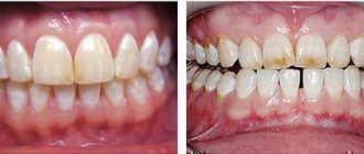
Brown streaks appear on teeth


Causes of black streaks on teeth

The most common causes of black streaks on teeth:

  • tetracycline antibiotics. Most often, the stripes are located horizontally ;
  • excess or lack of fluoride. Especially in childhood and adolescence , when the process of tooth formation is not yet completed;
  • nicotine, caffeine, red wine, tea. Brown plaque between the teeth, at the root neck of the tooth , stripes on the inner and outer sides;
  • destruction of enamel due to insufficient hygiene. Dark plaque, tartar, stripes and dots on the surface of the teeth ;
  • caries. The initial stage of the disease can only be expressed by the appearance of black lines on the teeth and between them. Next – increased sensitivity, pain ;
  • internal diseases. Pathologies of the kidneys, heart, stomach, liver and other internal organs negatively affect the condition of the teeth: dots, stripes may appear on them, the tooth may completely darken and even collapse . On the other hand, carious processes in the teeth themselves can negatively affect the functioning of any organ, since harmful microorganisms that have settled in a diseased tooth are carried with the blood throughout the body;
  • hypoplasia of tooth enamel. The disease is usually congenital and occurs due to a lack of minerals and metabolic disorders during fetal development. It can manifest itself as dark stripes on the teeth, spots, and in severe cases – partial or complete absence of tooth enamel .

Black streaks between teeth

The interdental space is most susceptible to blackening, since plaque and tartar accumulate there, which can be difficult to clean at home. especially noticeable in cases where the patient neglects basic hygiene rules , does not use dental floss, and rarely visits the dentist.

Black plaque on teeth in adults: causes, treatment and enamel cleaning

Beautiful teeth are a person’s calling card, and if you don’t take care of them, the white color will gradually change to brown. Blackening of teeth occurs due to poor hygiene, as well as when dyes enter the oral cavity.

This could be tea, coffee, nicotine, food coloring, resins. In addition, teeth change color after taking tetracycline antibiotics. It is not easy to clean the dense darkened layer.

We'll look at what plaque is like and how to deal with it in this article.

Types of dark plaque on teeth

Changing the color of tooth enamel depends on many factors. Often the cause is bacteria on the surface of the teeth or color deposits that affect pigmentation.

READ ALSO: reasons for severe pigmentation of teeth

Bacterial types of enamel darkening include:

Types of pigmented deposits include:

  • brown plaque from drinking tea, coffee and other drinks;
  • accumulation of nicotine due to excessive smoking;
  • darkening from taking iron-containing drugs;
  • coating of enamel with artificial dyes;
  • reproduction of chromogenic bacteria;
  • discoloration from antibiotics;
  • deposits of substances coming from the environment;
  • blackening due to diseases of internal organs.

Changes in enamel color due to bacterial factors are caused by insufficient oral hygiene. With regular brushing of teeth, using floss and special rinses, the appearance of dark deposits is excluded. However, black plaque on teeth when exposed to dyes cannot be prevented by simple hygiene.

Causes of black plaque

The causes of darkening of bacterial origin is the accumulation and proliferation of harmful microflora. Microbes are present in the oral cavity constantly and in large quantities.

Just 6 hours after thoroughly brushing your teeth, plaque appears on their surface. Why do bacteria begin to actively multiply almost immediately after eating? For bacterial growth, a light film consisting of proteins, carbohydrates and fats is sufficient.

After eating sweets, the process of microbial reproduction accelerates.

Immediately after the appearance of bacterial plaque on the necks of teeth, its gradual mineralization begins. Soft deposits can be easily removed with a brush and thread. After 10-16 hours, the bacterial layer hardens, but still has a loose structure. It is difficult to remove with a brush.

If mineralized plaque is not removed, new deposits grow on its surface, quickly increasing in volume and changing the color of the teeth. White teeth gradually turn yellow or brown. In addition to poor hygiene, increased formation of brown plaque can be influenced by diseases of internal organs, hormonal levels, and low lysozyme content in saliva.

The time between hygiene procedures should not exceed 16 hours to avoid plaque hardening. That is why dentists recommend brushing your teeth at least 2 times a day, both externally and internally.

When smoking, drinking black tea and coffee, tars, phenol compounds, coloring pigments and tar, falling on the surface of the teeth, adhere tightly to them, forming a thin film to which food particles stick, which promotes the proliferation of bacteria. Plaque settles layer by layer on the surface of the teeth, turning black and turning into stone (see also: why do teeth turn black and how can this be avoided?).

Black and brown plaque on teeth forms faster with insufficient oral hygiene. Polyphenol, contained in tea, coffee, tobacco smoke and in some food products, is attached to existing plaque - such compounds do not stick well to clean enamel and are quickly washed off.

Brown coating

Brown plaque often appears from dyes. To remove such dark spots, as a rule, professional cleaning is not enough; it is important to establish the cause of their appearance and carry out treatment. Most often, such deposits are formed when:

INTERESTING: how can you get rid of plaque?

  • taking iron-containing medications;
  • ingestion of large amounts of iodine or chlorine;
  • rinsing the mouth with solutions containing potassium permanganate, oak bark, chamomile flowers;
  • inhalation of mercury and lead fumes;
  • acid necrosis.

Plaque in the form of dark stripes

The appearance of dark stripes and spots on the teeth may indicate the initial stage of caries. Diagnostic methods:

  • radiography of the dental surface;
  • applying a special solution to the darkened area that stains the areas affected by caries;
  • illumination of stripes with a bright light beam.

If the dark areas are not damaged, plaque removal with ultrasound, paste or laser is indicated. If the blackening is caries, treatment is carried out according to the degree of damage to the tooth. This could be mineralization, enhanced oral hygiene, or filling.

Streaks may appear after using certain medications. Tetracycline is a broad-spectrum antibiotic with few side effects and low cost that is often prescribed by doctors.

The drug can affect human bone tissue. The use of medication during pregnancy and lactation affects the color of emerging teeth in babies.

Enamel staining occurs unevenly; often only the area of ​​the tooth that developed during treatment with the drug changes color.

Tetracycline damage can be partial (in the form of inclusions, spots, stripes) or continuous. Changing the color of the enamel does not affect its health and integrity, but deprives the shell of mineral substances.

Fluorosis is another cause of black streaks and stains on teeth in adults. It develops from an excess of fluoride in the body. Often the element enters the body with water or from a polluted environment. Darkening can cause the development of caries.

In the clinic

It is impossible to completely remove dark plaque on teeth on your own. To remove hardened dental plaque, you should contact a dental clinic. The most effective treatment methods are:

  1. treating enamel using an irrigator, which removes plaque with a thin stream of water under pressure. For better effect, detergents and abrasives are added to the water.
  2. deep cleaning of teeth using professional pastes and specially designed brushes that gently remove plaque without damaging the enamel.
  3. removal of mineralized formations with ultrasound followed by polishing.
  4. Layer-by-layer destruction of plaque with a laser will help get rid of tartar deposits, whiten teeth, strengthen gums and eliminate their bleeding (we recommend reading: how to quickly get rid of tartar?).

To remove black pigmentation from teeth, dentists use the same methods as when removing mineralized plaque. For greater efficiency, a combination of several professional cleaning methods is used: ultrasonic treatment and rinsing with an irrigator.

at home

removing darkened plaque at home is less effective. Brushing should be done with extreme caution so as not to damage delicate tooth enamel. For self-whitening, special toothpastes and brushes are used, as well as traditional medicine.

Toothpastes for deep cleaning contain abrasive particles, loosening agents and whitening components that carefully remove hardened layers of plaque. The abrasiveness of pastes is indicated by the abbreviation rda and should be from 100 and above. The higher this number, the more intensely the product removes deposits.

Preference should be given only to high-quality pastes that indicate the level of abrasiveness. pyrophosphates are another essential component of cleaning pastes; it allows you to loosen stone deposits for easier cleaning. For cleaning it is recommended to use the following products: president white plus (rda 200) and lacalut white (rda 120).

From folk remedies, a polishing mixture is recommended: add a 3% solution of hydrogen peroxide to baking soda in a 1:1 ratio. the resulting mass must be carefully rubbed into the black area using a cotton swab. It’s not worth doing deep cleaning every day with ready-made pastes or home remedies, because... there is a possibility of thinning the enamel and increasing tooth sensitivity.

how to prevent darkening of enamel?

To prevent the appearance of deposits on teeth and enamel pigmentation, it is necessary:

  • limit the consumption of tea, coffee and other coloring products;
  • stop smoking;
  • include fiber-rich foods, vegetables, and fruits in your diet;
  • brush and floss your teeth thoroughly;
  • Do not take medications with tetracycline when the child’s permanent teeth are forming.

Source: https://AzbukaZubov.com/parodont/otlozheniya/chernyy-nalet-na-zubah.html

What to do if black streaks appear on your teeth

Only a dentist can determine the exact cause of the problem . Depending on the diagnosis, the doctor will prescribe the most appropriate treatment. If the defect is purely cosmetic, you can try to get rid of it at home using improvised means:

  • kits for home teeth whitening;
  • baking soda;
  • hydrogen peroxide;
  • activated carbon;
  • fruits and vegetables;
  • apple cider vinegar.


Photo 1: When whitening teeth at home, you should be careful, since many products have an abrasive effect.
Frequent use of aggressive bleaches is harmful to enamel! Source: flickr (Anton Pro). After self- or professional whitening, it is important to maintain the results for a long time.

Prevention measures

  • good nutrition;
  • maintaining hygiene;
  • getting rid of bad habits;
  • exclusion of coloring foods from the diet;
  • monitoring general health;
  • timely dental treatment not only for adults, but also for children.

Types of plaque

Plaque can be white, brown, black, or green in color. The light coating is safe; it forms overnight and requires only thorough cleaning. Brown and black plaque is most often formed by lovers of cigarettes and drinking large amounts of coffee (we recommend reading: how to remove plaque from cigarettes that has formed on teeth at home?). To eliminate the result of such bad habits, you will need professional cleaning from a dentist. You cannot do without the help of the latter in the case of green plaque; it is formed due to damage to the enamel and hormonal disorders of the body.

READ ALSO: caries in the white spot stage and tooth pigmentation: diagnosis at the initial stage Depending on the location, dentogingival, subgingival and proximal plaque are distinguished. The most common of them is the first, it is located on the visible side of the dentition and is easier to detect in comparison with subgingival plaque, where plaque is localized in the gum area. The proximal type is considered to be the least favorable, since it appears on the surface of the teeth that comes into contact with food. In addition, plaque can be bacterial and pigmented.

Bacterial

Bacterial or soft microbial plaque has a loose consistency, which is formed by colonies of bacteria. The area of ​​the necks of the teeth is the most affected area. Microbial plaque can be easily removed with a regular toothbrush. In case of neglect of oral hygiene, mineralization occurs and it turns into tartar.

Bacterial plaque on previously well-cleaned teeth forms within six hours. Maximum growth of microorganisms occurs after eating. The mineralization process begins after 10-16 hours, turning plaque into stones. At first, the latter are still loose and can be removed with a toothbrush.

Pigmentary

The most common cause of pigmented plaque is polyphenolic compounds found in nicotine, coffee and some other foods. With proper dental care, such people have no microbial plaque and stones (we recommend reading: how do dentists remove stones from teeth?). If oral hygiene leaves much to be desired, this only contributes to the formation of black pigmented plaque. It is especially common in the pits of teeth or the spaces between them, where it is most difficult to clean.

READ ALSO: how to quickly remove stones on teeth at home?

Homeopathic treatment for black streaks on teeth

Homeopathy is the most harmless and gentle method of treating diseases. The maximum effect can be achieved if treatment is carried out under the supervision and guidance of a qualified homeopath, who will select medications suitable for the constitutional type of a person. Only an individual approach can completely eliminate the problem. Some homeopathic remedies can be used independently for symptomatic treatment in cases of pain and dark streaks on tooth enamel.

Streaks appear on teeth: what to do?

Fact: “Stripes on teeth occur in 15% of all dental patients and in most cases this is the norm, a feature of the body.”

Are you worried about streaks on your teeth or dry tooth enamel? Are problems most visible in the morning? In this case, do not ignore your drinking regime during the day. This rule applies to both children and adults. Adequate water in the body ensures proper saliva fluidity, hence minimal chance of plaque formation. It is a layer of bacteria, debris, and food that has settled on the surface. But there are other causes of stripes that require a specialized approach.

Preventive measures

Oral hygiene reduces the risk of developing most oral diseases. Regular brushing of teeth with toothpaste or powder in combination with dental floss (toothbrushes do not clean the spaces between teeth very well) as well as rinses significantly reduce the risk of developing not only caries, but also many other diseases of the teeth and oral cavity.

In the case of caries, diet plays an important role, since tooth tissue is destroyed by acid, which in turn is formed by bacteria from sugars. Reducing the consumption of sweets significantly reduces the risk of developing caries. A sufficient intake of fluoride into the body is also important.

Fluorosis, especially endemic fluorosis, is difficult to prevent sufficiently, since in most cases it is almost impossible to provide the entire population with water with a normal fluoride content. It is more rational to provide good water only to children, as the most vulnerable part of the population to this disease. It is also believed that in childhood, taking vitamins, especially C and D, reduces the risk of development.

Prevention of the occurrence of tetracycline teeth is also quite simple - tetracycline drugs are simply not prescribed to pregnant women and children, and tetracycline does not pose a serious threat to already formed teeth.

The appearance of dark spots or streaks on teeth can be a manifestation of many diseases, the treatment of which can only be done by a specialist using appropriate technologies and materials. It should be remembered that many dental diseases that manifest themselves in this way can lead to serious consequences, including tooth loss.

  • Download Original]» class=»imagefield imagefield-lightbox2 imagefield-lightbox2-240-180 imagefield-field_imgarticle imagecache imagecache-field_imgarticle imagecache-240-180 imagecache-field_imgarticle-240-180″>
  • Download Original]» class=»imagefield imagefield-lightbox2 imagefield-lightbox2-240-180 imagefield-field_imgarticle imagecache imagecache-field_imgarticle imagecache-240-180 imagecache-field_imgarticle-240-180″>
  • Download Original]» class=»imagefield imagefield-lightbox2 imagefield-lightbox2-240-180 imagefield-field_imgarticle imagecache imagecache-field_imgarticle imagecache-240-180 imagecache-field_imgarticle-240-180″>
  • To post comments, please login or register

Re: Black streaks on teeth, what can cause them.

And for some reason I always thought that this was stone deposits. My son and husband have the same problem with their teeth, and I periodically send them to the dentist once a year for professional teeth cleaning.

Read also: Skys what is it

Description of the problem

Most stains appear on children's baby teeth. If they occur, contact your dentist, because... the first signs of caries may occur.

This is a symptom of dental tissue damage that most affects children. The most common childhood diseases are asthma and hay fever; but damaged teeth at an early age affect children several times more often than these diseases.

At the initial stage, you can save the child’s teeth and stop the process.

But do not think that an adult cannot be affected by the problem of streaks on his teeth. They often occur in adults, are mainly localized near the gums, and, as a rule, are the first sign of caries formation.

Brown plaque on teeth and dark spots near the gums on the inside: how to remove stripes

Brown plaque on teeth is not only unsightly, but also not “healthy”. A number of factors lead to its formation, and the gums, tongue, and mucous membranes can be affected. The main types of brown plaque are soft and hard.

It is necessary to remove it, since pathogenic accumulations in the mouth cause an unpleasant odor, can lead to the development of periodontitis and even a decrease in the overall defenses of the body.

You will learn more about the reasons for its formation, methods of treatment and prevention from this review.

Why brown plaque appears on teeth: causes of dark spots

Brown spots can appear on the inside and outside of teeth.

If you notice a characteristic plaque on the surface of the enamel, you can be sure that the gums, oral mucosa, and tongue are also affected.

This layer is an ideal environment for the growth of bacteria, so the problem cannot be left to chance. Read more about the reasons for the appearance of a brown coating on the tongue in this material.

When plaque appears, many intensify the sanitation of the oral cavity. But better hygiene alone is not enough to eliminate the problem.

It is believed that poor oral hygiene leads to the formation of plaque - this is true, but only partly, since just brushing your teeth is not enough to keep your teeth clean.

Brown spots appear as a result of the interaction of water (regular tap or distilled) with fluorides, phosphates, and calcium oxide. These processes are influenced by the structural features of the teeth and jaw system, the presence of gum disease, and the quality and nature of food consumed.

This problem is most familiar to lovers of tea, coffee, wine, citrus fruits and tobacco.

An increased level of bacterial microflora in the mouth is one of the most common causes of brown plaque.

Don’t leave everything as it is - brown plaque on enamel not only looks unsightly, but also causes an unpleasant sour smell, provokes the accumulation and active growth of bacterial flora.

All this is fraught with the appearance of various dental problems, inflammation of the mucous membrane and even general infection of the body.

Untreated teeth, poor sanitation, and plaque accumulation also often lead to a decrease in the body’s overall immunity.

Types: from the inside and outside, under the gums

Main types of dark plaque:

  • dentogingival;
  • subgingival;
  • proximal.

The first type can be on the enamel on any side of the jaw, less often, but this defect also appears along the edge of the gum. Subgingival plaque accumulates at the bottom of the tooth crown and causes damage to the roots and exposure of the neck of the tooth.

In some cases, only a doctor can detect subgingival plaque. The lesion may be hidden under the gum and requires a special probe to identify it.

Proximal dark plaque affects contact surfaces. That is, its area of ​​influence is those areas of the tooth that are in direct contact with food. You may also be interested in learning about the causes of white spots on teeth.

Dark plaque under the gum from the outside or inside must be removed. Otherwise, it will become more dense and will most likely lead to the development of periodontal diseases.

Treatment methods: how to get rid of

In the initial stages of formation, it is easiest to remove plaque. If you have just noticed dark spots on the inner or outer surface of your teeth, but there is no significant discomfort or other problems yet, buy a toothpaste with fluoride and calcium.

You will need to use it regularly. And be sure to visit a dentist - he will conduct a professional teeth cleaning and give recommendations on oral care. After the procedure, the enamel must be treated with special pastes with calcium.

For details and types of anti-tartar pastes, read this material.

The use of calcium paste helps restore dental tissue and protect against mechanical damage.

The treatment regimen for dark spots on tooth enamel often includes, in addition to eliminating visible defects, the destruction of pathogenic flora in the oral cavity.

Some people are allergic to fluoride pastes, which are used by dentists during professional cleanings. An alternative solution is laser plaque removal.

This device has a targeted effect on the layers, strengthens the gums, reduces bleeding and whitens the enamel. Note that this same technology can also be used to eliminate carious formations. Read more about laser dental treatment below.

If you have increased sensitivity, your doctor may recommend hardware cleaning - for example, ultrasonic or air.

Professional teeth cleaning should be done at least once every six months to a year. It is recommended to carry out treatment with special pastes more often - once every 3 months.

Traditional recipes are also used to remove brown spots. Basic:

  1. Rinse your mouth after every cup of tea and coffee. You can make a soda solution - a teaspoon per glass of water.
  2. Brushing teeth with activated carbon – grind tablets (2 pieces) into powder and use topically. The recipe does a good job of whitening enamel. The procedure is not carried out more often than once every three days.
  3. Rubbing the jaws with tomato paste. Use freshly prepared homemade one and keep it on your teeth for 10 minutes.

Treating your teeth with lemon juice, hydrogen peroxide, or baking soda is a very bad idea, since the effect of such cleaning will be short-lived (if at all), and the problems will last for a long time. Aggressive components are contraindicated for sensitive enamel.

Prevention

It is easier to prevent any problem than to eliminate it later - and the formation of dark plaque on teeth is no exception. Basic preventive measures in this case:

  • After each meal, rinse your mouth with a special oral care product (rinse) or mineral water (strictly without gases);

The use of a mouth rinse can reduce the formation of plaque and normalize the microflora of the mouth.

  • reconsider your diet - add cheeses, carrots, nuts, cereals and apples in large quantities, but it would be advisable to give up soft foods.
  • visit an orthodontist - any inflammatory processes or malocclusion are also fraught with the appearance of plaque on the enamel and mucous membranes of the mouth. If wisdom teeth grow abnormally, they will have to be removed, because... They make the cleaning process more difficult and can lead to plaque and caries. Read more about whether to treat or remove wisdom teeth here.
  • restore the mechanics of chewing - that is, you need to use both jaws, otherwise the active one will be more susceptible to various diseases.
  • check the thyroid gland and the health of the endocrine system as a whole - dental pathologies very often occur with these diseases.
  • do not skimp on hygiene products - low-quality materials spoil the enamel and scratch the gums. It should be noted that with poor cleaning, cervical caries can form on the teeth.
  • give up fatty fish.
  • Drink only bottled water.
  • Switch to fluoride-free toothpastes.

Why do soft foods cause dark spots on enamel? The fact is that they do not require prolonged chewing, which means that little saliva is released that cleanses the enamel.

For details about the causes and methods of eliminating brown plaque on teeth, watch the video

Conclusion

Dark plaque on teeth appears as a result of improper care (especially insufficient thorough brushing of teeth), the presence of serious endocrine pathologies, and constant consumption of a certain set of foods (tea, coffee, wine, citrus fruits, etc.).

It is necessary to remove it, otherwise the appearance of bad breath and other diseases (periodontitis, catarrhal gingivitis, decreased immunity, etc.) will not take long to occur. Once every six months to a year, have your teeth professionally cleaned by a dentist using special pastes and be sure to monitor the quality of the water used for drinking and cooking.

Use fluoride-free toothpastes and be sure to restore chewing mechanics (both jaws should be involved in the process of chewing food).

Source: https://ZubZdorov.online/bolezni/simptomy/nalet/korichnevyj-na-zubah.html

Causes (diseases)

Stains on permanent teeth can be caused by prolonged exposure to plaque on its surface. This reason is typical for people who do not maintain oral hygiene.

They are formed for several reasons. For example, due to the consumption of coloring food. Excess fluoride also leads to their appearance. In children, as mentioned above, they are an early symptom of caries.

Light stripes are found in both children and adults. In most cases, this is not a serious symptom. But it should not be underestimated; we need to look for possible reasons.

Spots can also be caused by certain medications, excessive vomiting, and stomach acids that weaken the enamel.

Occupational and endemic fluorosis

Although the chemical element fluoride is extremely important for dental health, its excess in the environment can lead to negative consequences for tooth enamel. Fluorosis develops both as a result of an excess of this chemical element in water and in some industries.

This disease manifests itself primarily as spots or streaks on the teeth; the color of such spots and streaks can vary significantly among different patients. Up to a moderate degree, fluorosis does not damage the tooth enamel, but is only a cosmetic defect (however, at a moderate degree, fluorosis can contribute to the development of caries).

In most cases, making a diagnosis is not particularly difficult, but some forms of fluorosis have significant similarities with caries at the spot stage, which must be taken into account in the differential diagnosis.

For treatment, as in the case of the consequences of the use of antibiotics, there are various methods for treating fluorosis. For mild lesions, cleaning followed by remineralization and bleaching is most often used.

In more severe cases, it is necessary to restore the tooth with filling material.

Read also: Teeth rinsing device

Treatment

Do not underestimate the appearance of streaks on the enamel; consult your dentist.

The solution is to adjust fluoride intake, i.e. replacing toothpaste and drinking water. Removing stains is a gradual, long-term process aided by dietary changes.

There are several ways to clean tooth enamel.

Mechanical (abrasive) methods:

  • at home - pastes, brushes;
  • the doctor says air abrasion.

Chemical – whitening, dissolving stains using a chemical method:

  • at home – whitening using special whitening tapes and applicators;
  • from a doctor - the use of substances with a high content of bleach and peroxide.

Whitening pastes

In stores and pharmacies there is a wide range of whitening pastes. Choose carefully. Dentists recommend toothpastes designed for smokers. They are generally effective when used over a long period of time.

But with weakened enamel, the use of whitening pastes should be carried out carefully. They contain aggressive abrasive substances. The same applies to people suffering from bleeding gums.

Whitening products for home use

Various brands of whitening products are available in pharmacies. Their use is not difficult, just follow the instructions on the packaging.

Traditional methods

Before using specialized products, you can try using traditional methods of cleansing. One of the most frequently mentioned effective substances is apple. Apples remove food debris, plaque, and perform a cleaning function.

You can also clean with a brush sprinkled with baking powder. Sometimes cleansing with horsetail powder followed by rinsing the mouth with a propolis solution helps.

A good way to whiten and remove stains is to chew beeswax. It cleanses the enamel and promotes the formation of saliva.

Remember, by nature a person does not have pure white teeth. It is slightly yellowish. A bright white smile is basically an artificial creation.

Caries are white, not black spots on the enamel, and experiments with paste can be dangerous

February 9 is World Dentist Day. The day before, “KP” found out what is actually good and bad for our teeth from experts at the Department of Therapeutic Dentistry of the Clinical Diagnostic Center of the First Moscow State Medical University. THEM. Sechenov. It turned out that there are many myths among patients.

Myth One: An electric toothbrush cleans your teeth better than a regular toothbrush.

How it really is: if an electric brush makes circular movements on the tooth - and often these devices are designed in this way, then instead of cleaning sweeping movements, you actually smear plaque over the tooth with circulating maneuvers, bringing it deeper under the gum, warns the department's dentist-therapist therapeutic dentistry of First Med Vera Voronkova. The best way to clean our teeth is with a simple brush, moving it with your own hand: precisely sweeping vertical movements from the gum to the bottom of the tooth.

Myth two: to make your teeth sparkle like pearls, you need to use whitening paste every day.

As a matter of fact: such toothpastes contain abrasive elements and, with constant, daily use, can ultimately lead to the thinning of tooth enamel. So it’s better to use whitening pastes in courses, taking breaks, our expert advises.

Types of cracks: classification

Depending on where the crack occurs, in dentistry there is a different classification of this pathology, and appropriate treatment is also prescribed. Thus, destruction can affect enamel and denta. If a small strip appears, it will be enough to restore the tooth, but if it is more significant, it will be necessary to install a veneer. If the layers of the denta are affected, then in some cases you can even lose a tooth.

As a rule, destruction begins with a small crack, which increases in length, expands, or forms a network. According to statistics, such destruction often appears in the lower jaw, which bears heavy loads. Moreover, treated carious teeth can more often form pathology. After all, they are more weakened.

The problem can occur both on the front and back walls of the tooth, and can also form between the teeth, which over time will lead to hidden caries. After all, it is very difficult to detect such a defect.

With deep destruction, black cracks form, which can be noticed independently. Depending on the location, the pathology can be oblique, horizontal and vertical.

Vertical

A vertical streak most often occurs on the front tooth. It can go along the entire surface, affecting the root. If the pulp is affected, the tooth will have to be removed. So, if you find a longitudinal stripe, you should immediately contact your dentist so that the treatment is quick and painless.

Horizontal

Horizontal cracks are considered the most dangerous, since their enlargement often leads to tooth loss as a result of its fracture. At the same time, dental practice shows that with such pathology the process of destruction proceeds more slowly and pulpitis does not occur.

Oblique

Like horizontal cracks, inclined cracks damage the pulp, and therefore such a tooth cannot be restored - it must be removed. Since the defect can begin with a small vertical destruction, you should not start the process by contacting a specialist.

Oh God! There is a black groove on the tooth, but it doesn’t hurt!

Now I was brushing my teeth and discovered that the next canine seemed to be eaten away by caries. Uneven black stripe. I picked it with my fingernail - no pain. The gum further away is slightly grayish and the next tooth is all sort of gray; as for a gray tooth, dentists say it’s normal. Weekend, the doctor is not working, tell me - what could it be? PS I last saw a doctor in May, they didn’t find anything, but my teeth were basically bad.

Girls, someone answer! I have the same problem. It seems the dentist ruined the tooth.

In this section, only neutral information is published in topics and comments. Topics and comments containing advice, recommendations, promotion of alternative methods of treatment or other actions will be closed.

I’m a dentist, but from your description it’s difficult to make a diagnosis: (a black stripe or caries or stone.

A dentist once told me about this stripe that it was a natural coloring. She cleaned the stones for me before, by the way. A couple of years later, another dentist drilled out the “coloring” and found caries there.

New features and design have appeared for the version of the Woman.ru Forum on computers. Tell us, what are your impressions of the changes?

I have the same garbage (((you should also ask the dentist about it

and I was like 3 and almost lost a tooth

The black stripe is precisely a furrow, i.e. The ditch has been eaten away, the stone should be on top. So it’s probably caries after all. So huge and growing so quickly!

A dentist once told me about this stripe that it was a natural coloring. She cleaned the stones for me before, by the way. A couple of years later, another dentist drilled out the “coloring” and found caries there.

Because at first there was pigmentation of the fissure, cat. turned into caries.

And I have blackness between my teeth, although I floss and brush. They said that pigmentation has appeared, and it cannot be removed only by drilling, and this means severely destroying the tooth, it is between the teeth

this is pulpitis! next stage after caries. you will have to remove the nerve and put a huge filling

Jo, I had pulpitis - it hurt unrealistically, I couldn’t sleep at night, I climbed the wall during the day. But this furrow doesn’t hurt, even when I ran a fork along it today!

Rating
( 2 ratings, average 4 out of 5 )
Did you like the article? Share with friends:
Russian | English
Для любых предложений по сайту: sto247@cp9.ru