental structure storage is divided into several types.

The first method involves washing the product with boiled water and keeping it in a dry, closed container. Sometimes a special napkin is used instead of a container. However, this storage method is dangerous due to the penetration of harmful bacteria, deformation or darkening of the material.

To protect against the consequences described above, it is advisable to leave the prosthesis overnight in an aseptic solution, which is sold in a pharmacy. This liquid protects removable teeth from microbes and eliminates the remains of the fixing agent. If the solution is concentrated, then 15 minutes is enough to completely get rid of microorganisms and soften plaque.

The product must be left out of the reach of children and animals. Before putting it on, you should inspect the prosthesis for any abrasions or irregularities.

Even minor violations will worsen the quality of life and cause constant discomfort and pain. Such symptoms indicate injury to the gums, damage to the mucous membrane, and the risk of product failure increases significantly.

Storage Features

For your information! Previous generations of removable structures were made from materials that required storage in a humid environment.

Modern materials are less susceptible to deterioration from exposure to air, but there are certain storage rules :

  • Before placing your teeth in the solution, you must brush them and rinse them with purified water;
  • for soaking, you can use a special container or other container; After each procedure it must be washed;
  • the solution must completely cover the prosthesis, otherwise disinfection will be partial, which can lead to unpleasant consequences;
  • the liquid must be poured out in the morning; it is prohibited to use it twice;
  • nylon or plastic is resistant to dry air. Therefore, keeping such overhead structures made of these materials in liquid is only recommended; after cleaning, the product can simply be wrapped in a clean cloth.

Ultraviolet radiation and high temperatures deform the structures, so keep the prosthesis away from sunlight and do not treat it with hot liquid .

Note! It is not advisable to keep a product with metal elements in chlorinated tap water.

Storage and care of removable dentures

Most of us have seen how our grandfather or grandmother keeps a denture in a glass of water, but we have not heard what additional manipulations are required to clean and preserve it. Therefore, for most patients in dental clinics, knowledge about caring for removable structures ends with using a glass of water, which is very wrong. The main procedures for the safety and hygiene of removable dentures include:

  • rinsing the device with water every time after eating;
  • cleansing with brushes and pastes;
  • cleansing with antiseptic solutions;
  • professional cleaning and whitening.

But how to store dentures at night will depend on the material from which the structure is made. Our grandmothers used removable structures made of rubber. This material has the ability to dry out and crack, which leads to the unsuitability of the prosthesis. The role of a glass of water is to protect the structure from drying out and damage. Today, dental laboratories use more modern materials to make dentures. The need to use a glass of water every night is no longer necessary. But in order for such a structure to last as long as possible and at the same time not to lose its aesthetic appearance, you need to follow special rules for caring for it.

Acrylic and nylon are the materials most often used in the manufacture of removable dentures. Structures using them are not placed in water for storage. And most experts do not recommend taking them off at night, especially during the adaptation period. But for disinfection and deep cleaning, dentures made from these materials are immersed in antiseptic solutions once a week, which will help better clean the denture from food debris, adhesives and bacteria. In cases where the patient still wants to remove the prosthesis at night, you can purchase special containers or cases (we will read about their features and rules of use below).

How to clean dental structures from nicotine and plaque?

Nicotine plaque, accumulated in large quantities, can cause inflammation of the oral mucosa , so the problem should be perceived not only from an aesthetic point of view.

Rules that will help prevent darkening of teeth due to smoking:

  • daily cleaning for 10-15 minutes, using auxiliary brushes on problem areas;
  • the use of pharmaceutical tablets and compositions that have a whitening effect;
  • If it is impossible to remove plaque at home, professional help from a dentist is necessary.

What products (tablets) are suitable for cleaning?

Important! Before using any cleanser, it is advisable to check with your doctor to see if it is suitable for you.

Use the tablets in the following order:

  • rinse the denture with water;
  • fill a glass (or enamel) container with boiled water, dip the tablet into the liquid and wait for it to dissolve;
  • completely immerse the crowns in the solution and leave for the time specified in the instructions;
  • Rinse your teeth with water, brush, and pour out the liquid.

At home, you can use to clean and whiten dentures :

  • Corega. An English product that provides maximum disinfection and removal of stains from nicotine, coffee or other coloring drinks. The crowns are placed in a glass of warm water with a tablet dissolved in it for 10-15 minutes. It is advisable to carry out the procedure 2 times a day; you can leave the structure in the solution overnight;
  • Dentipur . A German product that keeps teeth white and clean can be used once a day. The solution can be prepared by placing 1 tablet in 100 milliliters of slightly warmed water (let the denture stand for 15 minutes).
  • The president . An Italian product with a three-layer structure (blue – cleans the surface of teeth, red – disinfects, white – removes the most stubborn stains and plaque). Directions for use: one tablet dissolves in 200 milliliters of warm liquid, exposure time is 15 minutes.

After keeping dentures in disinfectants, be sure to rinse them : residual product may cause irritation of the oral mucosa or an allergic reaction.

Traditional methods

Experts have come up with many methods for cleaning dentures and crowns without the intervention of specialists. The following are considered popular:

  1. For 1 glass take 100 g of vinegar and the same amount of warm water. Both components are thoroughly mixed. Artificial teeth are placed in the prepared liquid and left to clean overnight. In the morning, the structure is removed and treated with a brush and toothpaste. Hot water is unacceptable as it will deform the product. Also, you should not carry out such procedures very often.
  2. Apply toothpaste to a toothbrush and pour lemon juice on top. Then they coat the dentures with the mixture and wait 30 minutes. After which it is removed with warm water and wiped.
  3. Dilute lemon juice and mouthwash. Then place the dental structure into the solution. The product can be stored in such a liquid for a long time.

Attention! Unknowing people use a cleaning method that is harmful to dentures. They dilute hydrogen peroxide and soda. And such a reaction destroys the coating of artificial teeth.

You can clean dentures at home only if they are lightly soiled, but if the plaque is persistent and the product darkens even more, you will have to seek help from a specialist who will prescribe the necessary solution and give additional recommendations.

Ultrasonic cleaning bath

Know! It is a compact device for effective cleaning and whitening of artificial teeth, powered by mains or batteries.

The sink is equipped with a special stainless steel tank and a time counter - an electronic timer.

Ultrasound
creates high-frequency vibrations in the liquid medium in which the prosthesis is located.
Under their influence, the smallest particles of dirt are removed .

The equipment is easy to use; you can use it to clean your teeth not only in a dental clinic, but also purchase a device for home use.

The cleansing procedure should be in this order:

  • fill the tank with purified water;
  • immerse the removable structure in the liquid;
  • set the timer for 5 minutes (if the contamination is severe, process for 10 minutes), turn on the equipment;
  • Using a soft brush, remove any remaining plaque and dry the structure.

Remember! Sinks have different technical characteristics; choose a device that will not have a destructive effect on the artificial structure.

Folk recipes

  • Pour 2 tablespoons of lemon juice into 200 milliliters of water , immerse your teeth in the liquid and leave overnight;
  • Cut the lemon into 4 parts, squeeze the juice from one quarter into a small amount of paste or powder. Treat the entire structure with the resulting mixture and leave for 20 minutes, then rinse with water;
  • wet the brush and dip the bristles in fine salt ; Brush your teeth very carefully, without force. The method can be used no more often than once every two weeks, since salt can damage the material of the teeth.

Oral care when using dentures

How to care for clasp dentures so that they serve for a long time and perfectly? Proper care of the prosthesis plays a huge role in maintaining the attractiveness of the design, safety for the oral mucosa and the longest service life. With meticulous care of the structure, the prosthesis can last 5 years or more.

Such measures allow you to restore blood circulation and avoid inflammation of the gums, and give rest to the supporting teeth and jaws.

We should not forget that the healthier the gums and jaws are, the better they keep their shape, which means the longer the feeling of comfort when using a prosthesis will remain.

How to care for fixed dentures?

The area where the artificial material and gums come into contact is the place of the greatest accumulation of bacteria and plaque in permanent structures.

You should know! Contamination can be easily removed by placing soft bristles at a 45˚ angle to the point of contact and brushing the teeth, grabbing the adjacent gum area.

Removing food debris and disinfecting the oral cavity after eating is mandatory for stationary dentures.

It is advisable to additionally clean the interdental space using a special floss with toothpaste applied to it.

You can use an irrigator - plaque and food debris are easily removed under the influence of multiple pulsations of water.

Dentist appointment

Over time, hard deposits , which must be removed 2 times a year at the dental clinic.

General description of removable dentures

Removable dentures are installed in cases of complete or partial loss of teeth and advanced forms of gum disease: periodontitis, periodontal disease. Such designs are classified into 3 groups:

  • Partially removable structures. They are attached to the soft tissues of the oral cavity and preserved dental units. Used when one or more teeth are missing. They are classified into acrylic (inexpensive, lightweight, fixed with hooks), as well as more expensive nylon and clasp. The latter represent a metal frame with artificial teeth and are installed in case of loss of a significant number of dental units.
  • Conditionally removable. They allow you to eliminate minor defects and are used when one or more teeth are missing.
  • Completely removable products are nylon and plastic systems, manufactured taking into account the individual anatomical features of the patient’s oral cavity and indicated for use in cases of complete loss of teeth. They are attached using special suction cups or fixing agents: creams, powders, gels.

The advantages of removable orthopedic structures over non-removable ones are ease of installation and relatively low cost. The main disadvantages are the possible manifestation of an allergic reaction to plastic material, the susceptibility of the prosthesis to deformation and breakage. You can minimize the risk of developing allergies by choosing flexible nylon products for prosthetics. Proper cleaning of the system at home and following the dentist’s advice on using the product helps to extend its service life.

Rating
( 2 ratings, average 4.5 out of 5 )
Did you like the article? Share with friends:
Для любых предложений по сайту: sto247@cp9.ru