Кариес между зубами: почему появляется и как лечат

Зачем нужно чистить зубы?

Профилактика стоматологических недугов и уход заключаются в ежедневной чистке зубов щеткой и пастой 2 раза в день. Если делать это редко, происходит скопление налета. А когда уход выполняется чаще, есть вероятность повреждения эмали.

Если не выполняется регулярная чистка, то появляется проблема в виде неприятного запаха изо рта, налета и желтоватого цвета, стоматологических недугов. Стоматологи советуют чистить зубы до завтрака, а не после. Причиной является наличие биопленки из налета и бактерий, которая остается на зубах после ночного отдыха.

Плюсы чистки зубов электрощеткой

Электрические щетки более эффективно очищают зубы от налета и остатков пищи. Такое устройство максимально простое в эксплуатации, оно отлично подойдет детям и людям с ограниченными возможностями.

Для чистки зубов при помощи электрической щетки необходимо намного меньше зубной пасты, чем для мануального воздействия. При помощи такого изделия проще добиться эффекта отбеливания зубов.

К сведению! Универсальность устройства заключается в том, что им может пользоваться вся семья.

Просто необходимо купить для каждого члена семьи индивидуальную насадку. Такие щетки очень нравятся детям, процесс поддержания гигиены ротовой полости превращается в игру. Однако, при этом важно, чтобы взрослый следил за тем, как ребенок чистит зубы.

При помощи
специальных датчиков контролируется сила нажима. За счет такой технологии минимизируется риск стирания эмали и травмирования десен.
Во многих моделях присутствует таймер, который отсчитывает время, нужное для качественной чистки зубов.

Электрические зубные щетки более экологичны. На изготовление одной обычной щетки уходит столько же пластика как для 14-42 сменных насадок.

Палочки дерева сивак

Это другой ответ на вопрос, чем почистить зубы, если нет зубной щетки. Палочки дерева сивак продаются через интернет в вакуумной упаковке, которая включает несколько штук. В древности их применяли для чистки. Одна палочка может использоваться месяц.

Нужно только соблюдать общие правила хранения: держать коробку с палочками следует открытой, чтобы не допустить плесень и хранить в не влажном месте. Как почистить зубы без зубной щетки с помощью такого приспособления? Процедура выполняется просто: следует только пожевать ее, заранее очистив кору. В «полевых условиях» можно отыскать палочку 15-20 см, устранить верхнюю кожицу, после чего она готова для использования вместо щетки.

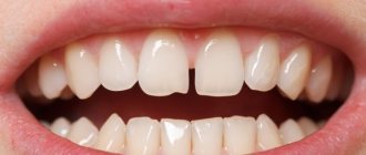
Как обнаружить кариес в межзубных промежутках?

Одна из специфических особенностей межзубного кариеса — это затрудненная диагностика. Поскольку поражение эмали располагается на стыках зубов, обнаружить его самостоятельно может быть довольно сложно. Поэтому кариес между зубами редко диагностируют на ранней стадии, когда можно обойтись консервативными методами и не препарировать зуб. Гораздо чаще его выявляют уже при наличии симптомов в виде боли или реакции на холодное/горячее.

Стоматолог диагностирует межзубный кариес с помощью нескольких основных методов:

  • Внешний визуальный осмотр с помощью зеркала и зонда. Обнаружить пораженные кариесом участки, темные пятна на эмали в труднодоступных участках сможет только опытный врач-стоматолог.
  • При очень плотном расположении зубов диагностический осмотр может быть затруднен, и тогда стоматолог назначает проведение рентгенограммы, которая покажет наличие кариозной полости в зубе.
  • Иногда в качестве альтернативы рентгену используется современный звуковой метод диагностики.

После постановки диагноза возникает вопрос, как лечится кариес между зубами.

Пальцем

Чем можно почистить зубы, если нет щетки? Если ничего нет, допускается использование собственного пальца. Сначала нужно помыть руки. Указательный палец используют для чистки, выполняя круговые движения по зубам и деснам. Если есть паста, ее предварительно наносят на палец. Следует тщательно промыть палец при переходе от нижних зубов к верхним.

Ирригатор

Это специальное приспособление, которое помогает с помощью воды или лекарственных средств избавлять от зубного налета, остатков еды. Как считают дантисты, пользоваться ирригатором вместо нити и щетки значительно эффективнее для всей полости рта.

Ирригатор (аэратор) включает компрессор или гидронасос, емкость для воды, комплект разных насадок и удобную ручку. Вода или лечебная жидкость компрессором по насадке под давлением подается в рот. Эта чистка устраняет остатки еды и налет, обеспечивает улучшение кровообращения в деснах, делает их крепче.

Из насадок есть классическая, пародонтологическая, ортодонтологическая, назальная, с мини-турбиной или ложечкой для чистки языка. Ирригаторы могут применяться для профилактики или терапии, если вместо воды может использоваться специальный раствор. Есть приборы, где подача воды происходит пульсацией или воздушными микропузырьками. Устройство может использоваться в любой обстановке, важно лишь, чтобы был заряженный аккумулятор или электросеть.

Полезные советы

Существуют рекомендации, позволяющие качественно чистить зубы:

  1. Начинать чистку не следует раньше чем спустя 15 минут после еды. Это увеличивает эффективность пасты. После приема некоторой пищи, к примеру, острой или кислой, процедуру нужно выполнять не раньше, чем спустя полчаса.
  2. Желательно чистить зубы после завтрака и перед ночным сном. Это время стоматологи считают самым подходящим для данных процедур. Чистка перед сном не допускает рост вредоносных микроорганизмов во рту, поскольку ночью слюнные железы функционируют слабо.
  3. Чистку нужно выполнять не меньше 3 минут, но не стоит переусердствовать. Слишком длительная чистка (больше 10 минут) способна привести к проблемам с эмалью, особенно при в использовании пасты с большим содержанием фтора.
  4. В течение дня нужно пользоваться зубочистками для удаления частиц пищи в межзубном пространстве. Выполнять процедуру надо аккуратно, чтобы исключить травмы десен и занесение инфекций в рану.
  5. Следует самостоятельно выделять проблемные места и уделять им должное внимание. Для эффективного ухода желательно посоветоваться со стоматологом.
  6. Следует обращать внимание на десны, поскольку нередко благоприятные действия для зубов приводят к повреждению других участков полости та. Кровоточивость десен может быть симптомом гингивита.
  7. Пользоваться жидкостями для полоскания полости рта не обязательно, но это обеспечивает комплексный подход к профилактике.

Как выбрать?

При покупке электрической зубной щетки необходимо обращать внимание на ряд нюансов.
В первую очередь оценивается динамика движения насадки. Устройство будет эффективным только в том случае, если насадка вращается и колеблется одновременно.

Следует обращать внимание на следующие аспекты:

  • хороший аккумулятор;
  • наличие таймера для чистки зубов;
  • присутствие сменных насадок.

Важно, чтобы устройство имело качественный аккумулятор: большая емкость и небольшой вес. Если же он будет слишком тяжелый, то это будет создавать определенный дискомфорт при использовании щетки. Изделие должно быть легким.

Следует отметить! Таймер чистки зубов нужен для проведения более качественного очищения.

Он может быть общим — 2 минуты, и таким, что подает сигнал каждые 30 секунд, указывая на необходимость смены зоны воздействия.
Современные модели позволяют использовать несколько типов сменных насадок.
Главное, чтобы их можно было легко приобрести. В противном случае устройство станет полностью бесполезным.

Существует несколько видов такого устройства:

  • классическое;
  • звуковое;
  • ультразвуковое.

Классическая электрическая щетка отличается тем, что позволяет совершать возвратно-поступательные движения по кругу и пульсирующие сверху вниз. В комплекте может идти сразу несколько насадок: для чистки, полировки зубов и массажа десен.

Звуковая щетка работает за счет генератора высоких частот. Он преобразует электричество в звуковые колебательные волны. Такое устройство не только удаляет налет и остатки пищи, но и за счет звуковых колебаний ослабляет прикрепление микробов к зубам.

Принцип работы
ультразвуковой щетки заключается в преобразовании электричества в ультразвуковые волны.
Ультразвук позволяет не только разрушить прикрепление микроорганизмов к зубам, но и устранить пигментный налет с эмали.

Выбор конкретной модели (Oral-B, Philips, Hapica и др.) зависит от индивидуальных предпочтений и бюджета покупки.

Чем заменить пасту?

Бывают ситуации не только отсутствия щетки, но и пасты. Что же делать в этом случае? Дома можно отыскать альтернативу пасте. Вместо нее могут использоваться следующие средства:

  1. Масло чайного дерева. Его втирают в эмаль. Средство имеет отличный эффект отбеливания, который протекает естественным образом. Причем масло не имеет негативного воздействия, свойства разрушения. Еще оно укрепляет эмаль, защищает от воспалений и дезинфицирует полость рта. Но нужно учитывать минус масла – наличие резкого запаха и горького привкуса.
  2. Поваренная соль. Продукт эффективен для чистки зубов, так как обладает антисептическим, противовоспалительным и регенерирующим действием. Соль легко избавляет от неприятного запаха изо рта. Пользоваться ей очень легко: щетку обмакивают в воду, наносят на нее соль, очищают без резких движений и сильного надавливания.
  3. Пищевая сода. Средство отлично очищает эмаль, но пользоваться ей нужно только в редких случаях, иначе она повреждает зубы. Желательно выполнять такие процедуры не чаще 1 раза в неделю.
  4. Сухое молоко. Продукт идеален и для тех, у кого есть кровоточивость десен или зубной камень. Он прекрасно справляется с неприятным запахом, но эффект не длительный. Пользоваться сухим молоком нужно в качестве порошка.
  5. Порошок из глины. Зубы после его использования будут заметно белее. Белую глину нужно высушить, измельчить в порошок. Затем добавляется пара капель эфира. В магазинах есть готовый порошок.
  6. Активированный уголь. С ним зубы становятся белее, к тому же устраняются пигментные пятна, нормализуется микрофлора полости рта и выводятся токсины. Уголь избавляет от запаха изо рта. Но им не стоит пользоваться постоянно, ведь это травмирует эмаль.
  7. Перекись водорода. Раствор считается аналогом профессиональной чистки. Нежелательно пользоваться им чаще 1 раза в неделю. Перекись водорода избавляет от желтизны, устраняет неприятный запах, а также обеспечивает антисептическое действие.

Поэтому нет ничего страшного, если нет зубной щетки. Ее всегда можно заменить подручными средствами. Только не стоит злоупотреблять ими, ведь данные методы подходят лишь для крайних случаев, а полноценная чистка все же необходима.

Рейтинг
( 1 оценка, среднее 4 из 5 )
Понравилась статья? Поделиться с друзьями:
Для любых предложений по сайту: sto247@cp9.ru