Имплантация эмали (восстановление зубной эмали)


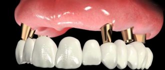
Имплантация одного зуба — отличное решение эстетических и физиологических проблем. Сохраняется правильная форма челюсти, и соответственно ее функционал. Искусственный зуб соответствует по размеру и цвету эмали всем остальным, устанавливается в любом месте зубного ряда.

Имплантаты позволяют восстановить эстетику и функции зубов, могут устанавливаться сразу после удаления. Стоимость имплантации одного зуба зависит от нескольких факторов. На нее влияют:

  • Объем и сложность подготовительных работ. Обычно диагностика, санация рта, удаление кариозных образований, костная пластика проводятся за дополнительную плату. Отдельно сплачивается фиксация временной коронки, синус-лифтинг.
  • Материал коронки. Его выбор зависит от участка протезирования, бюджета пациента. Наибольшая прочность у коронок из керамики и циркониевого диоксида. Дешевле стоит имплантация металлокерамических коронок. Цены на керамику начинаются от 27 тысяч рублей, аналоги из диоксида циркония — от 30 тысяч, из металлокерамики — от 23 тысяч;
  • Вид/производитель имплантов. Цена на имплантаты: бюджетные — 15-30 тысяч рублей, премиальные — 43-60 тысяч рублей. Премиальные импланты — шведские Nobel, швейцарские Astra-Tech, немецкие Ankilos. Бюджетные — израильские Alpha-Bio, MIS, южнокорейские бренды Implantium, Osstem.

Функции защитного слоя

Зубная эмаль — самая твердая ткань в организме, но, в то же время, и самая хрупка. Она покрывает другие слои зуба, а именно дентин и пульпу. Эмаль в качестве защиты оберегает мягкие ткани от механического, температурного и химического воздействия.

Защитный слой полупрозрачный, состоит из различных минеральных веществ. Структура зависит от особенностей организма, употребляемых продуктов и процесса усвоения полезных компонентов.

На заметку! У некоторых людей защитный слой зубов от природы тонкий, что делает его подверженным различным повреждениям и заболеваниям.

Основная функции эмали — защита мягких тканей зуба от внешних раздражителей. Также она обеспечивает сохранение формы коронки, что делает возможным полноценное жевание. За счет твердости эмали происходит измельчение и откусывание пищи.

Характерные симптомы

Если у человека начинает «слезать» или стачиваться зубная эмаль, то при этом могут проявляться следующие симптомы:

  • чувствительность зубов к различным внешним раздражителям становится более высокой;


Чувствительность зубов

  • на зубной эмали возникают сколы, микротравмы или трещины;
  • теряется естественная белизна зубов, в результате чего они становятся более тусклыми и приобретают желтый оттенок;
  • возникают болезненные ощущения, которые могут носить как временный, так и постоянный характер. Зачастую болевой синдром усиливается в ночное время, что свидетельствует о поражении пульпы зуба;
  • образуются кариозные полости на поверхности зубов с испорченной эмалью.


Кариозные полости

Проявление всех вышеперечисленных симптомов существенно ухудшает жизнь человеку, поэтому при их выявлении нужно сразу же обратиться к стоматологу для восстановления эмали. Чем скорее больной обратиться за помощью, тем больше шансов на успешное наращивание эмали и предотвращение серьезных последствий.


Электроодонтодиагностика (ЭОД)

Причины разрушения

Под действием ряда внутренних и внешних факторов эмаль изнашивается и повреждается. Это сказывается на внешнем виде, ощущениях, здоровье всей полости рта и желудочно-кишечного тракта.

Травмирование эмали — это одна из причин кариеса, пульпита, потемнения зубов и их повышенной чувствительности.

Что становится причиной повреждения:

  • неудовлетворительная гигиена полости рта;
  • нарушение микрофлоры, преобладание патологических микроорганизмов;
  • заболевания желудочно-кишечного тракта (рефлюкс-эзофагит, гастрит);
  • курение, употребление энергетических напитков и минеральной воды с красителями;
  • патологический прикус, отсутствие одного или нескольких зубов;
  • травмы и механические повреждения;
  • бруксизм, привычка держать в зубах сторонние предметы (спички, нити);
  • употребление сладкой и кислой пищи;
  • отбеливания в домашних условиях с применением агрессивных абразивов и кислот;
  • отсутствие регулярного стоматологического лечения;
  • активное скопление твердых зубных отложений.

В группу риска попадают люди, чья деятельность связана с возможностью травмы (спортсмены, строители). Эмаль может пострадать и от приема отдельных лекарственных средств. Наличие протезов также служит фактором риска разрушения твердых тканей.

Инновационный метод

Имплантация зубной эмали — это восстановление на молекулярном уровне. Процедура в настоящее время считается наиболее эффективной и качественной.

Заключается методика в нанесении на поверхность проблемной единицы специального средства (аналог протеина амелогенина), входящего в состав защитного слоя.

В процессе повреждения, это вещество теряется, потому во время имплантации происходит его искусственная поставка. После процедуры зуб возвращает свою былую форму, и даже становится привлекательней. Имплантированная ткань не отличается по цвету от естественной.

На заметку! Восстановление продолжается еще около месяца после проведения процедуры, но ткань способна полностью выполнять все функции зубной эмали сразу же.

Такой результат достигается за счет формирования кристаллической решетки после попадания протеина в поры.

Показаниями к проведению имплантации будут следующие состояния:

  • потемнение зуба (когда другие методы не дают результата);
  • флюороз;
  • механическое повреждение;
  • патологический прикус (легкой степени тяжести);
  • неправильная форма коронки;
  • большие межзубные промежутки.

На заметку! Процедура относится к малоинвазивным методам, поэтому не требует обезболивания, что значительно сужает список противопоказаний.

В видео представлен процесс проведения имплантации эмали зубов.

Этапы имплантации одного зуба

Обычно в клиниках Москвы имплантация одного зуба выполняется в несколько этапов:

  • Бесплатная консультация. Пациента осматривает терапевт, ортопед, имплантолог. Врачи планируют лечение, определяют противопоказания. Они рассчитывают стоимость и длительность процедур.
  • Санация ротовой полости. При необходимости лечится кариес, пародонтит, убирается зубной камень. При атрофии кости выполняется костная пластика, синус-лифтинг на верхней челюсти.
  • Непосредственная имплантация. Если она одномоментная, имплант из титана фиксируется во рту после удаления зуба. Иначе штифт вживляется после разреза десны. При экспресс-имплантации его вводят малоинвазивным способом (десна не разрезается, а прокалывается).
  • Временное протезирование. После вживления импланта делается слепок, фиксируется формирователь десны. Спустя 3-7 дней после процедуры на абатменте монтируется пластиковая коронка. Ее пациент носит временно, пока стержень полностью не приживется.
  • Постоянное протезирование. Спустя 3-6 месяцев, если нет осложнений, не отторгается зубопротезный материал, на искусственный зуб фиксируют постоянную коронку.

Имплантация одного зуба ведется в один или два этапа. В первом случае протез устанавливается с абатментом на одном приеме стоматолога. При традиционном подходе стержень из титана фиксируют сразу. Спустя несколько месяцев снова разрезают десну, фиксируют абатмент.

Достоинства и недостатки

К преимуществам методики специалисты относят такие факторы:

  • высокая эстетика;
  • устранение косметических дефектов любой сложности;
  • возможность исправления прикуса;
  • возвращение защиты мягких тканей;
  • безболезненность проведения;
  • долговечность, реставрация может прослужить до конца жизни.

Единственным недостатком имплантации будет ее дороговизна, относительно иных вариантов реставрации. Это инновационный способ восстановления, и он не имеет категорических противопоказаний и существенных минусов.

Причины развития эрозии эмали зубов и способы лечения патологии.

Заходите сюда, если интересует насколько опасны трещины на эмали зубов.

По этому адресу https://www.vash-dentist.ru/protezirovanie/nesemnyie-p/stiranie-zubov.html поговорим о лечении патологического стирания зубов.

Альтернативные способы

При незначительных дефектах зубной эмали могут применяться такие способы восстановления эмали, как реминерализация, фторирование, композитная реставрация, микропротезирование передних зубов винирами и люминирами. Эти методики уже имеют свои противопоказания и недостатки.

Реминерализация

Реминерализация проводится для восстановления баланса минеральных веществ. Осуществляется с помощью нанесения на проблемные элементы челюстного ряда препаратов, содержащих фтор и кальций.

Средство может наноситься на зубы либо помещаться в стоматологические капы, которые надеваются на костные органы верхней и нижней челюсти.

Профилактическая процедура предупреждает развитие кариозных полостей и может выполняться вне стен клиники, для чего изготавливаются индивидуальные каппы.

Показания к проведению:

  • перед отбеливанием;
  • клиновидный дефект;
  • период беременности;
  • перед установкой виниров и люминиров;
  • эрозия эмали и другие некариозные дефекты.

Часто используемые препараты для реминерализации — Ремодент и гель Рокс. Усилить их действие можно путем дополнения процедуры электрофорезом. Это помогает лучшему проникновению в твердые ткани таких веществ, как магний, фосфор, кальций.

Фторирование

Метод применяется для профилактики кариеса. Процедура заключается в обработке проблемных единиц фторсодержащим гелем. На эмали образуется защитная пленка, которая еще некоторое время продолжает выделять фтор.

Более эффективным считается глубокое фторирование, когда элементы челюстного ряда покрываются ликвидами с кальцием и фтором.

Процедура не проводится при нелеченом кариесе. Перед проведением выполняется профессиональная чистка.

Польза методики заключается в предупреждении кариеса, снижении чувствительности зубов, сохранении полезных веществ в эмали, что делает ее более прочной.

Пломбировочный материал

Художественная реставрация композитами выполняется при сколах, трещинах, пятнах, стертости зубов. Противопоказана методика только при ночном скрежете зубами. Для восстановления применяется светоотверждаемые композитные материалы.

Во время процедуры стоматолог послойно наносит фотополимерную массу, создавая нужную форму. За одно посещение есть возможность восстановить сразу несколько коронок.

Прослужить реставрация может более 15 лет, но полировку нужно выполнять каждые 2 года.

Цель метода физиотерапии зубов кальцием и этапы проведения процедуры.

В этой публикации поговорим об особенности течения некроза зуба.

Здесь читайте об опасности возникновения флюороза зубов у детей.

Виниры и люминиры

Виниры — это тонкие композитные и керамические накладки, которые ставятся на предварительно обточенные передние зубы. Люминиры отличаются тем, что имеют еще меньшую толщину, и не требуют сильной обточки эмали.

Показаны изделия при эстетических дефектах, повышенном стирании зубов, небольших сколах и трещинах, неудовлетворительном цвете. Противопоказана методика при бруксизме, патологическом прикусе, кариесе и тонкой эмали.

Прослужить микропротезы могут до 10 лет, сверхтонкие люминиры — до 20 лет. С помощью такого метода можно вернуть привлекательность зубов, полностью преобразив линию улыбки.

Восстановление в домашних условиях

Домашние методы восстановления эмали предполагают применение лечебных зубных паст, выполнение массажа десен для улучшения питания тканей, применение народных средств, соблюдение правил здорового питания.

Из народных средств выделяют полоскание рта отварами трав, прикладывание к деснам смеси из чеснока и свеклы, аппликации с добавлением масла чайного дерева. Для осветления эмали можно применять соду, перекись водорода, лимонный сок.

На заметку! Домашние средства для осветления вредят эмали, и применять их крайне не рекомендуются. Они дают временный эффект, после чего зубы темнеют еще больше.

Представители зубных паст для укрепления эмали:

  • Сплат Биокальций;
  • Глистер;
  • Лакалут Экстра Сенситив;
  • Колгейт Сенситив Про-Релиф.

Массаж десен выполняется во время чистки зубов щеткой или пальцем. Нужно делать круговые движения, по несколько раз возле каждого зуба. Это улучшает питание тканей, способствуя нормальному кровообращению.

Полезными для эмали продуктами будут свежие овощи и фрукты, морепродукты, рыба. Стоматологи рекомендуют ежедневно съедать яблоко или морковь, которые хорошо очищают коронки.

Для сохранения здоровья зубов важно не забывать после каждого приема пищи ополаскивать рот водой или специальным ополаскивателем.

Меры профилактики

Чтобы впредь не сталкиваться с необходимостью проведения имплантации эмали зубов, нужно регулярно соблюдать несколько простых рекомендаций. Это позволит снизить вероятность истончения эмали. К таким рекомендациям относятся:

  • тщательное соблюдение правил гигиены ротовой полости. Специалисты рекомендуют ежедневно использовать ополаскиватель для рта и зубную нить. Это позволит очистить зуб от налета в местах, где обычная зубная щетка бессильна;


Профилактика кариеса

  • соблюдение правильного режима питания. Речь идет не только о частоте и количестве употребляемой пищи, но также о пересмотрении рациона. Чтобы избежать проблем с зубами, нужно по возможности исключить из рациона энергетические и газированные напитки, сладкую пищу и кофе. Рекомендуется ежедневно употреблять свежие овощи и фрукты;


Яблоки полезны для зубов

  • отказ от вредных привычек, негативно воздействующих на ротовую полость и, в частности, на состояние зубов. Профилактика подразумевает отказ от курения и чрезмерного употребления спиртных напитков;
  • регулярные обследования у стоматолога. Посещать врача в профилактических целях нужно не только при выявлении проблем с зубами, но и в обычное время. Ведь такие обследования позволят выявить возможные проблемы или патологии еще на ранней стадии их развития, что существенно облегчит процесс лечения;


Важность регулярного обследования у стоматолога

  • откажитесь от жевательных резинок, если вы являетесь их ярым фанатом. Дело в том, что жвачки содержат сахар, который портит зубную эмаль.

Соблюдение профилактических мер на постоянной основе позволит предотвратить не только истончение или повреждение эмали, но и многих других стоматологических заболеваний.

Цена вопроса

Метод Цена (в рублях)
Фторирование Глубокое — от 1200

Простое 1 зуб — от 300

Реминерализация 1 челюсть — от 1500
Реставрация пломбировочным материалом От 1000
Виниры От 10000
Люминиры От 25000
Имплантация От 10000

Отзывы

Имплантация эмали подходит не всем, но кто попробовал этот способ восстановления зубов на себе, убеждаются в хорошей эстетике и надежности реставрации.

Но, вместе с положительными мнениями, этот метод получает и отрицательные отзывы. Вы можете поделиться собственными впечатлениями о процедуре имплантации эмали в комментариях ниже.

Если вы нашли ошибку, пожалуйста, выделите фрагмент текста и нажмите Ctrl+Enter.

Теги зубная эмаль имплантация

Понравилась статья? Следите за обновлениями

Предыдущая статья

Провокаторы расхождения швов после имплантации зубов и как избежать последствий

Следующая статья

Начистоту о плюсах и минусах передовых методов имплантации зубов

Стоимость

Чтобы получить достоверную информацию о стоимости имплантации эмали, необходимо показать зубы специалисту.

  • Способов имплантации на сегодняшний день существует множество, и какой из них подойдет пациенту может сказать только стоматолог.
  • После того, как врач осмотрит зубы и определит, какой имплантант подходит пациенту, он разработает специальную программу реставрации зубов.
  • Стоимость работы стоматолога будет зависеть от количества, нуждающихся в восстановлении зубов и от степени повреждения зуба.

Разумеется, имплантация эмали зубов, цена которой отнюдь не дешевая, стоит того, чтобы вернуть зубам их высокую эстетичность и функциональность.

Метод восстановления эмалиСтоимость услуги
Аппликация фторсодержащих препаратовот 100 руб. за один зуб
Глубокое фторирование эмали одного зуба600 руб.
Рейтинг
( 1 оценка, среднее 4 из 5 )
Понравилась статья? Поделиться с друзьями:
Для любых предложений по сайту: sto247@cp9.ru