After a complex tooth extraction
Preparation and stages of tooth extraction
Tooth extraction Modern tooth extraction can be simple or complex, carried out using forceps,
plastic crowns for front teeth reviews from dental patients
Temporary crowns: photo, production, installation
14734 Modern life leaves its mark on a person’s attitude towards his appearance and health.
Dental implantation second stage
Dental implantation, bone grafting and their role in human health
Most people will lose teeth during their lifetime. There are many reasons for this: improper care
Examination by a gnathologist
Who is a gnathologist and how does he treat teeth?
Gnathology is a branch of dentistry that deals with the study of problems of the dentofacial apparatus and solving problems associated with
Man brushing his teeth
Before donating blood for hormones, you can brush your teeth
Preparing for the test is as important a stage as the correctness of the test itself.
Discounts for pensioners on dental implantation
Dental prosthetics for pensioners is free. Who is eligible and what types of prostheses are installed?
328 Dental problems usually appear in older people. According to statistics, most
Osstem implants reviews
Overview of the Osstem dental implant range
An implant in dental practice is a multi-component design that completely imitates the patient’s natural tooth in the jaw
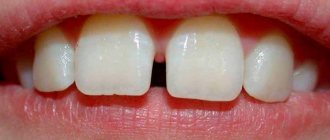
diastema between teeth
Are trema a defect in appearance or a pathology requiring treatment?
In dentistry, the gap between the front teeth is called a diastema. This anomaly is very common and often
CAD/CAM technologies in orthopedic dentistry
CAD/CAM systems are a technology for the development of prostheses, crowns and braces, based on the principle of preliminary
dentures without palate
High-quality new generation dentures without palate
A new generation prosthesis without a palate - what is its main feature? According to patient reviews,
Для любых предложений по сайту: sto247@cp9.ru